医影在线

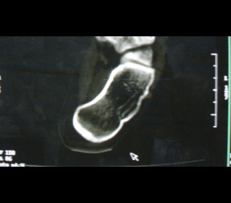
标题: CT15130:女性,24岁,左跟骨疼痛,X线发现小片状高密度影,C [打印本页]

作者: 心愿    时间: 2008-8-12 04:52
标题: CT15130:女性,24岁,左跟骨疼痛,X线发现小片状高密度影,C
跟骨前方低密度ct值-60hu













[本贴已被 jiajie 于 2008-8-11 21:11:21 修改过]

作者: 心愿    时间: 2008-8-12 04:54
请高手指点!
作者: 358450m    时间: 2008-8-12 04:59
骨瘤
作者: 杀毒软件    时间: 2008-8-12 04:59
跟骨骨髓窦可能性大
作者: 杀毒软件    时间: 2008-8-12 05:00
高密度影为骨岛
作者: 江洋    时间: 2008-8-12 05:10
血管瘤
作者: 前行    时间: 2008-8-12 05:33
1致密骨岛;2跟骨骨髓窦。
作者: xulianj    时间: 2008-8-12 05:45
跟骨骨髓窦
作者: LIAIZHI    时间: 2008-8-12 06:17
高密度是骨岛。2跟骨骨随窦。
作者: 312nanyang    时间: 2008-8-12 06:33
骨髓窦概念:是指松质骨内先天性骨小梁发育稀少,各组骨小梁间的骨小梁少或缺如,形成一空腔,内含有骨髓,称为骨髓窦,为正常解剖变异。骨髓窦以跟骨最多见,简称骨髓窦,其次见于股骨颈、股骨远端及髋臼上缘等处。
形成原因:跟骨窦的形成 跟骨示足弓的重要支点,承受着来自自身及负荷的重量。为了适应承受重量的力学需要,跟骨的结构十分精密合理。其骨小梁的发育有三组:①自跟距关节后缘向后下方呈斜向走行;②沿跟骨下方分布;③自跟结节处向前方伸展。三组骨小梁间有一个类三角形、圆形或椭圆形透亮区,即跟骨窦。
跟骨窦的表现:观察跟骨窦以侧位平片为佳。其特点是位于跟骨前部中央,跟骨沟后方,尖端向上,足弓后上部,承受重量轻的特定位置。窦的基底与跟骨下缘平行。与窦基底相当的跟骨下缘皮质密度高,呈致密带状或线状。窦内骨小梁稀少或缺如。边缘清楚整齐,无硬化。大小1-3cm。窦内有时可见营养沟。多数为单侧,少数双侧对称发生。窦周骨质正常。
鉴别诊断:1.跟骨囊肿 囊肿多位于跟骨后中部,与跟骨窦位置不同。呈圆形或椭圆形,囊内无骨小梁,高度透亮,膨胀生长,周边轻度硬化。2.单房性巨细胞瘤 破坏区边缘清楚,内无骨间隔。骨皮质变薄。临床上有疼痛。肿瘤多位于跟骨后部,肿瘤中心多在跟骨窦之后。3.跟骨结核 病变范围较小,病变呈不规则破坏,边缘模糊,无硬化
作者: zsl6918    时间: 2008-8-12 06:38
符合跟骨窦表现
作者: yy杨洋    时间: 2008-8-12 06:46
高密度是骨岛。2跟骨骨随窦。
作者: panyishengct    时间: 2008-8-12 06:51
高密度是骨岛。2跟骨骨随窦。
作者: yanghuixing    时间: 2008-8-12 10:02
标题: 回复:ct15130:女性,24岁,左跟骨疼痛,x线发现小片状高密
以下是引用杀毒软件在2008-8-11 21:00:00的发言:[br]高密度影为骨岛

作者: zjzjr    时间: 2008-8-12 17:36
密度是骨岛。2跟骨骨随窦。
作者: 随光逐影    时间: 2008-8-13 03:18
考虑为:1)跟骨骨髓窦。2)致密骨岛。
作者: 黑白光影    时间: 2008-8-13 06:48
高密度是骨岛。2跟骨骨随窦。




欢迎光临 医影在线 (http://bbs.radida.com/bbs/) Powered by Discuz! X3.2