医影在线

标题: CT15386:女性,56岁,腰痛3年 [打印本页]

作者: liuxia0204    时间: 2008-8-26 04:40
标题: CT15386:女性,56岁,腰痛3年
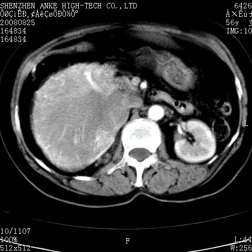
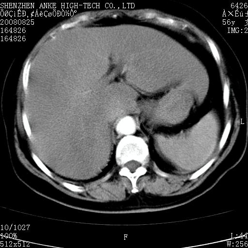
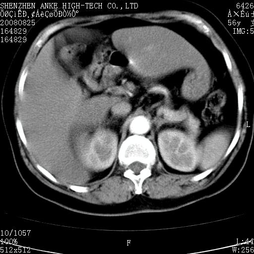
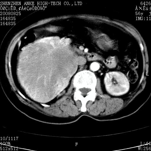
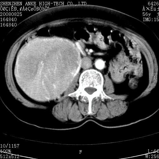
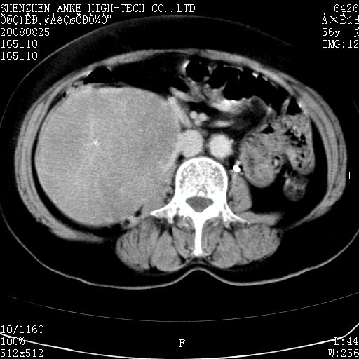
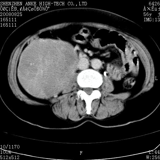
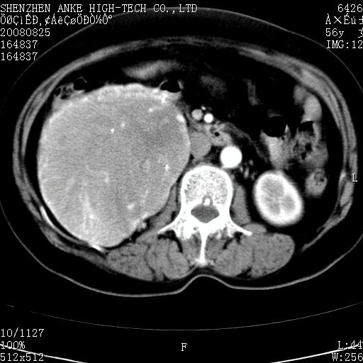
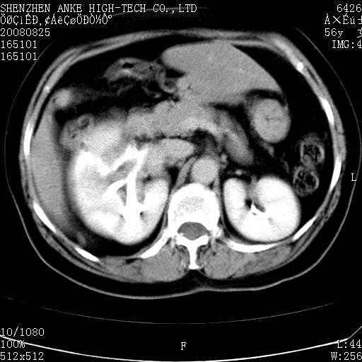
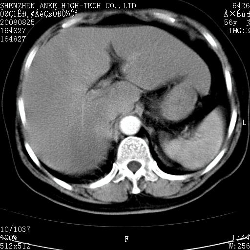
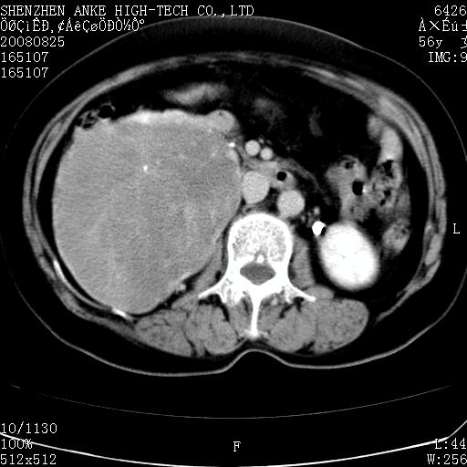
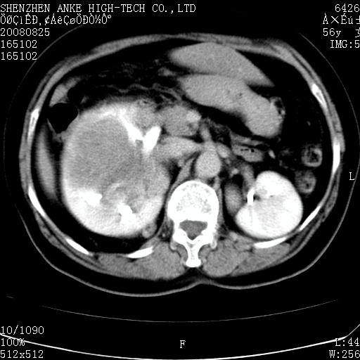
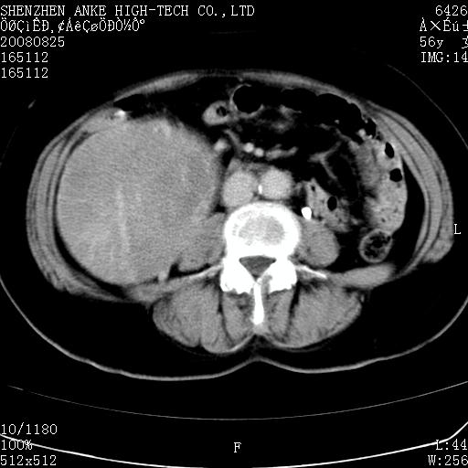
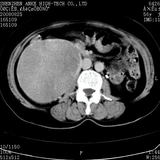
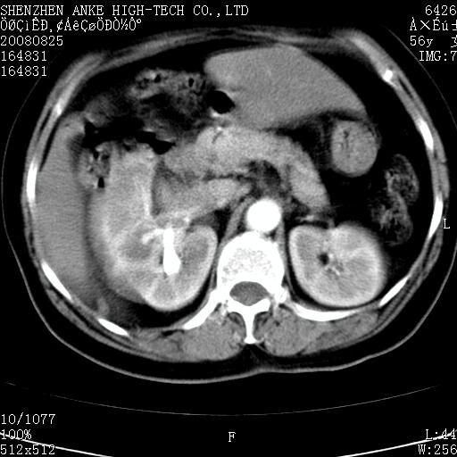
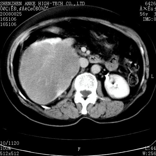
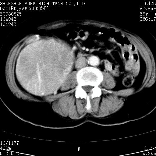
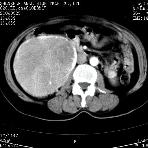
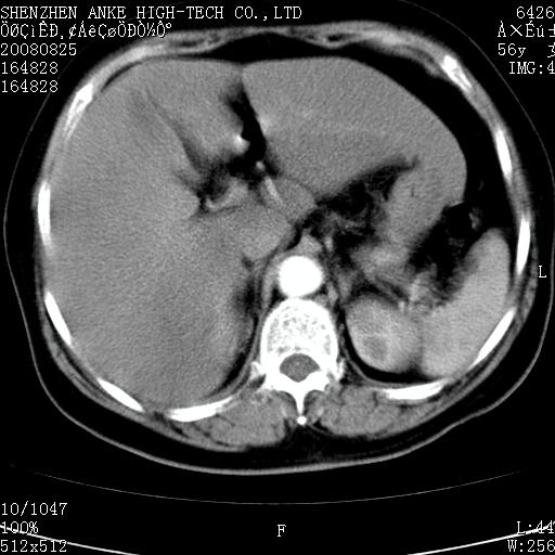
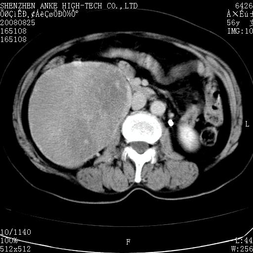
患者,女性,56岁,腰痛3年,查:右腹部约8x10cm肿块,固定,无压痛;8月23日在外院做了平扫,发现右肾巨大肿块(外院具体诊断不祥);今天在我院做了静脉肾盂造影,示:右肾明显增大,分泌功能明显减弱。



































[本贴已被 jiajie 于 2008-8-25 21:20:09 修改过]

作者: xulianj    时间: 2008-8-26 04:54
右肾癌可能大。
作者: dsl555    时间: 2008-8-26 04:57
右肾癌
作者: 同    时间: 2008-8-26 05:13
右肾癌可能性大.
作者: 吴承学    时间: 2008-8-26 05:20
标题: 回复:患者,女性,56岁
以下是引用xulianj在2008-8-25 20:54:00的发言:[br]右肾癌可能大。

作者: wqs571018    时间: 2008-8-26 05:28
右肾占位、癌可能性大。
作者: 杀毒软件    时间: 2008-8-26 05:31
支持
作者: wangdch2008    时间: 2008-8-26 05:33
右肾占位、癌可能性大。
作者: zjb    时间: 2008-8-26 05:39
右肾占位、癌可能性大。
作者: zy_zj    时间: 2008-8-26 05:48
右肾占位、癌可能性大。
作者: dyqct    时间: 2008-8-26 05:48
支持右巨大肾癌。
作者: 随光逐影    时间: 2008-8-26 05:54
1)考虑右肾癌并右肾静脉瘤栓形成。2)脂肪肝。
作者: PANPAN    时间: 2008-8-26 06:03
标题: 回复:ct15386:女性,56岁,腰痛3年
以下是引用同在2008-8-25 21:13:00的发言:[br]右肾癌可能性大.

作者: jinguoji    时间: 2008-8-26 12:05
右肾癌可能性大。
作者: qc80012345    时间: 2008-8-26 14:26
右肾癌性变。
作者: yangyudong333    时间: 2008-8-26 14:44
右肾癌可能性大.
作者: zjzjr    时间: 2008-8-26 18:42
支持右巨大肾癌。
作者: 黑白光影    时间: 2008-8-26 21:45
右肾占位、癌可能性大。
作者: LIAOQIANG    时间: 2008-8-27 01:02
考虑右肾癌可能性。




欢迎光临 医影在线 (http://bbs.radida.com/bbs/) Powered by Discuz! X3.2