










以下是引用zsl6918在2008-8-12 22:23:00的发言:[br]还是首先考虑鼻咽癌。
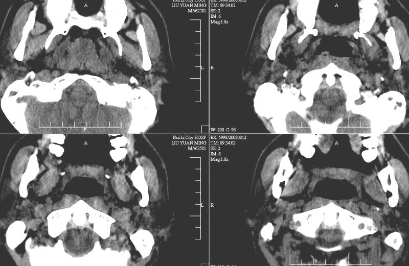
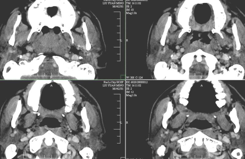
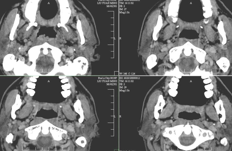
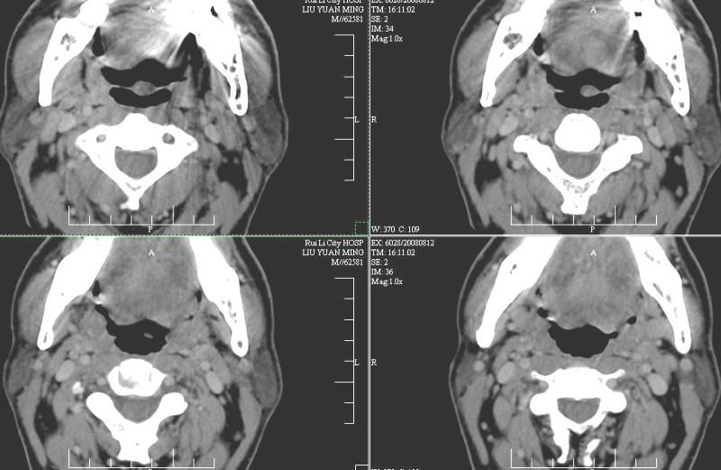
以下是引用ydx_74在2008-8-12 22:09:00的发言:[br]不考虑鼻咽癌。没有淋巴结肿大,没有颅底骨质破坏,咽隐窝、咽鼓管咽口存在,咽旁间隙清楚,平扫ct值34hu,增强动脉期81hu,实质期约85hu,增强幅度达50多,除外增强时机没有掌握好因素,可以考虑鼻咽纤维血管瘤吗?
以下是引用卜一在2008-8-13 8:07:00的发言:[br][br] 鼻咽部新生物,性质待定(不排除鼻咽癌可能);建议行鼻咽镜检查(活检)。 [br]支持!
以下是引用xulianj在2008-8-12 21:30:00的发言:[br]建议活检!结节病?咽淋巴结炎?肿瘤待排。
| 欢迎光临 医影在线 (http://bbs.radida.com/bbs/) | Powered by Discuz! X3.2 |