































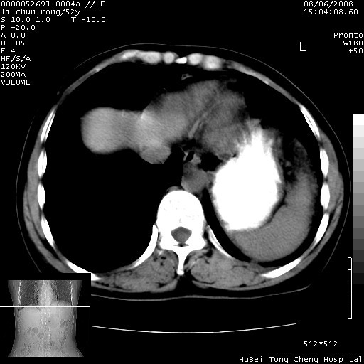
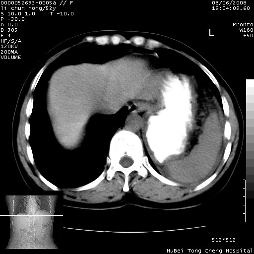
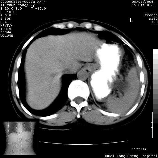
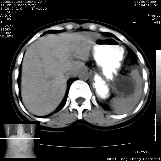
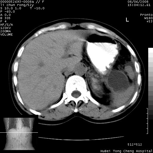
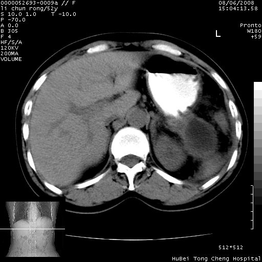
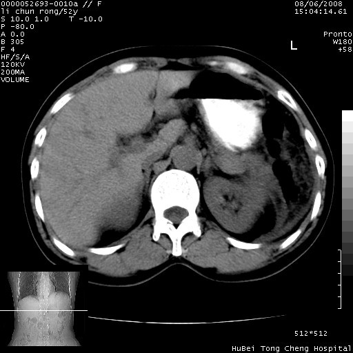
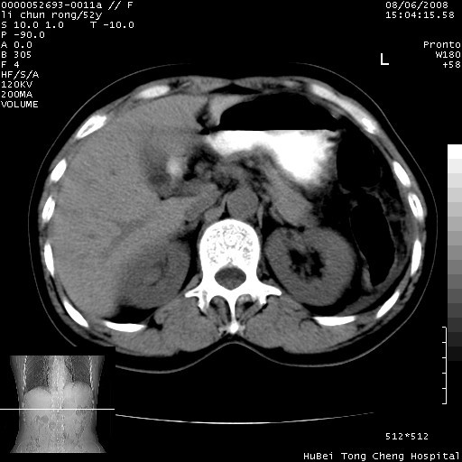
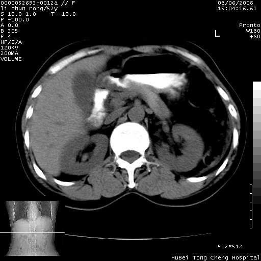
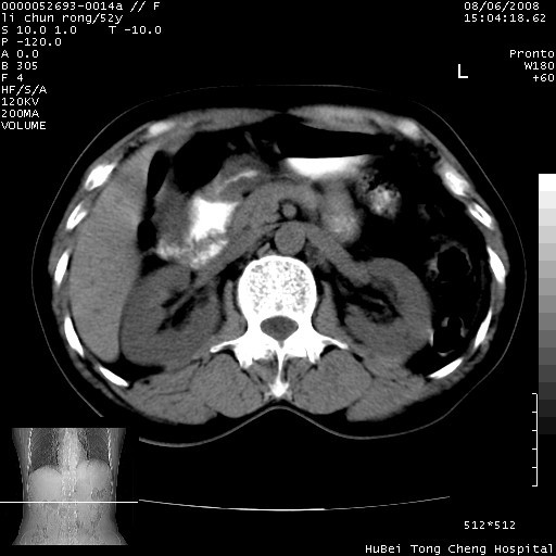
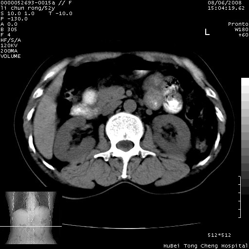
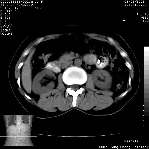
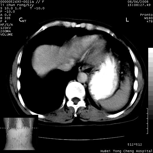
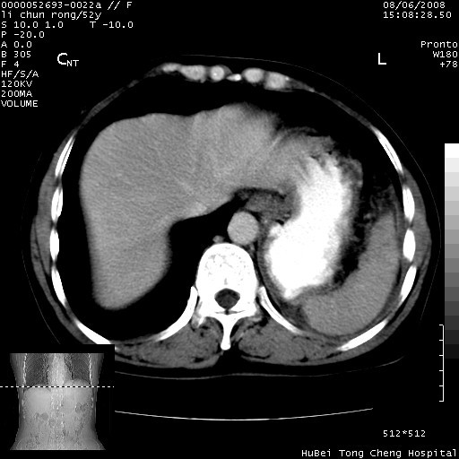
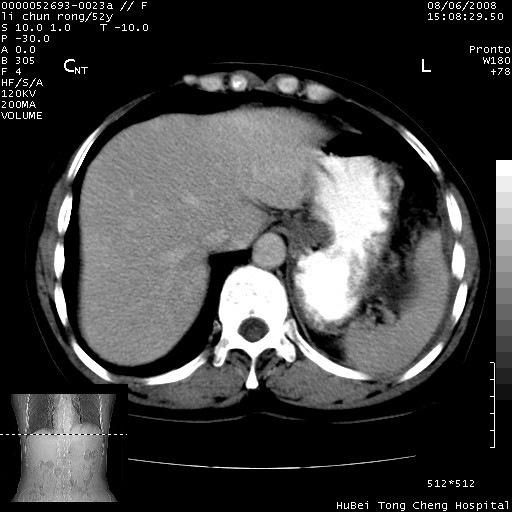
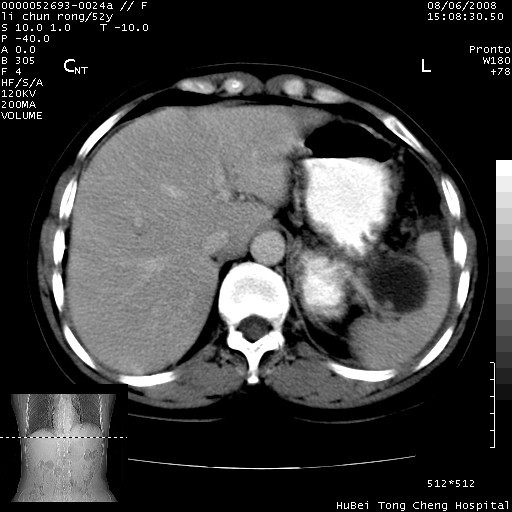
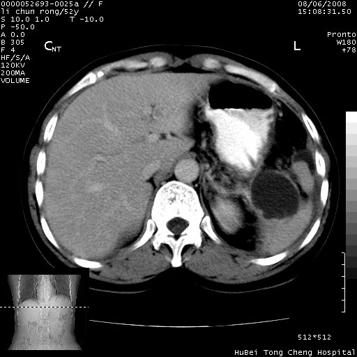
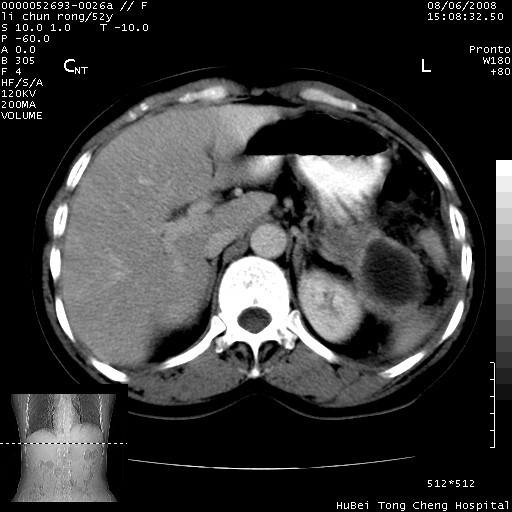
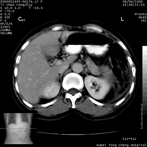
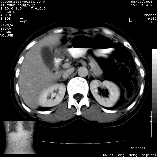
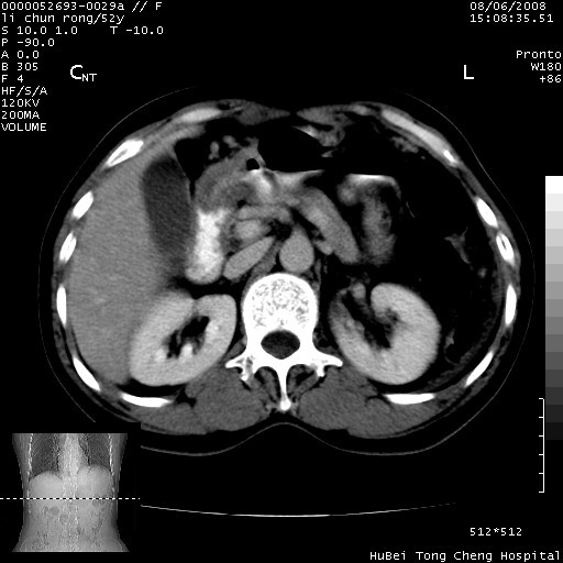
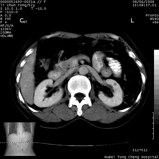
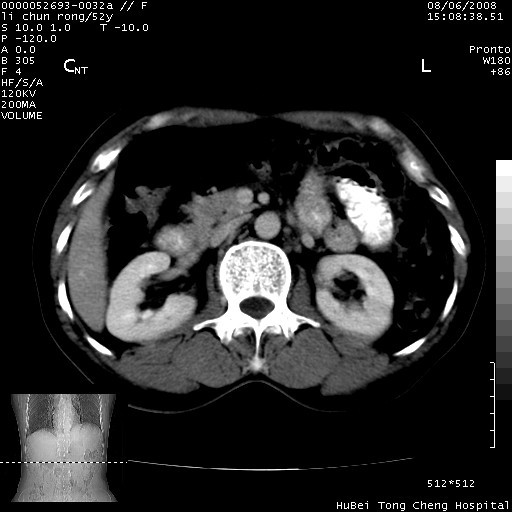
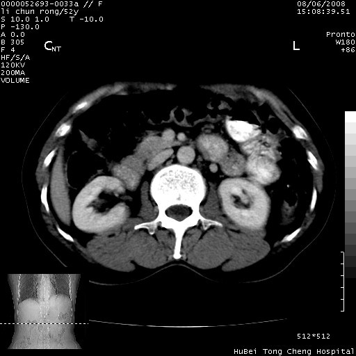
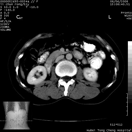
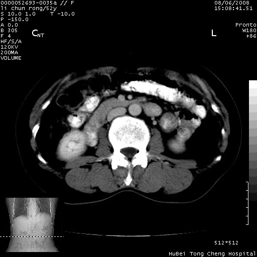
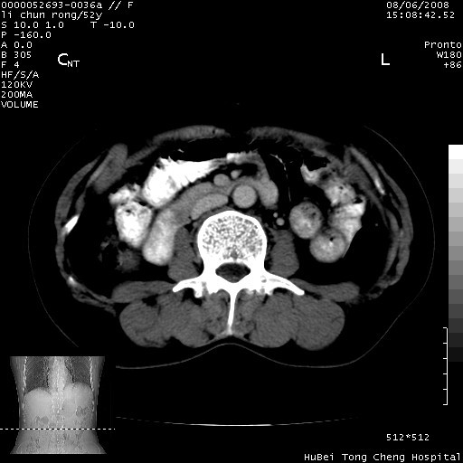
以下是引用云翔在2008-8-7 6:20:00的发言:[br]胰尾部囊性病变,考虑假囊肿,结合实验室检查疾病史
以下是引用zjzjr在2008-8-7 8:38:00的发言:[br]支持胰腺炎伴假囊肿形成,左肾小囊肿.少量腹水.
以下是引用随光逐影在2008-8-7 9:12:00的发言:[br]1)考虑胰腺炎伴假性囊肿形成可能性大;胰腺囊腺瘤待排。2)左肾小囊肿。3)少量腹水。
以下是引用zjzjr在2008-8-7 8:38:00的发言:[br]支持胰腺炎伴假囊肿形成,左肾小囊肿.少量腹水.
以下是引用云翔在2008-8-7 6:20:00的发言:[br]胰尾部囊性病变,考虑假囊肿,结合实验室检查疾病史
| 欢迎光临 医影在线 (http://bbs.radida.com/bbs/) | Powered by Discuz! X3.2 |