医影在线

标题: X4772:10年手术 现在复发 足内侧硬肿块,无痛,活动不受 [打印本页]

作者: 小峰    时间: 2008-8-28 03:55
标题: X4772:10年手术 现在复发 足内侧硬肿块,无痛,活动不受




[本贴已被 翁志蓬 于 2008-8-27 21:29:03 修改过]

作者: 358450m    时间: 2008-8-28 04:17
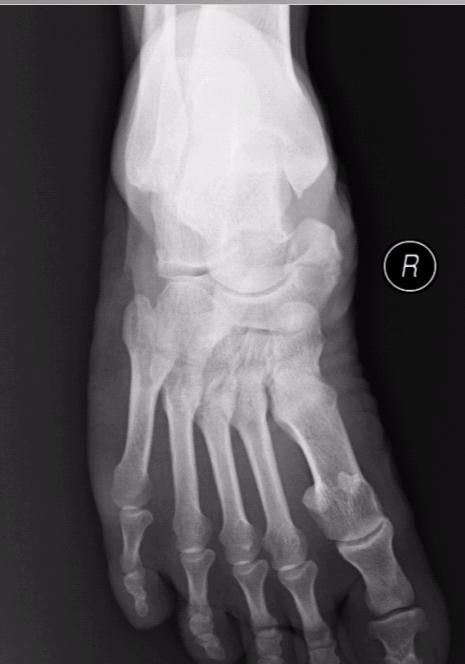
舟附骨
作者: 杀毒软件    时间: 2008-8-28 04:21
可不要认为是舟骨骨折呦-----副舟骨---正常表现
作者: 杏林古木    时间: 2008-8-28 04:31
副舟骨。
作者: dyqct    时间: 2008-8-28 04:46
10年前什么手术?
作者: 象水一样    时间: 2008-8-28 05:07
副舟骨
作者: 黑白光影    时间: 2008-8-28 05:13
副舟骨,正常改变。如有症状为副舟骨综合症。
作者: smhk    时间: 2008-8-28 05:17
副舟骨。学习。
作者: wangxingjian    时间: 2008-8-28 05:39
副舟骨,正常改变。
作者: wy232326    时间: 2008-8-28 05:40
副舟骨,正常改变。如有症状为副舟骨综合症。学习了
作者: shiqingfa    时间: 2008-8-28 06:24
副舟骨
作者: yuhongjun    时间: 2008-8-28 14:55
副舟骨
作者: 随光逐影    时间: 2008-8-28 15:58
标题: 回复:x4772:10年手术 现在复发 足内侧硬肿块,无痛,活动
以下是引用黑白光影在2008-8-27 21:13:00的发言:[br]副舟骨,正常改变。如有症状为副舟骨综合症。

作者: yangyudong333    时间: 2008-8-28 16:19
副舟骨,正常改变。如有症状为副舟骨综合症。
作者: muzi888    时间: 2008-8-28 16:25
副舟骨,正常改变。如有症状为副舟骨综合症。学习了  
   

wy232326说
作者: 王立前    时间: 2008-8-28 23:51
副舟骨
作者: 谨言慎行    时间: 2008-8-29 00:13
需要了解病史及手术情况
作者: zhanggenliang    时间: 2008-8-29 00:41
副舟骨,可有症状
作者: liuliu100    时间: 2008-8-29 02:48
正常
作者: 宇宙ct    时间: 2008-8-29 03:20
副舟骨,正常改变。如有症状为副舟骨综合症。
作者: 小峰    时间: 2008-8-29 04:34
副舟骨综合症   是什么啊  老师们告诉我咯  
  我再次给病人写错了  写的是舟骨术后改变!!!!!!!!!!!!!!!!!!!!!!!!!!!!!还是带教老师让我写的!!!!!!!!!!!!!!!!!
作者: qsbaomingcheng    时间: 2008-8-29 18:16
副舟骨,正常变异
作者: 小峰    时间: 2008-8-31 21:29
副舟骨综合症   是什么啊  老师们告诉我咯
作者: ZHANGZHONGSHOU    时间: 2008-8-31 22:07
副舟骨,正常变异。
作者: shibing    时间: 2014-3-17 08:38
标题: Re:X4772:10年手术  现在复发  足内
副舟骨




欢迎光临 医影在线 (http://bbs.radida.com/bbs/) Powered by Discuz! X3.2