医影在线

标题: V0462:术后病理结果 骨结核 [打印本页]

作者: zhanyong    时间: 2008-7-31 03:29
标题: V0462:术后病理结果 骨结核
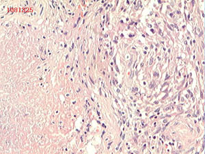
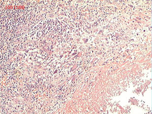
感谢大家的精彩讨论;病人在我院已手术。术后病理结果为:骨结核。





网站链接:http://www.radida.com/bbs/forum.php?mod=viewthread&tid=41532&


[本贴已被 zhanyong 于 2008-7-30 19:30:44 修改过]





欢迎光临 医影在线 (http://bbs.radida.com/bbs/) Powered by Discuz! X3.2