






















































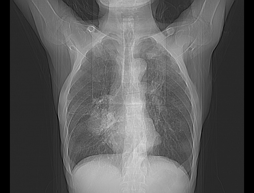
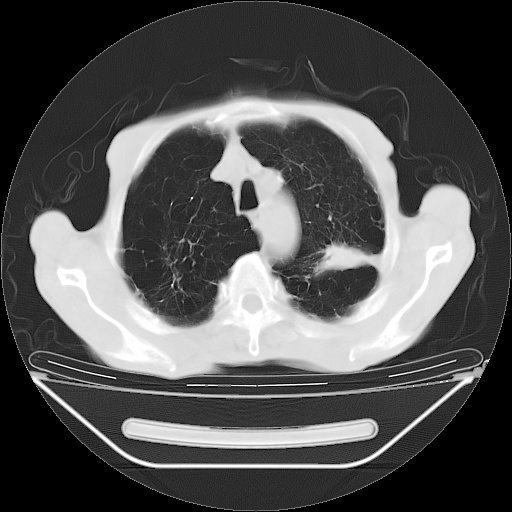
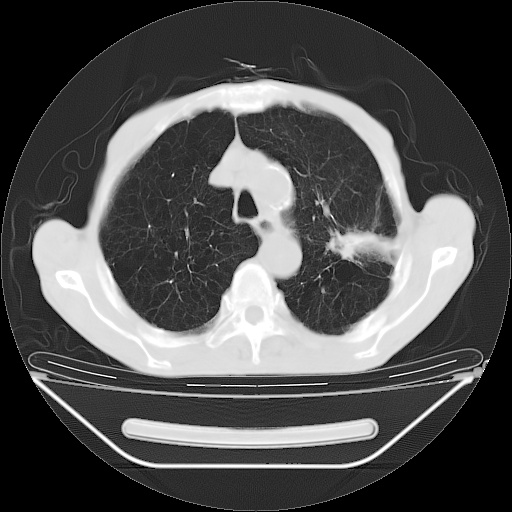
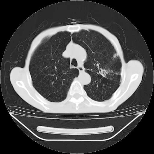
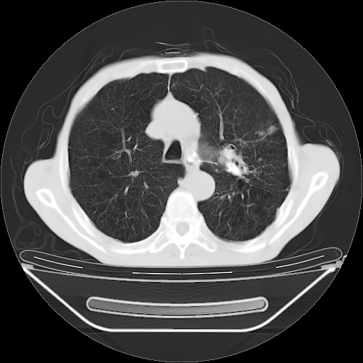
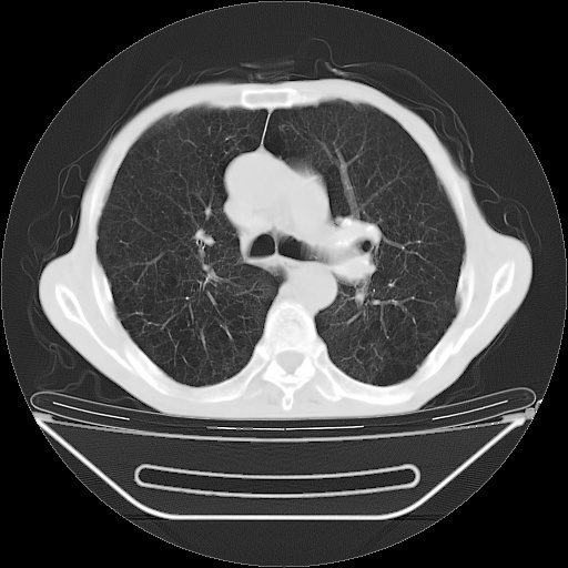
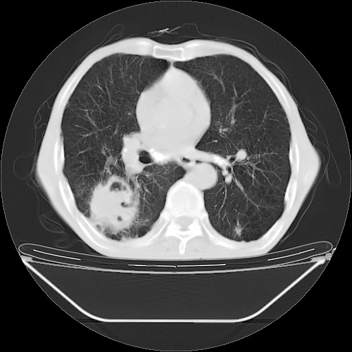
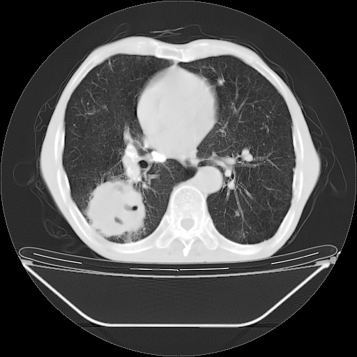
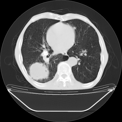
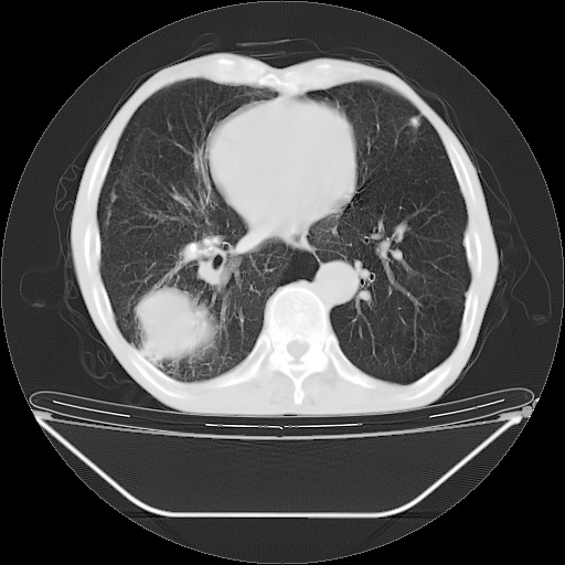
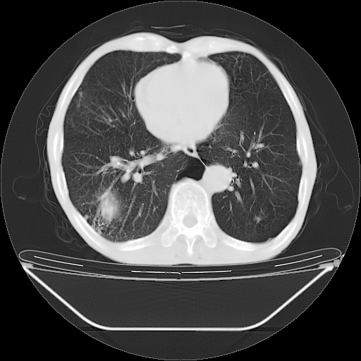
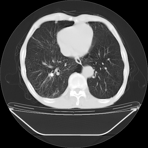
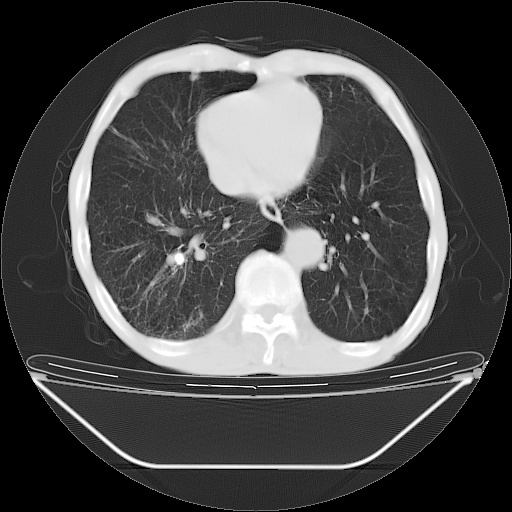
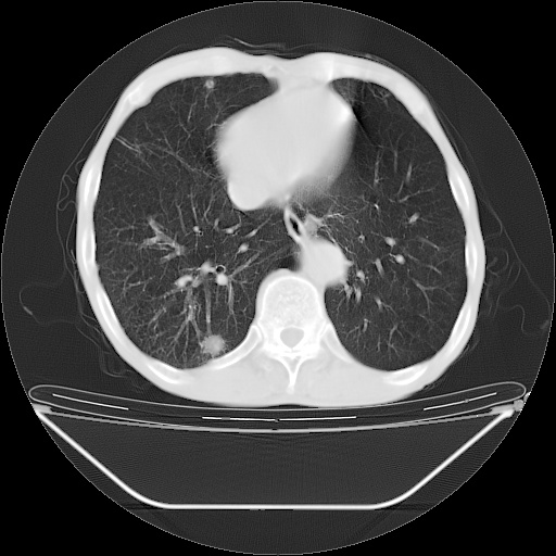
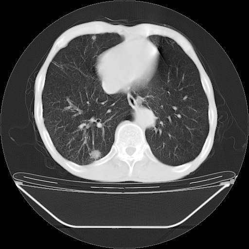
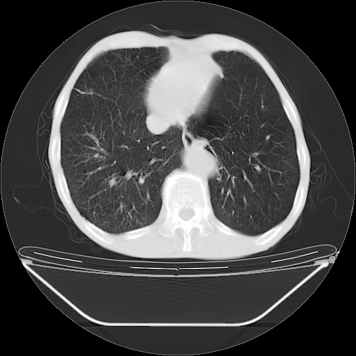
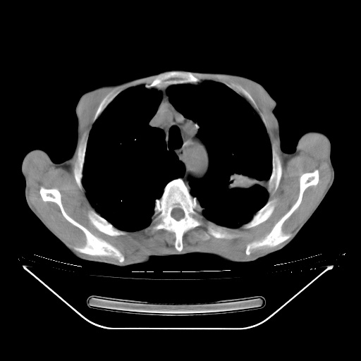
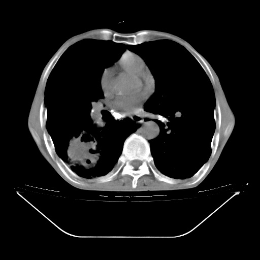
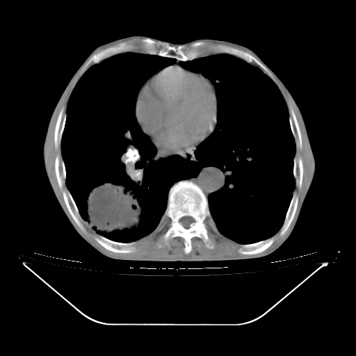
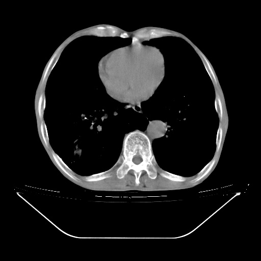
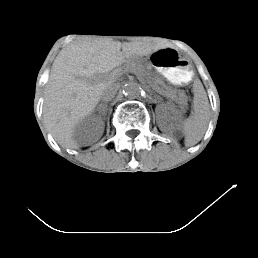
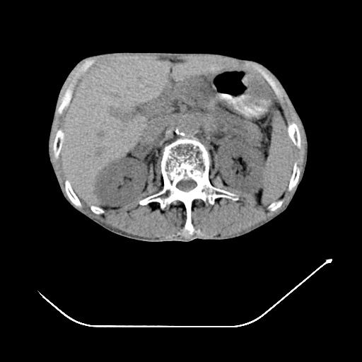
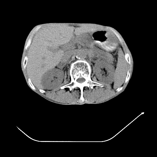
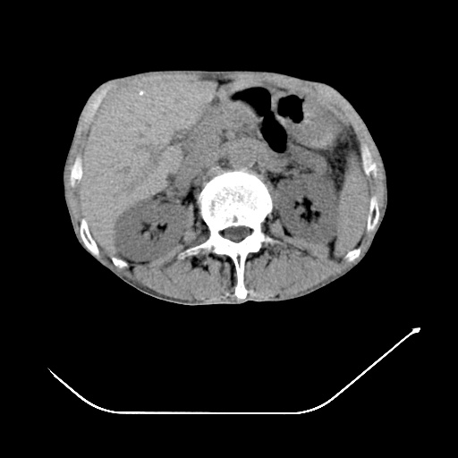
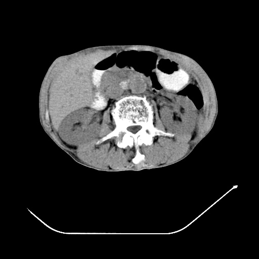
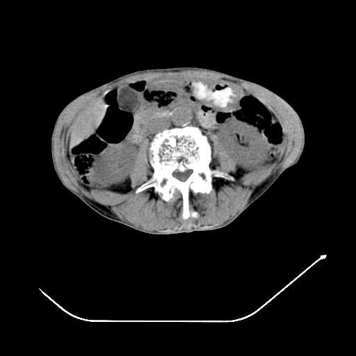
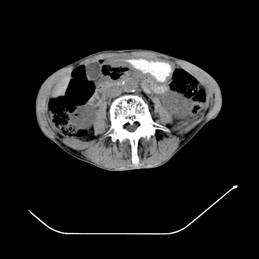
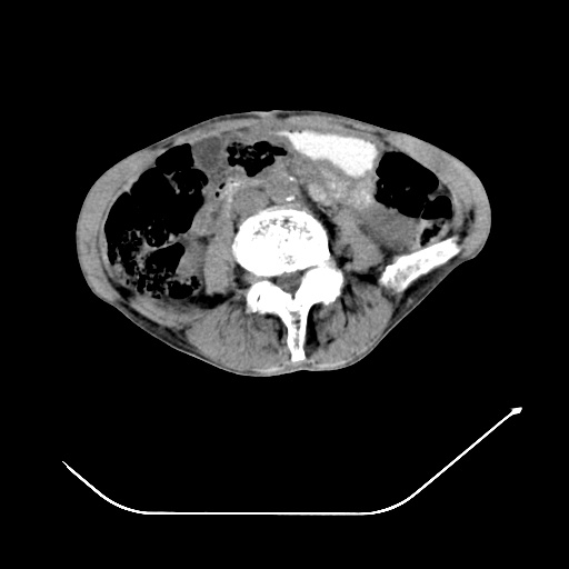
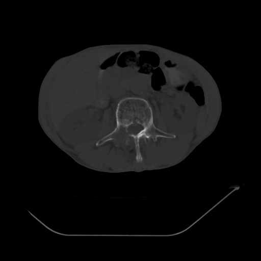
以下是引用lijuanln在2008-8-25 21:52:00的发言:[br]考虑右肺肿瘤并肺内转移,左肺上叶结核钙化;腰椎转移。
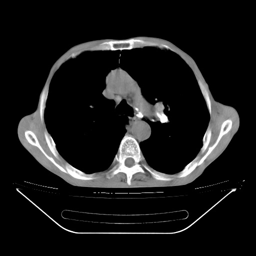
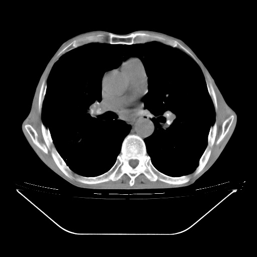
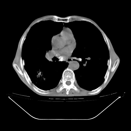
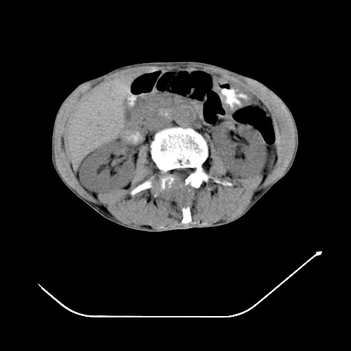
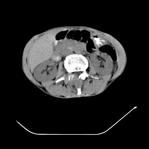
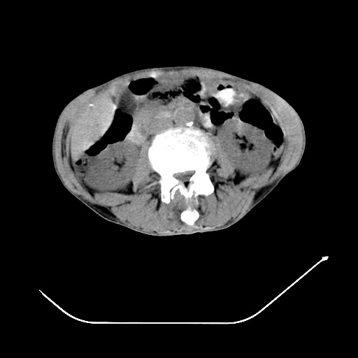
以下是引用zsl6918在2008-8-25 21:55:00的发言:[br]符合右肺周围性肺癌并肺内转移,左肺结核球。双肺肺气肿。腰椎附件转移。
以下是引用lijuanln在2008-8-25 21:52:00的发言:[br]考虑右肺肿瘤并肺内转移,左肺上叶结核钙化;腰椎转移。
以下是引用宇宙ct在2008-8-25 23:17:00的发言:[br]符合右肺周围性肺癌并肺内转移,左肺结核球。双肺肺气肿。腰椎附件转移。
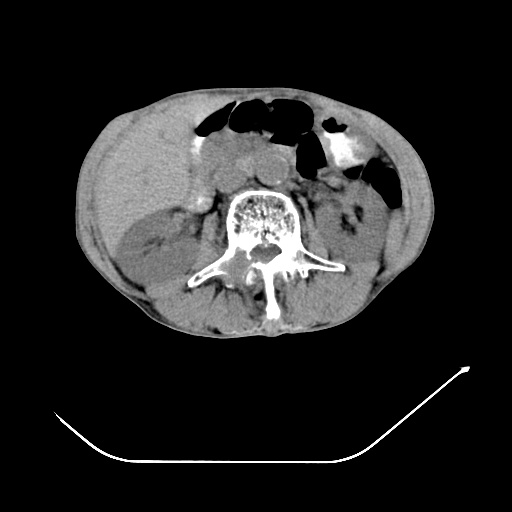
以下是引用随光逐影在2008-8-25 22:03:00的发言:[br]1)考虑右肺下叶周围性肺癌并肺内转移,腰椎附件转移。2)左上肺结核(结核球形成)。3)双肺肺气肿(多发肺大泡形成)。4)双肺门区及纵隔内多发淋巴结钙化。
以下是引用qc80012345在2008-8-26 6:14:00的发言:[br]符合右肺周围性肺癌并肺内转移,左肺结核球。双肺肺气肿。腰椎附件转移。
| 欢迎光临 医影在线 (http://bbs.radida.com/bbs/) | Powered by Discuz! X3.2 |