

















































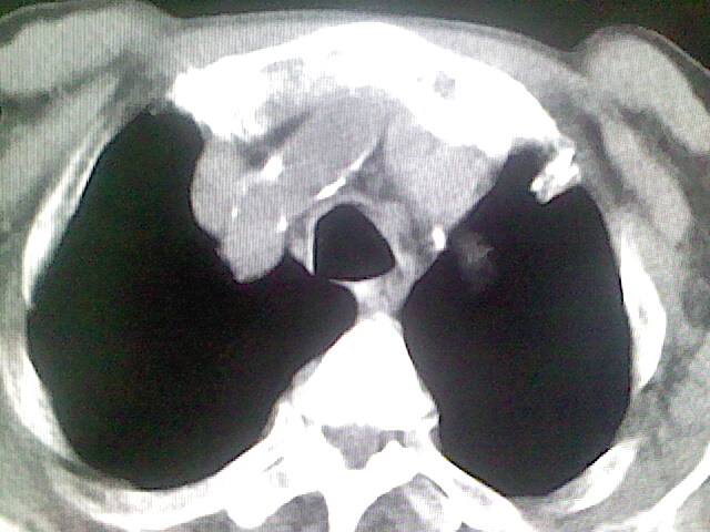
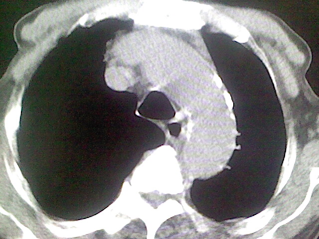
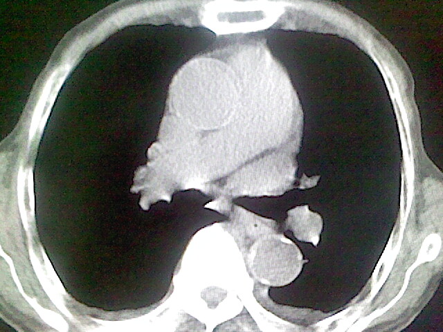
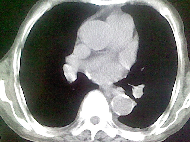
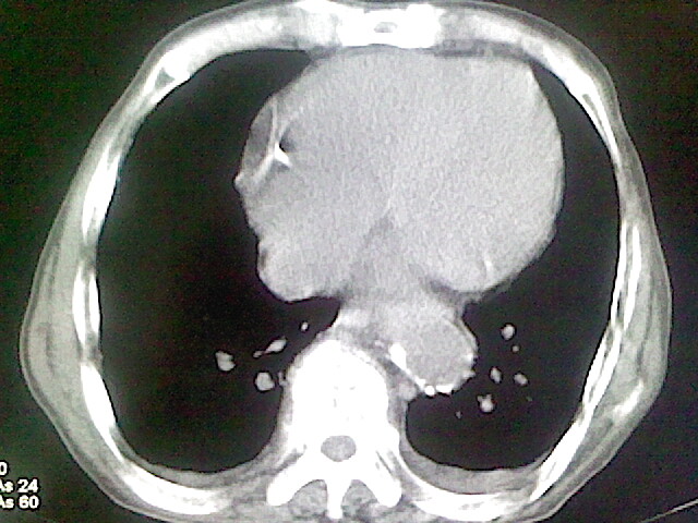
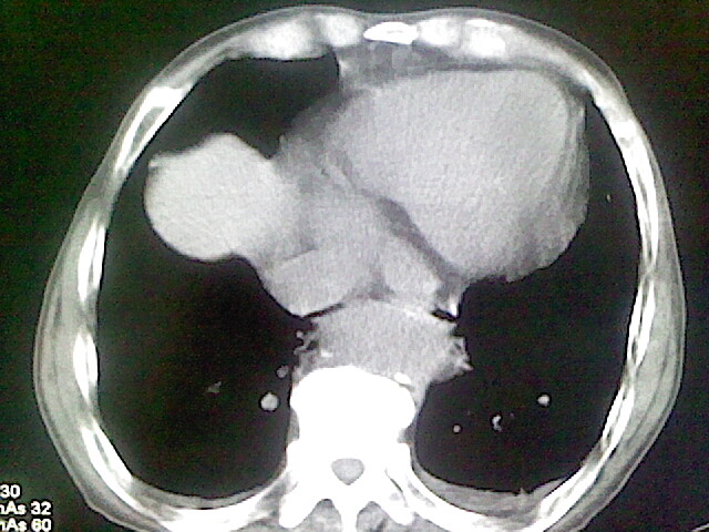
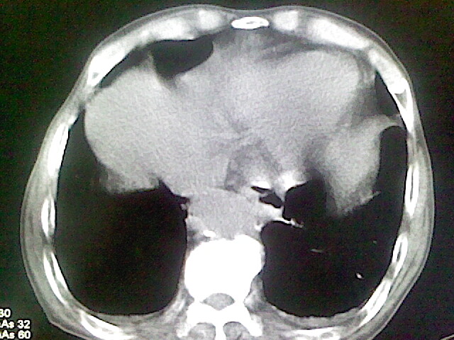
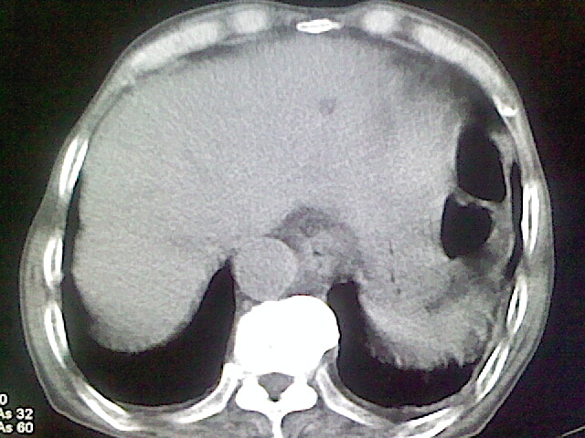
以下是引用zsl6918在2008-8-28 16:49:00的发言:[br]双肺炎性病灶,食管狭窄估计与心房增大压迫所致。
以下是引用zsl6918在2008-8-28 16:49:00的发言:[br]双肺炎性病灶,食管狭窄估计与心房增大压迫所致。
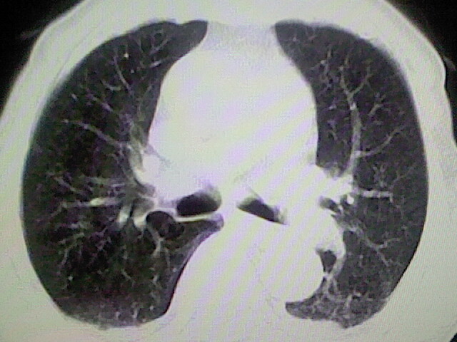
以下是引用xulianj在2008-8-28 20:36:00的发言:[br]慢支肺气肿伴感染,右上肺陈旧性结核;食道建议胃镜检查。
以下是引用zsl6918在2008-8-28 16:49:00的发言:[br]双肺炎性病灶,食管狭窄估计与心房增大压迫所致。
以下是引用xulianj在2008-8-28 20:36:00的发言:[br]慢支肺气肿伴感染,右上肺陈旧性结核;食道建议胃镜检查。
以下是引用wqs571018在2008-8-28 21:18:00的发言:[br]慢支继发感染,右上肺陈旧性结核;食道建议胃镜检查。
| 欢迎光临 医影在线 (http://bbs.radida.com/bbs/) | Powered by Discuz! X3.2 |