医影在线
标题: CT14987:M72Y,头痛头昏,BP220/110. [打印本页]
作者: 37度 时间: 2008-8-5 02:16
标题: CT14987:M72Y,头痛头昏,BP220/110.




































[本贴已被 aosangwa 于 2008-8-4 19:06:24 修改过]
[本贴已被 jiajie 于 2008-8-5 12:41:03 修改过]
作者: 358450M 时间: 2008-8-5 02:50
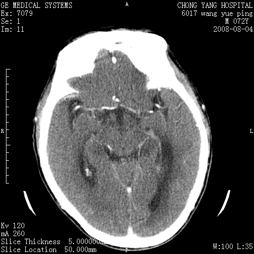
脑梗
作者: 随光逐影 时间: 2008-8-5 02:51
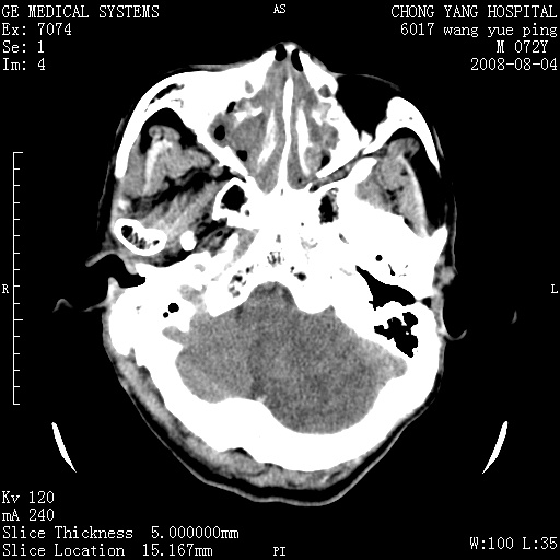
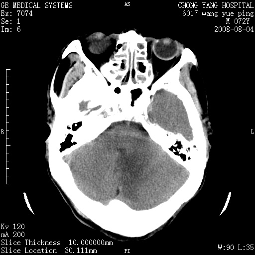
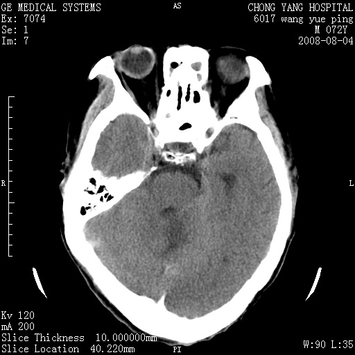
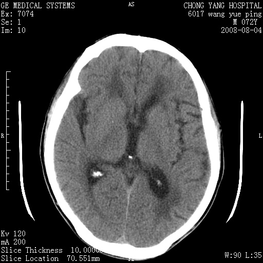
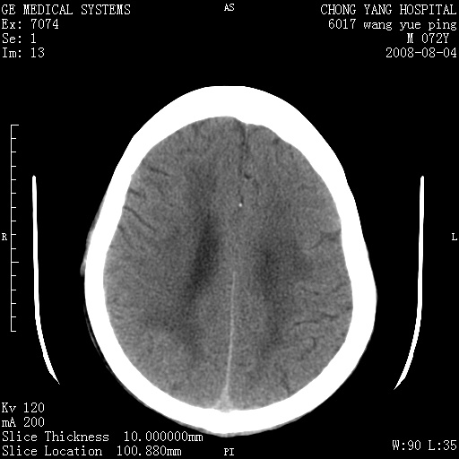
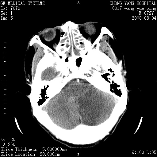
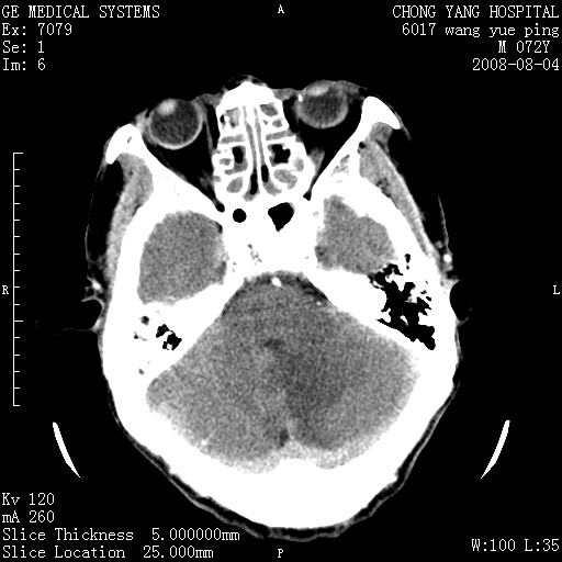
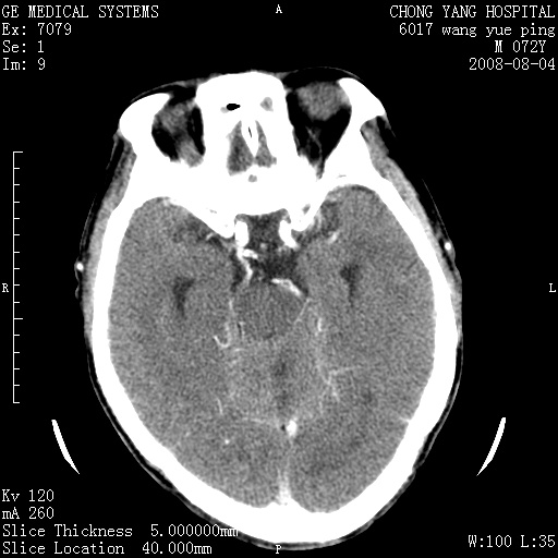
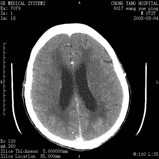
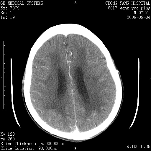
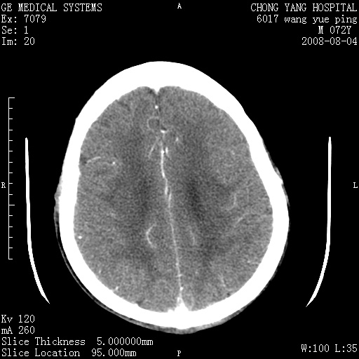
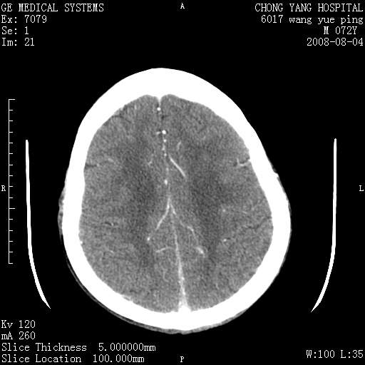
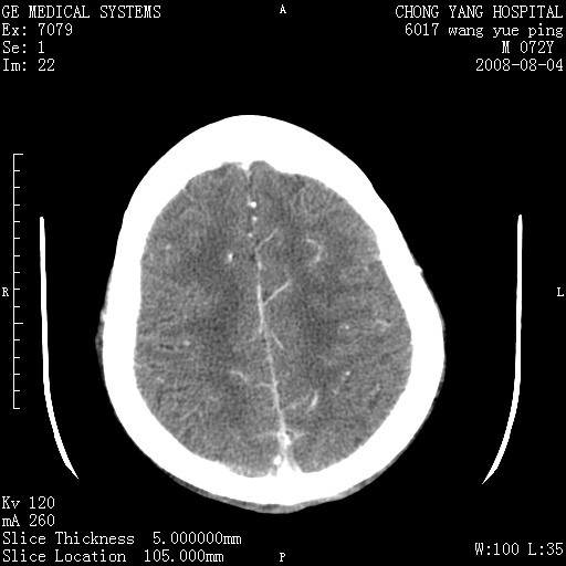
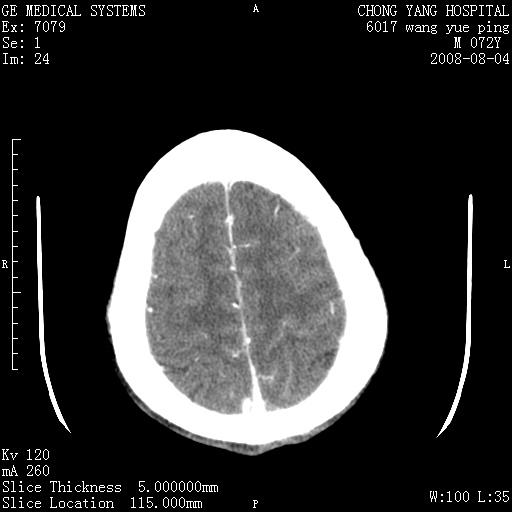
1)考虑左侧小脑脑梗塞。2)脑白质病。3)脑萎缩。4)双侧鼻腔新生物(息肉?)并阻塞性副鼻窦炎。
作者: HKL1971 时间: 2008-8-5 03:12
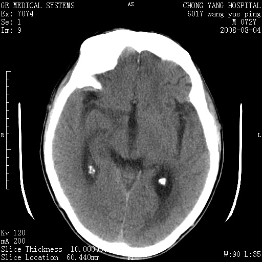
1.左侧小脑大面积梗塞;2.左侧基底节区腔梗;3.白质疏松;4.脑萎缩;5.慢性副鼻窦炎
作者: aosangwa 时间: 2008-8-5 03:17
标题: 回复:头痛头昏,bp220/110.
以下是引用随光逐影在2008-8-4 18:51:00的发言:[br]1)考虑左侧小脑脑梗塞。2)脑白质病。3)脑萎缩。4)双侧鼻腔新生物(息肉?)并阻塞性副鼻窦炎。
作者: hamagl 时间: 2008-8-5 03:31
1)考虑左侧小脑脑梗塞。2)脑白质病。3)脑萎缩。4)双侧鼻腔新生物(息肉?)并阻塞性副鼻窦炎。
作者: ydx_74 时间: 2008-8-5 03:45
1)考虑左侧小脑脑梗塞。2)皮脑。3)双侧鼻息肉并阻塞性副鼻窦炎。
作者: 同 时间: 2008-8-5 03:51
左侧小脑梗塞.
作者: 卜一 时间: 2008-8-5 04:04
以下是引用随光逐影在2008-8-4 18:51:00的发言:
1)考虑左侧小脑脑梗塞。2)脑白质病。3)脑萎缩。4)双侧鼻腔新生物(息肉?)并阻塞性副鼻窦炎。
支持!
作者: 随缘的人 时间: 2008-8-5 04:23
1)考虑左侧小脑脑梗塞。2)脑白质病。3)脑萎缩。4)双侧鼻腔新生物(息肉?)并阻塞性副鼻窦炎。
作者: drzhang8888 时间: 2008-8-5 04:24
标题: 回复:头痛头昏,bp220/110.
以下是引用随光逐影在2008-8-4 18:51:00的发言:[br]1)考虑左侧小脑脑梗塞。2)脑白质病。3)脑萎缩。4)双侧鼻腔新生物(息肉?)并阻塞性副鼻窦炎。
作者: zjzjr 时间: 2008-8-5 04:35
1)考虑左侧小脑脑梗塞。2)脑白质病。3)脑萎缩。4)双侧鼻腔新生物(息肉?)并阻塞性副鼻窦炎。
作者: huangyinshan 时间: 2008-8-5 04:42
1)考虑左侧小脑脑梗塞。2)脑白质病。3)脑萎缩。4)双侧鼻腔新生物(息肉?)并阻塞性副鼻窦炎。
作者: dyqct 时间: 2008-8-5 04:55
标题: 回复:头痛头昏,bp220/110.
以下是引用随光逐影在2008-8-4 18:51:00的发言:[br]1)考虑左侧小脑脑梗塞。2)脑白质病。3)脑萎缩。4)双侧鼻腔新生物(息肉?)并阻塞性副鼻窦炎。
支持!
作者: jsgdoctor 时间: 2008-8-5 05:00
1\\考虑左侧小脑脑梗塞,脑白质病。2\\ 双侧鼻腔新生物(息肉?)并阻塞性副鼻窦炎。
作者: 52yingxiang 时间: 2008-8-5 05:01
小脑左侧病灶呈扇形分布,增强后未见明显瘤体样节结影,病变区未见强化。
支持:左侧小脑脑梗塞梗塞表现
另:脑白质病。脑萎缩。双侧鼻腔新生物(息肉?)并阻塞性副鼻窦炎。
作者: zsl6918 时间: 2008-8-5 05:10
考虑小脑梗塞,鼻腔息肉,老年脑改变。建议mri明确
作者: xulianj 时间: 2008-8-5 05:42
1)考虑左侧小脑脑梗塞。2)脑白质病。3)脑萎缩。4)双侧鼻腔新生物(息肉?)合并副鼻窦炎。
作者: jinguoji 时间: 2008-8-5 06:27
标题: 回复:头痛头昏,bp220/110.
以下是引用随光逐影在2008-8-4 18:51:00的发言:[br]1)考虑左侧小脑脑梗塞。2)脑白质病。3)脑萎缩。4)双侧鼻腔新生物(息肉?)并阻塞性副鼻窦炎。
作者: wzr 时间: 2008-8-5 07:11
1)考虑左侧小脑脑梗塞,建议治疗后复查除外其他,左基底节区腔隙性脑梗塞2)脑白质变性3)脑萎缩。4)双侧鼻腔新生物(息肉?)并阻塞性副鼻窦炎。
作者: 黑白光影 时间: 2008-8-5 16:24
标题: 回复:头痛头昏,bp220/110.
以下是引用随光逐影在2008-8-4 18:51:00的发言:[br]1)考虑左侧小脑脑梗塞。2)脑白质病。3)脑萎缩。4)双侧鼻腔新生物(息肉?)并阻塞性副鼻窦炎。
作者: 吴文利 时间: 2008-8-5 17:06
考虑左侧小脑脑梗塞。2)脑白质病。3)脑萎缩
| 欢迎光临 医影在线 (http://bbs.radida.com/bbs/) |
Powered by Discuz! X3.2 |