医影在线

标题: CT15118:f-27y,左颈部肿一个月,无发热、无压痛 [打印本页]

作者: 天南地北    时间: 2008-8-12 02:08
标题: CT15118:f-27y,左颈部肿一个月,无发热、无压痛
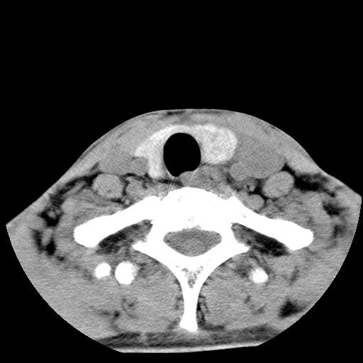
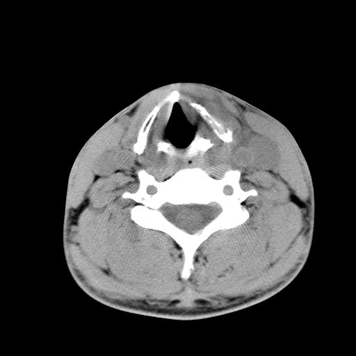
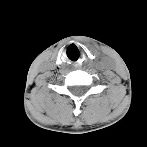
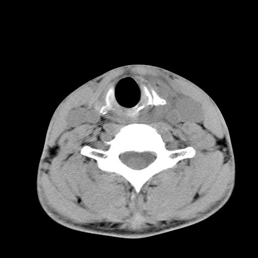
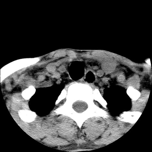
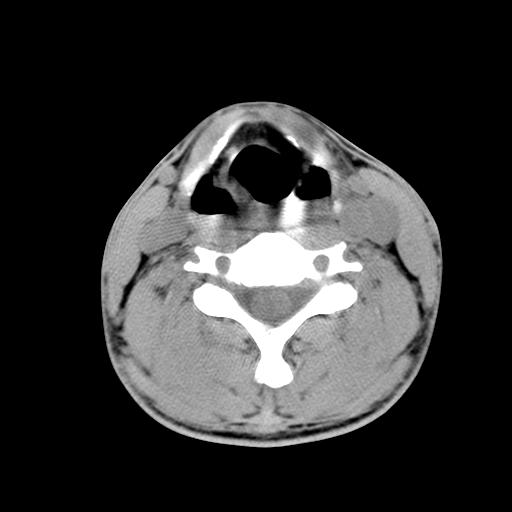
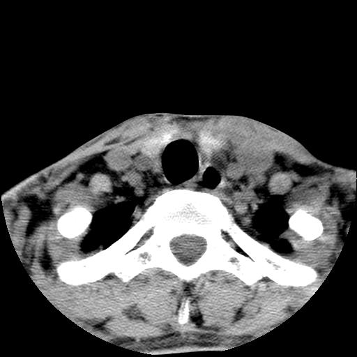
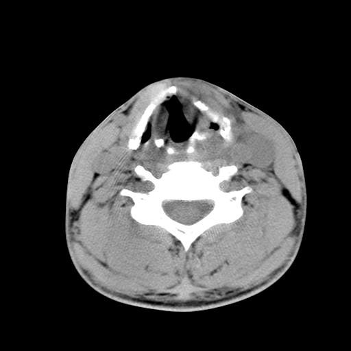
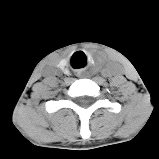
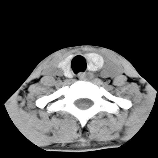
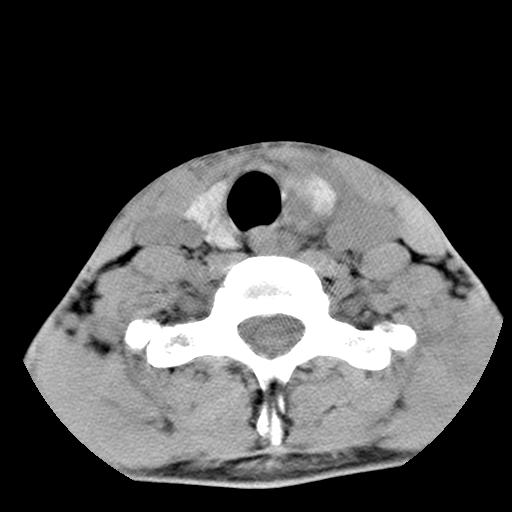
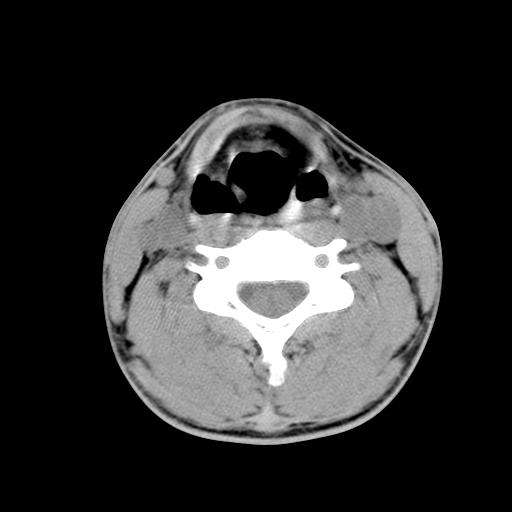
请教各位有几个问题:
1、甲状腺左叶病变:腺瘤?结节性增生?其他?
2、上极周围间隙病变。
3、2者关系?

















[本贴已被 jiajie 于 2008-8-11 20:49:41 修改过]

作者: 358450m    时间: 2008-8-12 03:35
结节性增生
作者: xulianj    时间: 2008-8-12 05:17
建议增强,以提供更多信息。
作者: zsl6918    时间: 2008-8-12 07:18
建议强化观察
作者: lyb999    时间: 2008-8-12 07:50
左侧甲状腺肿大,密度不均.同侧甲状软骨似有破坏(建议传骨窗).左侧颈静脉增粗,各组织之间分界不清,有多个肿大淋巴结.甲状腺肿并感染?临床症状不符.淋巴结核?请结合其他检查.
作者: zjzjr    时间: 2008-8-12 18:11
结节性甲状腺肿
作者: 晓杰    时间: 2008-8-12 18:27
结节性甲状腺肿
作者: 随光逐影    时间: 2008-8-13 03:24
考虑结节性甲状腺肿;建议必要时行进一步检查。




欢迎光临 医影在线 (http://bbs.radida.com/bbs/) Powered by Discuz! X3.2