











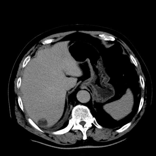
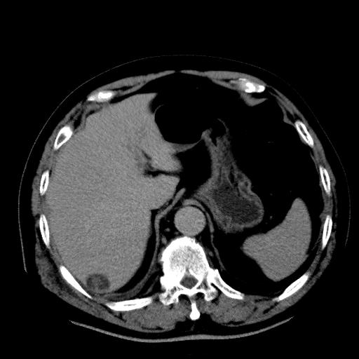
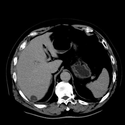
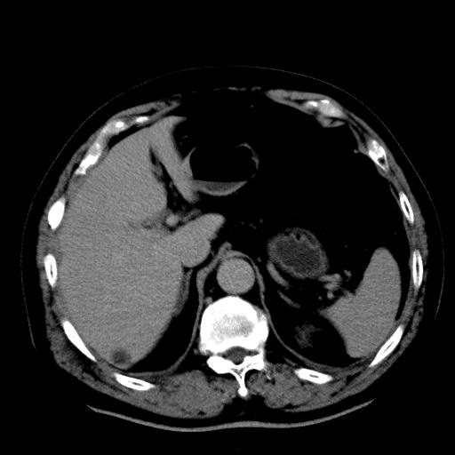
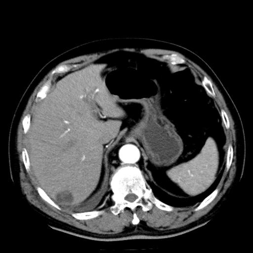
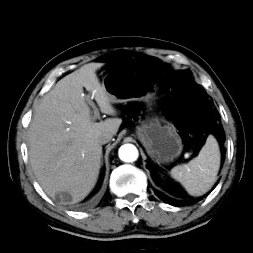
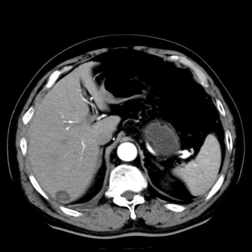
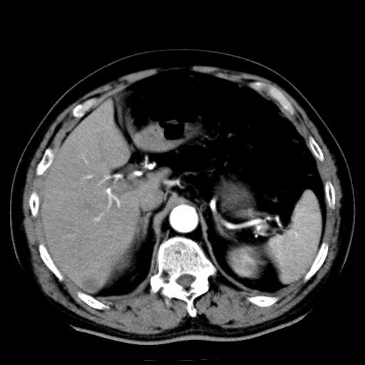
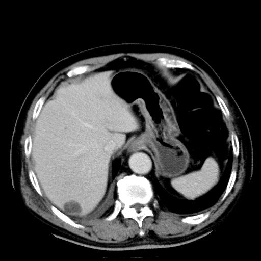
以下是引用zhctwbh在2008-8-23 14:20:00的发言:[br]囊肿合并出血
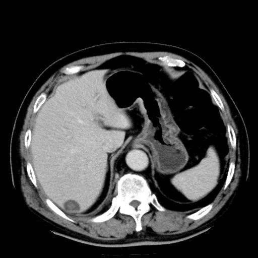
以下是引用深泽交通医院在2008-8-23 14:53:00的发言:[br][quote]以下是引用zhctwbh在2008-8-23 14:20:00的发言:[br]囊肿合并出血
以下是引用深泽交通医院在2008-8-23 14:53:00的发言:[br][quote]以下是引用zhctwbh在2008-8-23 14:20:00的发言:[br]囊肿合并出血
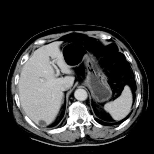
以下是引用dyqct在2008-8-23 15:24:00的发言:[br][quote]以下是引用深泽交通医院在2008-8-23 14:53:00的发言:[br][quote]以下是引用zhctwbh在2008-8-23 14:20:00的发言:[br]囊肿合并出血
以下是引用zjb在2008-8-23 16:41:00的发言:[br]囊肿并出血可能性大。
| 欢迎光临 医影在线 (http://bbs.radida.com/bbs/) | Powered by Discuz! X3.2 |