医影在线

标题: X4750:双膝 [打印本页]

作者: 快乐男生    时间: 2008-8-21 03:13
标题: X4750:双膝
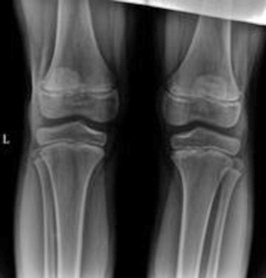
m 11 右下肢痛1 月



[本贴已被 cefcmj 于 2008-8-20 19:16:02 修改过]

作者: 吴文利    时间: 2008-8-21 03:25
未见异常
作者: 杀毒软件    时间: 2008-8-21 04:11
看不太清---好像没看见什麽异常
作者: dyqct    时间: 2008-8-21 04:11
未见明显异常。
作者: 杏林古木    时间: 2008-8-21 04:14
老眼昏花实在看不清。
作者: 医中人    时间: 2008-8-21 04:16
看不清
作者: 黑白光影    时间: 2008-8-21 04:58
标题: 回复:x4750:双膝

双侧对比未见明确异常。其疼痛可能为生长痛。

[本贴已被 黑白光影 于 2008-8-20 21:00:30 修改过]

作者: yjrgw666    时间: 2008-8-21 05:12
顶_____支持吴文丽和dyqct两位老师
作者: GANENG.2008    时间: 2008-8-21 05:55
未见异常
作者: 宇宙ct    时间: 2008-8-21 06:09
未见异常
作者: iamlpf    时间: 2008-8-21 06:11
未见明显异常。
作者: jinguoji    时间: 2008-8-21 06:28
未见明显异常。
作者: zxczxc    时间: 2008-8-21 07:15
未见明显异常。
作者: hexue    时间: 2008-8-21 08:20
未见明显异常
作者: 随光逐影    时间: 2008-8-21 08:21
未见明显异常。
作者: yuhongjun    时间: 2008-8-21 14:17
未见明显异常。
作者: yangyudong333    时间: 2008-8-21 15:07
未见明显异常。
作者: Dr-yu    时间: 2008-8-21 17:44
半月板钙化吗?还是条件太低,不太清楚。
作者: 358450m    时间: 2008-8-21 20:45
标题: 回复:x4750:双膝
以下是引用黑白光影在2008-8-20 20:58:00的发言:[br][br]双侧对比未见明确异常。其疼痛可能为生长痛。[br][br]
[本贴已被 黑白光影 于 2008-8-20 21:00:30 修改过]

作者: zy_zj    时间: 2008-8-22 01:16
未见异常
作者: tingting90    时间: 2008-8-22 02:05
未见明显异常
作者: 小峰    时间: 2008-8-22 03:21
未见异常    建议ct检查
作者: 5236552abc    时间: 2008-8-22 03:38
把图片弄大点嘛,好考眼力哦~!貌似未见明显异常。
作者: wy232326    时间: 2008-8-22 06:30
未见明显异常
作者: shibing    时间: 2014-3-17 08:28
未见明显异常。




欢迎光临 医影在线 (http://bbs.radida.com/bbs/) Powered by Discuz! X3.2