医影在线

标题: CT15194:男,53岁,头痛、恶心三天。 [打印本页]

作者: wpf    时间: 2008-8-15 03:37
标题: CT15194:男,53岁,头痛、恶心三天。
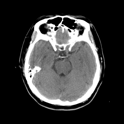
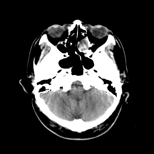
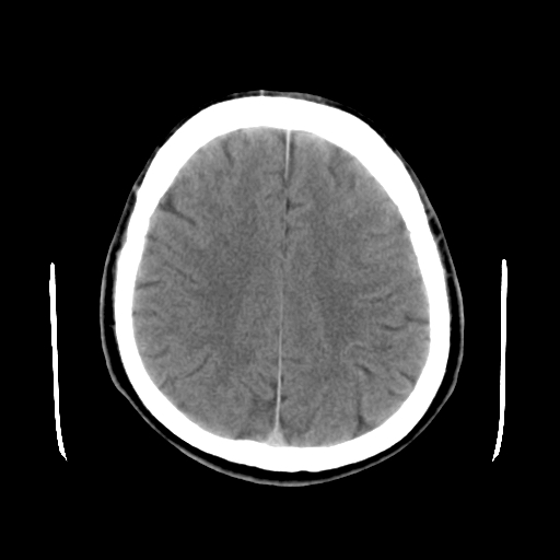
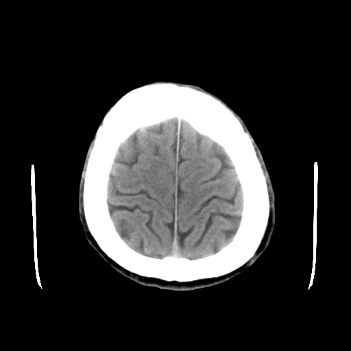
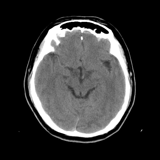
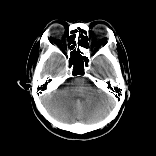
男,53岁,头痛、恶心三天。














[本贴已被 jiajie 于 2008-8-14 19:45:12 修改过]

作者: 学无至尽    时间: 2008-8-15 04:26
上鼻道囊肿
作者: 影像孺子牛    时间: 2008-8-15 05:37
筛窦粘液囊肿。
作者: 358450m    时间: 2008-8-15 05:48
标题: 回复:ct15194:男,53岁,头痛、恶心三天。
以下是引用学无至尽在2008-8-14 20:26:00的发言:[br]上鼻道囊肿

作者: aosangwa    时间: 2008-8-15 06:11
标题: 回复:ct15194:男,53岁,头痛、恶心三天。
以下是引用影像孺子牛在2008-8-14 21:37:00的发言:[br]筛窦粘液囊肿。

作者: 形影不离    时间: 2008-8-15 06:19
筛窦粘液囊肿。
作者: 谨言慎行    时间: 2008-8-15 06:27
标题: 回复:ct15194:男,53岁,头痛、恶心三天。
以下是引用影像孺子牛在2008-8-14 21:37:00的发言:[br]筛窦粘液囊肿。

作者: panyishengct    时间: 2008-8-15 06:55
以下是引用影像孺子牛在2008-8-14 21:37:00的发言:
筛窦粘液囊肿。
作者: 不学无术    时间: 2008-8-15 07:01
筛窦粘液囊肿
作者: zhhwei    时间: 2008-8-15 07:02
筛窦囊肿
作者: YRJ0513    时间: 2008-8-15 07:30
筛窦粘液囊肿
作者: 牟言科    时间: 2008-8-15 15:48
楼主是否应该上几幅骨窗观察啊!
作者: sdzyy    时间: 2008-8-15 17:26
筛窦囊肿、颅内未见明确异常
作者: 卜一    时间: 2008-8-15 17:36
筛窦粘液囊肿。支持!
作者: 深泽交通    时间: 2008-8-15 18:07
标题: 回复:ct15194:男,53岁,头痛、恶心三天。
以下是引用影像孺子牛在2008-8-14 21:37:00的发言:[br]筛窦粘液囊肿。

作者: zgjldq    时间: 2008-8-15 18:56
筛窦粘液囊肿
作者: zsl6918    时间: 2008-8-15 19:06
考虑筛窦内粘液囊肿可能性大。
作者: 宇宙ct    时间: 2008-8-15 19:11
考虑筛窦内粘液囊肿可能性大。
作者: 随光逐影    时间: 2008-8-15 22:29
筛窦粘液囊肿。
作者: jiangjing    时间: 2008-8-15 23:19
筛窦粘液囊肿
作者: huqi8888    时间: 2008-8-15 23:47
筛窦粘液囊肿
作者: dyqct    时间: 2008-8-20 23:34
支持左侧筛窦后组粘液囊肿。
作者: 黑白光影    时间: 2008-8-21 00:46
考虑筛窦内粘液囊肿可能性大




欢迎光临 医影在线 (http://bbs.radida.com/bbs/) Powered by Discuz! X3.2