医影在线

标题: PED0945:F,6Y。发热三天,昏迷五小时伴抽搐一次入院。 [打印本页]

作者: 光影★笑子    时间: 2008-8-2 05:24
标题: PED0945:F,6Y。发热三天,昏迷五小时伴抽搐一次入院。
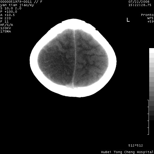
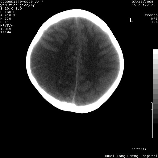
患儿 女,6岁。发热三天,昏迷五小时伴抽搐一次入院。pe:神志不清,浅昏迷状,双侧瞳孔不等大(右侧瞳孔直径3.5mm,左侧瞳孔2.0mm),对光反射迟钝,项强约一指,脑膜刺激征及病理反射阳性;双肺可及痰鸣音;四肢肌张力不高。
  临床诊断:病毒性脑膜脑炎并脑疝?

  颅脑ct轴位平扫,如下图:















[本贴已被 jiajie 于 2008-8-1 23:21:26 修改过]

作者: 358450m    时间: 2008-8-2 05:31
病毒性脑膜脑炎
作者: xulianj    时间: 2008-8-2 05:38
脑炎  支持
作者: zsl6918    时间: 2008-8-2 06:13
标题: 回复:f,6y。发热三天,昏迷五小时伴抽搐一次入院。
考虑病毒性脑膜脑炎。
作者: 影象小泰斗    时间: 2008-8-2 06:13
大面积低密度区,可疑脑炎,建议强化!
作者: 37度    时间: 2008-8-2 06:15
支持楼主。
作者: jsgdoctor    时间: 2008-8-2 06:37
结合临床症状,符合病毒性脑膜脑炎.建议增强或mri
作者: guanaishengming    时间: 2008-8-2 06:38
病毒性脑膜脑炎
作者: wzr    时间: 2008-8-2 06:49
结合临床症状,符合病毒性脑膜脑炎.建议增强或mri
作者: LIAIZHI    时间: 2008-8-2 06:55
考虑脑部感染并脑水肿
作者: 旭阳    时间: 2008-8-2 07:03
标题: 回复:f,6y。发热三天,昏迷五小时伴抽搐一次入院。
以下是引用wzr在2008-8-1 22:49:00的发言:[br]结合临床症状,符合病毒性脑膜脑炎.建议增强或mri  [br]   [br]

作者: yangyudong333    时间: 2008-8-2 14:56
结合临床症状,符合病毒性脑膜脑炎.建议增强或mri
作者: 随光逐影    时间: 2008-8-2 16:41
考虑病毒性脑膜脑炎可能性大。
作者: jiangjing    时间: 2008-8-2 23:28
结合临床症状,符合病毒性脑膜脑炎.建议增强或mri,脑脓肿待排
作者: dyqct    时间: 2008-8-3 01:16
结合临床症状,符合右颞顶枕叶病毒性脑膜脑炎.建议增强或mri。
作者: 沉默是金    时间: 2008-8-3 02:10
标题: 回复:ped0945:f,6y。发热三天,昏迷五小时伴抽搐一次入院
以下是引用358450m在2008-8-1 21:31:00的发言:[br]病毒性脑膜脑炎

作者: 杀毒软件    时间: 2008-8-3 02:56
支持脑炎
作者: 同    时间: 2008-8-3 04:54
标题: 回复:ped0945:f,6y。发热三天,昏迷五小时伴抽搐一次入院
以下是引用wzr在2008-8-1 22:49:00的发言:[br]结合临床症状,符合病毒性脑膜脑炎.建议增强或mri  [br]   [br]

作者: yy杨洋    时间: 2008-8-3 08:04
考虑病毒性脑膜脑炎可能性大。
作者: 形影不离    时间: 2008-8-3 19:12
支持 病毒性脑膜脑炎。
作者: 自由医者    时间: 2008-8-4 04:48
右侧低密度区结合临床考虑脑炎




欢迎光临 医影在线 (http://bbs.radida.com/bbs/) Powered by Discuz! X3.2