





















































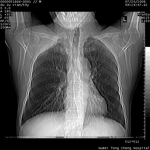
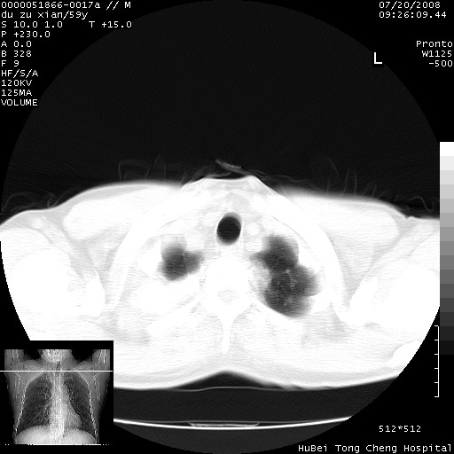
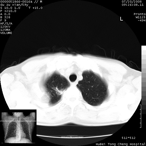
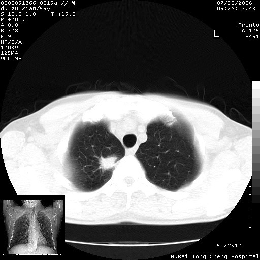
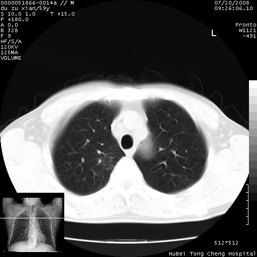
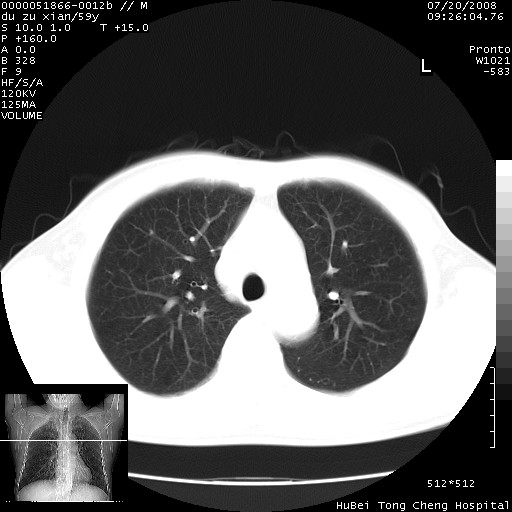
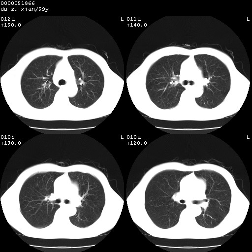
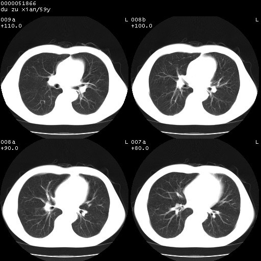
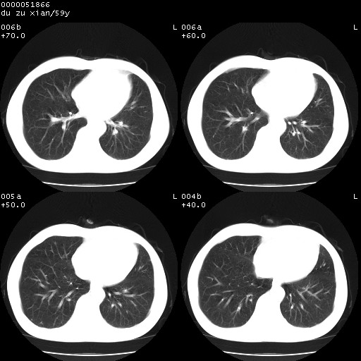
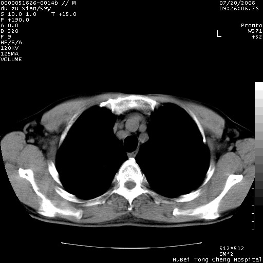
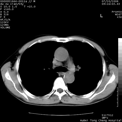
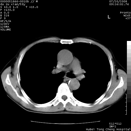
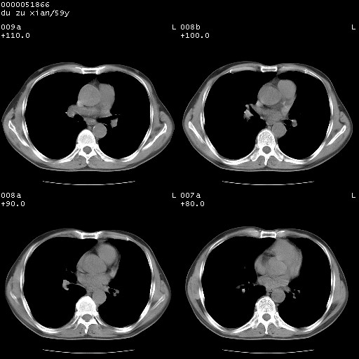
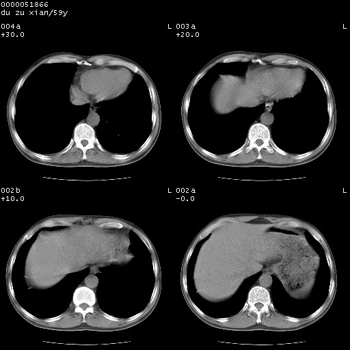
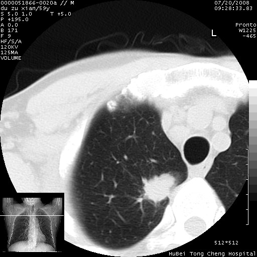
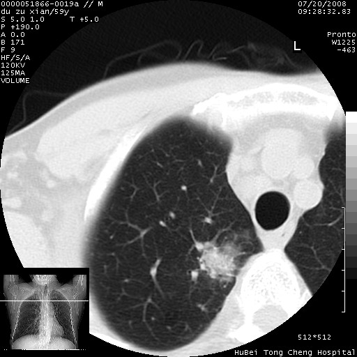
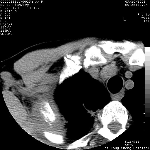
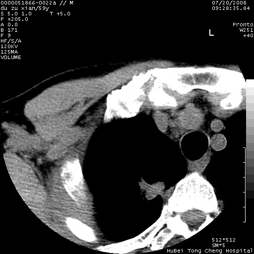
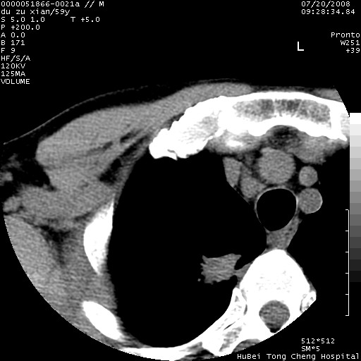
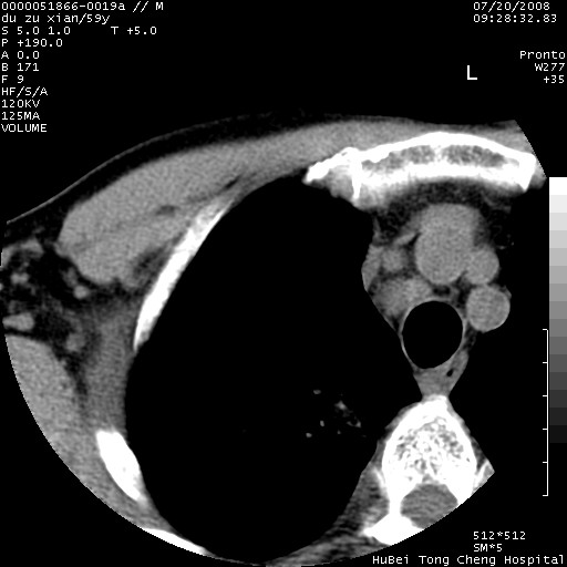
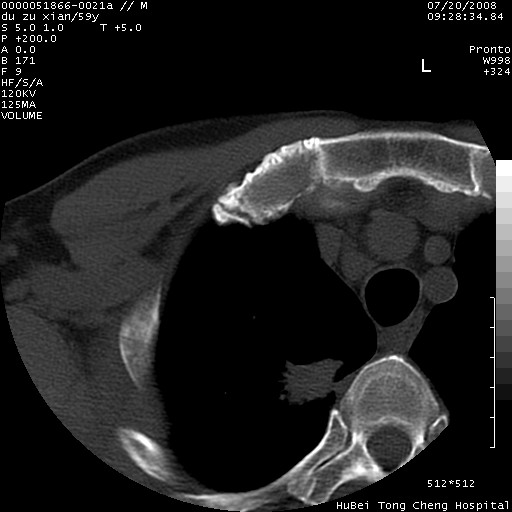
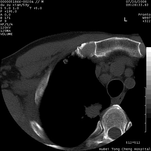
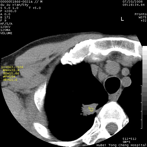
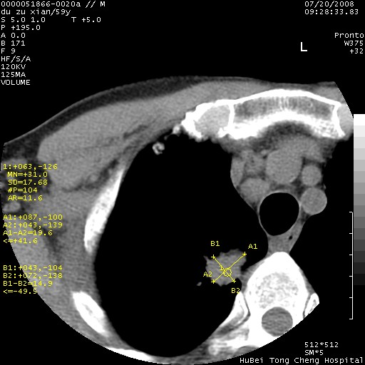
以下是引用宇宙ct在2008-8-25 23:21:00的发言:[br]右肺周围性肺癌并肋骨转移,纵隔淋巴结转移。
以下是引用zsl6918在2008-8-25 22:40:00的发言:[br]右肺周围性肺癌并肋骨转移,纵隔淋巴结转移。
以下是引用zy_zj在2008-8-26 15:24:00的发言:[br]单从病变本身,我倾向良性炎性病变,但肋骨转移了,所以说是考虑右肺周围性肺癌并肋骨、纵隔淋巴结转移可能性大。
以下是引用宇宙ct在2008-8-25 23:21:00的发言:[br]右肺周围性肺癌并肋骨转移,纵隔淋巴结转移。
| 欢迎光临 医影在线 (http://bbs.radida.com/bbs/) | Powered by Discuz! X3.2 |