



























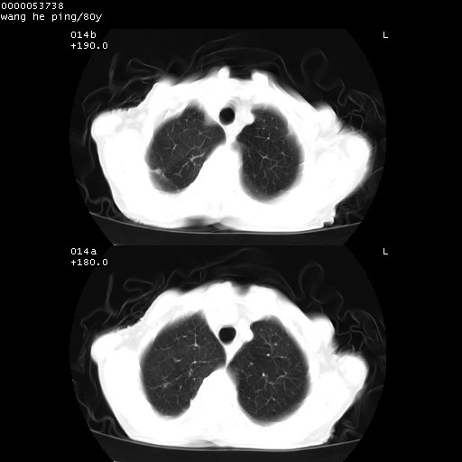
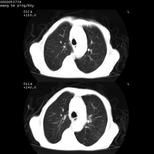
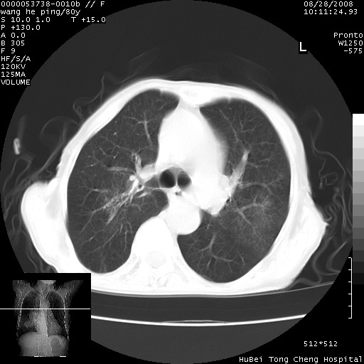
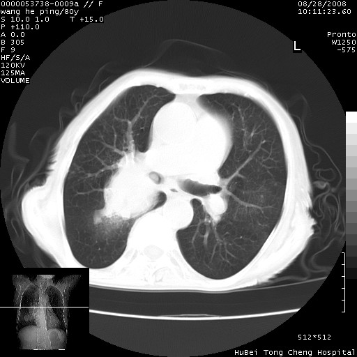
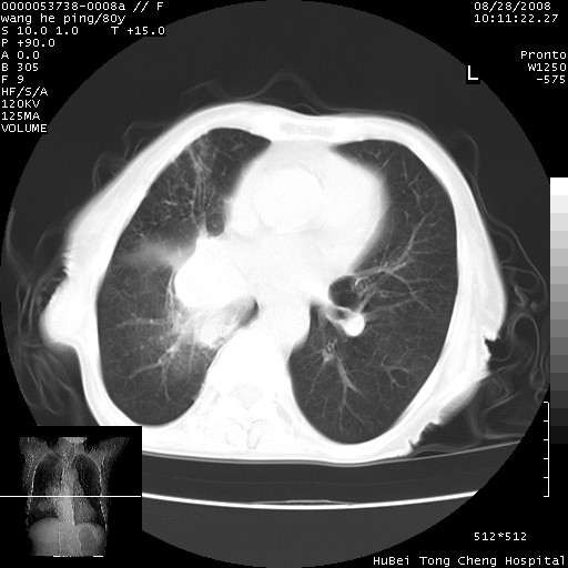
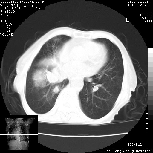
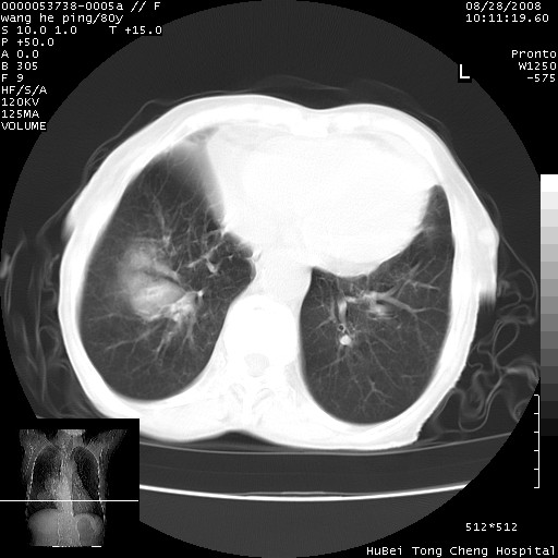
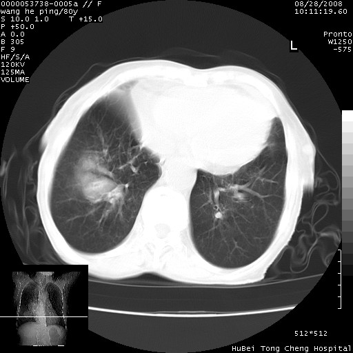
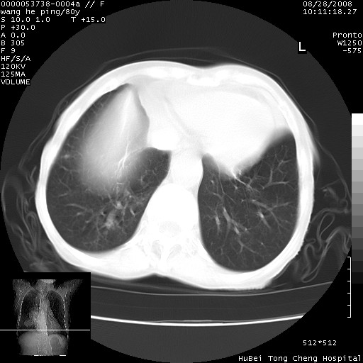
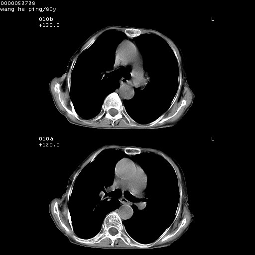
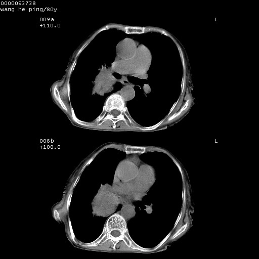
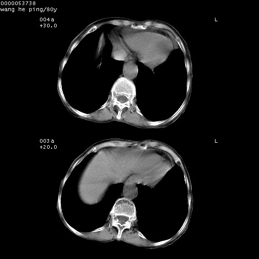
以下是引用黑白光影在2008-8-28 22:33:00的发言:[br]右肺中央型肺癌伴阻塞性肺炎,肺癌肺转移。
以下是引用lshx在2008-8-28 22:06:00的发言:[br]1.右肺中心型肺癌伴阻塞性肺炎,不除外双 肺早期转移。[br]2.心包积液。
以下是引用随光逐影在2008-8-29 7:40:00的发言:[br]1)右肺中心型肺癌伴阻塞性肺炎,肺内转移。2)心包积液(少量)。
以下是引用wqs571018在2008-8-28 21:56:00的发言:[br]右肺中心型肺癌伴阻塞性肺炎可能。
以下是引用liuyue在2008-8-28 22:46:00的发言:[br]1.右肺中心型肺癌伴阻塞性肺炎。[br]2.心包积液(少量)。
| 欢迎光临 医影在线 (http://bbs.radida.com/bbs/) | Powered by Discuz! X3.2 |