医影在线

标题: CT15174:我诊断为脊索瘤,请大家给个意见 [打印本页]

作者: zgjldq    时间: 2008-8-14 04:16
标题: CT15174:我诊断为脊索瘤,请大家给个意见
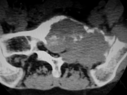
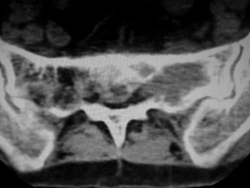
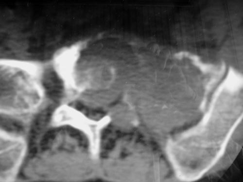
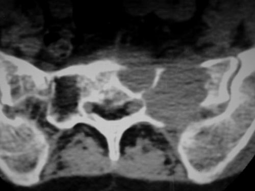
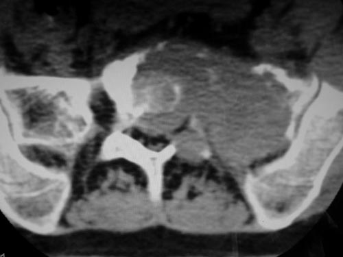
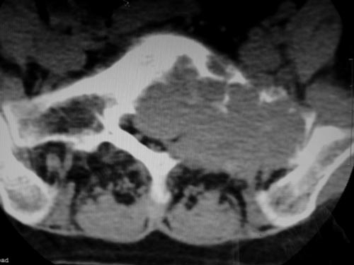
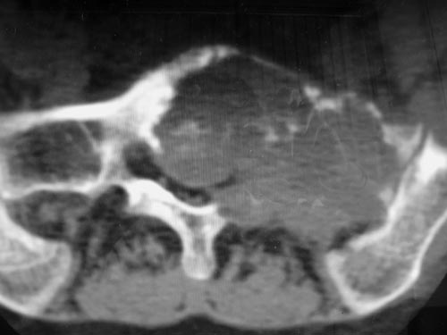
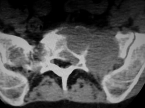
我诊断为脊索瘤,请大家给个意见














[本贴已被 jiajie 于 2008-8-13 22:23:08 修改过]

作者: aosangwa    时间: 2008-8-14 05:03
支持脊索瘤的诊断
作者: guanaishengming    时间: 2008-8-14 05:06
看着像,但要除外骨巨细胞瘤。
作者: 影象小泰斗    时间: 2008-8-14 05:24
像是脊索瘤,如何与骨巨细胞瘤鉴别??
作者: 582914319    时间: 2008-8-14 05:55
支持脊索瘤的诊断
作者: 远征    时间: 2008-8-14 06:00
支持:脊索瘤诊断
作者: china    时间: 2008-8-14 06:32
骶椎脊索瘤须与巨细胞瘤和恶性神经源性肿瘤鉴别.巨细胞瘤无钙化,易发生在s1-2水平,
作者: panyishengct    时间: 2008-8-14 06:39
支持脊索瘤的诊断
作者: zhengfaming    时间: 2008-8-14 06:39
请与神经源性肿瘤相鉴别.
作者: 358450m    时间: 2008-8-14 06:41
标题: 回复:ct15174:我诊断为脊索瘤,请大家给个意见
以下是引用aosangwa在2008-8-13 21:03:00的发言:[br]支持脊索瘤的诊断

作者: zsl6918    时间: 2008-8-14 06:44
支持楼主。首先考虑脊索瘤。就是钙化少点。
作者: zjb    时间: 2008-8-14 06:46
标题: 回复:ct15174:我诊断为脊索瘤,请大家给个意见
以下是引用zsl6918在2008-8-13 22:44:00的发言:[br]支持楼主。首先考虑脊索瘤。就是钙化少点。

作者: 黑白光影    时间: 2008-8-14 07:04
支持脊索瘤的诊断。
作者: 萧萧    时间: 2008-8-14 07:16
脊索瘤
作者: 影像孺子牛    时间: 2008-8-14 07:42
支持脊索瘤。
作者: wzr    时间: 2008-8-14 08:26
支持:脊索瘤诊断
作者: duguo    时间: 2008-8-14 14:03
2楼说的对.
作者: yangyudong333    时间: 2008-8-14 14:50
支持脊索瘤的诊断,与骨巨不好区分
作者: 卜一    时间: 2008-8-14 14:55
以下是引用aosangwa在2008-8-13 21:03:00的发言:
支持脊索瘤的诊断
作者: 随光逐影    时间: 2008-8-14 15:12
支持脊索瘤的诊断。
作者: 帅河马    时间: 2011-11-17 07:56
考虑脊索瘤可能性大
作者: dsl555    时间: 2011-11-17 18:57
请与神经源性肿瘤相鉴别,不像巨细包瘤




欢迎光临 医影在线 (http://bbs.radida.com/bbs/) Powered by Discuz! X3.2