



以下是引用wwp在2008-8-3 15:44:00的发言:[br]ct值多少?出血?钙化?血管畸形?建议ct强化扫描.
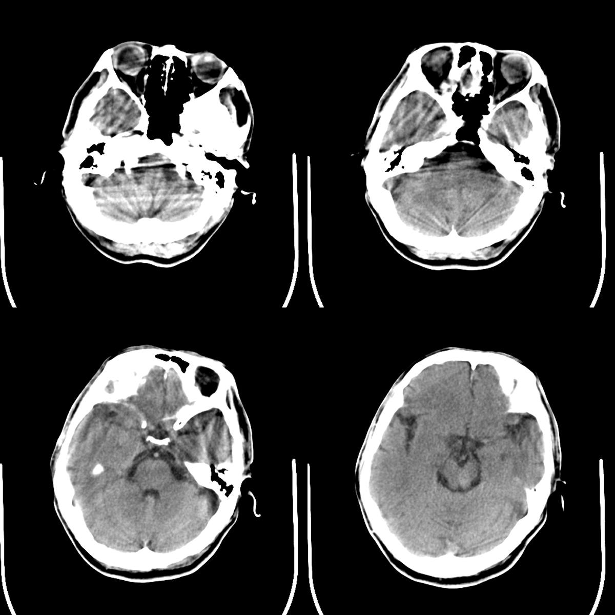
以下是引用358450m在2008-8-3 14:01:00的发言:[br]脑干血管畸形
以下是引用wwp在2008-8-3 15:44:00的发言:[br]ct值多少?出血?钙化?血管畸形?建议ct强化扫描.
以下是引用yy杨洋在2008-8-3 16:27:00的发言:[br]建议强化扫描或mri
以下是引用wwp在2008-8-3 15:44:00的发言:[br]ct值多少?出血?钙化?血管畸形?建议ct强化扫描.
以下是引用子十在2008-8-3 15:23:00的发言:[br]支持脑干血管畸形,请再薄层扫描。
以下是引用子十在2008-8-3 15:23:00的发言:[br]支持脑干血管畸形,请再薄层扫描。
| 欢迎光临 医影在线 (http://bbs.radida.com/bbs/) | Powered by Discuz! X3.2 |