医影在线

标题: CT15079:奥运之夜,发贴之一;典型!双侧骶髂关节致密性骨 [打印本页]

作者: 光影相伴    时间: 2008-8-9 06:27
标题: CT15079:奥运之夜,发贴之一;典型!双侧骶髂关节致密性骨
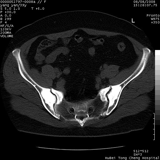
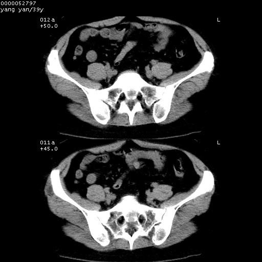
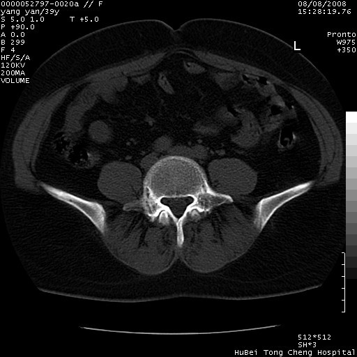
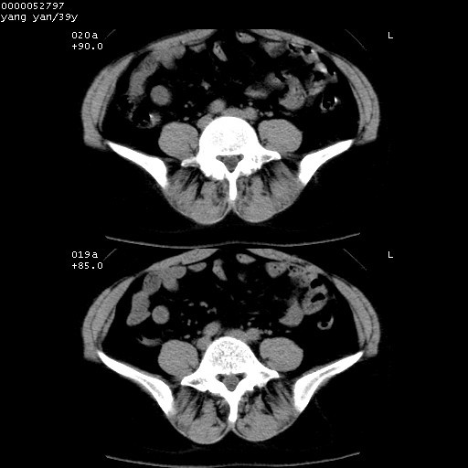
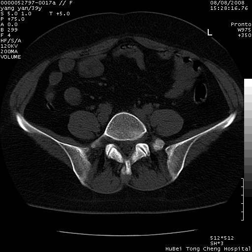
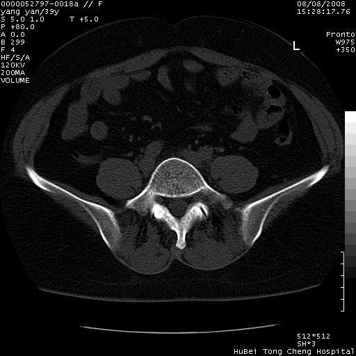
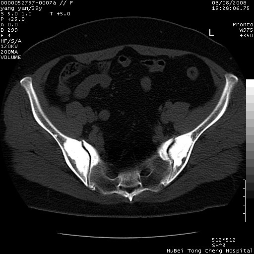
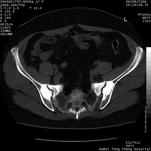
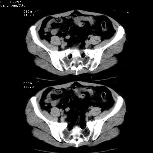
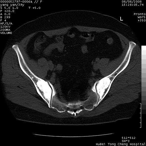
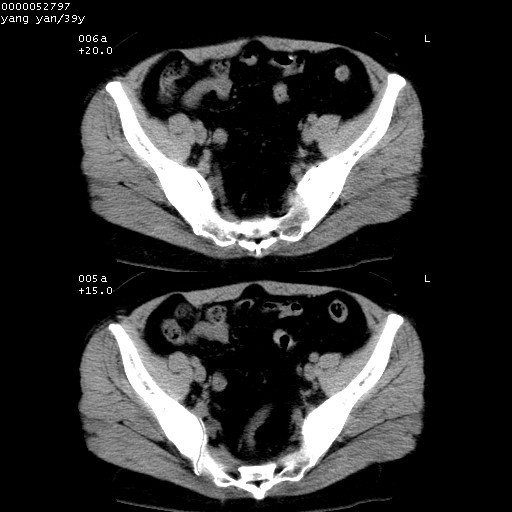
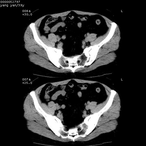
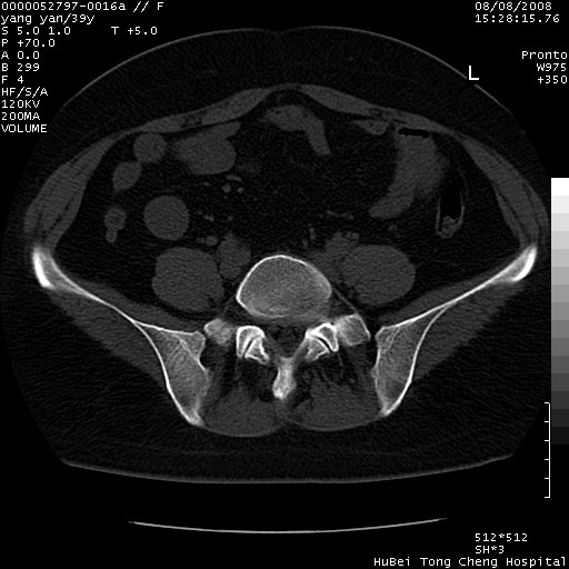
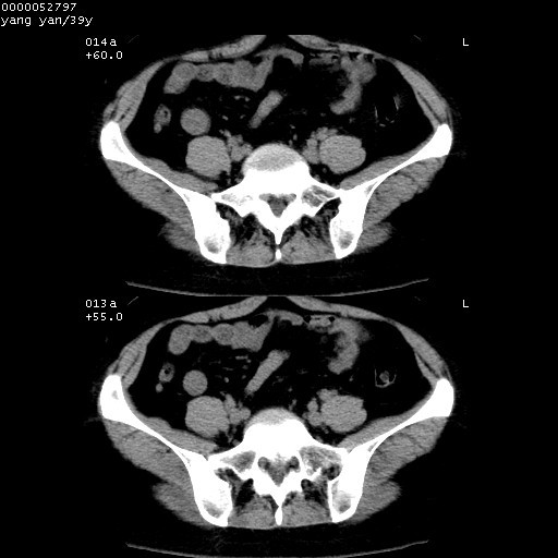
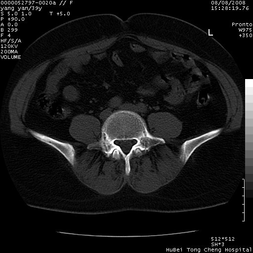
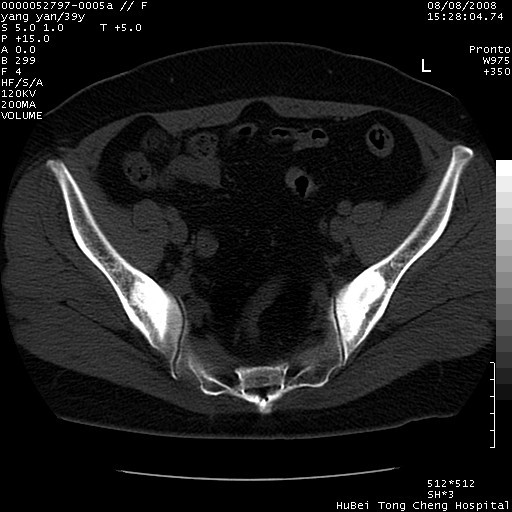
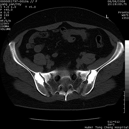
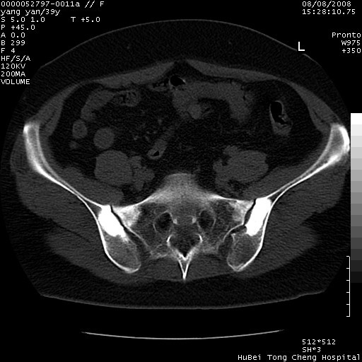
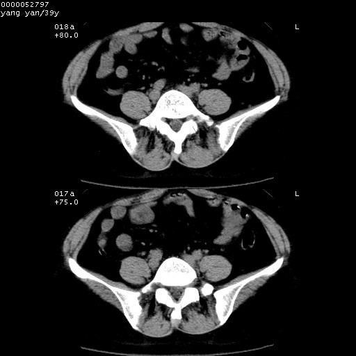
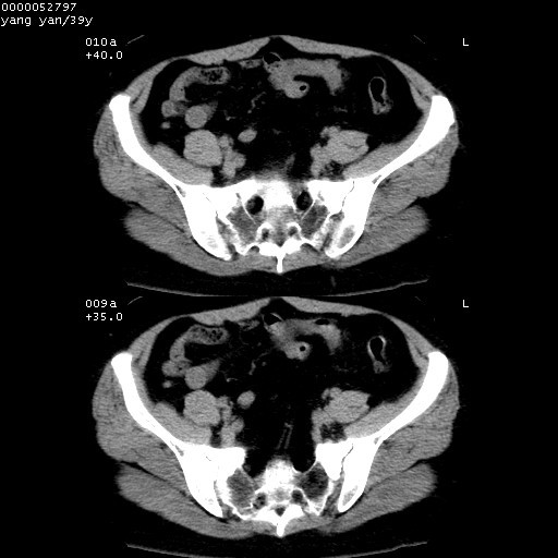
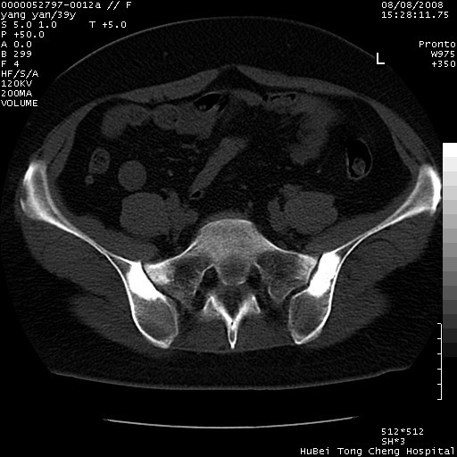
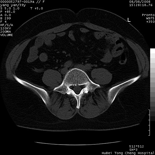
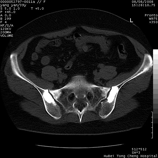
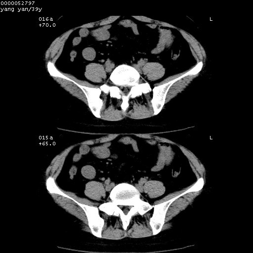
患者 女,39岁。因外伤检查,偶然发现。



































[本贴已被 翁志蓬 于 2008-8-9 1:05:28 修改过]

作者: wzr    时间: 2008-8-9 06:34
典型!双侧骶髂关节致密性骨炎。
作者: panyishengct    时间: 2008-8-9 06:35
学习了
作者: xinhengfu    时间: 2008-8-9 06:37
同意 但能除外强脊早期吗?
作者: aosangwa    时间: 2008-8-9 06:53
标题: 回复:奥运之夜,发贴之一;典型!双侧骶髂关节致密性骨
以下是引用wzr在2008-8-8 22:34:00的发言:[br]典型!双侧骶髂关节致密性骨炎。

作者: 358450m    时间: 2008-8-9 06:54
双侧骶髂关节致密性骨炎。
作者: wangzhengyuan    时间: 2008-8-9 07:30
支持!
怎么都不去看奥运,都在这学习啊!
作者: zybjswdl    时间: 2008-8-9 08:49
典型。
作者: yy杨洋    时间: 2008-8-9 08:57
典型。
作者: guanaishengming    时间: 2008-8-9 09:44
以下是引用wzr在2008-8-8 22:34:00的发言:
典型!双侧骶髂关节致密性骨炎。
作者: yangyudong333    时间: 2008-8-9 14:53
病变累及髂骨关节面,腰椎椎小关节结构紊乱,不除外强直性脊柱炎,建议结合实验室检查
作者: 随光逐影    时间: 2008-8-9 15:32
典型——双侧骶髂关节致密性骨炎。
作者: 37度    时间: 2008-8-9 15:58
典型。
作者: zsl6918    时间: 2008-8-9 16:01
典型!病变主要累及双侧髂骨。常见于育龄期妇女。
作者: 形影不离    时间: 2008-8-9 16:35
标题: 回复:ct15079:奥运之夜,发贴之一;典型!双侧骶髂关节致
以下是引用wangzhengyuan在2008-8-8 23:30:00的发言:[br]支持![br]怎么都不去看奥运,都在这学习啊!

楼主辛苦了!
作者: dyqct    时间: 2008-8-9 17:04
典型!没说的。
作者: jiangjing    时间: 2008-8-9 17:23
典型!双侧骶髂关节致密性骨炎。
作者: wansheng    时间: 2008-8-9 18:01
典型!双侧骶髂关节致密性骨炎。学习了!
作者: zjzjr    时间: 2008-8-9 18:03
典型!双侧骶髂关节致密性骨炎。
作者: 边生丽    时间: 2008-8-9 18:09
学习了
作者: 文莱    时间: 2008-8-9 18:26
双侧骶髂关节致密性骨炎
作者: 深泽交通    时间: 2008-8-9 18:27
标题: 回复:ct15079:奥运之夜,发贴之一;典型!双侧骶髂关节致
以下是引用wzr在2008-8-8 22:34:00的发言:[br]典型!双侧骶髂关节致密性骨炎。

作者: sdzyy    时间: 2008-8-9 18:34
典型!
作者: xulianj    时间: 2008-8-10 00:05
典型!支持
作者: 黑白光影    时间: 2008-8-10 00:39
很典型!支持楼主。
作者: jinguoji    时间: 2008-8-10 01:32
典型双侧骶髂关节致密性骨炎。
作者: 杀毒软件    时间: 2008-8-10 01:32
典型
作者: hexue    时间: 2008-8-10 07:40
典型!双侧骶髂关节致密性骨炎。
作者: dr.yang    时间: 2012-1-29 20:54
典型——双侧骶髂关节致密性骨炎。
此病多发女性,可能和避孕药有关
作者: pujunzhi    时间: 2012-1-30 10:38
典型!双侧骶髂关节致密性骨炎。
作者: 12640484    时间: 2014-1-15 15:45
致密性骨炎,一般不跨越关节面,可是这个骶骨关节面也有硬化。
双侧骶髂关节骨性关节炎能排除吗?
作者: wulingfeng329    时间: 2014-4-12 19:07
困惑?
书上只有提到过-----髂骨致密性骨炎,而从来没有说过骶髂关节致密性骨炎?
髂骨致密性骨炎是能经常能见到骶骨类似的病变,那最后诊断写什么比较合适?
有高人解答。。。。。。。。。。。。。
作者: 随光逐影    时间: 2014-7-19 14:38
髂骨致密性骨炎系一种以骨质硬化为特点的非特异性炎症,有高度致密的骨硬化现象,尤其以髂骨下2/3更为明显,但关节间隙则无改变。因位于骶髂关节,且该关节症状明显,故又称之为“骶髂关节致密性骨炎”。 本病90%以上为中年女性,以妊娠后期、尤其分娩后为多见,亦可见于尿路或女性附件慢性感染后,或盆腔内其他感染。此外,臀骶部的外伤亦可诱发或引起本病。  妊娠、分娩及外伤均可引起骶髂关节韧带的撕裂而易使局部的血供受阻。因此早期局部呈现充血、水肿及渗出增加等,渐而局部出现增生与变性反应,随着胶原纤维的致密化而向硬化演变;血管形成厚壁血管,易闭塞而引起髂骨耳状面处缺血和缺氧,骨质呈现硬化性改变,以致手术时局部出血较少。骶髂关节囊壁显示纤维增生、弹性降低及松动样改变。继发于盆腔内炎症者亦出现相类似的病理改变,可能系细菌内毒素作用所致。   




欢迎光临 医影在线 (http://bbs.radida.com/bbs/) Powered by Discuz! X3.2