医影在线
标题: PED0988:女5岁 左小腿 肿块4年  无痛 我摸了一下觉得很硬 [打印本页]
作者: 小峰    时间: 2008-8-22 03:00
标题: PED0988:女5岁 左小腿 肿块4年  无痛 我摸了一下觉得很硬




[本贴已被 jiajie 于 2008-8-21 20:56:19 修改过]
作者: 杀毒软件    时间: 2008-8-22 03:27
未见明显异常
作者: 小峰    时间: 2008-8-22 03:39
是不是哦  摸到硬硬的东西哦
作者: ZHANGZHONGSHOU    时间: 2008-8-22 03:45
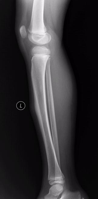
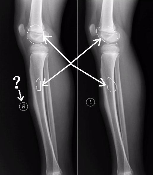
左胫骨中段前缘局限性骨皮质增厚,其内隐约见一低密度影,考虑骨样骨瘤可能,局限性骨皮质增厚可能,建议ct进一步检查。最后一张片子应该是l吧。
作者: dyqct    时间: 2008-8-22 04:04
标题: 回复:女5岁 左小腿 肿块4年  无痛 我摸了一下觉得很硬
以下是引用zhangzhongshou在2008-8-21 19:45:00的发言:[br]左胫骨中段前缘局限性骨皮质增厚,其内隐约见一低密度影,考虑骨样骨瘤可能,局限性骨皮质增厚可能,建议ct进一步检查。最后一张片子应该是l吧。
支持!
作者: 黑白光影    时间: 2008-8-22 04:26
标题: 。
以下是引用zhangzhongshou在2008-8-21 19:45:00的发言:[br]左胫骨中段前缘局限性骨皮质增厚,其内隐约见一低密度影,考虑骨样骨瘤可能,局限性骨皮质增厚可能,建议ct进一步检查。最后一张片子应该是l吧。
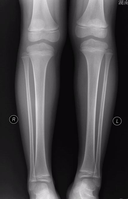
左胫骨前缘骨皮质增厚,有向前凸起改变,与之比较右侧胫骨皮质均匀光整。支持二楼的意见。从骨性标记看,小腿的左右标注楼主有误。

[本贴已被 黑白光影 于 2008-8-21 20:27:20 修改过]
作者: yangyudong333    时间: 2008-8-22 16:23
左胫骨中段前缘局限性骨皮质增厚,其内隐约见一低密度影,考虑骨样骨瘤可能,局限性骨皮质增厚可能,建议ct进一步检查。最后一张片子应该是l吧。
作者: 随光逐影    时间: 2008-8-22 18:24
左胫骨中段前缘局限性骨皮质增厚。
作者: zhctwbh    时间: 2008-8-23 01:30
同意楼上观点
作者: 小峰    时间: 2008-8-23 07:57
哎呀,我明天要去告诉搞技术的同学,真是的!!!!!!!!!!!写这个报告的老师也没发现!她就下了个良性病变可能,建议进一步检查,我说是骨样骨瘤可能,局限性骨皮质增厚可能她说不是的!
作者: 卜一    时间: 2008-8-23 13:54
不是很明显!建议行ct检查!
作者: 同    时间: 2008-8-24 01:00
标题: 回复:ped0988:女5岁 左小腿 肿块4年  无痛 我摸了一下觉得很
以下是引用随光逐影在2008-8-22 10:24:00的发言:[br]左胫骨中段前缘局限性骨皮质增厚。
作者: jiangjing    时间: 2008-8-24 02:02
局限性局限性骨皮质增厚,骨样骨瘤待排
作者: 37度    时间: 2008-8-24 03:14
标题: 回复:ped0988:女5岁 左小腿 肿块4年  无痛 我摸了一下觉得很
以下是引用zhangzhongshou在2008-8-21 19:45:00的发言:[br]左胫骨中段前缘局限性骨皮质增厚,其内隐约见一低密度影,考虑骨样骨瘤可能,局限性骨皮质增厚可能,建议ct进一步检查。最后一张片子应该是l吧。
作者: 老单    时间: 2008-8-24 19:54
骨皮质增厚无特异性
作者: mfs251480    时间: 2008-9-19 05:28
骨样骨瘤。
作者: gjj6818    时间: 2008-9-22 01:34
考虑骨样骨瘤可能
| 欢迎光临 医影在线 (http://bbs.radida.com/bbs/) | 
Powered by Discuz! X3.2 |