医影在线
标题: CT15432:鼻咽部 [打印本页]
作者: yy杨洋 时间: 2008-8-29 07:25
标题: CT15432:鼻咽部
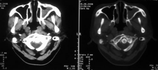
女,55岁,右侧颌下肿物3年。




















[本贴已被 翁志蓬 于 2008-8-29 0:29:35 修改过]
作者: 卜一 时间: 2008-8-29 14:08
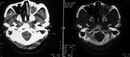
右侧胸锁乳突肌后方软组织密度肿块,界限清楚。多考虑:血管源性肿瘤!
作者: yangyudong333 时间: 2008-8-29 14:16
1右侧胸锁乳突肌后方软组织密度肿块,界限清楚。多考虑:血管源性肿瘤!
2左侧上颌窦炎
作者: zjb 时间: 2008-8-29 15:04
右侧胸锁乳突肌后方软组织密度肿块,界限清楚。多考虑:血管源性肿瘤!
2左侧上颌窦炎
作者: wansheng 时间: 2008-8-29 16:09
标题: 回复:ct15432:鼻咽部
以下是引用yangyudong333在2008-8-29 6:16:00的发言:[br]1右侧胸锁乳突肌后方软组织密度肿块,界限清楚。多考虑:血管源性肿瘤![br]2左侧上颌窦炎
支持!
作者: 子十 时间: 2008-8-29 16:58
标题: 回复:ct15432:鼻咽部
以下是引用yangyudong333在2008-8-29 6:16:00的发言:[br]1右侧胸锁乳突肌前方软组织密度肿块,界限清楚。多考虑:血管源性肿瘤![br]2左侧上颌窦炎
作者: 358450m 时间: 2008-8-29 16:59
标题: 回复:ct15432:鼻咽部
以下是引用卜一在2008-8-29 6:08:00的发言:[br]右侧胸锁乳突肌后方软组织密度肿块,界限清楚。多考虑:血管源性肿瘤!
作者: 深泽交通 时间: 2008-8-29 17:08
考虑淋巴结炎[两个];左上颌窦炎性积液
作者: QWERTY111 时间: 2008-8-29 18:18
1右侧胸锁乳突肌后方软组织密度肿块,界限清楚。多考虑:血管源性肿瘤!
2左侧上颌窦炎
作者: muzi888 时间: 2008-8-29 18:43
1右侧胸锁乳突肌后方软组织密度肿块,界限清楚。多考虑:血管源性肿瘤!
2左侧上颌窦炎
作者: 黑白光影 时间: 2008-8-29 22:30
标题: 回复:ct15432:鼻咽部
以下是引用yangyudong333在2008-8-29 6:16:00的发言:[br]1右侧胸锁乳突肌后方软组织密度肿块,界限清楚。多考虑:血管源性肿瘤![br]2左侧上颌窦炎
作者: huangyinshan 时间: 2008-8-30 01:02
1右侧胸锁乳突肌后方软组织密度肿块,界限清楚。多考虑:血管源性肿瘤!
2左侧上颌窦炎
要是有增强就好了
作者: 随光逐影 时间: 2008-8-30 01:46
1)考虑右侧颌下腺恶性肿瘤并右侧颈部淋巴结转移。2)左侧上颌窦炎。
作者: 杀毒软件 时间: 2008-8-30 02:32
标题: 回复:ct15432:鼻咽部
以下是引用随光逐影在2008-8-29 17:46:00的发言:[br]1)考虑右侧颌下腺恶性肿瘤并右侧颈部淋巴结转移。2)左侧上颌窦炎。
支持
作者: yy杨洋 时间: 2008-8-30 03:36
标题: 。。
就是,我说怎么变成胸锁乳突肌后方了,晕死啊!不知道后面跟风的战友看清楚图象没?
[本贴已被 yy杨洋 于 2008-8-29 19:37:02 修改过]
作者: huqi8888 时间: 2008-8-30 04:07
支持随光逐影先生诊断。
作者: xulianj 时间: 2008-8-30 04:48
我到建议增强才可能有一个较明确的诊断。
作者: dsl555 时间: 2008-8-30 06:41
1右侧胸锁乳突肌后方软组织密度肿块,界限清楚。多考虑:血管源性肿瘤!
2左侧上颌窦炎 。强化!
作者: jiajie 时间: 2008-8-30 07:25
标题: 回复:ct15432:鼻咽部
以下是引用深泽交通医院在2008-8-29 9:08:00的发言:[br]考虑淋巴结炎[两个];左上颌窦炎性积液



支持,考虑2处均为淋巴结炎。
作者: 翁志蓬 时间: 2008-8-30 08:05
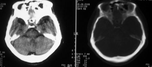
鼻咽左侧壁增厚,呈结节样突入鼻咽腔内,左侧咽隐窝消失,须考虑鼻咽癌可能,建议鼻咽纤维镜检查以明确诊断。
至于右侧颌下间隙的结节影,如果不考虑病史的话,可以诊断为淋巴结转移。但是结合病史“右侧颌下肿物3年”,又不象淋巴结转移了。建议ct增强扫描明确结节与右侧颌下腺的关系,或者穿刺活检定性。
右侧胸锁乳突肌内侧略低密度结节,应该是静内静脉而不是淋巴结。
作者: 卜一 时间: 2008-8-30 15:51
标题: 回复:ct15432:鼻咽部

作者: dyqct 时间: 2008-8-31 05:08
标题: 回复:ct15432:鼻咽部
以下是引用yangyudong333在2008-8-29 6:16:00的发言:[br]1右侧胸锁乳突肌后方软组织密度肿块,界限清楚。多考虑:血管源性肿瘤![br]2左侧上颌窦炎
建议增强扫描进一步检查。
作者: zsl6918 时间: 2008-8-31 17:24
定位不难,定性不易。结合病史考虑良性。
作者: jinguoji 时间: 2008-9-4 05:29
1右侧胸锁乳突肌后方软组织密度肿块,界限清楚。多考虑:血管源性肿瘤!
2左侧上颌窦炎
| 欢迎光临 医影在线 (http://bbs.radida.com/bbs/) |
Powered by Discuz! X3.2 |