医影在线

标题: CT15142:M47Y,胼胝体低密度病变 [打印本页]

作者: frzh    时间: 2008-8-12 18:14
标题: CT15142:M47Y,胼胝体低密度病变
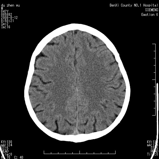
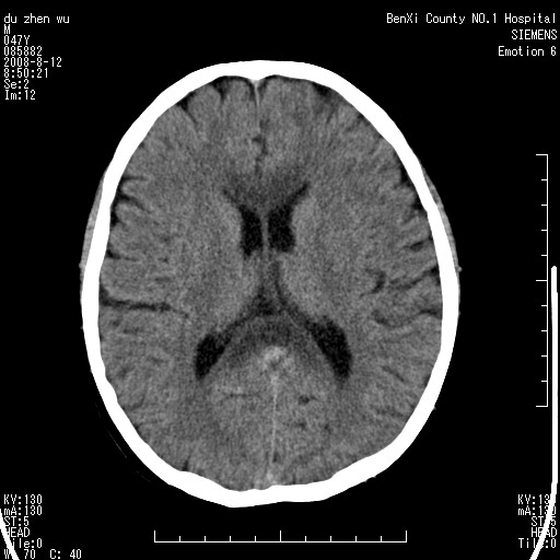
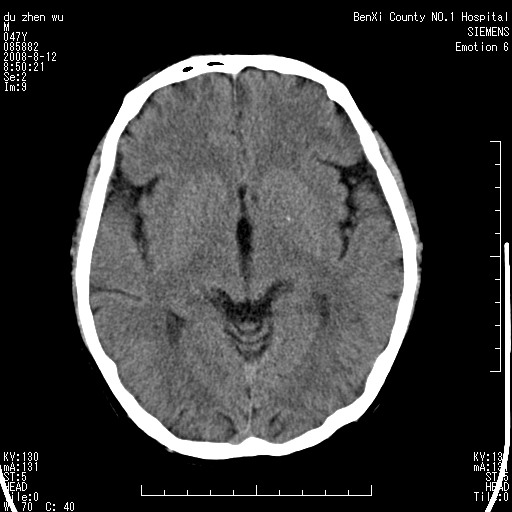
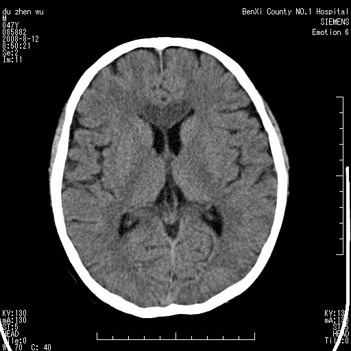
男、时有神智不清,头晕,能正常回答问题,无肢体偏瘫











[本贴已被 jiajie 于 2008-8-12 15:16:44 修改过]

作者: 深泽交通    时间: 2008-8-12 18:27
脑白质病
作者: aosangwa    时间: 2008-8-12 18:56
标题: 回复:胼胝体低密度病变
考虑胼胝体变性(脱髓鞘病变),找到一篇论文




作者: w_jianhua    时间: 2008-8-12 19:16
典型,支持 胼胝体变性(脱髓鞘病变
作者: zjzjr    时间: 2008-8-12 19:38
典型,支持 胼胝体变性(脱髓鞘病变
作者: 358450m    时间: 2008-8-12 20:04
标题: 回复:胼胝体低密度病变
以下是引用zjzjr在2008-8-12 11:38:00的发言:[br]典型,支持 胼胝体变性(脱髓鞘病变

作者: yangyudong333    时间: 2008-8-12 20:16
学习了,谢楼上
作者: zy_zj    时间: 2008-8-12 22:11
很少见,学习了
作者: LIAOQIANG    时间: 2008-8-12 22:12
支持 胼胝体变性。
作者: 吃草吐奶    时间: 2008-8-12 22:46
学习了
作者: sdzyy    时间: 2008-8-12 23:41
支持 胼胝体变性。  学习了,谢楼上
作者: jiangjing    时间: 2008-8-12 23:53
支持 胼胝体变性-----常见于酒精中毒患者
作者: 卜一    时间: 2008-8-13 00:09
支持3楼!并学习致敬!
作者: 谨言慎行    时间: 2008-8-13 00:27
解释的非常详细,有利于学习提高。谢谢
作者: huqi8888    时间: 2008-8-13 00:42
支持 胼胝体变性
作者: zsl6918    时间: 2008-8-13 00:55
符合脱髓鞘性病变。支持胼胝体变性。
作者: WYD2008    时间: 2008-8-13 01:07
胼胝体变性.
作者: qiushi    时间: 2008-8-13 01:09
典型,支持 胼胝体变性(脱髓鞘病变)
    学习了
作者: 随缘的人    时间: 2008-8-13 01:18
支持 胼胝体变性(脱髓鞘病变).
作者: 李章宇    时间: 2008-8-13 01:24
非常经典,谢谢楼主。
作者: xulianj    时间: 2008-8-13 04:15
支持 胼胝体变性。
作者: 随光逐影    时间: 2008-8-13 04:17
支持 胼胝体变性。
作者: 黑白光影    时间: 2008-8-13 06:58
典型,支持 胼胝体变性(脱髓鞘病变)。




欢迎光临 医影在线 (http://bbs.radida.com/bbs/) Powered by Discuz! X3.2