医影在线
标题: CT15046:F59Y,咳嗽间断咳血丝痰就诊. [打印本页]
作者: xn2ylwg 时间: 2008-8-7 05:11
标题: CT15046:F59Y,咳嗽间断咳血丝痰就诊.
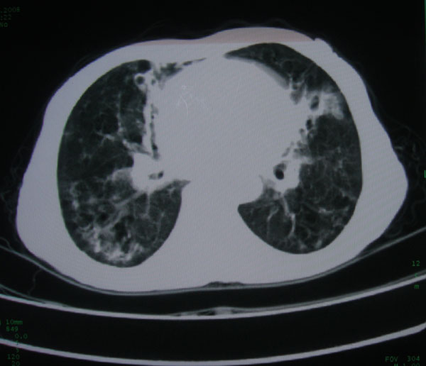
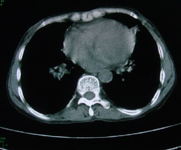
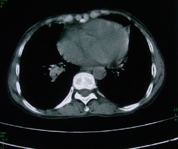
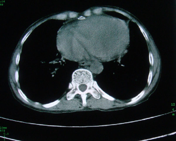
咳嗽\间断咳血丝痰就诊.





































[本贴已被 aosangwa 于 2008-8-6 21:34:55 修改过]
[本贴已被 jiajie 于 2008-8-6 22:00:25 修改过]
作者: panyishengct 时间: 2008-8-7 05:29
考虑支气管扩张并感染
作者: xulianj 时间: 2008-8-7 05:31
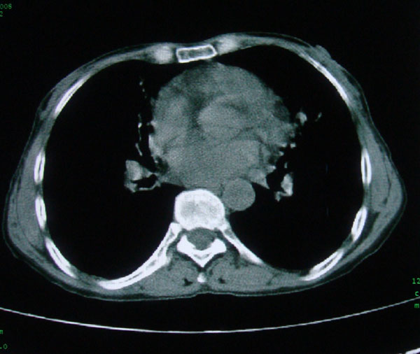
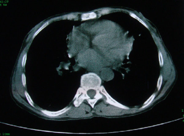
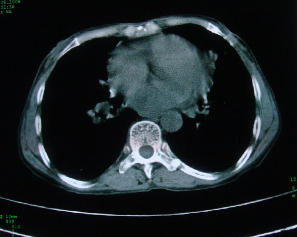
1慢支伴感染;右下肺周围型肺癌。
作者: aosangwa 时间: 2008-8-7 05:48
1\\慢支并感染
2\\浸润型肺结核
作者: 358450m 时间: 2008-8-7 05:49
标题: 回复:胸部
以下是引用panyishengct在2008-8-6 21:29:00的发言:[br]考虑支气管扩张并感染
作者: 卜一 时间: 2008-8-7 06:03
本例应该是“慢性疾病并发多种合并症”即:慢支并感染并支气管扩张征!结合病灶分布 形态分析,不除外合并“继发性肺结核”!
作者: zjzjr 时间: 2008-8-7 16:59
慢性支气管炎伴支气管扩张\\感染
作者: 随光逐影 时间: 2008-8-7 17:01
慢性支气管病变并肺部感染。
作者: 黑白光影 时间: 2008-8-7 17:04
支持慢性支气管病变并肺部感染。
作者: wansheng 时间: 2008-8-7 17:10
慢性支气管炎伴支气管扩张\\感染
作者: DXM 时间: 2008-8-7 17:57
肺间质性改变 支气管扩张合并感染
作者: dyqct 时间: 2008-8-7 18:15
慢性支气管炎伴全小型肺气肿、支气管扩张、感染、间质纤维化。
作者: 深泽交通 时间: 2008-8-7 19:24
标题: 回复:ct15046:f59y,咳嗽\\间断咳血丝痰就诊.
以下是引用panyishengct在2008-8-6 21:29:00的发言:[br]考虑支气管扩张并感染
作者: fskwy 时间: 2008-8-7 19:55
多考虑支气管扩张并感染,双下肺继发性肺结核不除外
周围型肺癌征象不明显,应不予首先考虑
作者: guanaishengming 时间: 2008-8-7 20:07
慢性支气管炎伴支气管扩张\\感染.
作者: yangyudong333 时间: 2008-8-7 23:48
考虑支气管肺泡癌可能性大
作者: LIAOQIANG 时间: 2008-8-7 23:52
慢性支气管炎伴支气管扩张、感染,间质纤维化。
作者: wzr 时间: 2008-8-9 05:06
慢性支气管炎伴全小叶型肺气肿、支气管扩张、感染、间质纤维化
| 欢迎光临 医影在线 (http://bbs.radida.com/bbs/) |
Powered by Discuz! X3.2 |