











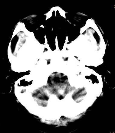
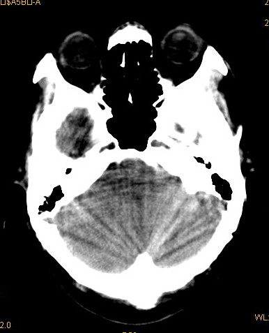
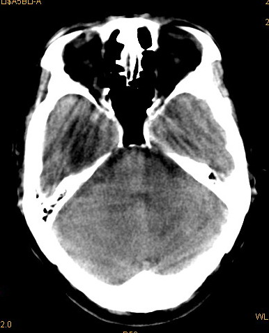
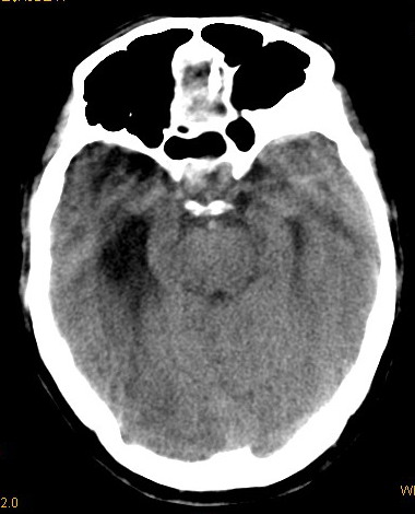
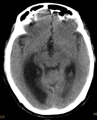
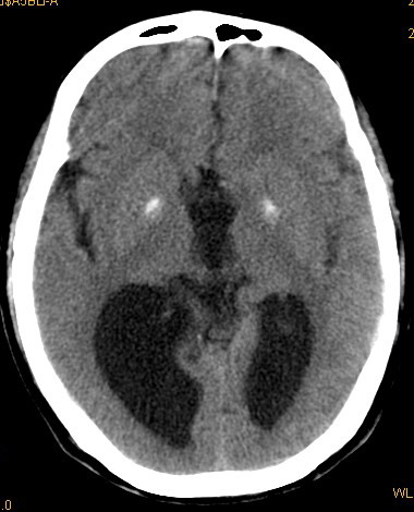
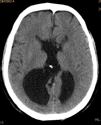
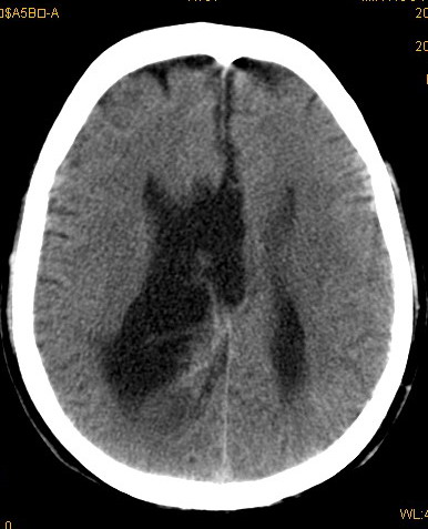
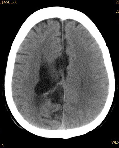
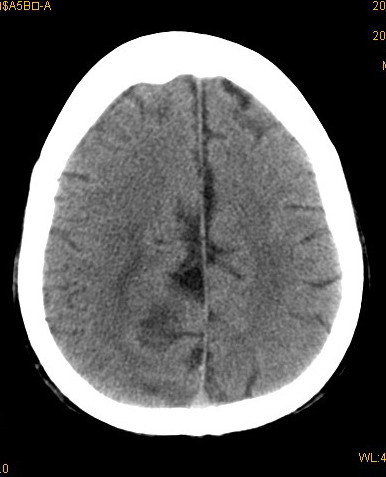
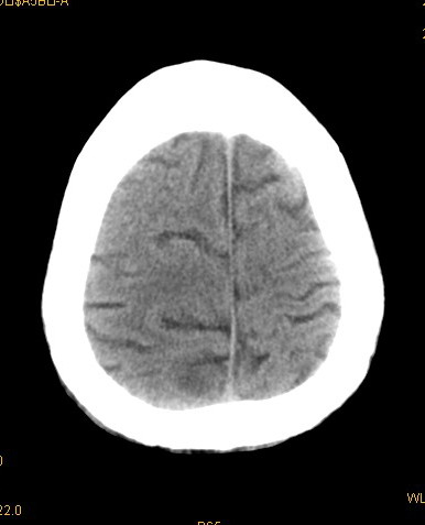
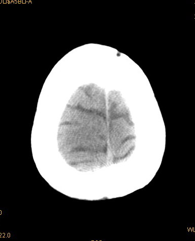
以下是引用卜一在2008-8-14 16:31:00的发言:[br]支持:巨脑回伴脑积水!另:胼胝体发育不良!
以下是引用随光逐影在2008-8-14 16:58:00的发言:[br]胼胝体发育不良;脑积水。
以下是引用卜一在2008-8-14 16:31:00的发言:[br]支持:巨脑回伴脑积水!另:胼胝体发育不良!
以下是引用同在2008-8-14 19:46:00的发言:[br]巨脑回伴积水,胼胝体发育不良.
以下是引用随光逐影在2008-8-14 16:58:00的发言:[br]胼胝体发育不良;脑积水。
| 欢迎光临 医影在线 (http://bbs.radida.com/bbs/) | Powered by Discuz! X3.2 |