医影在线

标题: CT15138:男,40,咳嗽胸痛. [打印本页]

作者: lizhjie    时间: 2008-8-12 12:57
标题: CT15138:男,40,咳嗽胸痛.















[本贴已被 jiajie 于 2008-8-12 6:35:00 修改过]

作者: lizhjie    时间: 2008-8-12 13:09
标题: 回复:男,40,咳嗽胸痛.
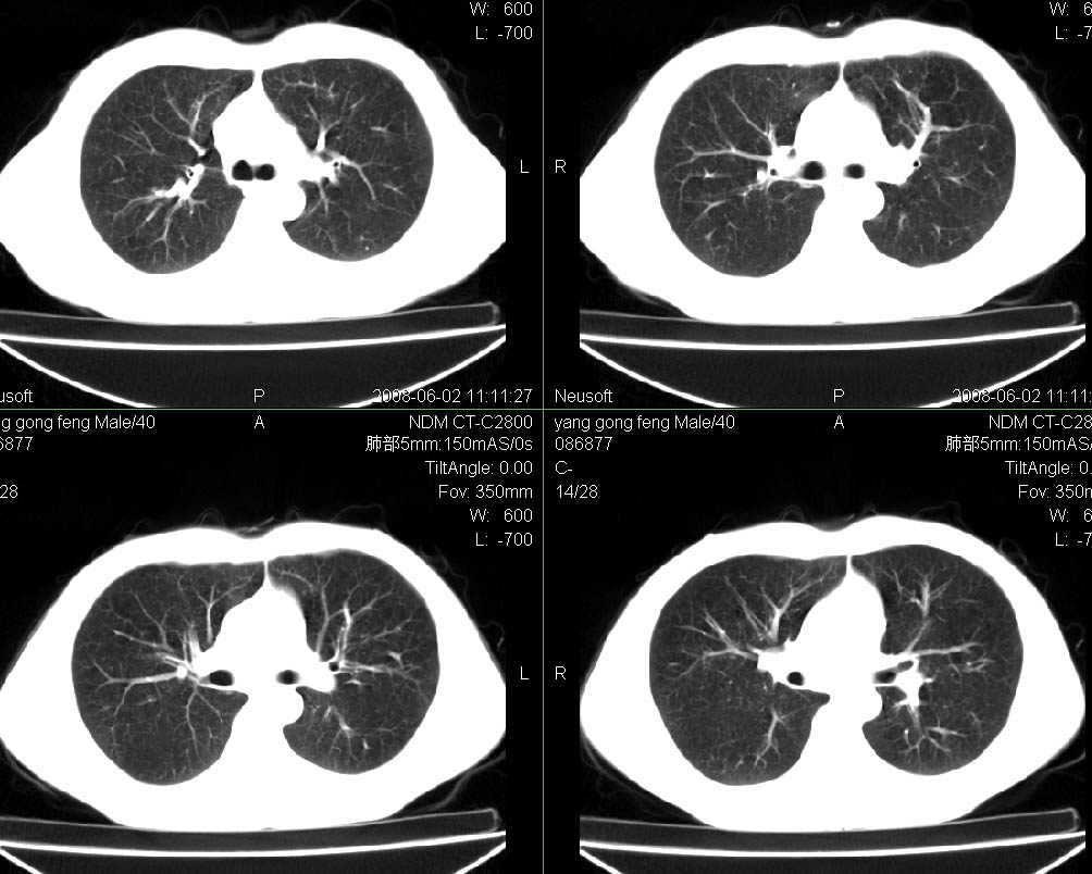
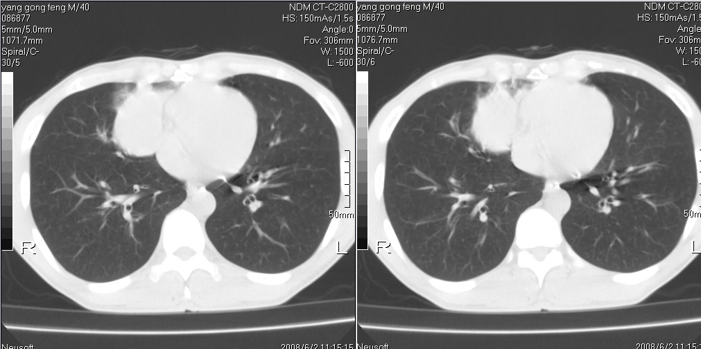
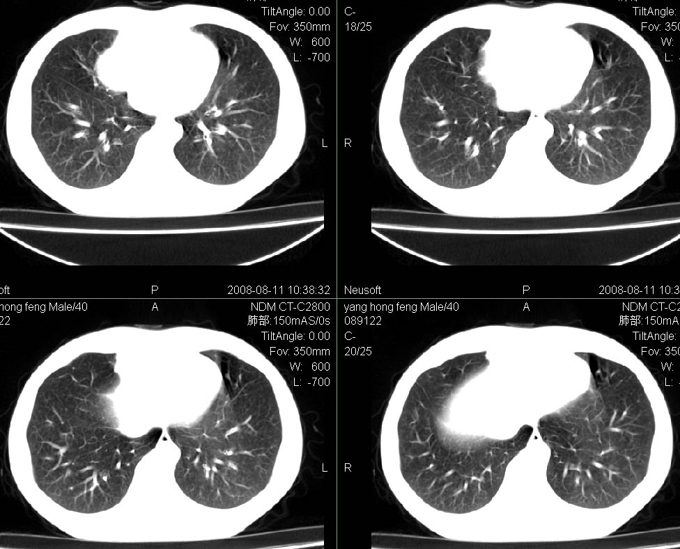
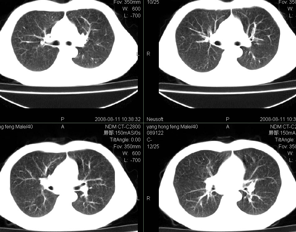
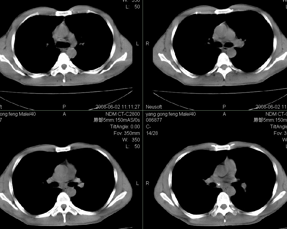
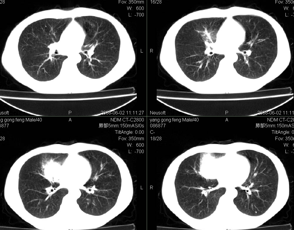
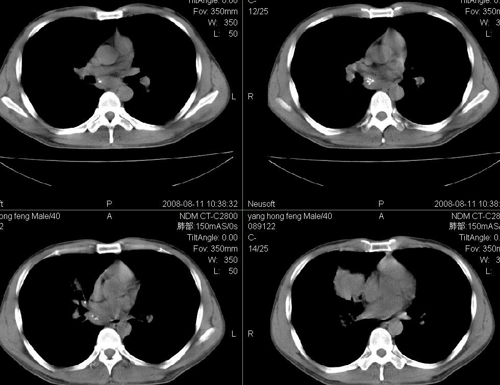
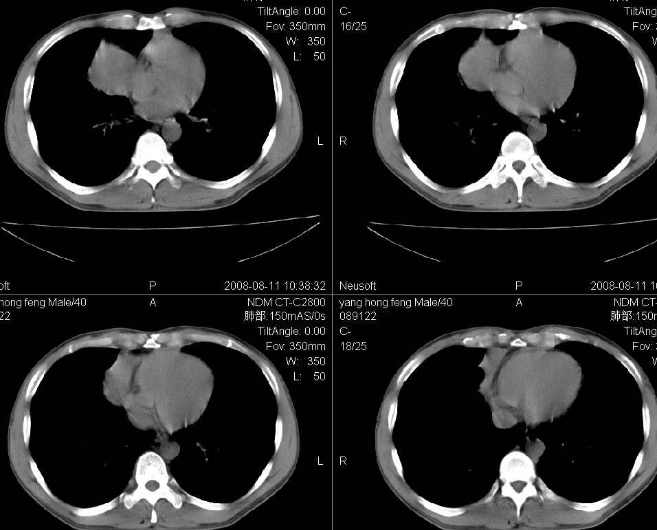
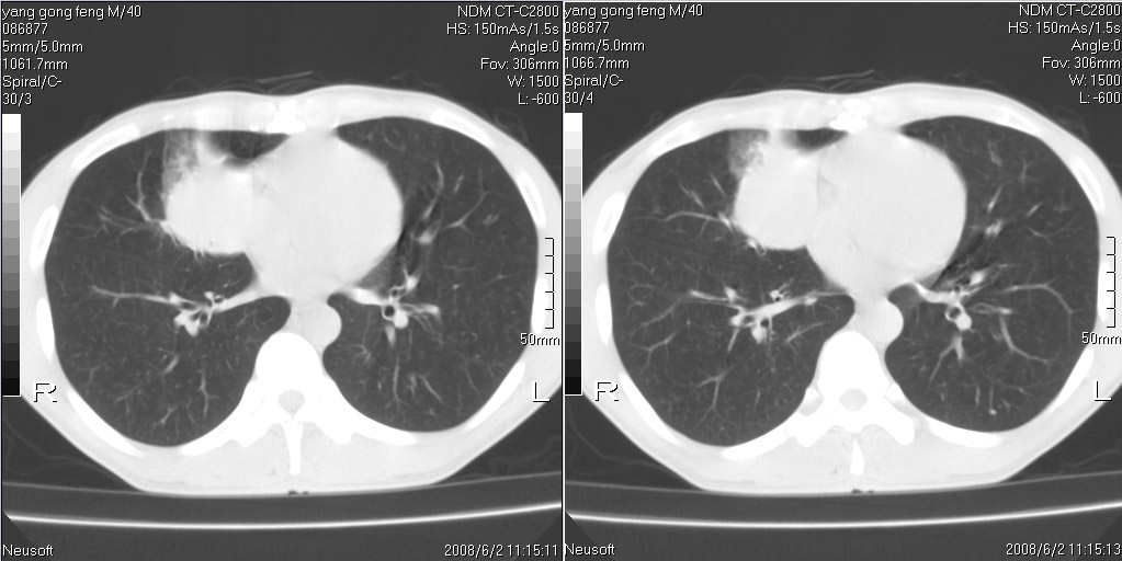
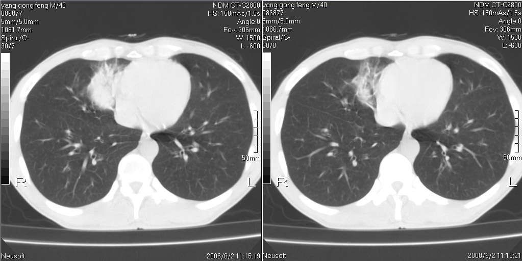
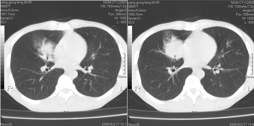
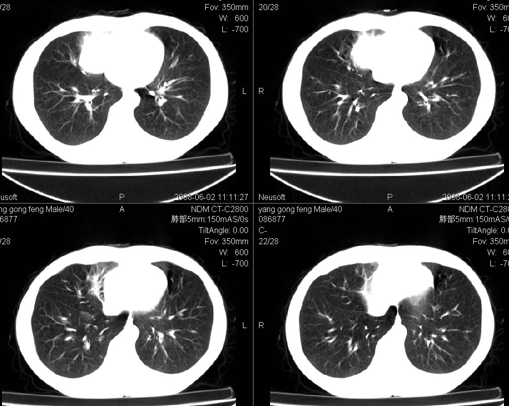
外院穿刺未见癌细泡,结核菌素实验阳性,未正规治疗2个月复查病灶及纵隔淋巴结增大










作者: duguo    时间: 2008-8-12 13:56
建议增强.
作者: 正峰    时间: 2008-8-12 13:58
结合病史及临床表现考虑右侧中心型肺癌纵隔转移,
作者: yangyudong333    时间: 2008-8-12 14:21
考虑周围型肺癌可能性大
作者: zjb    时间: 2008-8-12 15:05
标题: 回复:ct15138:男,40,咳嗽胸痛.
以下是引用正峰在2008-8-12 5:58:00的发言:[br]结合病史及临床表现考虑右侧中心型肺癌纵隔转移,

zhichi  
作者: 358450m    时间: 2008-8-12 16:02
标题: 回复:ct15138:男,40,咳嗽胸痛.
以下是引用yangyudong333在2008-8-12 6:21:00的发言:[br]考虑周围型肺癌可能性大

作者: 卜一    时间: 2008-8-12 16:45
右侧中心型肺癌纵隔转移!
作者: 影象小泰斗    时间: 2008-8-12 17:08
考虑周围型肺癌可能性大!
作者: sdzyy    时间: 2008-8-12 17:38
考虑周围型肺癌可能性大!
作者: 代课学生    时间: 2008-8-12 17:43
应该把肺癌放在第一位。
作者: 52yingxiang    时间: 2008-8-12 17:47
右侧中心型肺癌纵隔转移!
作者: 深泽交通    时间: 2008-8-12 18:36
标题: 回复:ct15138:男,40,咳嗽胸痛.
以下是引用yangyudong333在2008-8-12 6:21:00的发言:[br]考虑周围型肺癌可能性大

作者: zjzjr    时间: 2008-8-12 18:53
考虑周围型肺癌可能性大!
作者: WYD2008    时间: 2008-8-12 18:57
右肺中叶肺癌,纵隔淋巴结转移.
作者: 宇宙ct    时间: 2008-8-12 18:57
右侧中心型肺癌纵隔转移
作者: jiangjing    时间: 2008-8-12 19:04
考虑   右肺中叶肺癌,纵隔淋巴结转移.建议穿刺活检。炎性假瘤待排
作者: 随光逐影    时间: 2008-8-13 03:27
考虑右肺中叶周围型肺癌并纵隔淋巴结转移。
作者: xulianj    时间: 2008-8-13 04:39
考虑周围型肺癌伴纵膈淋巴结转移可能性大
作者: 杀毒软件    时间: 2008-8-13 04:50
支持大家
作者: zsl6918    时间: 2008-8-13 07:02
强化看看吧,有助诊断的




欢迎光临 医影在线 (http://bbs.radida.com/bbs/) Powered by Discuz! X3.2