

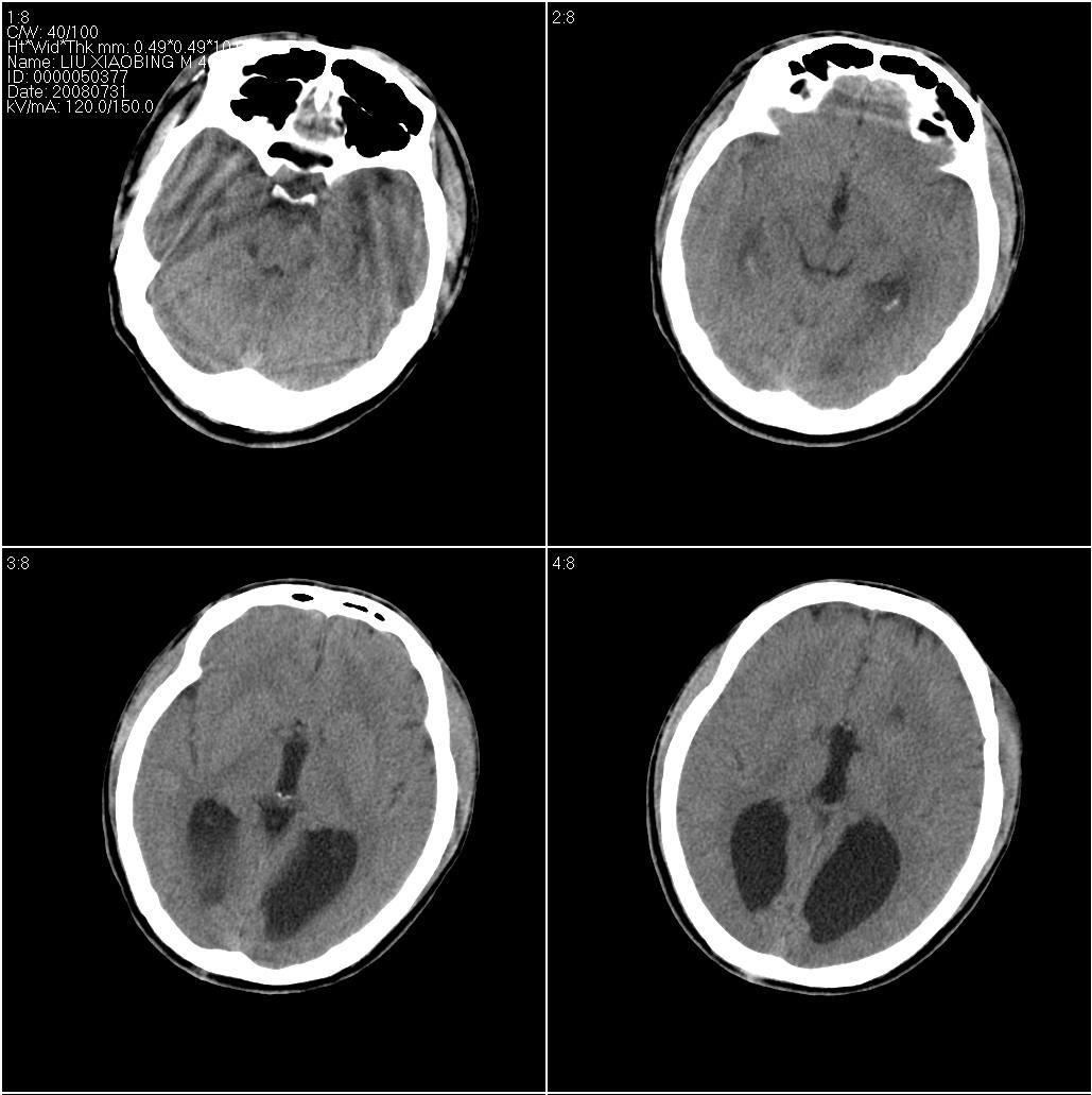
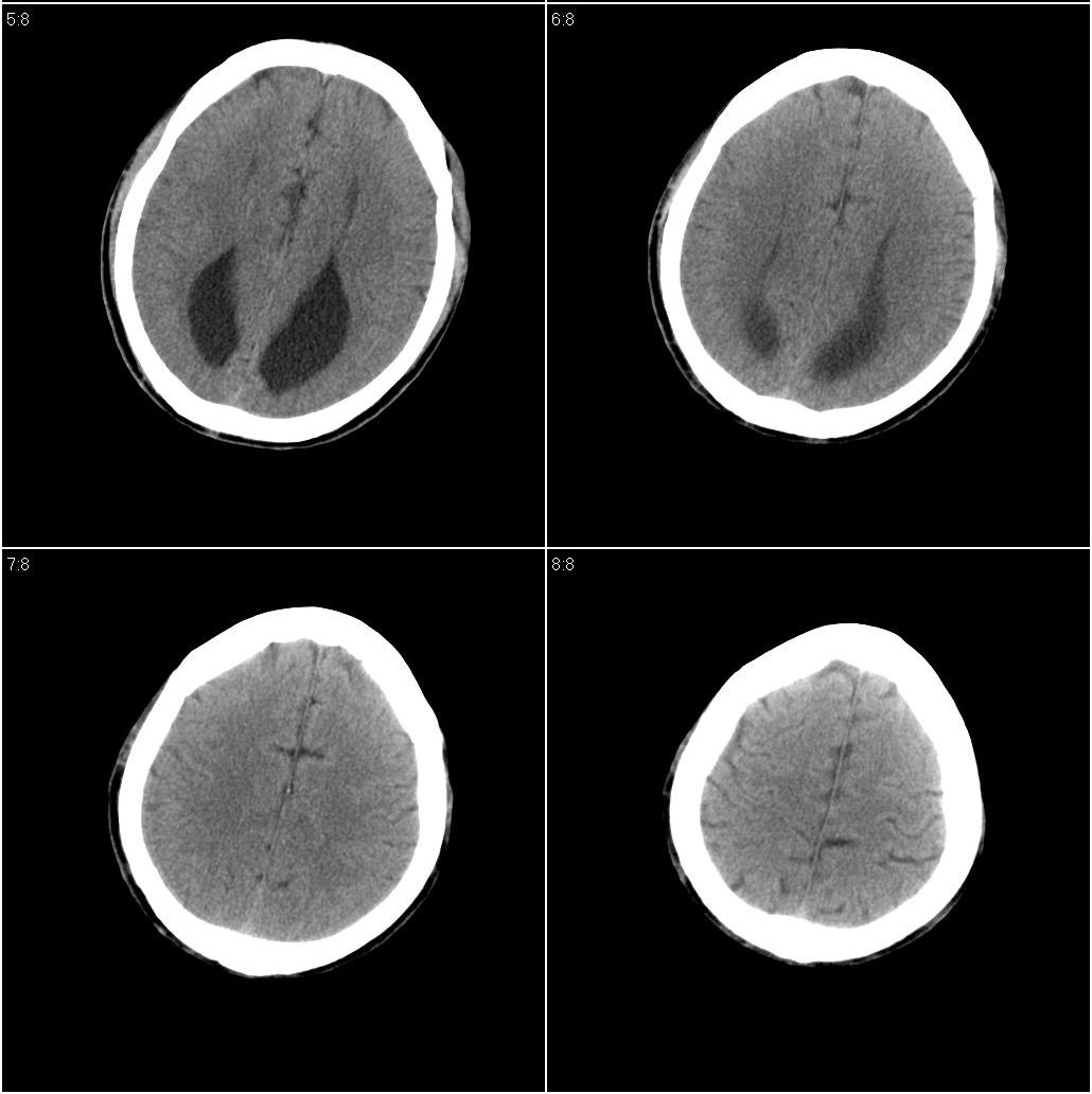
以下是引用牟言科在2008-8-11 20:00:00的发言:[br]ct表现:三脑室扩大并向上移位,双侧脑室体部变小、变直,体部间距扩大,枕角扩张,前纵裂向后延伸。[br]诊断:胼胝体发育不良[br]鉴别诊断:脑积水,侧脑室或三脑室整体扩大,交通性的四脑室也可以扩大,脑沟和脑裂增宽。
以下是引用yangyudong333在2008-8-12 7:03:00的发言:[br]支持 胼胝体发育不良。[br] [br] [br]

以下是引用牟言科在2008-8-11 20:00:00的发言:[br]ct表现:三脑室扩大并向上移位,双侧脑室体部变小、变直,体部间距扩大,枕角扩张,前纵裂向后延伸。[br]诊断:胼胝体发育不良[br]鉴别诊断:脑积水,侧脑室或三脑室整体扩大,交通性的四脑室也可以扩大,脑沟和脑裂增宽。
| 欢迎光临 医影在线 (http://bbs.radida.com/bbs/) | Powered by Discuz! X3.2 |