
























































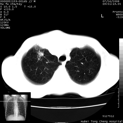
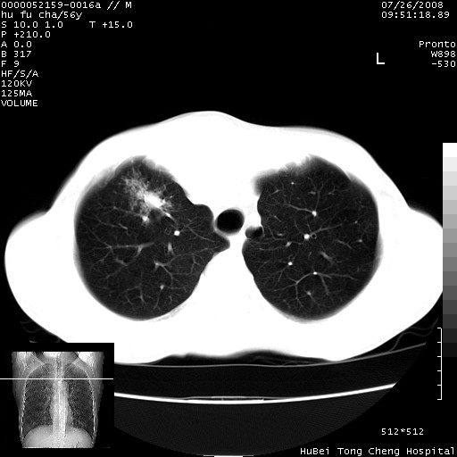
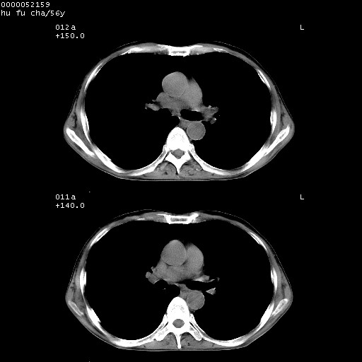
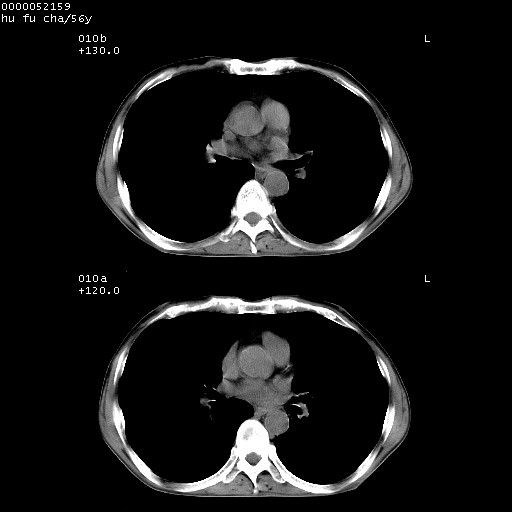
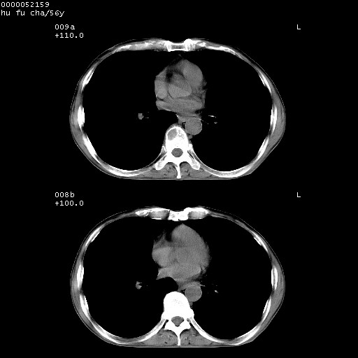
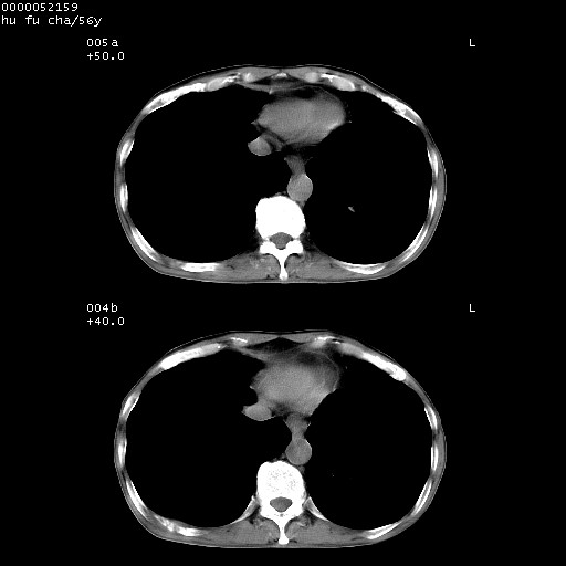
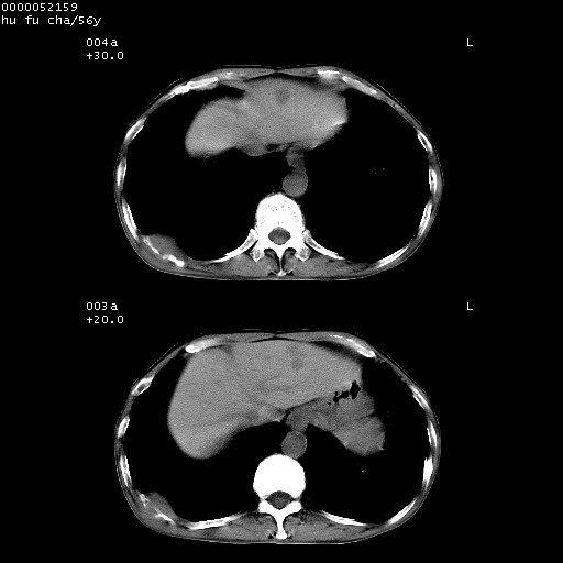
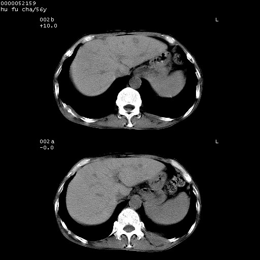
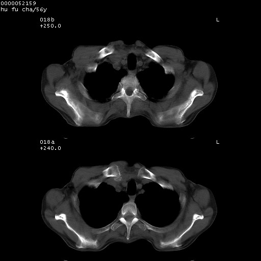
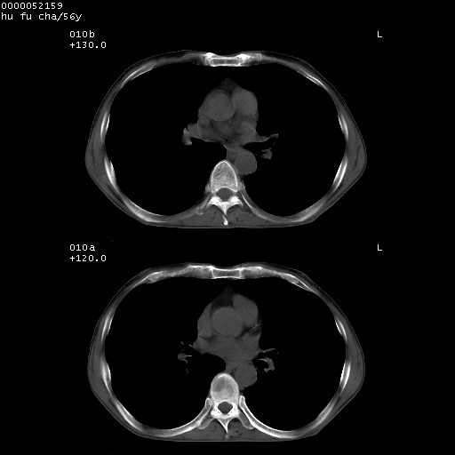
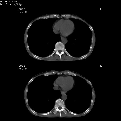
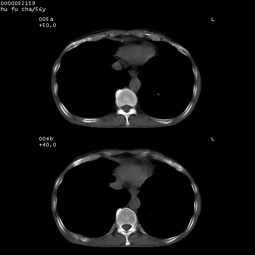
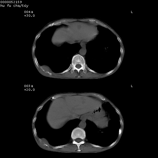
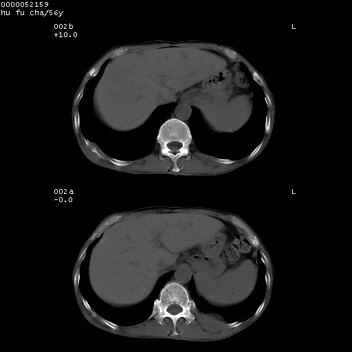
以下是引用卜一在2008-8-26 8:02:00的发言:[br][br] 支持:肺癌并肺内,胸骨,胁骨,胸椎及肝内转移!另:左肺支气管扩张征伴感染! [br]
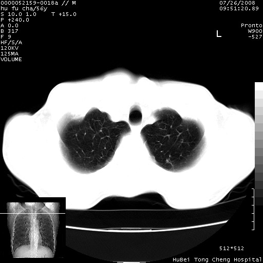
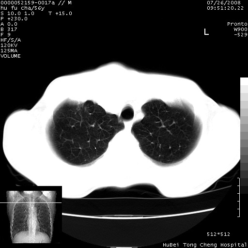
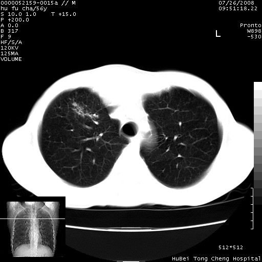
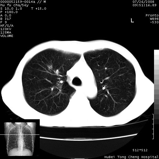
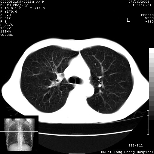
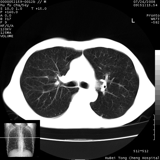
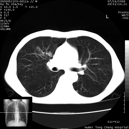
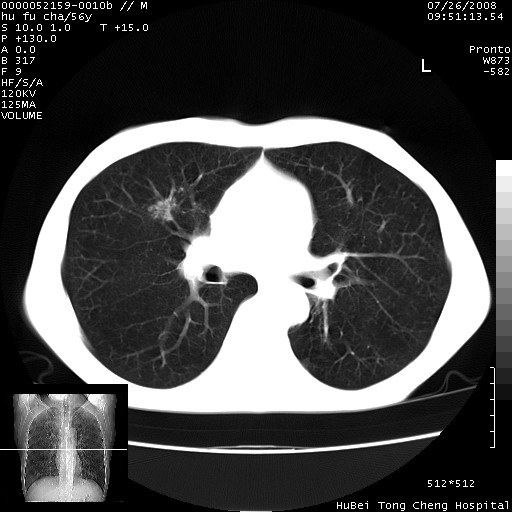
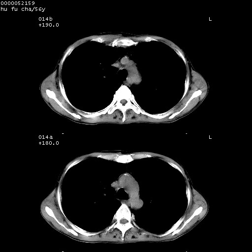
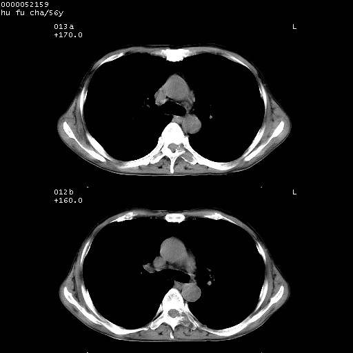
以下是引用zsl6918在2008-8-25 22:47:00的发言:[br]胸骨,胸椎及肋骨均可见多发转移表现,肝内低密度结节不除外转移。原发灶可能在右肺。双侧可见支扩表现。
以下是引用宇宙ct在2008-8-25 23:26:00的发言:[br][br] 胸骨,胸椎及肋骨均可见多发转移表现,肝内低密度结节不除外转移。原发灶可能在右肺。双侧可见支扩表现。 [br] [br]
以下是引用zsl6918在2008-8-25 22:47:00的发言:[br]胸骨,胸椎及肋骨均可见多发转移表现,肝内低密度结节不除外转移。原发灶可能在右肺。双侧可见支扩表现。
以下是引用zsl6918在2008-8-25 22:47:00的发言:[br]胸骨,胸椎及肋骨均可见多发转移表现,肝内低密度结节不除外转移。原发灶可能在右肺。双侧可见支扩表现。
以下是引用卜一在2008-8-26 8:02:00的发言:[br][br] 支持:肺癌并肺内,胸骨,胁骨,胸椎及肝内转移!另:左肺支气管扩张征伴感染! [br]
以下是引用zjzjr在2008-8-26 11:03:00的发言:[br]支持:肺癌并肺内,胸骨,胁骨,胸椎及肝内转移!另:左肺支气管扩张征伴感染!
| 欢迎光临 医影在线 (http://bbs.radida.com/bbs/) | Powered by Discuz! X3.2 |