医影在线
标题: CT15323:男,42岁。右侧小腿受伤4月余。(2104828) [打印本页]
作者: fanshl 时间: 2008-8-21 20:51
标题: CT15323:男,42岁。右侧小腿受伤4月余。(2104828)
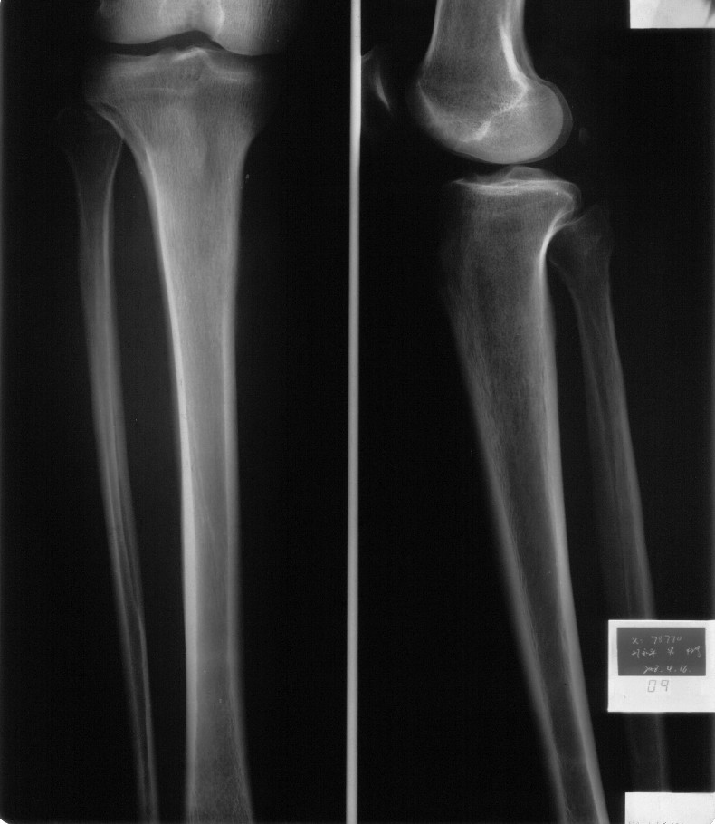
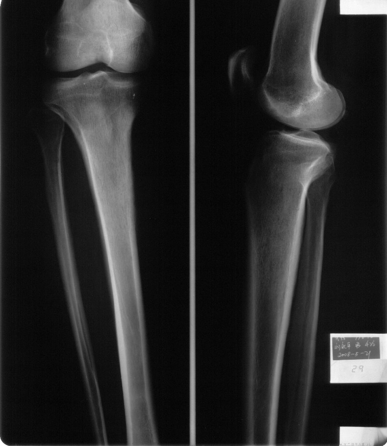
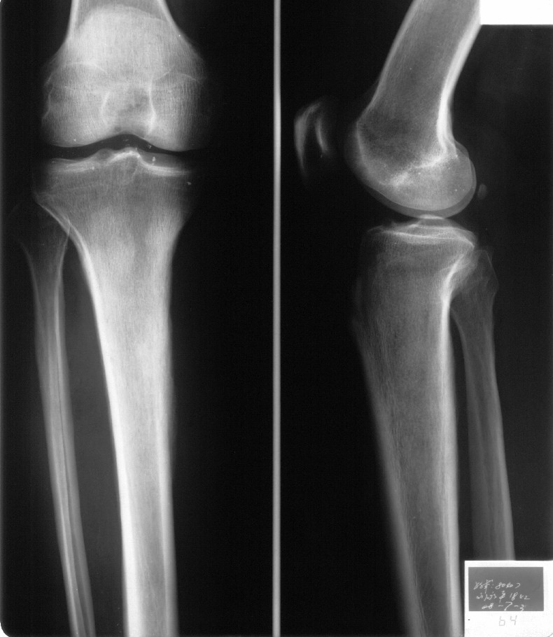
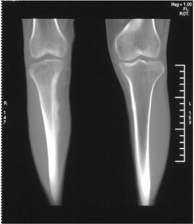
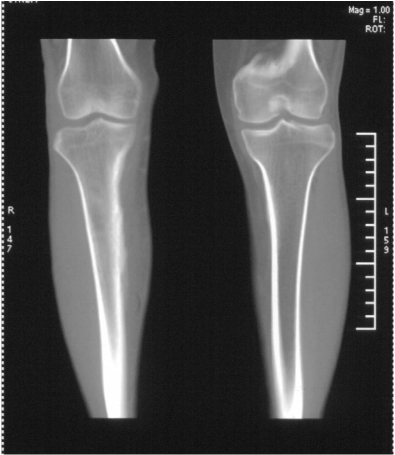
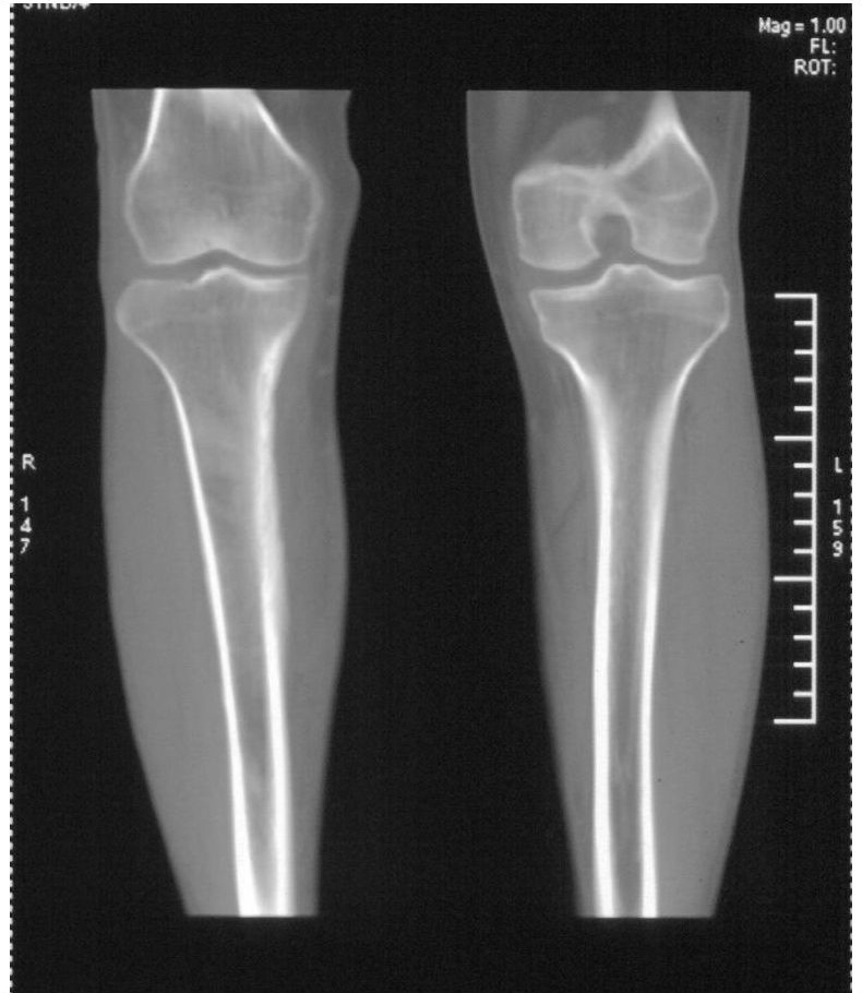
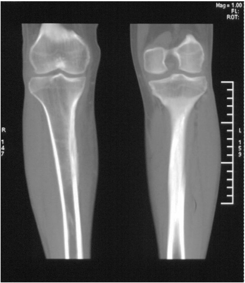
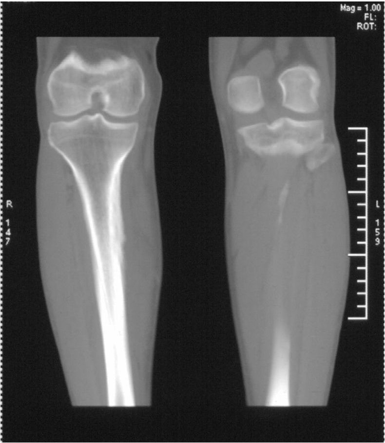
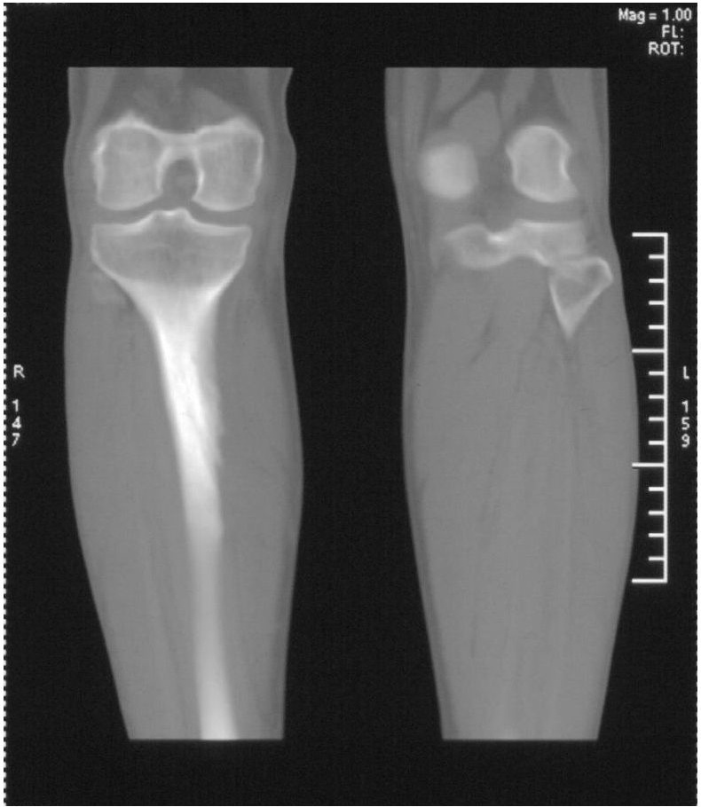
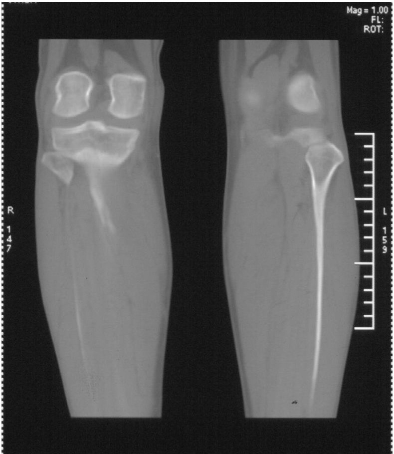
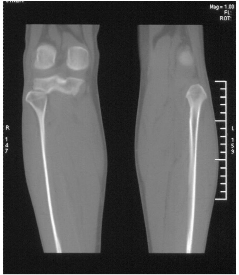
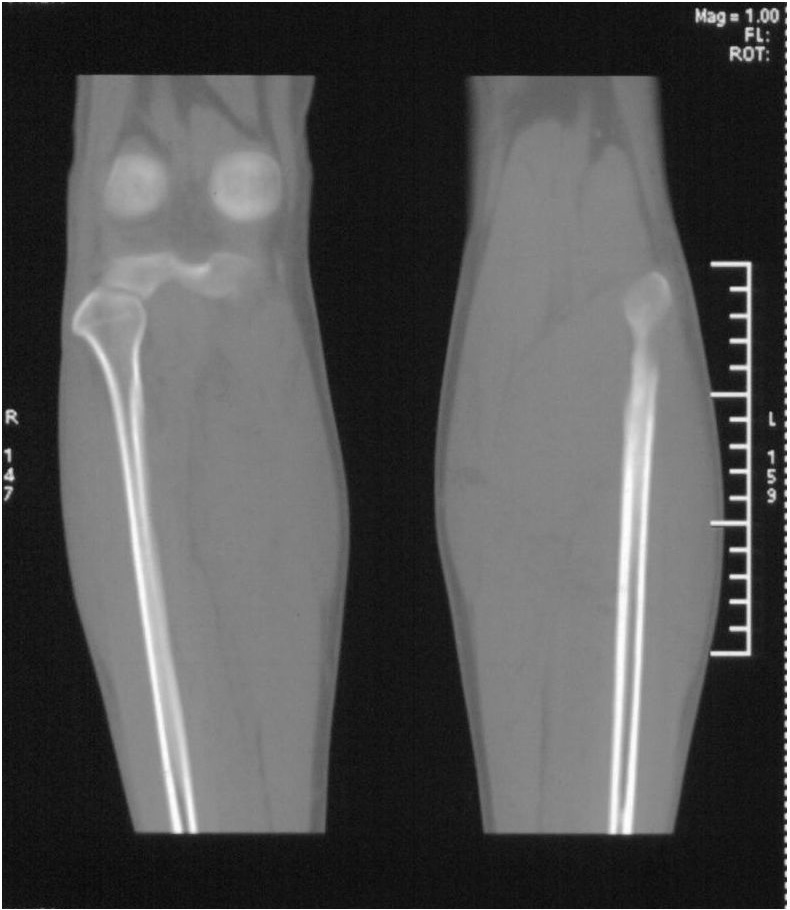
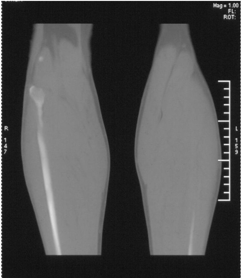
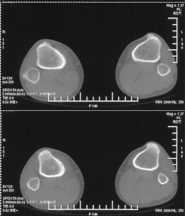
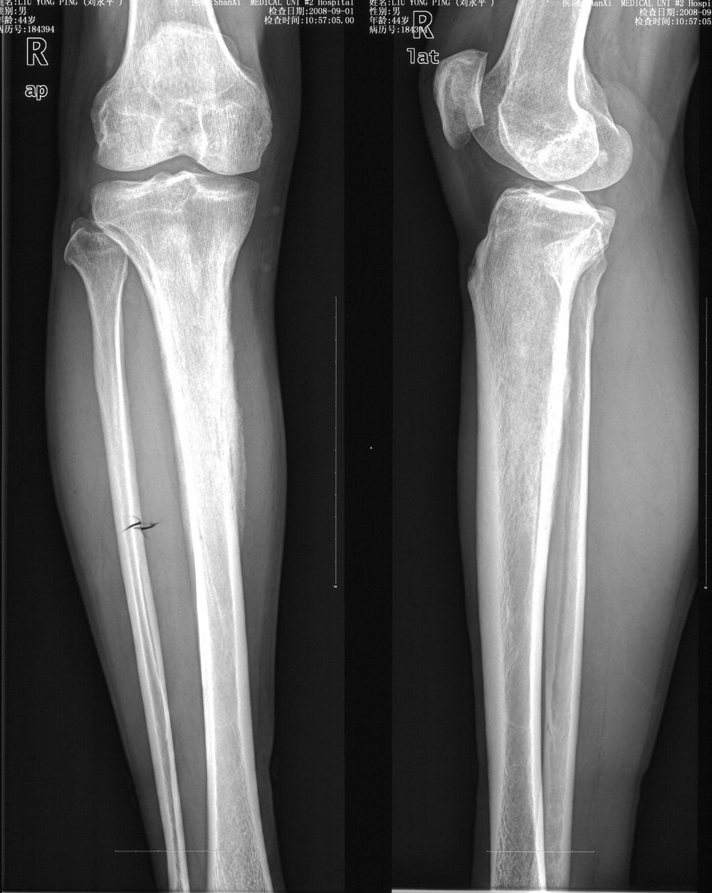
男,42岁。4个月前钢筋钝伤右侧小腿部,当时因无明显外伤,未引起重视。一周后因受伤腿部疼痛,发现肿胀,随后到当地医院进行检查(2008年4月16日)。因未发现骨质异常未引起重视,仅仅进行口服抗生素治疗处理。经过一段时间治疗但未见明显治疗效果在5月29日又进行x线检查,发现有胫骨密度上段密度增高,又进行抗炎治疗,仍未见效果。又在7月3日进行x线检查,仍然报告有胫骨上端密度增高,并建议ct检查。以下是相关检查结果:





































[本贴已被 jiajie 于 2008-8-21 13:16:12 修改过]
[本贴已被 fanshl 于 2008-8-21 13:41:18 修改过]
作者: zjzjr 时间: 2008-8-21 22:53
髓腔密度呈絮状增高,胫骨上端内侧可见层状骨膜反应,考虑骨髓炎.
作者: doc张 时间: 2008-8-21 23:14
反应性骨膜增生,骨髓炎.
作者: sdzyy 时间: 2008-8-21 23:19
髓腔密度呈絮状增高,胫骨上端内侧可见层状骨膜反应,肌间隙模糊,考虑骨髓炎.
支持!
作者: 卜一 时间: 2008-8-22 00:12
反应性骨膜增生—支持:骨髓炎!
作者: duguo 时间: 2008-8-22 00:12
支持骨髓炎诊断.
作者: 谨言慎行 时间: 2008-8-22 00:18
破坏、增生、骨膜反应,考虑骨髓炎
作者: 深泽交通 时间: 2008-8-22 00:23
标题: 回复:ct15323:男,42岁。右侧小腿受伤4月余。(2104828)
以下是引用zjzjr在2008-8-21 14:53:00的发言:[br]髓腔密度呈絮状增高,胫骨上端内侧可见层状骨膜反应,考虑骨髓炎.
作者: zy_zj 时间: 2008-8-22 00:31
髓腔密度呈絮状增高,胫骨上端内侧可见层状骨膜反应,考虑骨髓炎.
支持
作者: zy_zj 时间: 2008-8-22 00:36
支持同时也谢谢楼主提供这么详细的影像和病史,希望发帖子的楼主也能像这位老兄这样,把资料弄全了,不要把影像当猜谜。
作者: yangyudong333 时间: 2008-8-22 00:55
支持骨髓炎诊断.
作者: 杀毒软件 时间: 2008-8-22 02:15
支持:骨髓炎
作者: 影象小辈 时间: 2008-8-22 03:07
髓腔密度呈絮状增高,胫骨上端内侧可见层状骨膜反应,肌间隙模糊,考虑骨髓炎.
支持!
作者: dyqct 时间: 2008-8-22 04:23
标题: 回复:ct15323:男,42岁。右侧小腿受伤4月余。(2104828)
以下是引用zjzjr在2008-8-21 14:53:00的发言:[br]髓腔密度呈絮状增高,胫骨上端内侧可见层状骨膜反应,考虑骨髓炎.
支持!
作者: xinhb120 时间: 2008-8-22 04:47
病例很好,诊断没问题。
不过我想问一句,你用什么ct啊,条件竟然是kv120 ma350,我不太明白。
作者: xulianj 时间: 2008-8-22 05:24
支持:骨髓炎!
作者: 黑白光影 时间: 2008-8-22 05:34
支持骨髓炎诊断.
作者: fanshl 时间: 2008-8-22 15:07
这个ct是ge high speeds 64排。
作者: 随光逐影 时间: 2008-8-22 17:22
考虑右胫骨骨髓炎。
作者: 光影★小胖 时间: 2008-8-22 23:32
以下是引用fanshl在2008-8-22 7:07:00的发言:[br]这个ct是ge high speeds 64排。
支持骨髓炎诊断。楼主幸福啊,都64了!!!
作者: fanshl 时间: 2008-9-3 18:27
标题: 病例追踪
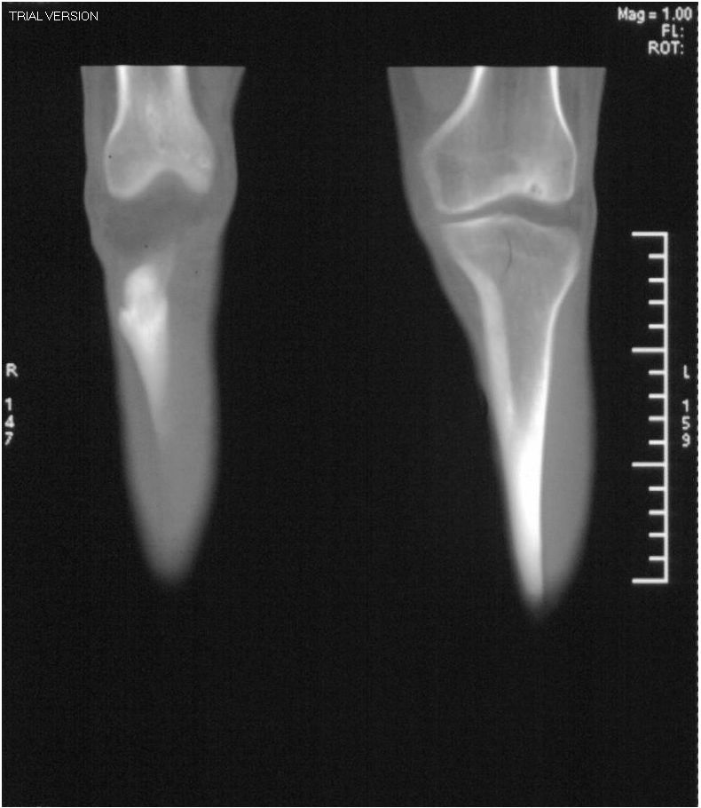
该患者到某三级医院进行会诊,并重新作了平片检查,认为畸形性行骨炎:

[本贴已被 fanshl 于 2008-9-3 10:34:03 修改过]
| 欢迎光临 医影在线 (http://bbs.radida.com/bbs/) |
Powered by Discuz! X3.2 |