医影在线

标题: CT15133:M17Y,百草枯中毒患者,典型病例分享 [打印本页]

作者: 312nanyang    时间: 2008-8-12 06:17
标题: CT15133:M17Y,百草枯中毒患者,典型病例分享
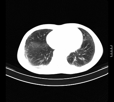
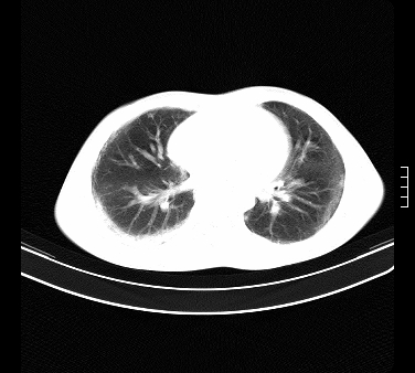
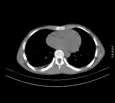
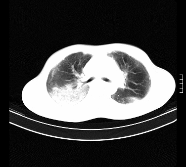
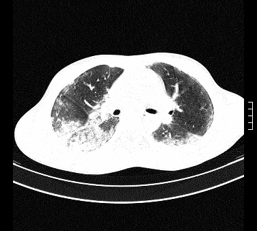
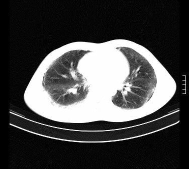
患者,男,17岁,系我院急诊科收治的一例百草枯中毒患者,做ct检查时,距离服药的时间为3天。上传与大家分享
补充:百草枯进入人体内主要分部于肺和骨骼,肺部损伤24小时内出现水肿,2-3天内出现急性呼吸窘迫综合征,1-2周内出现肺纤维化。(引自陈灏珠,实用内科学12版)













[本贴已被 jiajie 于 2008-8-11 22:23:52 修改过]

作者: zsl6918    时间: 2008-8-12 06:22
不错,挺好。符合呼吸窘迫综合征
作者: 358450M    时间: 2008-8-12 06:35
标题: 回复:ct15133:m17y,百草枯中毒患者,典型病例分享
以下是引用zsl6918在2008-8-11 22:22:00的发言:[br]不错,挺好。符合呼吸窘迫综合征

作者: yy杨洋    时间: 2008-8-12 06:54
学习
作者: lyb999    时间: 2008-8-12 08:00
谢谢
作者: yanghuixing    时间: 2008-8-12 09:41
学习了
作者: 正峰    时间: 2008-8-12 13:32
学习了,多谢!
作者: duguo    时间: 2008-8-12 14:10
希望与石家庄平安医院免疫风湿科联系,他们曾成功救治中毒患者
作者: yangyudong333    时间: 2008-8-12 14:40
学习了,多谢!
作者: 吃草吐奶    时间: 2008-8-12 14:49
学习了。
作者: zjzjr    时间: 2008-8-12 16:43
残了,才17岁
作者: 卜一    时间: 2008-8-12 16:56
学习了,多谢!
作者: WYD2008    时间: 2008-8-12 17:10
谢谢!
作者: 随光逐影    时间: 2008-8-13 03:08
学习了,谢楼主!
作者: 黑白光影    时间: 2008-8-13 06:46
学习了,多谢!




欢迎光临 医影在线 (http://bbs.radida.com/bbs/) Powered by Discuz! X3.2