医影在线

标题: X0271:[讨论] [打印本页]

作者: yzh9939    时间: 2005-6-15 05:40
标题: X0271:[讨论]
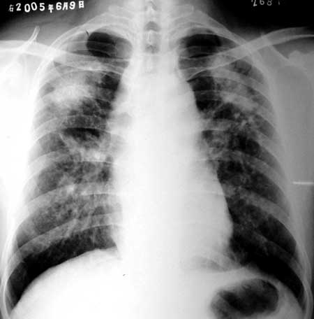
患者,男,46岁,咳嗽10多天。其他病史不详,请大家讨论!



[本贴已被 翁志蓬 于 2005-6-14 23:07:53 修改过]

作者: jiangjing    时间: 2005-6-15 08:37
患者,男,46岁,咳嗽10多天。其他病史不详.双上肺见较对称的长片团影,右侧较左侧大。另外双肺似可见小点结增密影显示,可见气肿征,心影示相对狭小。考虑尘肺[警惕伴发肺结核可能或炎症]
作者: 向医生    时间: 2005-6-15 19:54
两上肺对称性块状密度较高影,呈八字形分布;两中下肺可见网结状密度增高影,两肺门影增大。两肺底部及肺尖透亮度增高。
    影像学改变符合尘肺改变,请补充职业史。
作者: huhong1111111    时间: 2005-6-15 23:55
同意1,2楼专家
作者: 362122    时间: 2005-6-16 06:28
考虑尘肺并结核 肺气肿 肺动脉高压
作者: wskgmmyvtkd    时间: 2005-6-16 20:56
两肺上叶病灶对称性分布,可见粟粒状、团片状及条索状影。
从影像上看象一个尘肺。
鉴别诊断,结核。
作者: juwen73    时间: 2005-6-17 06:34
请提供一点病史。根据平片考虑尘肺,结核也不能排除。[emb5]
作者: lhf8188    时间: 2005-6-17 15:11
根据平片考虑尘肺,有否职业病史.
作者: xun939495    时间: 2005-6-17 23:26
因病史不全,从片子上看可以排除结核,同意尘肺的征象,但诊断尘肺必须依靠病史。
作者: x-ray    时间: 2005-6-18 04:53
考虑尘肺,病找灶密度较大不考虑结核 ,当然职业史很重要
作者: SD黄医生    时间: 2005-6-18 04:57
全都是高手..在这里能学好多东西..谢谢各位老师
[emb20]
作者: xiongxm_zh    时间: 2005-6-20 07:09
除了尘肺和结核外,有否为真菌的可能.
作者: yzh9939    时间: 2005-6-21 07:28
[emb20]大家都正确!!!患者是打隧道工,已确诊“矽肺”6年。再次[emb20]
作者: leon.lu    时间: 2005-6-23 02:52
两肺弥漫性细粟粒状及条索状影,在两上肺融合成团(矽肺结节以两上肺分布多见)。符合矽肺的影像学表现。合并结核不能除外。请结合有无职业病病史。
作者: jinguoji    时间: 2006-11-8 21:07
符合尘肺的影像学表现。合并结核不能除外。请结合有无职业病病史。
作者: yrjw    时间: 2007-8-17 06:45
考虑尘肺并结核 肺气肿 肺动脉高压
作者: yuhongjun    时间: 2007-8-17 15:06
两肺弥漫性细粟粒状及条索状影,在两上肺融合成团(矽肺结节以两上肺分布多见)。符合矽肺的影像学表现。合并结核不能除外。请结合有无职业病病史。
作者: yrjw    时间: 2007-8-26 05:18
两上肺对称性块状密度较高影,呈八字形分布;两中下肺可见网结状密度增高影,两肺门影增大。两肺底部及肺尖透亮度增高。
    影像学改变符合尘肺改变,请补充职业史
作者: shibing    时间: 2013-5-2 07:29
根据平片考虑尘肺,有否职业病史.
作者: pujunzhi    时间: 2013-5-2 09:23
好病例,矽肺!
作者: xpouyang    时间: 2013-5-2 10:14
支持尘肺诊断,并肺心改变,肺TB待排.
作者: hexin880309    时间: 2013-5-4 23:01
沙发板凳都值得考虑




欢迎光临 医影在线 (http://bbs.radida.com/bbs/) Powered by Discuz! X3.2