医影在线

标题: CT15287:女 93岁 右髋关节疼痛 原左侧粗隆间骨折 CT发现右耻 [打印本页]

作者: zjb    时间: 2008-8-20 01:20
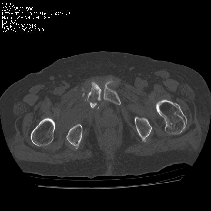
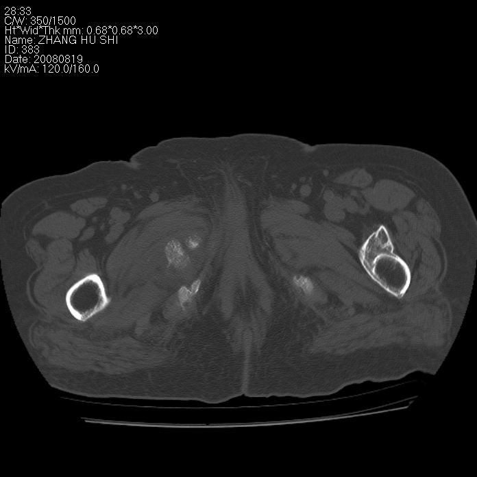
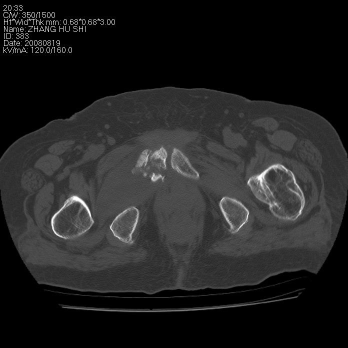
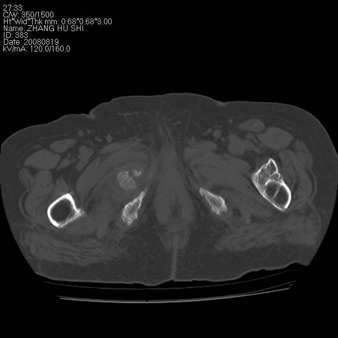
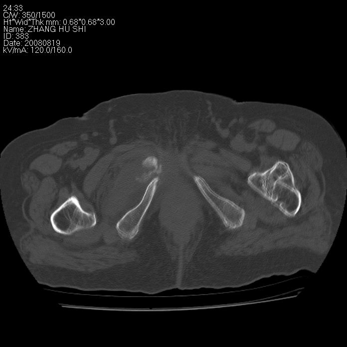
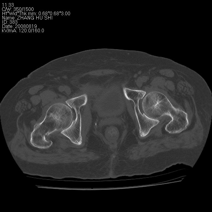
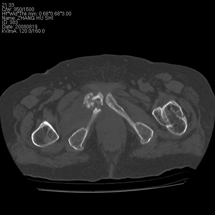
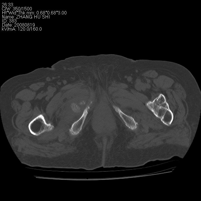
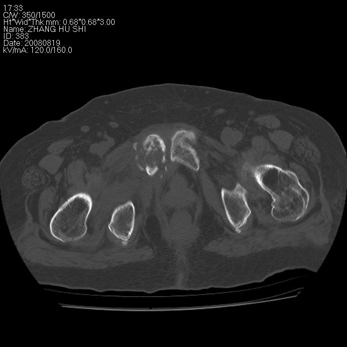
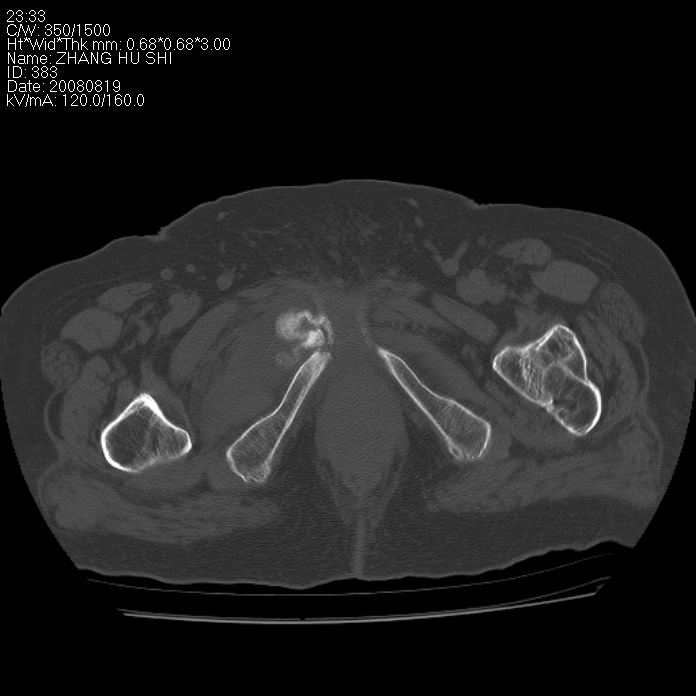
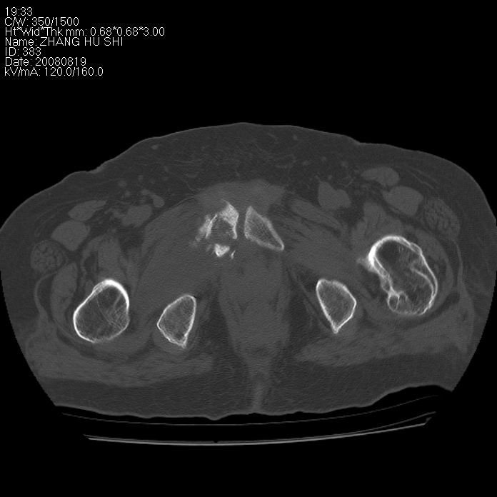
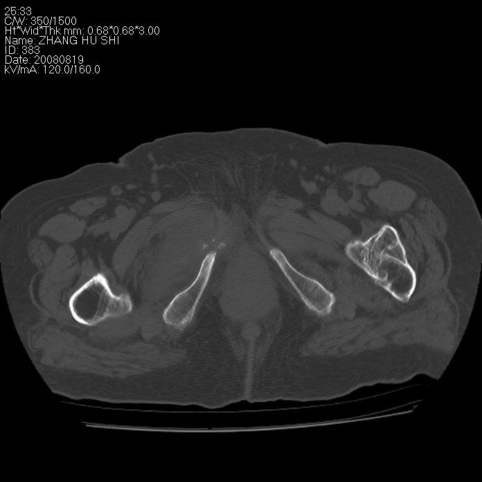
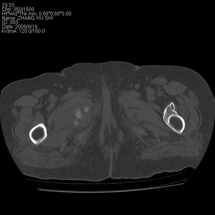
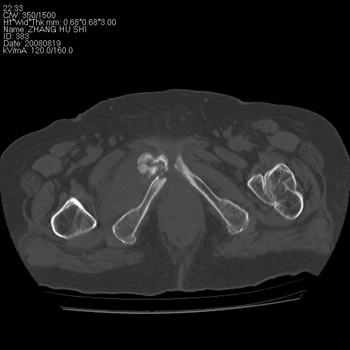
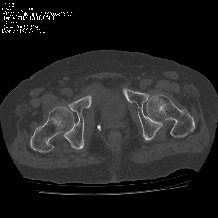
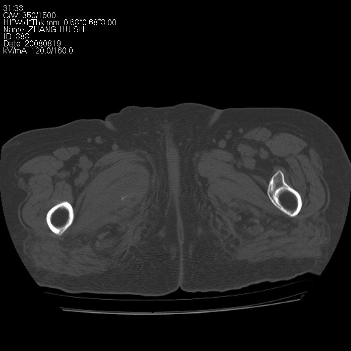
标题: CT15287:女 93岁 右髋关节疼痛 原左侧粗隆间骨折 CT发现右耻

























[本贴已被 jiajie 于 2008-8-19 19:20:30 修改过]

作者: 前行    时间: 2008-8-20 01:58
支持转移
作者: 随光逐影    时间: 2008-8-20 02:01
支持楼主意见。
作者: zy_zj    时间: 2008-8-20 02:05
支持
作者: 形影不离    时间: 2008-8-20 02:08
支持!
作者: 358450m    时间: 2008-8-20 02:22
标题: 回复:患者 女 93岁 右髋关节疼痛 原左侧粗隆间骨折 ct发
以下是引用前行在2008-8-19 17:58:00的发言:[br]支持转移

作者: lshx    时间: 2008-8-20 03:49
支持转移并周围软组织侵犯右闭孔内肌侵犯,但tb不能完全除外。
作者: hnyzdjb    时间: 2008-8-20 03:50
支持楼主意见。
作者: 杀毒软件    时间: 2008-8-20 04:33
支持
作者: dyqct    时间: 2008-8-20 05:02
支持楼主意见。
作者: panyishengct    时间: 2008-8-20 05:13
支持楼主意见。
作者: xulianj    时间: 2008-8-20 05:41
支持楼主
作者: jinguoji    时间: 2008-8-20 06:54
支持楼主意见。
作者: yangyudong333    时间: 2008-8-20 14:40
支持转移并周围软组织侵犯右闭孔内肌侵犯,但tb不能完全除外。
作者: fgcp    时间: 2008-8-20 16:35
耻骨软骨肉瘤可能性大
作者: zjzjr    时间: 2008-8-20 17:23
支持楼主意见。
作者: 黑白光影    时间: 2008-8-21 01:25
支持楼主意见。




欢迎光临 医影在线 (http://bbs.radida.com/bbs/) Powered by Discuz! X3.2