医影在线

标题: X4751:M56Y,胸片会诊 [打印本页]

作者: 07619    时间: 2008-8-21 03:59
标题: X4751:M56Y,胸片会诊
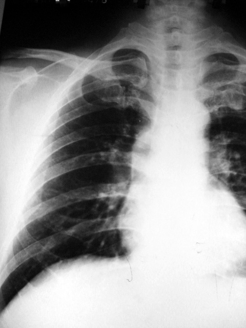
男,56岁,体检。




[本贴已被 jiajie 于 2008-8-20 20:07:53 修改过]

作者: 杀毒软件    时间: 2008-8-21 04:09
没法下诊断---起码得有个侧位呀
作者: dyqct    时间: 2008-8-21 04:12
侧位呢?要么做ct。
作者: ZHANGZHONGSHOU    时间: 2008-8-21 04:31
纵隔占位性病变可能性大,建议ct进一步检查。
作者: 黑白光影    时间: 2008-8-21 04:54
考虑纵隔占位可能。作进一步检查。
作者: 小耗子    时间: 2008-8-21 05:10
支持纵隔占位
作者: wangdch2008    时间: 2008-8-21 05:24
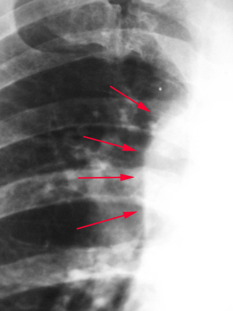
迂曲的主动脉
作者: PANPAN    时间: 2008-8-21 06:05
标题: 回复:x4751:m56y,胸片会诊
以下是引用杀毒软件在2008-8-20 20:09:00的发言:[br]没法下诊断---起码得有个侧位呀

作者: iamlpf    时间: 2008-8-21 06:09
考虑纵隔占位性病变,建议ct进一步检查
作者: 宇宙ct    时间: 2008-8-21 06:10
迂曲的主动脉
作者: jinguoji    时间: 2008-8-21 06:27
建议ct进一步检查。
作者: zxczxc    时间: 2008-8-21 07:12
横突。片效果差。
作者: linshaobo    时间: 2008-8-21 07:36
位置轻度右旋;
作者: linshaobo    时间: 2008-8-21 07:37
接上面内容,考虑升主动脉迂曲。
作者: 随光逐影    时间: 2008-8-21 08:17
考虑升主动脉投影所致。
作者: hexue    时间: 2008-8-21 08:22
迂曲的主动脉
作者: 张利    时间: 2008-8-21 11:29
迂曲的主动脉
作者: yuhongjun    时间: 2008-8-21 14:09
应该有个侧位 ,首先考虑迂曲的主动脉,不放心的话就做ct .
作者: yangyudong333    时间: 2008-8-21 15:01
迂曲的主动脉
作者: Dr-yu    时间: 2008-8-21 17:40
资料不全,第一映像是升主动脉
作者: xqd576295    时间: 2008-8-21 18:10
旋转体位透视下观察,必要时再做ct。
作者: 358450m    时间: 2008-8-21 20:46
标题: 回复:x4751:m56y,胸片会诊
以下是引用wangdch2008在2008-8-20 21:24:00的发言:[br]迂曲的主动脉

作者: zy_zj    时间: 2008-8-22 01:18
应该有个侧位 ,首先考虑迂曲的主动脉,不放心的话就做ct .
作者: 5236552abc    时间: 2008-8-22 03:32
考虑纵隔占位性病变可能大,建议ct进一步检查。
作者: wy232326    时间: 2008-8-22 06:36
考虑纵隔占位可能。作进一步检查
作者: zhangkening    时间: 2008-8-25 23:30
我认为是腔静脉迂曲形成的影像吧。
作者: zhanggenliang    时间: 2008-8-26 01:35
首先考虑迂曲的主动脉,其次考虑纵隔占位,加个侧位看看
作者: shibing    时间: 2014-3-17 08:27
迂曲的主动脉




欢迎光临 医影在线 (http://bbs.radida.com/bbs/) Powered by Discuz! X3.2