
















以下是引用sdzyy在2008-8-12 9:59:00的发言:[br]血管瘤可能性大
以下是引用代课学生在2008-8-12 9:48:00的发言:[br]考虑出血灶可能性大。
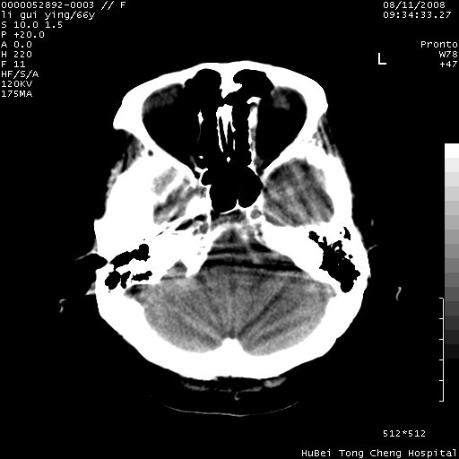
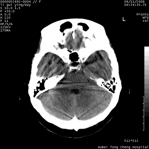
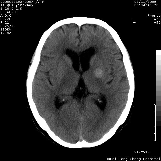
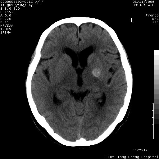
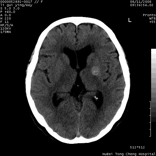
以下是引用yangyudong333在2008-8-12 12:22:00的发言:[br]1.病灶呈圆形[br]2.周围无水肿带[br]3.密度不均匀,内有点状钙化[br]4.无占位效应[br] 考虑良性占位性病变,血管瘤可能性大
| 欢迎光临 医影在线 (http://bbs.radida.com/bbs/) | Powered by Discuz! X3.2 |