
















































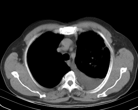
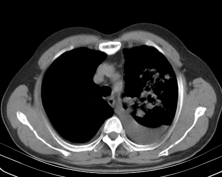
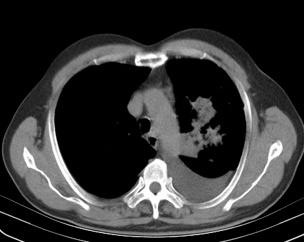
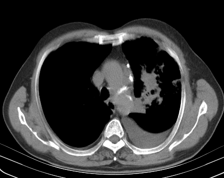
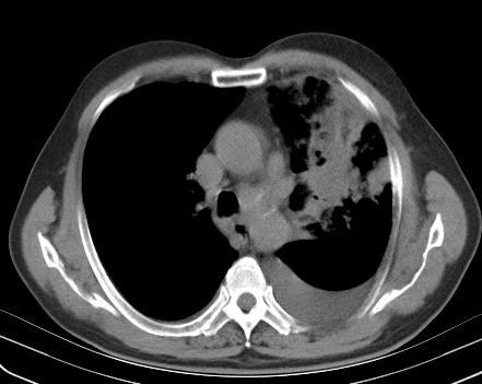
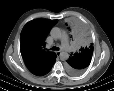
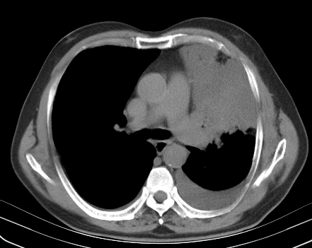
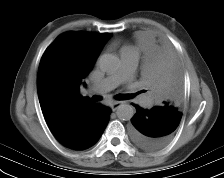
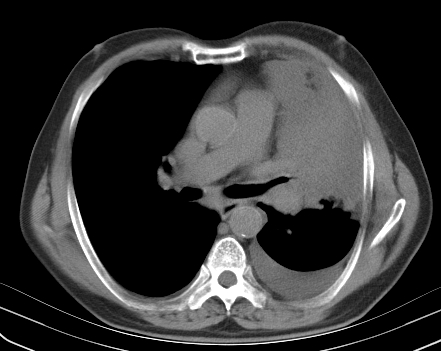
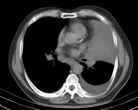
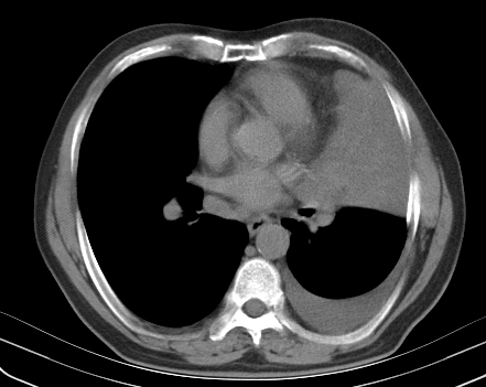
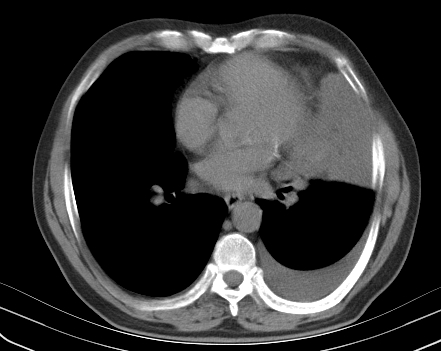
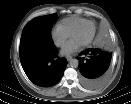
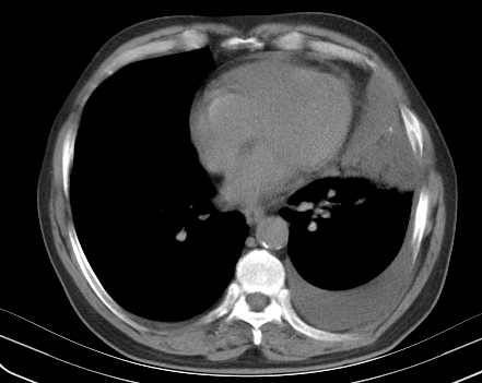
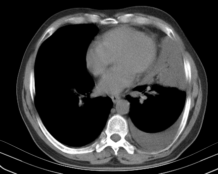
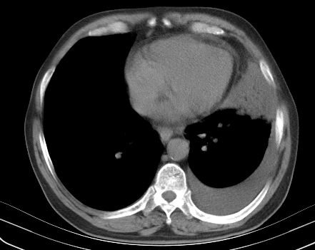
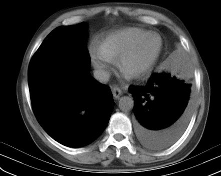
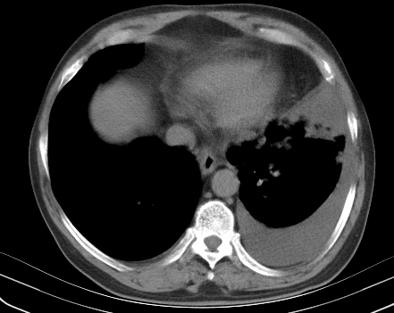
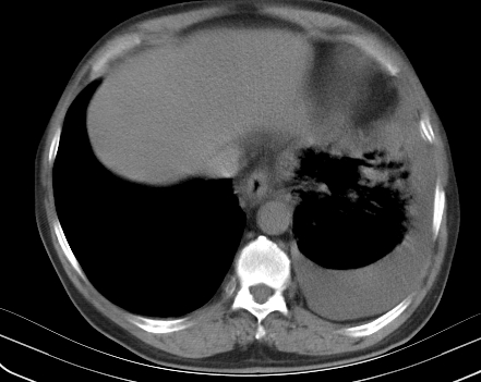
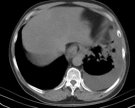
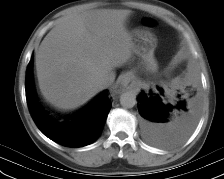
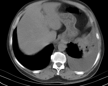
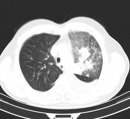
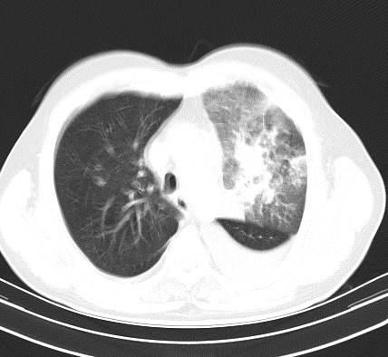
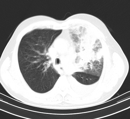
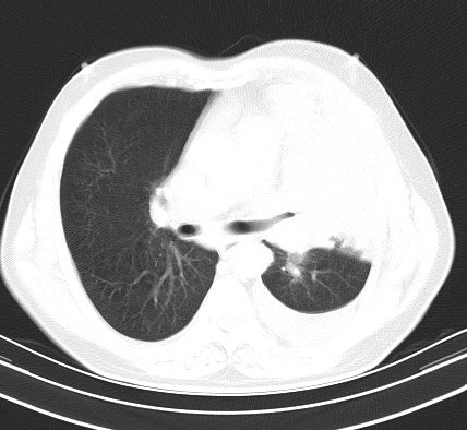
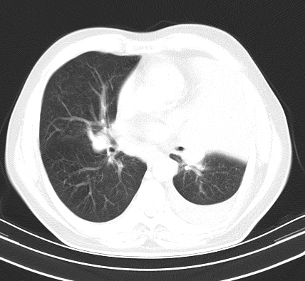
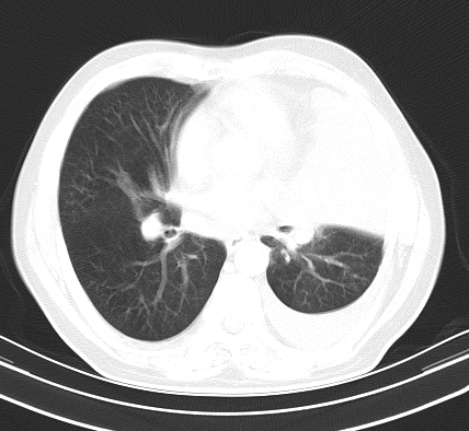
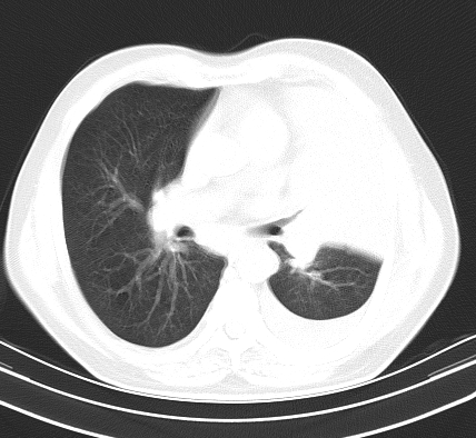
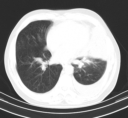
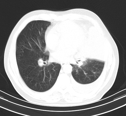
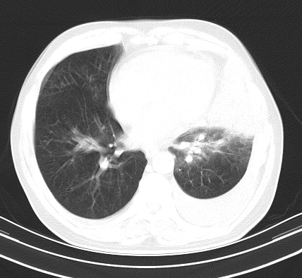
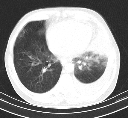
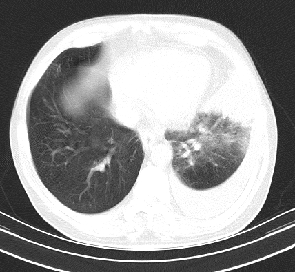
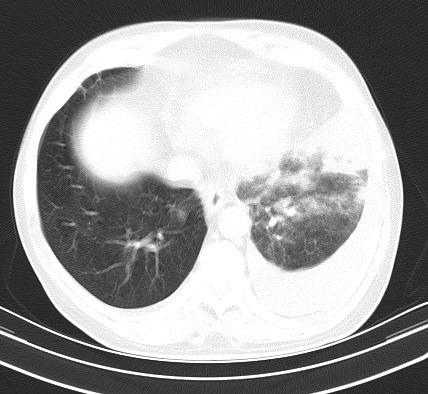
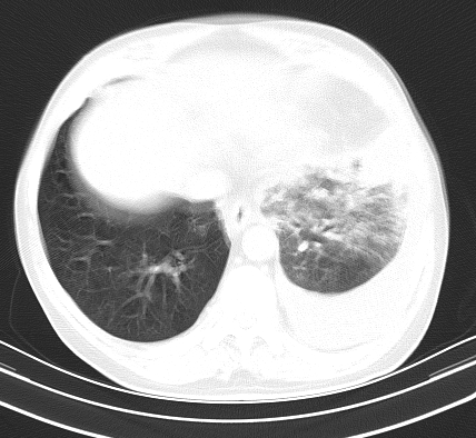
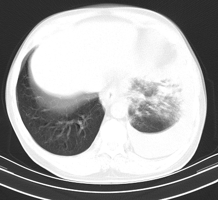
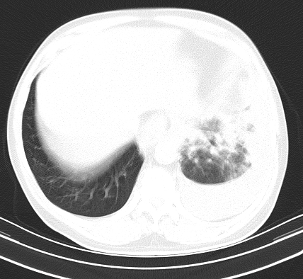
以下是引用zjb在2008-7-31 6:32:00的发言:[br]左侧中心性肺癌 阻塞性肺炎 肺不张 胸腔积液 建议气管镜
以下是引用zjzjr在2008-7-31 8:45:00的发言:[br]考虑左侧中心性肺癌伴阻塞性肺炎,左肺上叶肺不张,纵隔淋巴结转移;左侧胸腔积液。建议行纤支镜检查。
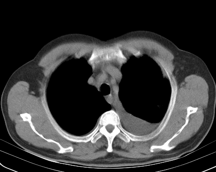
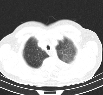
以下是引用老爱克斯新网客在2008-7-31 6:30:00的发言:[br]左肺上叶大片状病灶,左肺上叶支气管狭窄呈鼠尾状,左肺门增大,纵隔内见肿大淋巴结,左侧胸腔积液,余肺清晰。左肺中心型肺癌淋巴结转移,
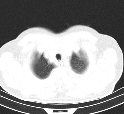
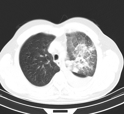
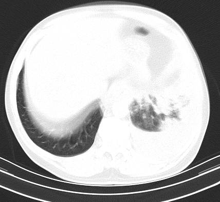
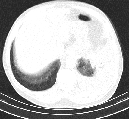
以下是引用sdzyy在2008-7-31 8:47:00的发言:[br]病灶较治疗前有所进展,胸水增多, 左侧中心性肺癌 并 阻塞性肺炎 肺不张 胸腔积液 可能性大; 建议气管镜检查。 [br] [br]
| 欢迎光临 医影在线 (http://bbs.radida.com/bbs/) | Powered by Discuz! X3.2 |