医影在线

标题: CT15327:女,20岁。3天前突然恶心、呕吐,意识丧失。是否考 [打印本页]

作者: fanshl    时间: 2008-8-21 23:50
标题: CT15327:女,20岁。3天前突然恶心、呕吐,意识丧失。是否考
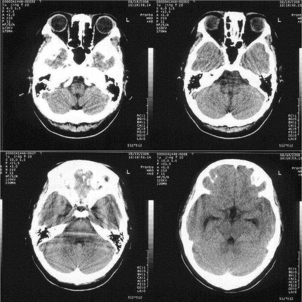
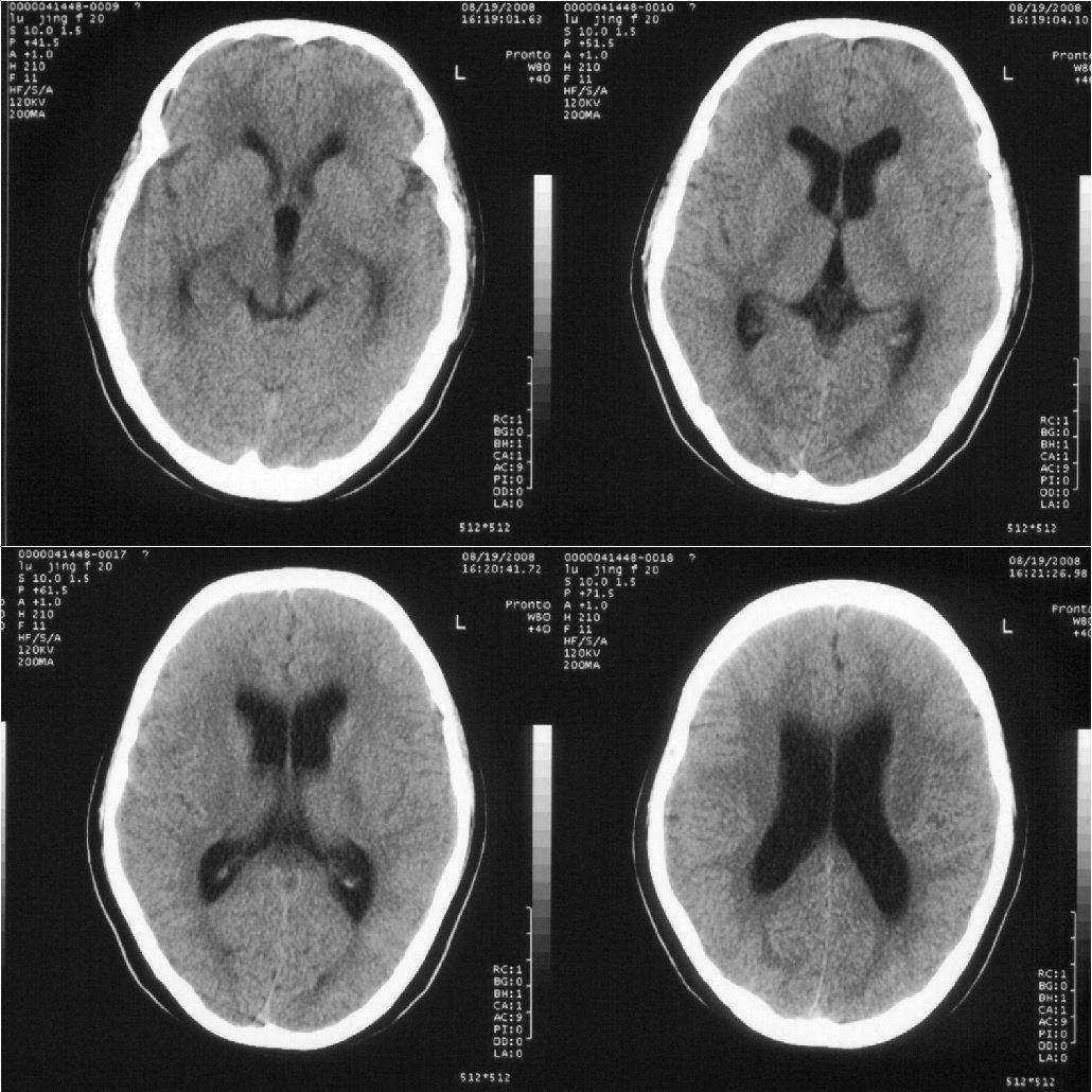
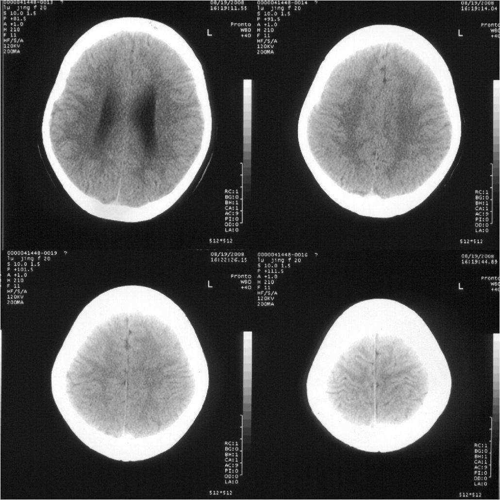
女,20岁。3天前突然恶心、呕吐,当时意识尚清楚。随后睡了一觉,醒后意识丧失,一直持续约5个小时左右才恢复意识。现在意识清楚,但一直干呕。






[本贴已被 jiajie 于 2008-8-21 18:51:03 修改过]

作者: 卜一    时间: 2008-8-22 00:01
顶叶脑沟变浅,余未见异常!
作者: duguo    时间: 2008-8-22 00:02
轻度脑积水,建议mr检查.
作者: 深泽交通    时间: 2008-8-22 00:09
标题: 回复:女,20岁。3天前突然恶心、呕吐,意识丧失。4857074
以下是引用duguo在2008-8-21 16:02:00的发言:[br]轻度脑积水,建议mr检查.

作者: sdzyy    时间: 2008-8-22 00:25
轻度脑积水,建议mr检查.
作者: 358450m    时间: 2008-8-22 00:27
标题: 回复:女,20岁。3天前突然恶心、呕吐,意识丧失。4857074
以下是引用duguo在2008-8-21 16:02:00的发言:[br]轻度脑积水,建议mr检查.

作者: caoyuanlang    时间: 2008-8-22 00:28
轻度脑积水,建议做核磁
作者: yangyudong333    时间: 2008-8-22 00:44
轻度脑积水,建议mr检查.
作者: pyb    时间: 2008-8-22 00:54
轻度脑积水
作者: 道哥    时间: 2008-8-22 01:01
轻度脑积水,鞍上池有低密度占位,建议做核磁
作者: zy_zj    时间: 2008-8-22 01:09
诊断脑积水有点过了,不明显
作者: 杀毒软件    时间: 2008-8-22 01:45
标题: 回复:女,20岁。3天前突然恶心、呕吐,意识丧失。是否考
以下是引用卜一在2008-8-21 16:01:00的发言:[br]顶叶脑沟变浅,余未见异常!

支持
作者: dyqct    时间: 2008-8-22 04:27
轻度脑积水,建议mr检查.
作者: zjzjr    时间: 2008-8-22 04:36
轻度脑积水,建议mr检查.
作者: zhengfaming    时间: 2008-8-22 04:40
侧脑室系统轻增宽,支持轻度脑积水,建议mri
作者: zxczxc    时间: 2008-8-22 05:08
轻度脑积水。
作者: xulianj    时间: 2008-8-22 05:33
轻度脑积水,建议mr检查.
作者: LIAIZHI    时间: 2008-8-22 06:12
考虑轻度脑积水。
作者: liyf    时间: 2008-8-22 06:42
双侧脑室及三脑室轻度增大,第四脑不大。考虑幂上脑积水,可能中脑导水管不完全阻塞可能。
作者: liuyue    时间: 2008-8-22 06:59
轻度脑积水,建议mr检查.
支持。
作者: WYD2008    时间: 2008-8-22 16:37
考虑:轻度脑积水.
作者: 随光逐影    时间: 2008-8-22 17:39
脑积水(原因不明);建议必要时行进一步检查。
作者: 宇宙ct    时间: 2008-8-22 18:24
未见异常
作者: 黑白光影    时间: 2008-8-22 18:39
轻度脑积水,建议mr检查.
作者: 吴文利    时间: 2008-8-22 18:48
轻度脑积水
作者: 影象小辈    时间: 2008-8-22 21:51
未见明显异常   建议mr检查除外鞍区占位
作者: 光影★小胖    时间: 2008-8-22 23:12
脑积水,建议mr检查.
作者: fanshl    时间: 2008-9-3 03:57
追踪回访:脑压测定200,现在已经正常上学
作者: aosangwa    时间: 2008-9-7 02:42
考虑癔病
作者: 阿康2008    时间: 2008-9-7 02:57
脑室稍扩大,支持轻度脑积水诊断.
十楼的朋友说鞍上池有低密度占位,我认为那是扩大的三v.




欢迎光临 医影在线 (http://bbs.radida.com/bbs/) Powered by Discuz! X3.2