医影在线
标题: CT15143:髋关节结核? [打印本页]
作者: feiwu9 时间: 2008-8-12 19:05
标题: CT15143:髋关节结核?
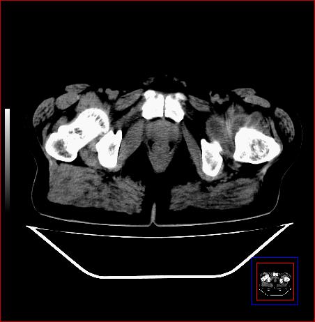
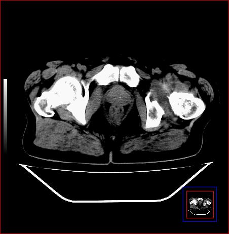
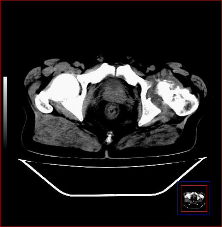
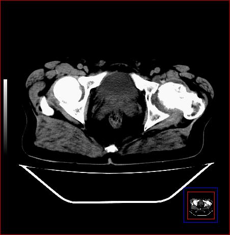
男,49,髋关节疼痛1年,无肺结核。











[本贴已被 jiajie 于 2008-8-12 15:17:29 修改过]
[本贴已被 feiwu9 于 2008-9-2 12:01:11 修改过]
作者: aosangwa 时间: 2008-8-12 19:47
支持左侧髋关节结核合并轻度半脱位
作者: 358450m 时间: 2008-8-12 20:06
标题: 回复:髋关节结核?
以下是引用aosangwa在2008-8-12 11:47:00的发言:[br]支持左侧髋关节结核合并轻度半脱位
作者: yangyudong333 时间: 2008-8-12 20:14
骨质破坏,硬化,周围软组织脓肿,支持骨结核
作者: zy_zj 时间: 2008-8-12 22:14
骨质破坏,硬化,周围软组织脓肿,关节间隙增宽,支持骨结核
作者: zjzjr 时间: 2008-8-12 22:28
支持左侧髋关节结核合并轻度半脱位
作者: 深泽交通 时间: 2008-8-12 23:08
标题: 回复:髋关节结核?
以下是引用yangyudong333在2008-8-12 12:14:00的发言:[br]骨质破坏,硬化,周围软组织脓肿,支持骨结核
作者: sdzyy 时间: 2008-8-12 23:36
骨质破坏,硬化,周围软组织脓肿,关节间隙增宽,支持骨结核
作者: LIAIZHI 时间: 2008-8-12 23:43
髋关节结核。
作者: jiangjing 时间: 2008-8-12 23:51
骨质破坏,硬化,周围软组织脓肿,关节间隙增宽,支持骨结核 .应与无菌坏死鉴别
作者: 卜一 时间: 2008-8-13 00:06
支持:左侧髋关节结核合并轻度半脱位!
作者: 谨言慎行 时间: 2008-8-13 00:11
标题: 回复:ct15143:髋关节结核?
以下是引用yangyudong333在2008-8-12 12:14:00的发言:[br]骨质破坏,硬化,周围软组织脓肿,支持骨结核
作者: huqi8888 时间: 2008-8-13 00:38
支持tb
作者: WYD2008 时间: 2008-8-13 01:02
结核.
作者: qiushi 时间: 2008-8-13 01:07
骨质破坏,硬化,周围软组织脓肿,关节间隙增宽,支持骨结核 .应与无菌坏死鉴别
作者: zsl6918 时间: 2008-8-13 01:10
需结合临床综合考虑。
作者: 随缘的人 时间: 2008-8-13 01:17
支持左侧髋关节结核合并轻度半脱位
作者: 李章宇 时间: 2008-8-13 01:21
支持髋关节结核。
作者: HKL1971 时间: 2008-8-13 01:36
可以是结核,也可以是无菌坏死,还可以是先天髋关节脱位,不结合临床病史,只凭图像鉴别,请各位老师指教。
作者: xulianj 时间: 2008-8-13 04:21
支持结核
作者: 随光逐影 时间: 2008-8-13 04:22
支持 左侧髋关节结核并半脱位。
作者: 黑白光影 时间: 2008-8-13 06:51
支持二楼。
| 欢迎光临 医影在线 (http://bbs.radida.com/bbs/) |
Powered by Discuz! X3.2 |