医影在线

标题: CT15131:M63Y,胸痛2月,加重一周 [打印本页]

作者: 影像孺子牛    时间: 2008-8-12 05:27
标题: CT15131:M63Y,胸痛2月,加重一周
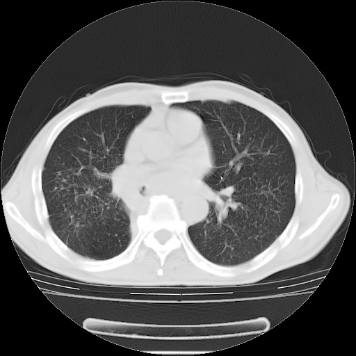
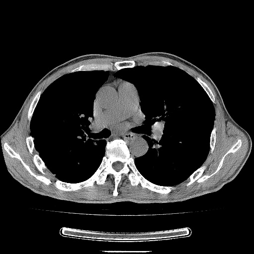
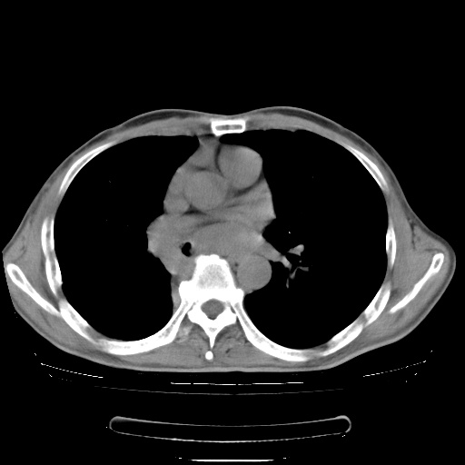
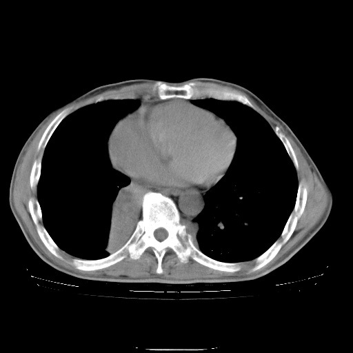
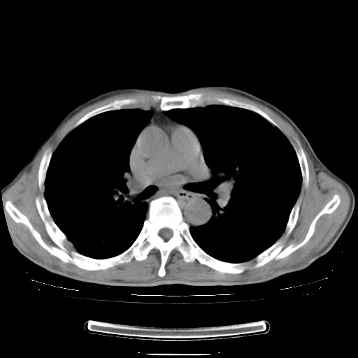
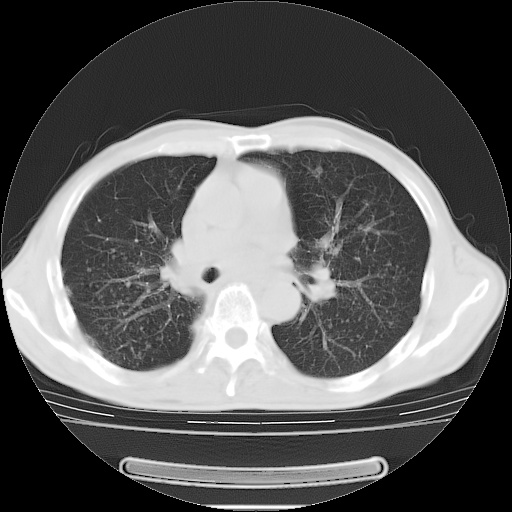
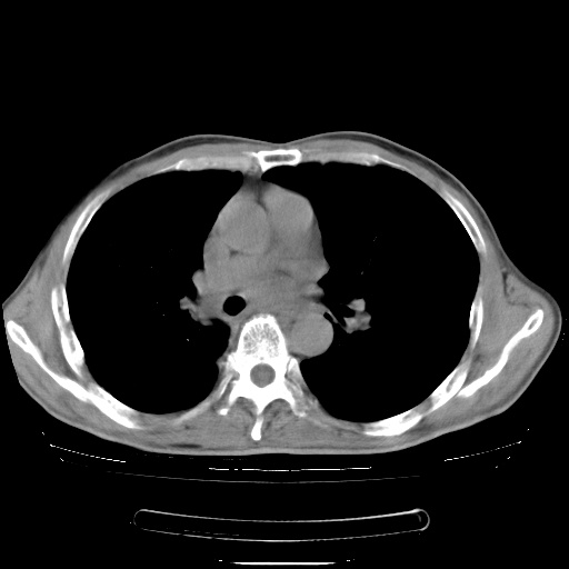
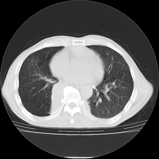
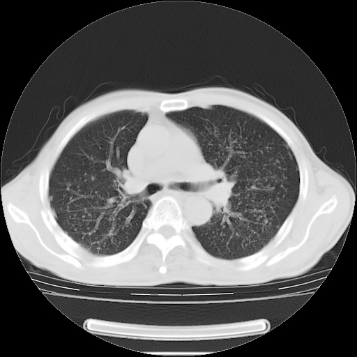
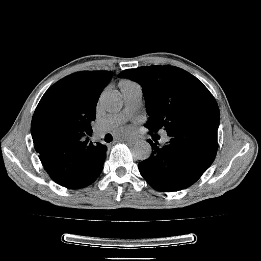
男性患者,63岁。右侧胸背部疼痛2月,加重一周。


































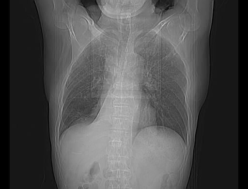
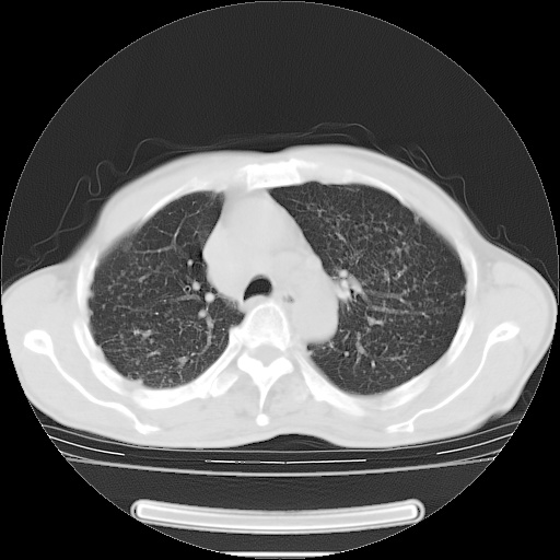
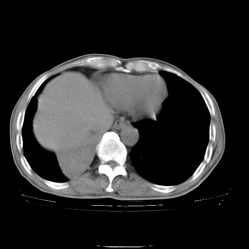
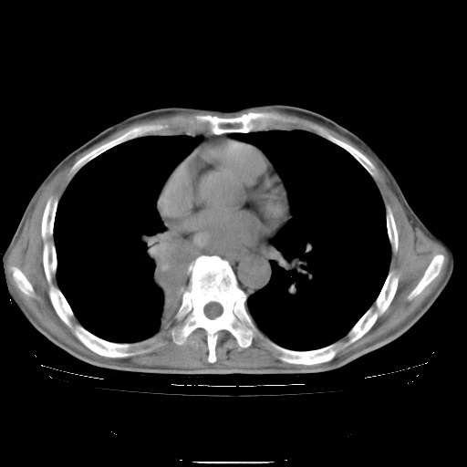
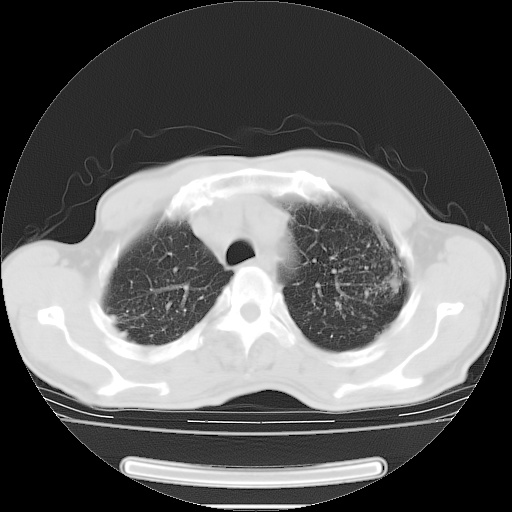
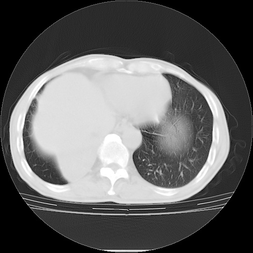
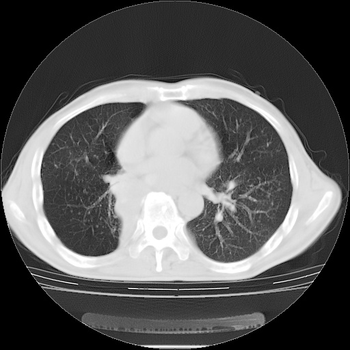
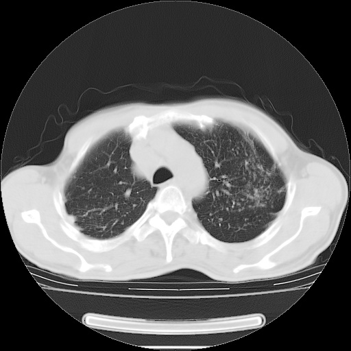
考虑:右肺中央型肺癌并右肺下叶不张;两肺尖继发性肺结核。

[本贴已被 jiajie 于 2008-8-11 21:34:07 修改过]

作者: 牟言科    时间: 2008-8-12 05:33
提示楼主:
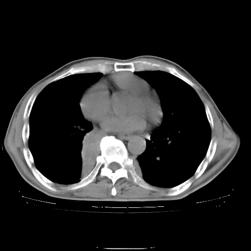
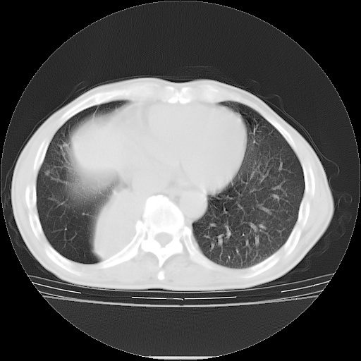
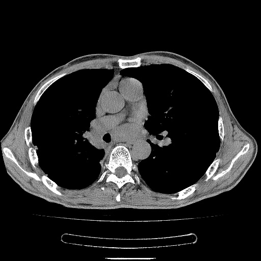
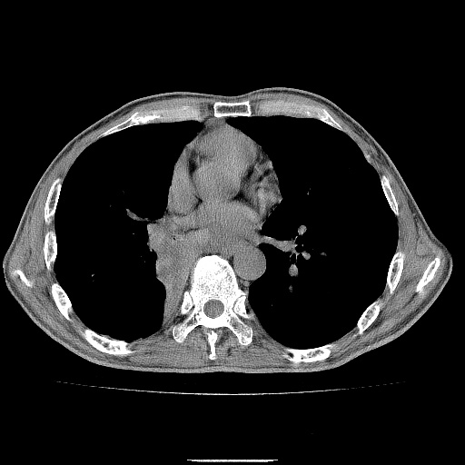
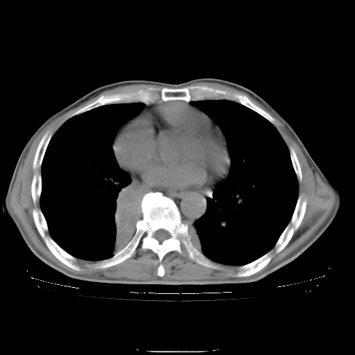
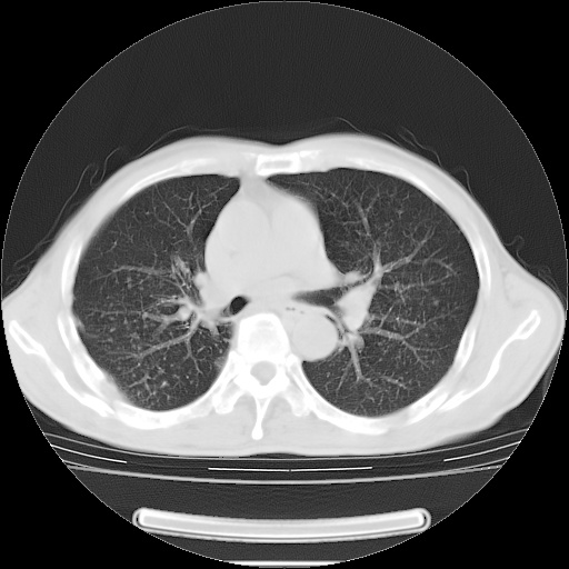
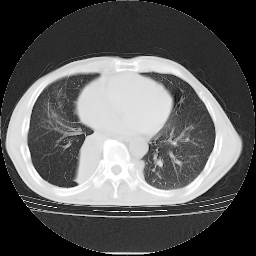
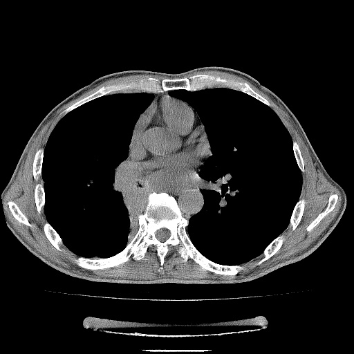
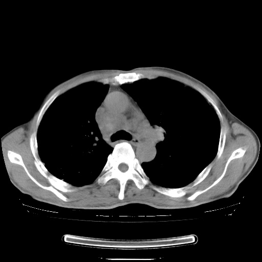
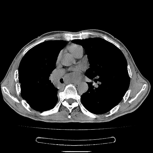
还有纵隔多处肿大淋巴结及肋骨的改变、两肺多发结节灶。
作者: 杀毒软件    时间: 2008-8-12 05:37
还有----下叶不张   挺典型
作者: xulianj    时间: 2008-8-12 05:48
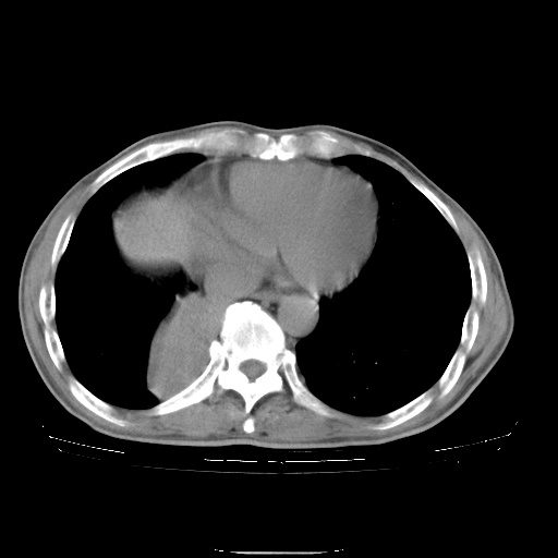
右下中央型肺癌伴肺内纵膈转移。
作者: zhengfaming    时间: 2008-8-12 06:14
右下肺中心型肺癌并肺不张
纵隔淋巴结转移
没见有肋骨的改变啊?
作者: LIAIZHI    时间: 2008-8-12 06:15
考虑右中心型肺癌并右下肺不张,肺及纵隔,左肋骨转移。
作者: guanaishengming    时间: 2008-8-12 06:23
考虑右中心型肺癌并右下肺不张,肺及纵隔,左肋骨转移。
作者: 312nanyang    时间: 2008-8-12 06:25
右肺下叶支气管狭窄闭塞,右下肺不张,气管前间隙淋巴结肿大,两上肺散在分部粟粒灶,沿肺血管支气管束分部,血管支气管束走形较为光滑。考虑右肺中心型肺癌合并肺不张,纵隔淋巴结转移,两上肺癌性淋巴管炎
作者: 358450M    时间: 2008-8-12 06:30
标题: 回复:ct15131:m63y,胸痛2月,加重一周
以下是引用xulianj在2008-8-11 21:48:00的发言:[br]右下中央型肺癌伴肺内纵膈转移。

作者: zsl6918    时间: 2008-8-12 06:34
右肺下叶中心性肺癌并纵隔淋巴结转移,左侧肋骨转移。双肺上叶继发性结核表现。
作者: yy杨洋    时间: 2008-8-12 06:49
标题: 回复:ct15131:m63y,胸痛2月,加重一周
以下是引用zsl6918在2008-8-11 22:34:00的发言:[br]右肺下叶中心性肺癌并纵隔淋巴结转移,左侧肋骨转移。双肺上叶继发性结核表现。

支持
作者: panyishengct    时间: 2008-8-12 07:00
考虑右中心型肺癌并右下肺不张,肺及纵隔,左肋骨转移。继发性结核表现。
作者: yangyudong333    时间: 2008-8-12 14:47
右下中央型肺癌伴肺内纵膈转移。
作者: zjzjr    时间: 2008-8-12 17:33
考虑右中心型肺癌并右下肺不张,肺及纵隔,左肋骨转移。
作者: 随光逐影    时间: 2008-8-13 03:15
1)右肺下叶中心性肺癌并纵隔淋巴结转移,两肺转移,左侧肋骨转移。2)双肺上叶继发性结核。
作者: 黑白光影    时间: 2008-8-13 06:43
右肺下叶中心性肺癌并纵隔淋巴结及两肺、左侧肋骨转移。双肺上叶继发性结核表现。




欢迎光临 医影在线 (http://bbs.radida.com/bbs/) Powered by Discuz! X3.2