
以下是引用yuhongjun在2008-8-19 17:32:00的发言:[br]右胸廓塌陷,右中上肺野密度均匀增高,纵隔尚居中,心脏形态大小正常,双膈面光滑,肋膈角锐利.[br][br][br]印象诊断:考虑右肺门占位性病变并发阻塞性肺不张,建议ct 进一步定性.
以下是引用zhangzhongshou在2008-8-19 19:41:00的发言:[br]x线表现:右侧骨性胸廓略塌陷,右肺中上野大片密度增高影,边界不清,水平裂未显示,右肺门增大,隐约显示肿块影,余肺未见异常,心脏纵隔无明显移位,右下肺野纹理稀疏,右膈面内侧升高。双肋膈角清晰,锐利。[br]诊断意见:右肺门肿块并右肺上叶肺不张,最大的可能为支气管肺癌,建议纤维支气管镜及ct检查。[br]分析:初步一看似横“s”征,仔细一看,是胸壁软组织重叠假象,没有侧位,仅凭正位看,右肺门肿块,右肺上叶不张的征象还是有的。有侧位可以更加明确,不过仍需要进一步检查确定。[br][br][本贴已被 zhangzhongshou 于 2008-8-19 19:51:23 修改过]
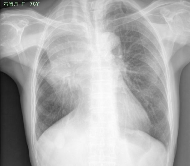
以下是引用zhangzhongshou在2008-8-19 19:41:00的发言:[br]x线表现:右侧骨性胸廓略塌陷,右肺中上野大片密度增高影,边界不清,水平裂未显示,右肺门增大,隐约显示肿块影,余肺未见异常,心脏纵隔无明显移位,右下肺野纹理稀疏,右膈面内侧升高。双肋膈角清晰,锐利。[br]诊断意见:右肺门肿块并右肺上叶肺不张,最大的可能为支气管肺癌,建议纤维支气管镜及ct检查。[br]分析:初步一看似横“s”征,仔细一看,是胸壁软组织重叠假象,没有侧位,仅凭正位看,右肺门肿块,右肺上叶不张的征象还是有的。有侧位可以更加明确,不过仍需要进一步检查确定。[br][br][本贴已被 zhangzhongshou 于 2008-8-19 19:51:23 修改过]
以下是引用zhangzhongshou在2008-8-19 19:41:00的发言:[br]x线表现:右侧骨性胸廓略塌陷,右肺中上野大片密度增高影,边界不清,水平裂未显示,右肺门增大,隐约显示肿块影,余肺未见异常,心脏纵隔无明显移位,右下肺野纹理稀疏,右膈面内侧升高。双肋膈角清晰,锐利。[br]诊断意见:右肺门肿块并右肺上叶肺不张,最大的可能为支气管肺癌,建议纤维支气管镜及ct检查。[br]分析:初步一看似横“s”征,仔细一看,是胸壁软组织重叠假象,没有侧位,仅凭正位看,右肺门肿块,右肺上叶不张的征象还是有的。有侧位可以更加明确,不过仍需要进一步检查确定。[br][br][本贴已被 zhangzhongshou 于 2008-8-19 19:51:23 修改过]
| 欢迎光临 医影在线 (http://bbs.radida.com/bbs/) | Powered by Discuz! X3.2 |