医影在线

标题: X4652:左股骨头病变,请分析。 [打印本页]

作者: jinguoji    时间: 2008-8-3 00:14
标题: X4652:左股骨头病变,请分析。
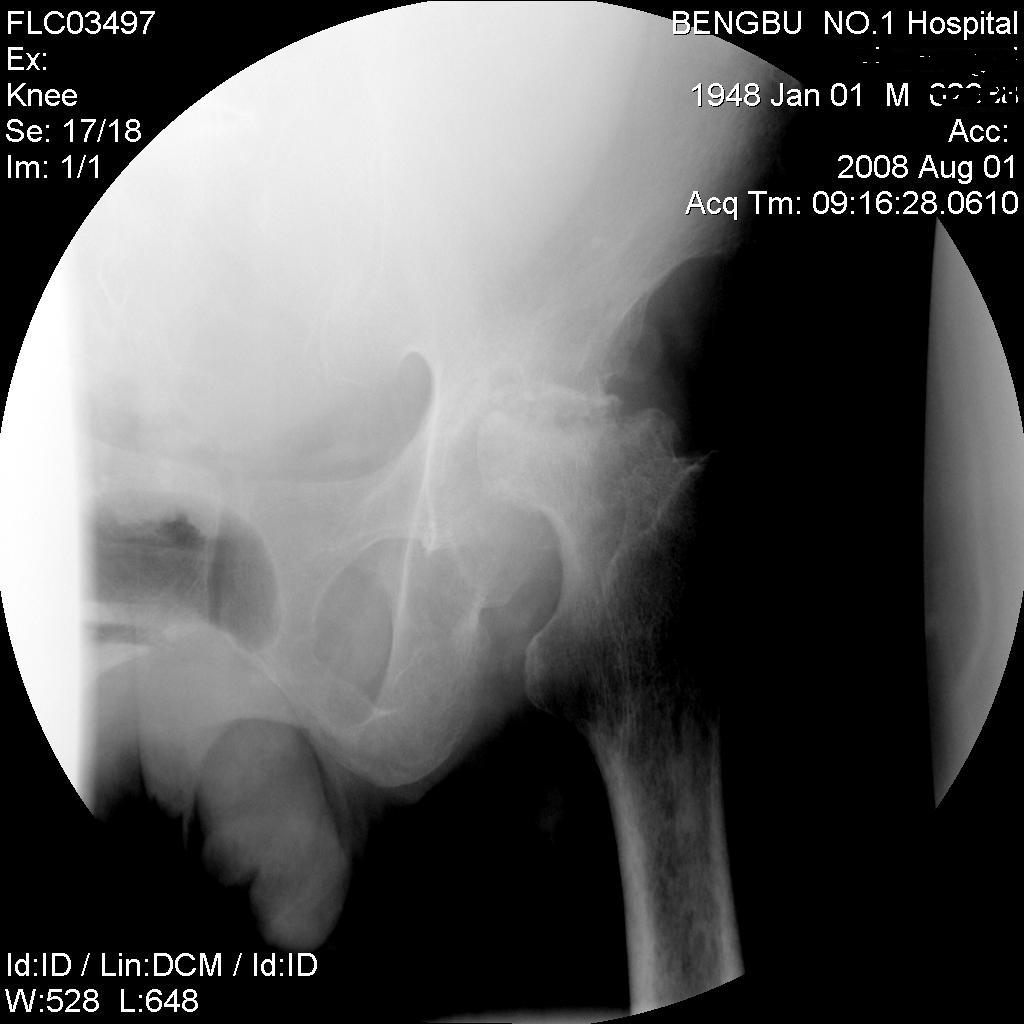
男,60岁,左髋部疼痛半年余,近期加重不能行走,爱喝酒。




[本贴已被 cefcmj 于 2008-8-2 18:59:02 修改过]

作者: xiazhuzhu    时间: 2008-8-3 00:25
无菌性坏死
作者: weiyuefang    时间: 2008-8-3 00:27
缺血性坏死
作者: dyqct    时间: 2008-8-3 00:48
支持左股骨头无菌坏死。
作者: zxd95    时间: 2008-8-3 00:58
左股骨头无菌坏死伴左髋骨关节病。
作者: zhanggenliang    时间: 2008-8-3 01:37
左股骨头无菌性坏死
作者: 杀毒软件    时间: 2008-8-3 01:38
支持
作者: 随光逐影    时间: 2008-8-3 01:48
支持 左股骨头无菌性坏死。
作者: zhengfaming    时间: 2008-8-3 02:07
无菌性坏死
作者: 于老爷子    时间: 2008-8-3 02:23
左股骨头无菌坏死伴左髋骨关节病
作者: 杏林古木    时间: 2008-8-3 04:24
左股骨头坏死并塌陷。
作者: chenfei126    时间: 2008-8-3 04:53
标题: 回复:x4652:左股骨头病变,请分析。
以下是引用xiazhuzhu在2008-8-2 16:25:00的发言:[br]无菌性坏死

作者: wqs571018    时间: 2008-8-3 05:31
左股骨头无菌性坏死伴退变。
作者: GANENG.2008    时间: 2008-8-3 06:18
支持左股骨头无菌性坏死。
作者: dsl555    时间: 2008-8-3 06:43
无菌性坏死  iv期
作者: lg_6909386    时间: 2008-8-3 06:58
左股骨头无菌性坏死
作者: sdqzwyx    时间: 2008-8-3 07:28
左股骨头持重面明显塌陷变形,局部示骨质密度不均,可见碎裂、低密度坏死及增生硬化,股骨头向外上方脱位,沈通氏线明显不连续,髋关节间隙明显变窄,关节面边缘增生硬化。首先考虑左股骨头无菌坏死并髋关节半脱位,关节退行性变,先天性髋关节半脱位待排。
作者: yuhongjun    时间: 2008-8-3 13:12
左股骨头无菌性坏死
作者: yangyudong333    时间: 2008-8-3 14:21
无菌性坏死
作者: ZHANGZHONGSHOU    时间: 2008-8-3 15:36
左股骨头缺血性坏死可能性大。
作者: 吴文利    时间: 2008-8-3 17:22
支持
作者: 358450m    时间: 2008-8-3 18:17
标题: 回复:x4652:左股骨头病变,请分析。
以下是引用xiazhuzhu在2008-8-2 16:25:00的发言:[br]无菌性坏死

作者: zy_zj    时间: 2008-8-3 23:08
左股骨头持重面明显塌陷变形,局部示骨质密度不均,可见碎裂、低密度坏死及增生硬化,股骨头向外上方脱位,沈通氏线明显不连续,髋关节间隙明显变窄,关节面边缘增生硬化。首先考虑左股骨头无菌坏死并髋关节半脱位,关节退行性变,先天性髋关节半脱位待排。
作者: 黑白光影    时间: 2008-8-3 23:27
支持左股骨头无菌坏死。(旁证:爱喝酒。呵呵)
作者: 圆圆    时间: 2008-8-4 00:08
无菌坏死继发退变,可能有半脱位。
作者: 吴文利    时间: 2008-8-4 01:16
支持
作者: ziyoufeixiang    时间: 2008-8-4 01:22
左股骨头无菌性坏死
作者: 江广1996    时间: 2008-8-4 01:56
坏死并退变。
作者: 王2008    时间: 2008-8-4 02:17
支持
作者: 自由医者    时间: 2008-8-4 04:27
左股骨头坏死伴左髋关节病
作者: qsl    时间: 2008-8-4 04:47
无菌性坏死
作者: hexue    时间: 2008-8-4 07:22
左股骨头无菌性坏死
作者: 流云    时间: 2008-8-4 19:29
支持左股骨头无菌坏死伴左髋骨关节病
作者: qsbaomingcheng    时间: 2008-8-4 21:08
左股骨头无菌性坏死
作者: 影响改变    时间: 2008-8-5 00:08
左侧股骨头坏死
作者: fgp198    时间: 2008-8-5 00:54
左股骨头无菌坏死
作者: 九月120    时间: 2008-8-5 02:20
左股骨头坏死,支持
作者: 海笑    时间: 2008-8-5 02:58
支持大家
作者: 吴文利    时间: 2008-8-5 16:54
支持
作者: zhangkening    时间: 2008-8-6 00:38
股骨头缺血坏死。
作者: wy232326    时间: 2008-8-10 02:48
左股骨头缺血性坏死可能性大。
作者: 小峰    时间: 2008-8-17 05:42
请问 缺血性坏死  和 无菌性坏死有什么鉴别点吗?
作者: 白衣将军    时间: 2008-9-27 23:20
股骨头缺血坏死
作者: zhanggenliang    时间: 2008-9-28 05:06
无菌性坏死
作者: qsl    时间: 2009-5-1 06:24
扁平髋
作者: me13930865    时间: 2009-5-1 16:55
左股骨头无菌性坏死
作者: 592438394    时间: 2009-5-1 21:47
支持  
   

杀毒软件说
作者: 医盲    时间: 2009-5-7 19:13
股骨头持重面塌陷,其外上缘部分骨质缺损且碎裂,骨质密度不均匀增高,髋关节间隙变窄,股骨头向外移位。申通线不连续。结合病人有酗酒史,考虑股骨头无菌性坏死伴骨关节病。
作者: wanchuanyi1982    时间: 2009-5-7 22:05
缺血坏死
作者: 513ytb    时间: 2009-6-25 07:52
无菌性坏死
作者: shibing    时间: 2014-6-30 08:05
左股骨头无菌坏死伴左髋骨关节病。




欢迎光临 医影在线 (http://bbs.radida.com/bbs/) Powered by Discuz! X3.2