医影在线
标题: CT15022:女,45岁。右侧桥小脑脚区三叉神经鞘膜瘤,已做手 [打印本页]
作者: 居洪涛 时间: 2008-8-6 05:28
标题: CT15022:女,45岁。右侧桥小脑脚区三叉神经鞘膜瘤,已做手
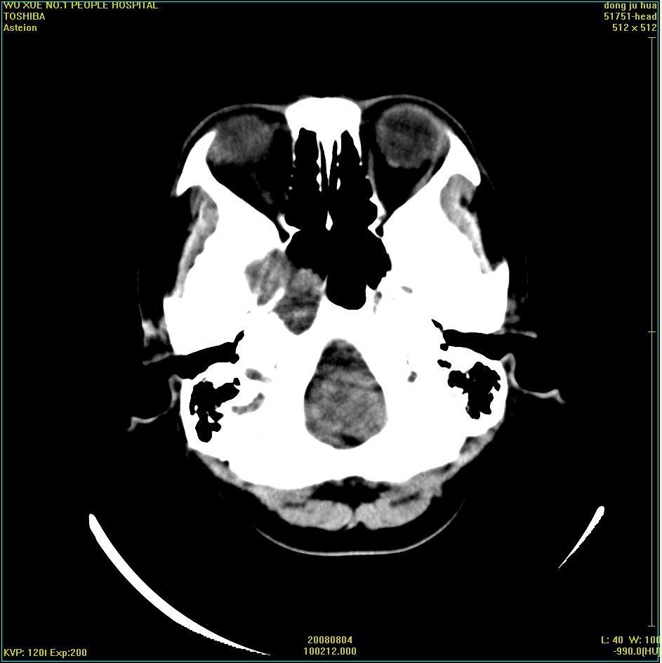
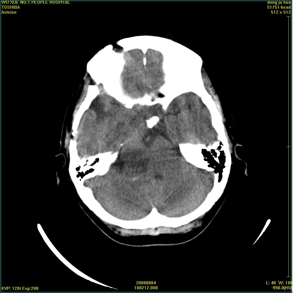
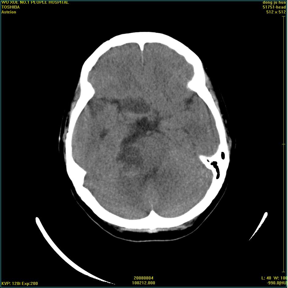
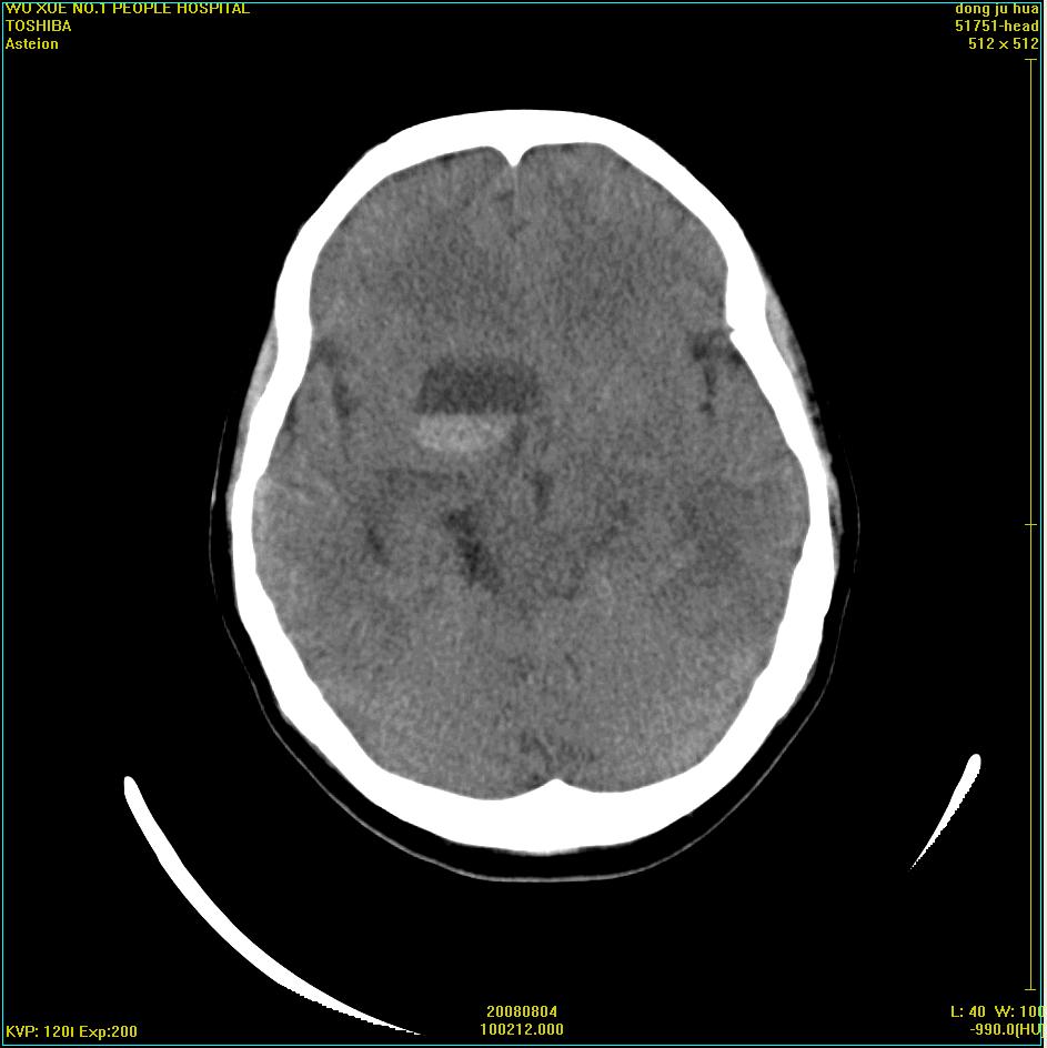
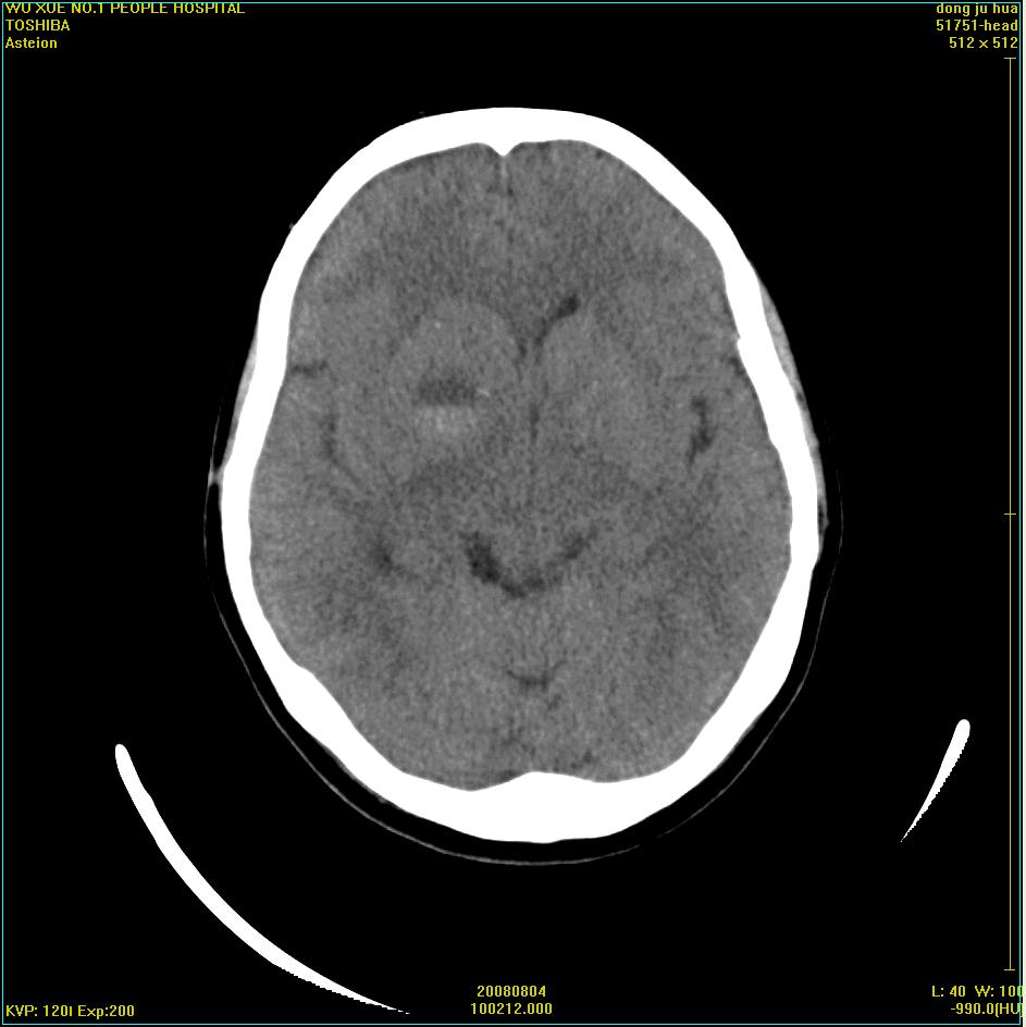
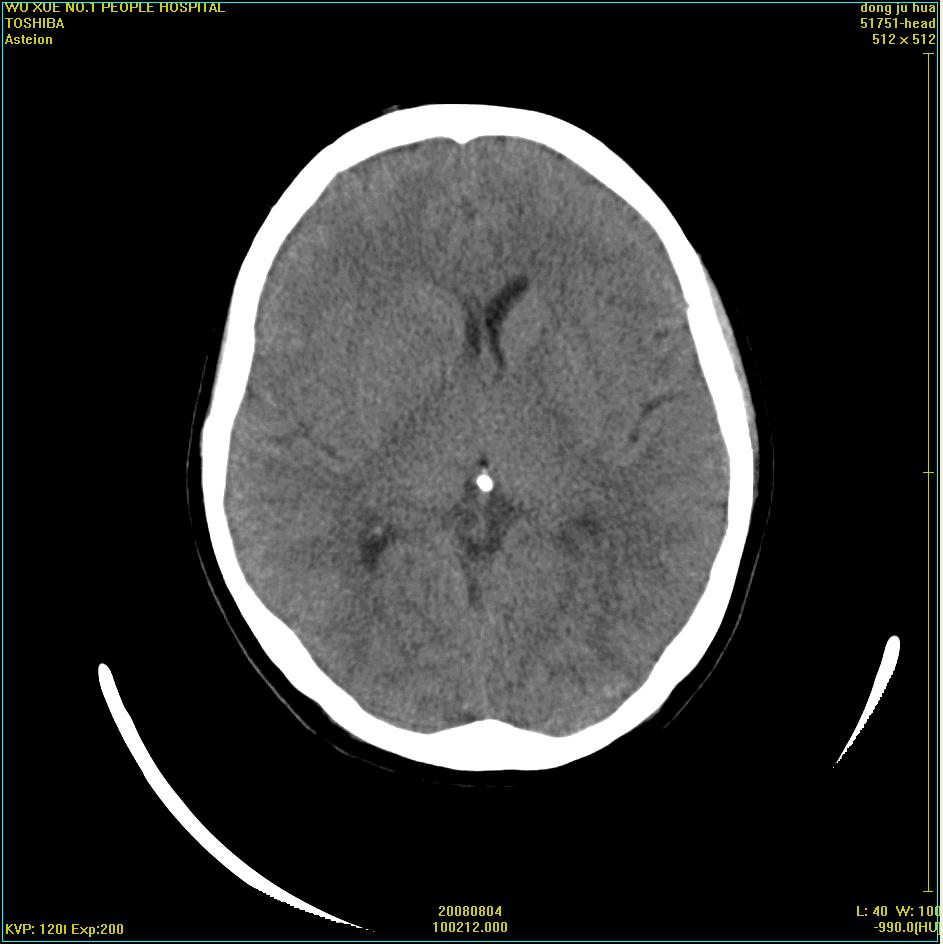
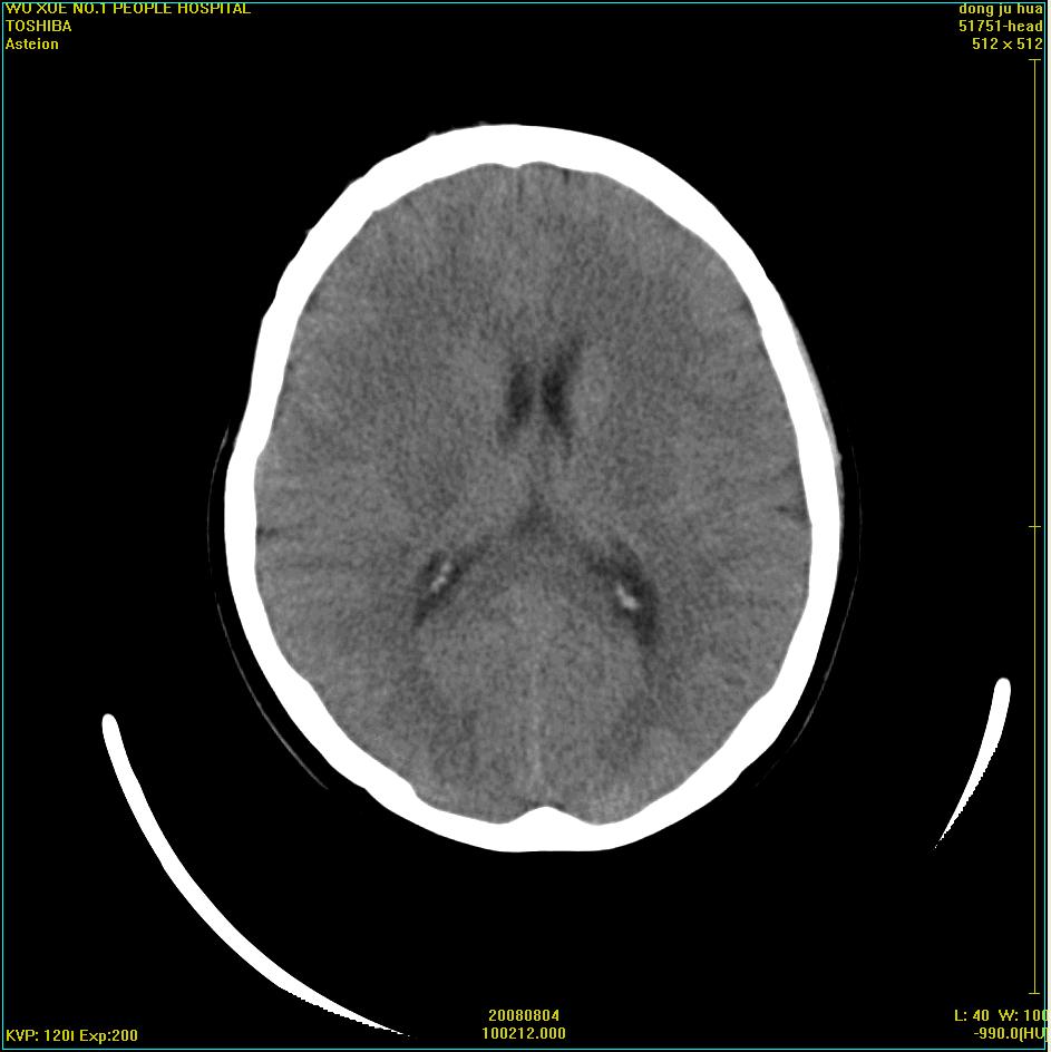
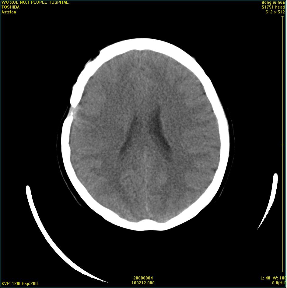
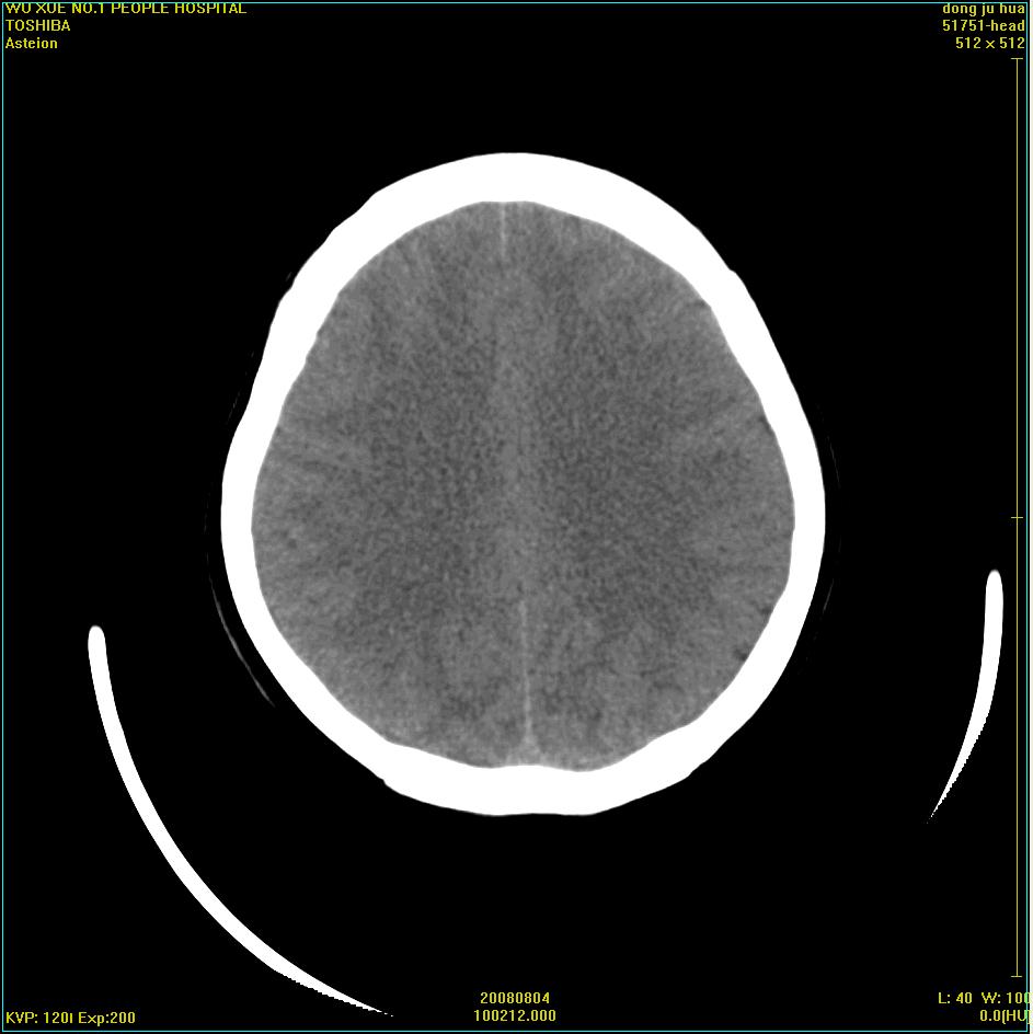
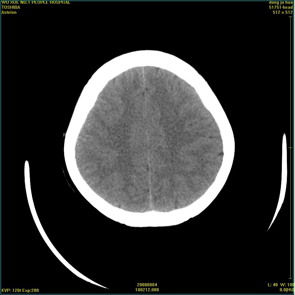
患者,女,45岁。四年前在我院做ct诊断为右侧桥小脑脚区三叉神经鞘膜瘤,已做手术。今复杳。请大家看看










[本贴已被 居洪涛 于 2008-8-5 21:28:50 修改过]
[本贴已被 jiajie 于 2008-8-5 21:45:25 修改过]
作者: 358450m 时间: 2008-8-6 05:36
三叉神经鞘膜瘤术后
作者: xulianj 时间: 2008-8-6 05:40
看来复发了。建议mri检查。
作者: panyishengct 时间: 2008-8-6 05:48
看来复发了。建议mri检查。
作者: 随光逐影 时间: 2008-8-6 05:57
考虑三叉神经鞘膜瘤术后复发并瘤体内出血。
作者: dsl555 时间: 2008-8-6 06:00
标题: 回复:ct15022:女,45岁。右侧桥小脑脚区三叉神经鞘膜瘤,
以下是引用随光逐影在2008-8-5 21:57:00的发言:[br]考虑三叉神经鞘膜瘤术后复发并瘤体内出血。
作者: 杀毒软件 时间: 2008-8-6 06:11
标题: 回复:ct15022:女,45岁。右侧桥小脑脚区三叉神经鞘膜瘤,
以下是引用随光逐影在2008-8-5 21:57:00的发言:[br]考虑三叉神经鞘膜瘤术后复发并瘤体内出血。
支持
作者: 谨言慎行 时间: 2008-8-6 06:16
标题: 回复:ct15022:女,45岁。右侧桥小脑脚区三叉神经鞘膜瘤,
以下是引用随光逐影在2008-8-5 21:57:00的发言:[br]考虑三叉神经鞘膜瘤术后复发并瘤体内出血。
作者: aosangwa 时间: 2008-8-6 06:24
标题: 回复:ct15022:女,45岁。右侧桥小脑脚区三叉神经鞘膜瘤,
以下是引用随光逐影在2008-8-5 21:57:00的发言:[br]考虑三叉神经鞘膜瘤术后复发并瘤体内出血。
作者: 影象小泰斗 时间: 2008-8-6 06:33
三叉神经鞘膜瘤术后复发并瘤体内出血
作者: zsl6918 时间: 2008-8-6 06:50
考虑复发,建议mri
作者: ydx_74 时间: 2008-8-6 06:55
标题: 回复:ct15022:女,45岁。右侧桥小脑脚区三叉神经鞘膜瘤,
以下是引用谨言慎行在2008-8-5 22:16:00的发言:[br][quote]以下是引用随光逐影在2008-8-5 21:57:00的发言:[br]考虑三叉神经鞘膜瘤术后复发并瘤体内出血。
[br][/quote]
作者: wxq2008 时间: 2008-8-6 07:21
标题: 回复:ct15022:女,45岁。右侧桥小脑脚区三叉神经鞘膜瘤,
以下是引用影象小泰斗在2008-8-5 22:33:00的发言:[br]三叉神经鞘膜瘤术后复发并瘤体内出血
作者: 居洪涛 时间: 2008-8-6 07:33
考虑慢性扩张性血肿吧!请大家再看看,发表高见!
作者: 卜一 时间: 2008-8-6 14:42
考虑:三叉神经鞘膜瘤术后复发并瘤体内出血。支持!
作者: zjzjr 时间: 2008-8-6 16:53
考虑三叉神经鞘膜瘤术后复发并瘤体内出血。
作者: zhangsb 时间: 2008-8-6 17:39
三叉神经鞘膜瘤术后复发并瘤体内出血
作者: dyqct 时间: 2008-8-6 18:05
标题: 回复:ct15022:女,45岁。右侧桥小脑脚区三叉神经鞘膜瘤,
以下是引用随光逐影在2008-8-5 21:57:00的发言:[br]考虑三叉神经鞘膜瘤术后复发并瘤体内出血。
术后病例最好直接增强。
作者: 37度 时间: 2008-8-6 18:07
标题: 回复:ct15022:女,45岁。右侧桥小脑脚区三叉神经鞘膜瘤,
以下是引用随光逐影在2008-8-5 21:57:00的发言:[br]考虑三叉神经鞘膜瘤术后复发并瘤体内出血。
作者: 边生丽 时间: 2008-8-6 18:11
支持楼上
作者: 深泽交通 时间: 2008-8-6 18:12
标题: 回复:ct15022:女,45岁。右侧桥小脑脚区三叉神经鞘膜瘤,
以下是引用随光逐影在2008-8-5 21:57:00的发言:[br]考虑三叉神经鞘膜瘤术后复发并瘤体内出血。
作者: 宇宙ct 时间: 2008-8-6 18:58
考虑三叉神经鞘膜瘤术后复发并瘤体内出血
作者: jiangjing 时间: 2008-8-6 19:02
考虑三叉神经鞘膜瘤术后复发并瘤体内出血。
作者: qiushi 时间: 2008-8-6 19:15
考虑三叉神经鞘膜瘤术后复发并瘤体内出血。
支持
作者: drzhang8888 时间: 2008-8-6 19:52
考虑三叉神经鞘膜瘤术后复发并瘤体内出血。
支持
手术是4年前诊断明确就做了,还是什么时间做的?
作者: qiuaiyu973012 时间: 2008-8-6 23:58
考虑三叉神经鞘膜瘤术后复发并瘤体内出血
作者: 居洪涛 时间: 2008-8-7 00:47
四年前做的手术,为什么大家不考虑慢性颅内血肿呢?
作者: registerlog 时间: 2011-1-30 11:31
引用第4楼随光逐影于2008-08-06 05:57发表的 :
考虑三叉神经鞘膜瘤术后复发并瘤体内出血。
作者: wudaodong2008 时间: 2011-1-30 17:45
考虑慢性颅内血肿?症状体征有多少?能否发上?
欢迎光临 医影在线 (http://bbs.radida.com/bbs/) |
Powered by Discuz! X3.2 |