医影在线

标题: CT15179:查体所见,请会诊 [打印本页]

作者: zjq9577    时间: 2008-8-14 06:54
标题: CT15179:查体所见,请会诊
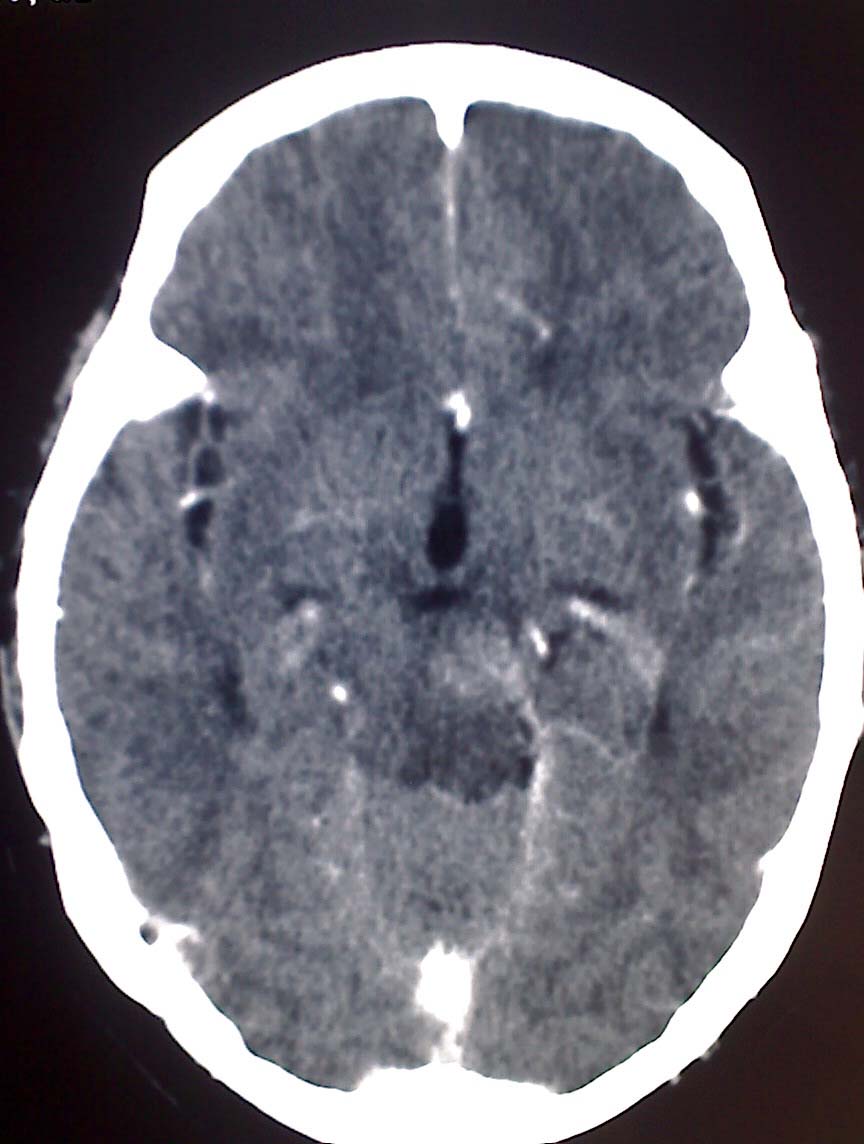
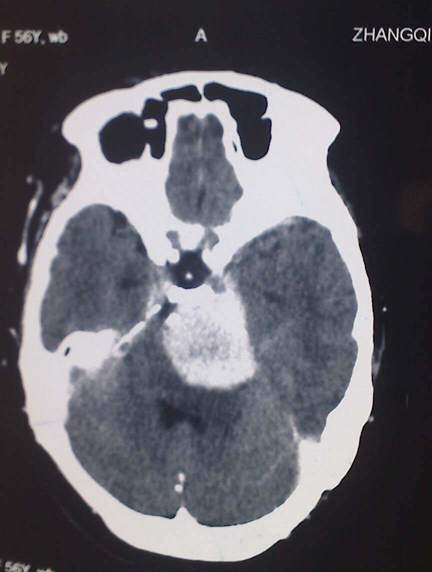
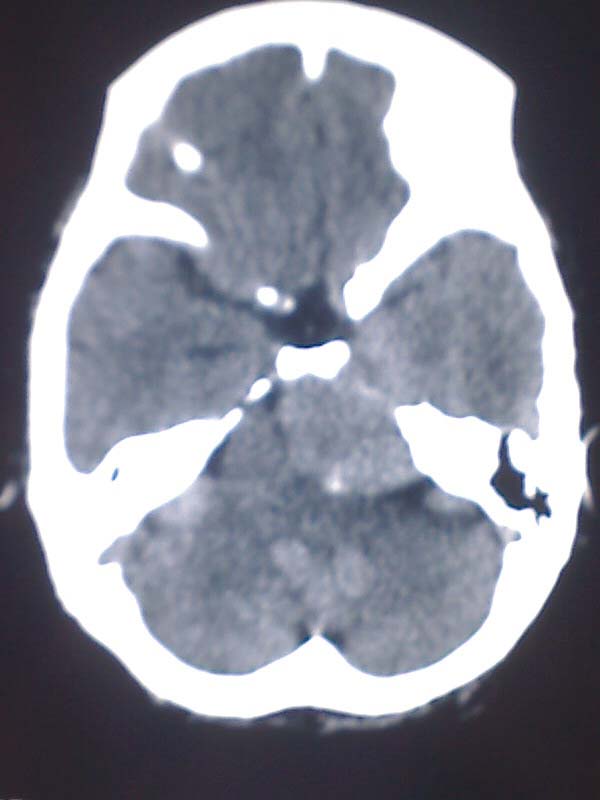
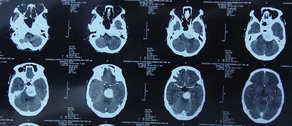
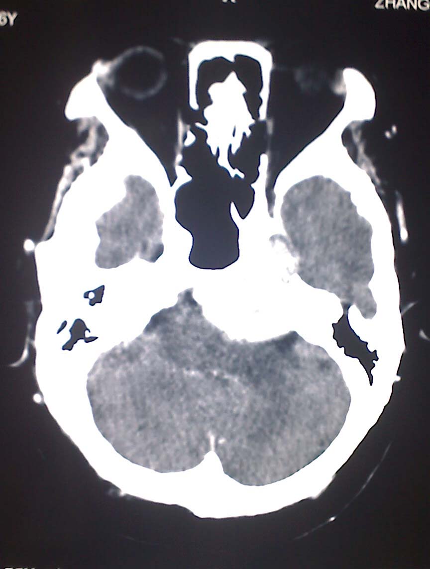
女性,56岁,查体所见,请会诊









[本贴已被 翁志蓬 于 2008-8-13 23:17:27 修改过]

作者: zsl6918    时间: 2008-8-14 06:57
符合脑膜瘤
作者: guoke    时间: 2008-8-14 07:32
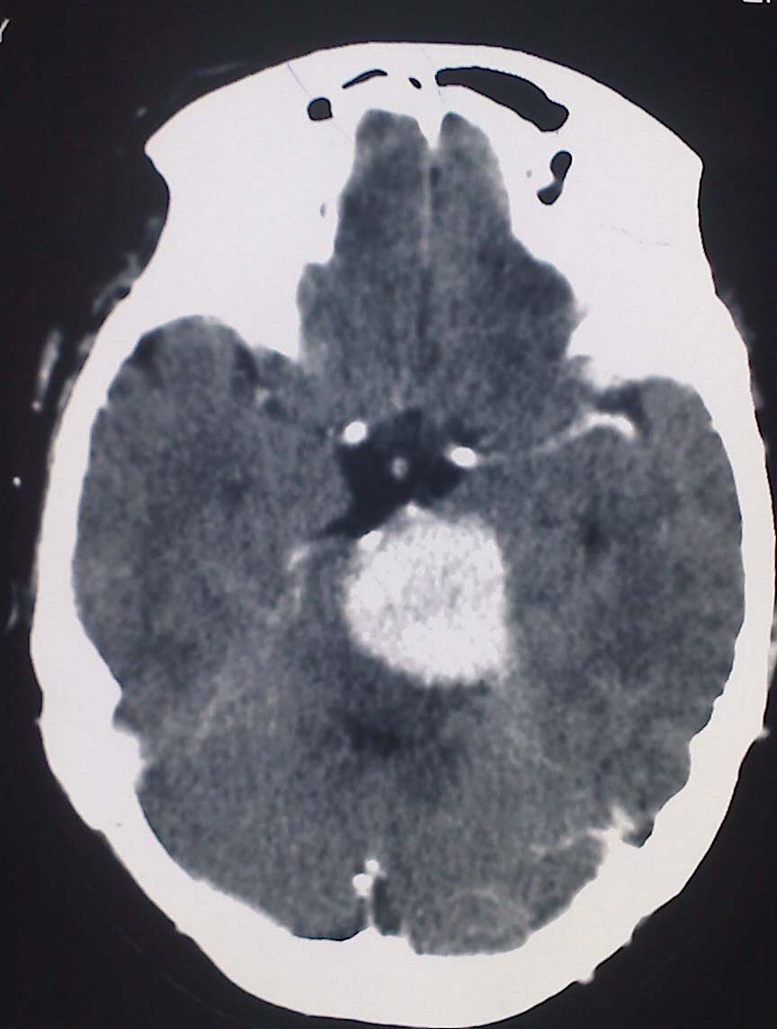
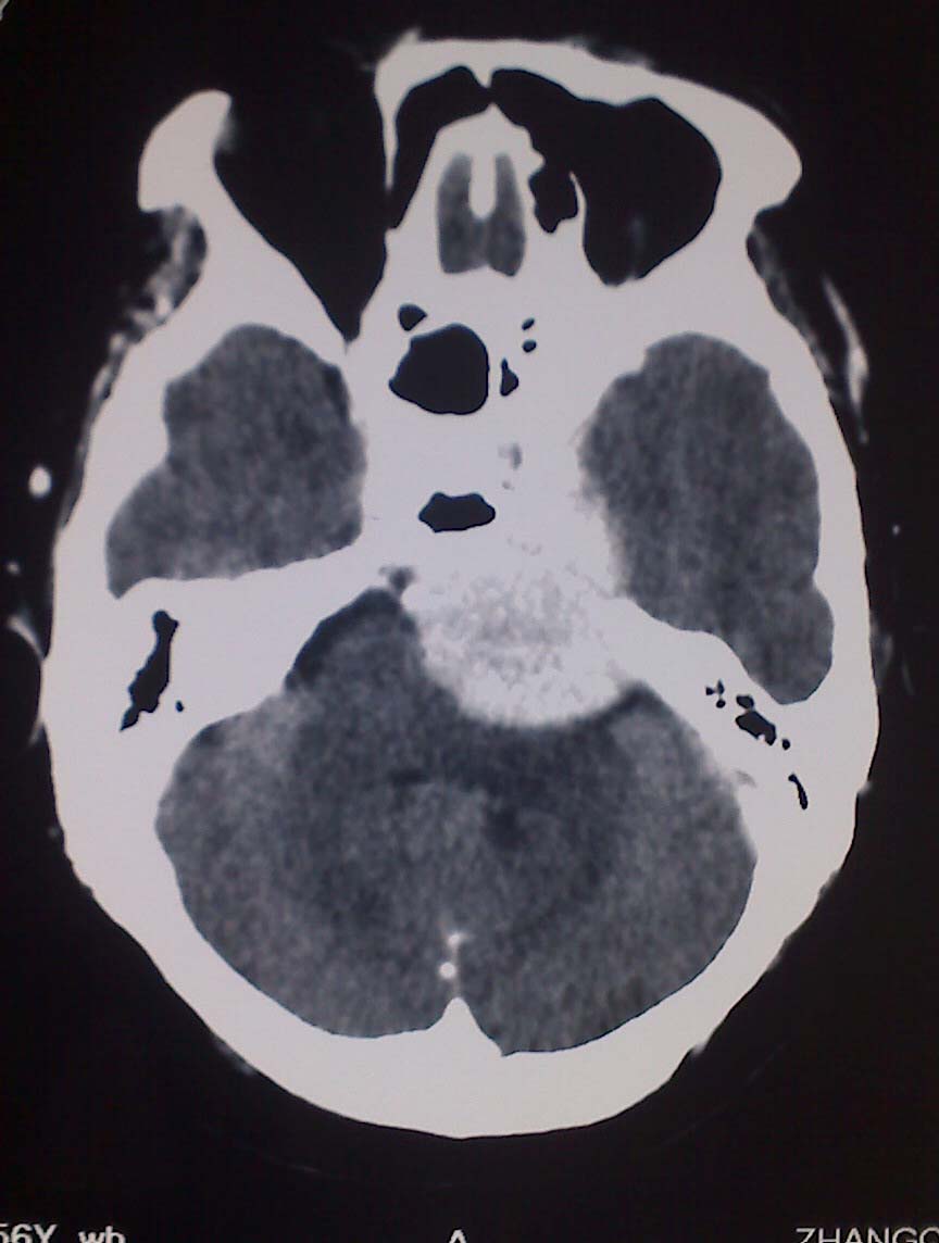
平扫为较高密度,增强后病灶明显强化,边界清楚水肿不明显.考虑脑膜瘤.
作者: weijing    时间: 2008-8-14 07:35
平扫为较高密度,增强后病灶明显强化,边界清楚水肿不明显.考虑脑膜瘤.
作者: 影像孺子牛    时间: 2008-8-14 07:37
脑膜瘤。
作者: 光线    时间: 2008-8-14 07:40
动脉瘤?脑膜瘤?
作者: 358450m    时间: 2008-8-14 08:13
符合脑膜瘤
作者: panyishengct    时间: 2008-8-14 08:16
平扫为较高密度,增强后病灶明显强化,边界清楚水肿不明显.考虑脑膜瘤.
作者: wzr    时间: 2008-8-14 08:19
符合脑膜瘤
作者: duguo    时间: 2008-8-14 13:55
脑膜瘤.
作者: 云翔    时间: 2008-8-14 13:59
左岩骨尖区脑膜瘤
作者: yangyudong333    时间: 2008-8-14 14:41
符合脑膜瘤
作者: zjb    时间: 2008-8-14 14:46
平扫为较高密度,增强后病灶明显强化,边界清楚水肿不明显.考虑脑膜瘤
作者: 卜一    时间: 2008-8-14 14:47
脑膜瘤!支持!
作者: 克山    时间: 2008-8-14 14:51
从病变位置和强化表现看倾向脑膜瘤,但其跨越中后颅窝,也要结合临床,不能忽略三叉神经瘤,不过后者囊变较多。此病例的不足是无骨窗对照,脑膜瘤比较容易出现临近骨骼的异常。
作者: 随光逐影    时间: 2008-8-14 15:45
支持 左侧岩骨尖区脑膜瘤。
作者: zgjldq    时间: 2008-8-14 15:52
脑膜瘤
作者: huangyinshan    时间: 2008-8-14 16:31
传骨窗看看,平扫为较高密度,增强后病灶明显强化,边界清楚水肿不明显.考虑脑膜瘤. \\动脉瘤?
作者: liyf    时间: 2008-8-14 17:36
左岩骨尖区占位病变,平扫呈高密度,病变跨中后颅窝生长,岩骨可见骨质吸收,周围未见明显水肿,增强扫描病灶明显强化。考虑左岩骨尖区脑膜瘤。
作者: sdzyy    时间: 2008-8-14 17:42
脑膜瘤可能大,mri。
作者: zy_zj    时间: 2008-8-14 17:51
标题: 回复:ct15179:查体所见,请会诊
以下是引用liyf在2008-8-14 9:36:00的发言:[br]左岩骨尖区占位病变,平扫呈高密度,病变跨中后颅窝生长,岩骨可见骨质吸收,周围未见明显水肿,增强扫描病灶明显强化。考虑左岩骨尖区脑膜瘤。

此片最大的缺憾是没骨窗,钙化及颅骨的改变不好看
作者: 代课学生    时间: 2008-8-14 18:29
脑膜瘤。
作者: 深泽交通    时间: 2008-8-14 18:32
标题: 回复:ct15179:查体所见,请会诊
以下是引用zsl6918在2008-8-13 22:57:00的发言:[br]符合脑膜瘤

作者: 岚儿    时间: 2008-8-15 06:52
支持脑膜瘤!




欢迎光临 医影在线 (http://bbs.radida.com/bbs/) Powered by Discuz! X3.2