






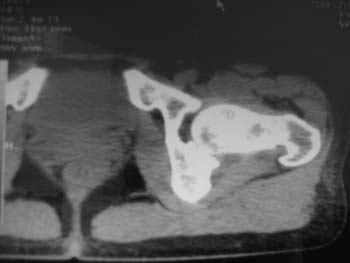
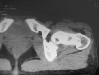
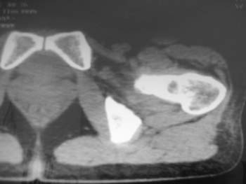
以下是引用358450m在2008-8-12 12:12:00的发言:[br]骨囊肿
以下是引用358450m在2008-8-12 12:12:00的发言:[br]骨囊肿
以下是引用yangyudong333在2008-8-12 14:30:00的发言:[br]考虑退京变所致关节面下骨质囊变
以下是引用随光逐影在2008-8-12 20:40:00的发言:[br]考虑邻关节骨囊肿或骨内腱鞘囊肿。
| 欢迎光临 医影在线 (http://bbs.radida.com/bbs/) | Powered by Discuz! X3.2 |