医影在线
标题: CT15050:女,46岁,咳嗽胸痛一月余 [打印本页]
作者: 边生丽 时间: 2008-8-7 17:57
标题: CT15050:女,46岁,咳嗽胸痛一月余





































[本贴已被 边生丽 于 2008-8-7 10:21:40 修改过]
[本贴已被 jiajie 于 2008-8-7 12:32:35 修改过]
作者: 边生丽 时间: 2008-8-7 18:16
标题: 继续上传




[本贴已被 边生丽 于 2008-8-7 10:20:26 修改过]
作者: 黑白光影 时间: 2008-8-7 18:19
没传完?
作者: muzi888 时间: 2008-8-7 18:21
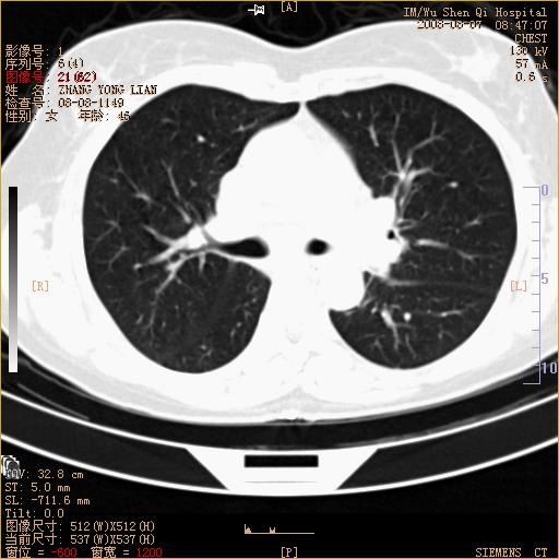
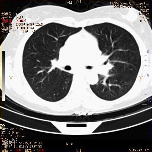
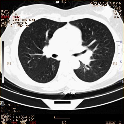
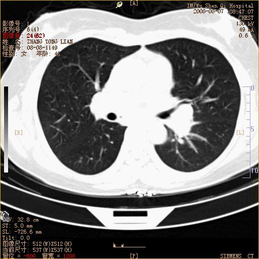
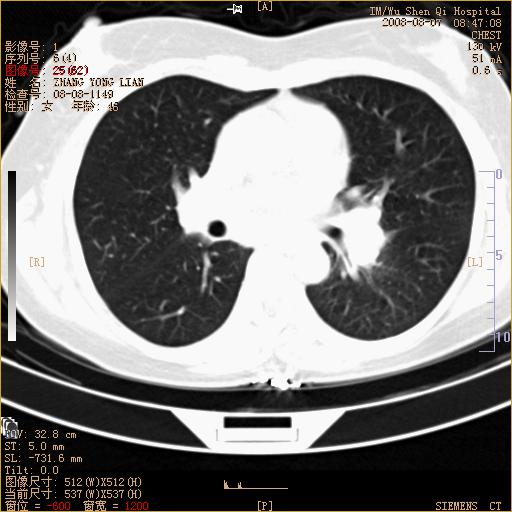
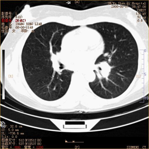
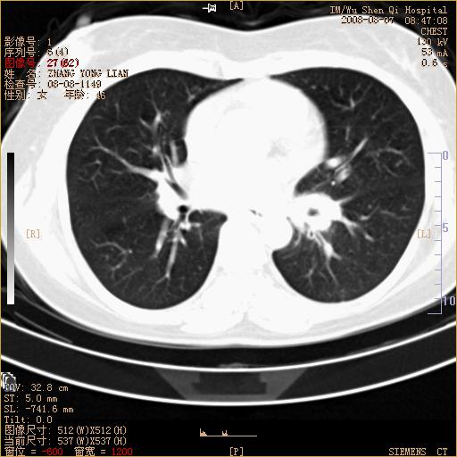
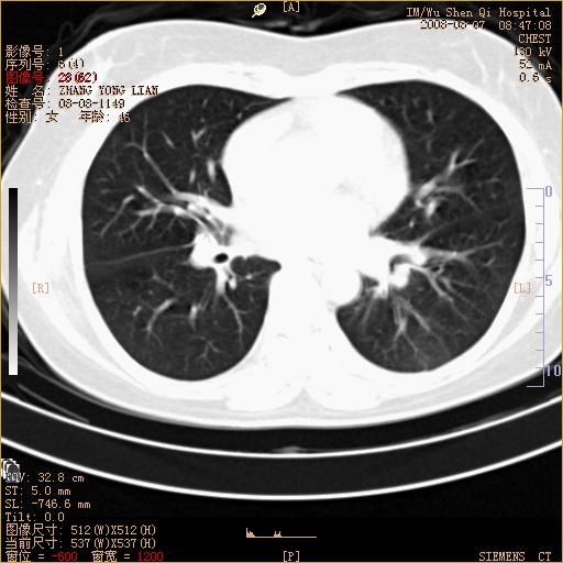
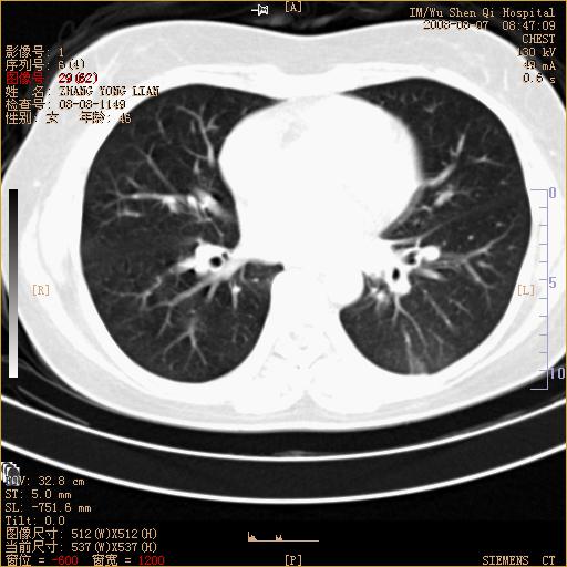
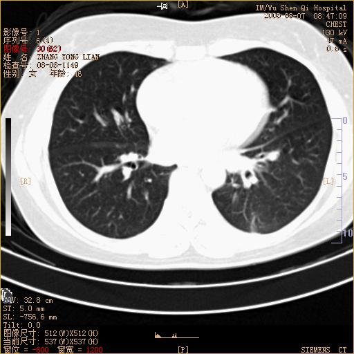
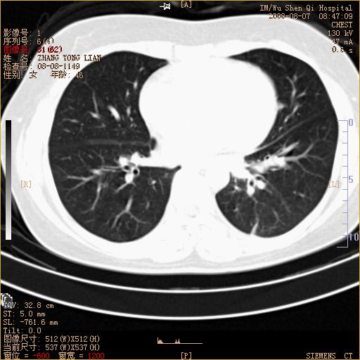
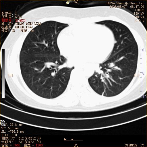
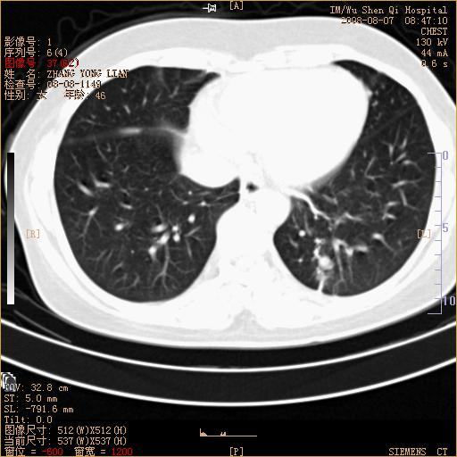
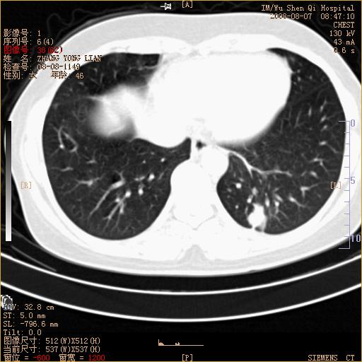
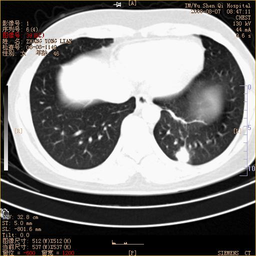
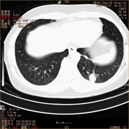
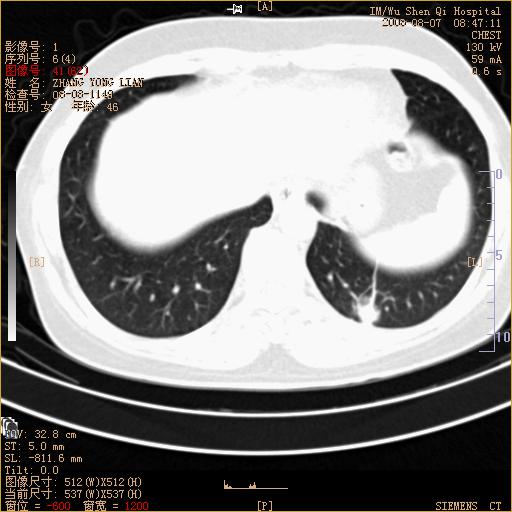
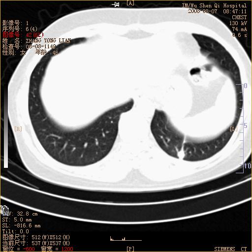
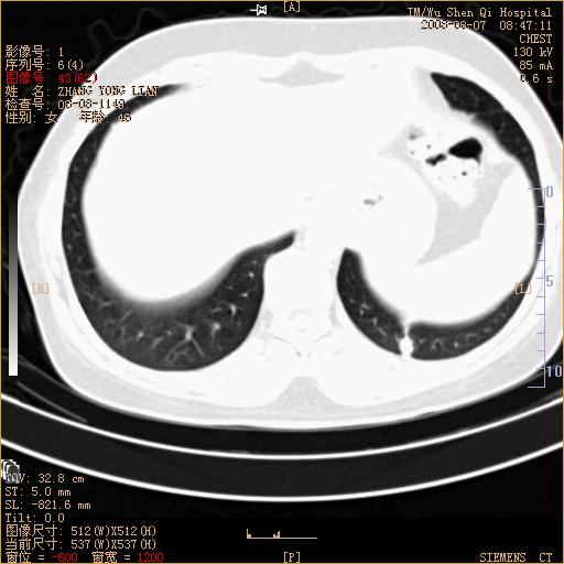
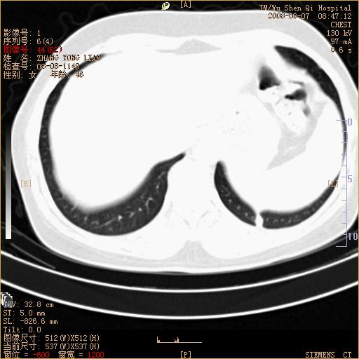
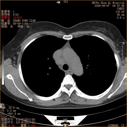
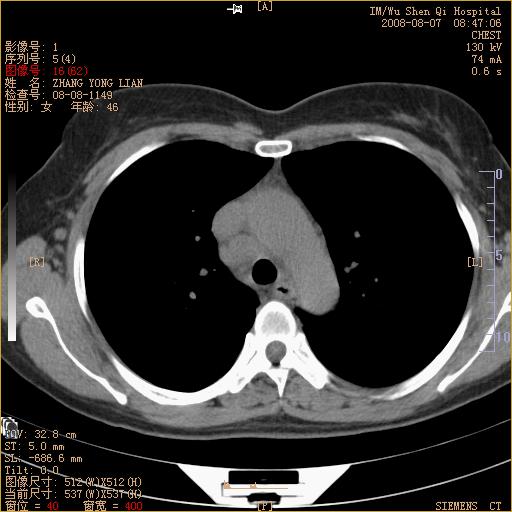
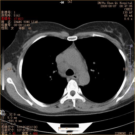
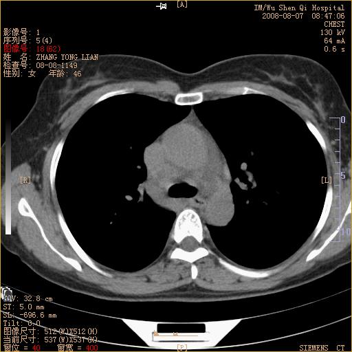
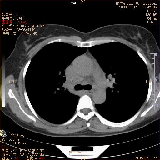
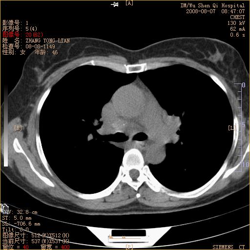
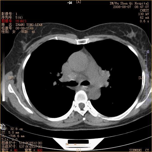
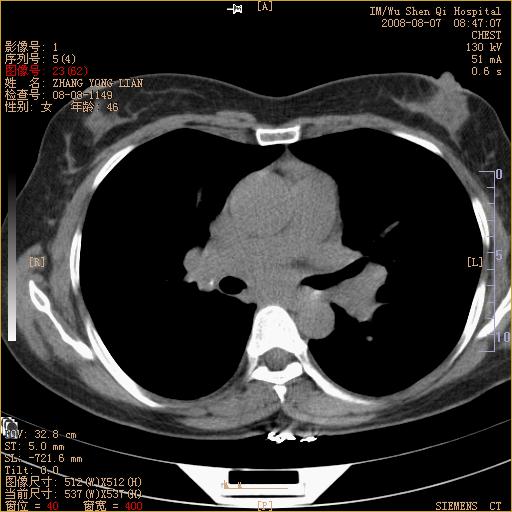
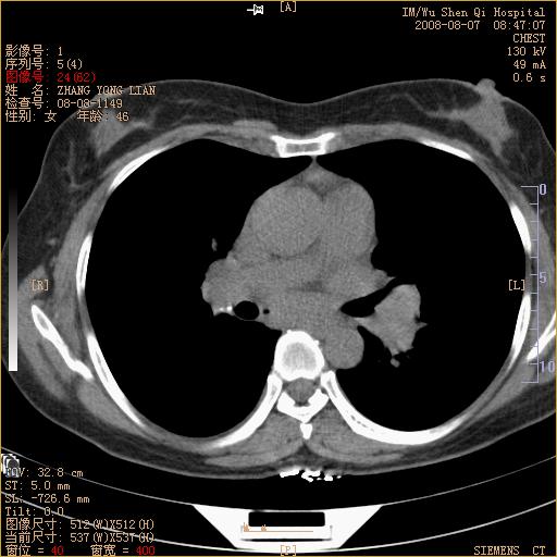
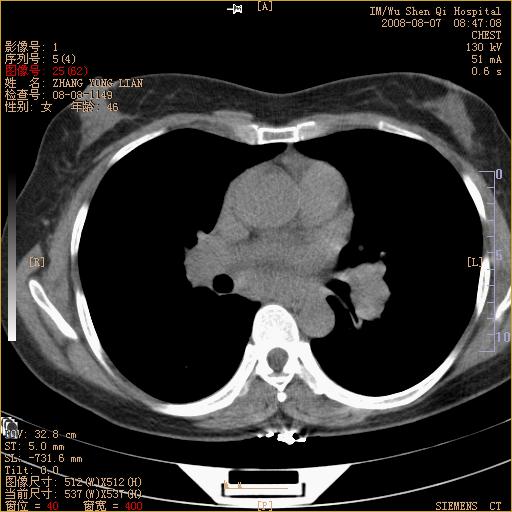
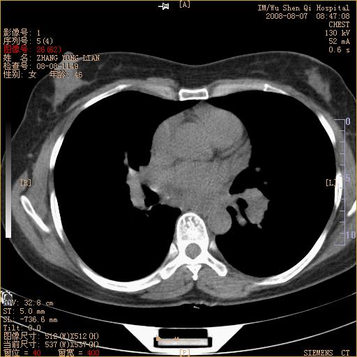
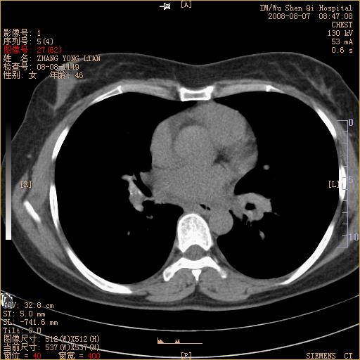
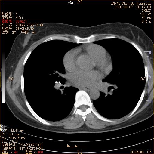
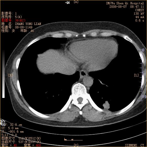
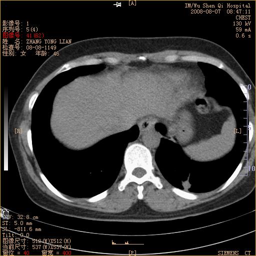
纵隔窗没发全,左下肺近胸膜处结节。有长毛刺,纵隔淋巴结增大,不排除恶性病变。
作者: 边生丽 时间: 2008-8-7 18:21
这几幅都比较重要 ……
作者: 黑白光影 时间: 2008-8-7 18:22
考虑肺癌
作者: dyqct 时间: 2008-8-7 18:28
考虑左肺下叶后基底段周围型肺癌伴纵隔淋巴结转移可能性大。
作者: fpl784177 时间: 2008-8-7 18:32
左下肺ca并纵隔及左肺门区淋巴结转移。
作者: fpl784177 时间: 2008-8-7 18:39
脾脏低密度结节转移不排除。
作者: 358450m 时间: 2008-8-7 18:41
标题: 回复:女,46岁,咳嗽胸痛一月余
以下是引用dyqct在2008-8-7 10:28:00的发言:[br]考虑左肺下叶后基底段周围型肺癌伴纵隔淋巴结转移可能性大。
作者: 随光逐影 时间: 2008-8-7 18:47
1)考虑左肺下叶后基底段周围型肺癌伴纵隔淋巴结转移。2)脾内低密度灶,性质待定;不排除转移瘤可能。
作者: 深泽交通 时间: 2008-8-7 19:05
标题: 回复:女,46岁,咳嗽胸痛一月余
以下是引用fpl784177在2008-8-7 10:32:00的发言:[br]左下肺ca并纵隔及左肺门区淋巴结转移。
作者: guanaishengming 时间: 2008-8-7 20:01
考虑左肺下叶后基底段周围型肺癌伴纵隔及肺门淋巴转移。
作者: zjzjr 时间: 2008-8-7 20:10
考虑左肺下叶后基底段周围型肺癌伴纵隔淋巴结转移可能性大。
作者: yangyudong333 时间: 2008-8-7 23:44
考虑左肺下叶后基底段周围型肺癌伴纵隔淋巴结转移可能性大。
作者: zsl6918 时间: 2008-8-8 01:04
恶性度很高的肺癌.
作者: qc80012345 时间: 2008-8-8 01:57
资料不全。
作者: yy杨洋 时间: 2008-8-8 04:09
标题: 回复:ct15050:女,46岁,咳嗽胸痛一月余
以下是引用随光逐影在2008-8-7 10:47:00的发言:[br]1)考虑左肺下叶后基底段周围型肺癌伴纵隔淋巴结转移。2)脾内低密度灶,性质待定;不排除转移瘤可能。[br] [br]
支持
作者: zhengfaming 时间: 2008-8-8 06:32
考虑肺癌并纵隔淋巴结转移
作者: jinguoji 时间: 2008-8-8 07:14
标题: 回复:ct15050:女,46岁,咳嗽胸痛一月余
以下是引用随光逐影在2008-8-7 10:47:00的发言:[br]1)考虑左肺下叶后基底段周围型肺癌伴纵隔淋巴结转移。2)脾内低密度灶,性质待定;不排除转移瘤可能。[br] [br]
支持!
作者: xulianj 时间: 2008-8-9 03:36
考虑左肺下叶后基底段周围型肺癌伴纵隔淋巴结转移可能性大。
作者: wzr 时间: 2008-8-9 05:01
考虑左肺下叶后基底段周围型肺癌伴纵隔淋巴结转移可能性大。
| 欢迎光临 医影在线 (http://bbs.radida.com/bbs/) |
Powered by Discuz! X3.2 |