











































































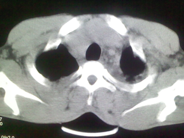
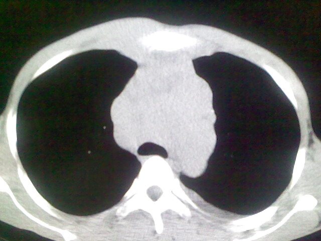
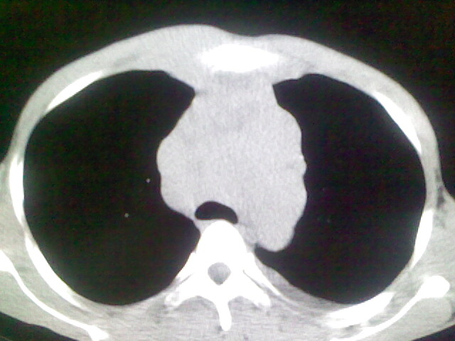
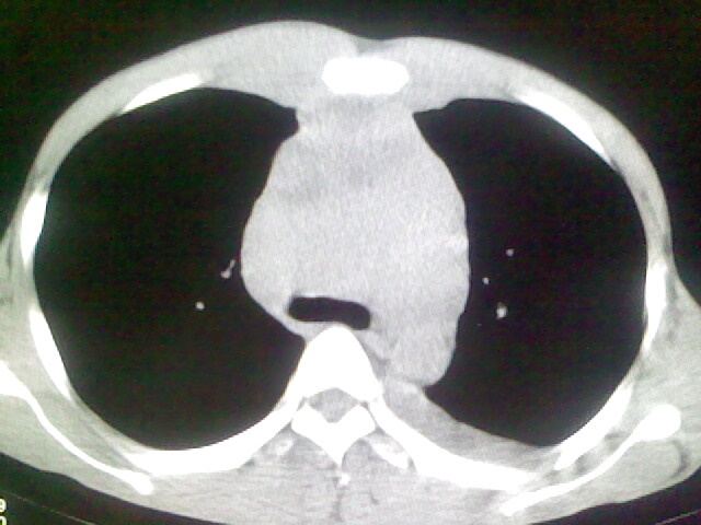
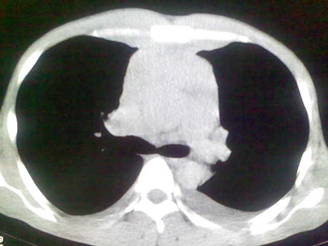
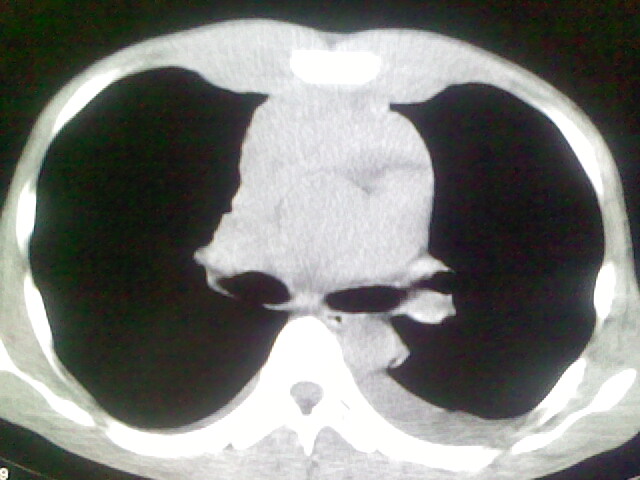
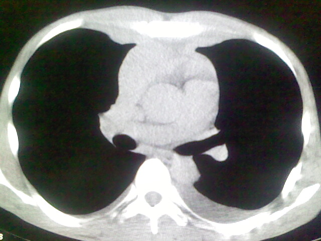
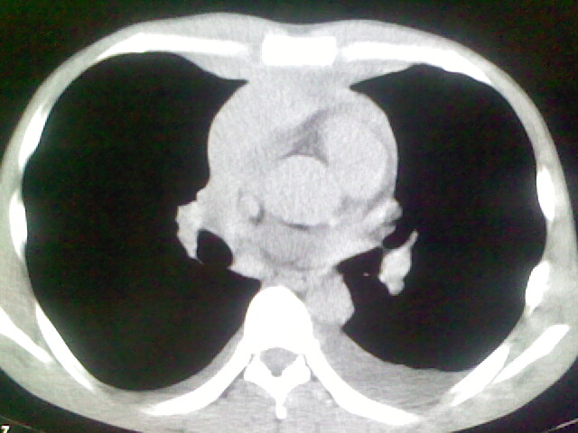
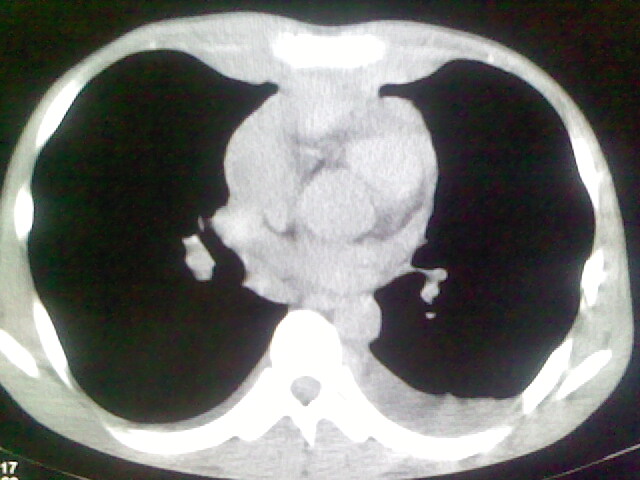
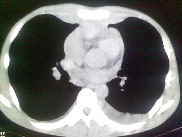
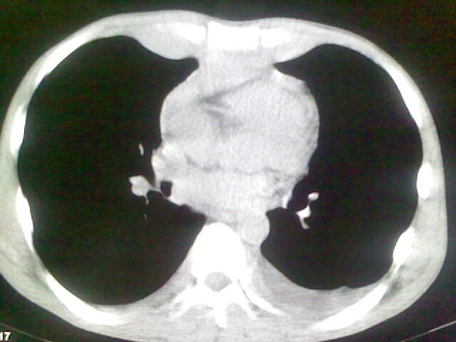
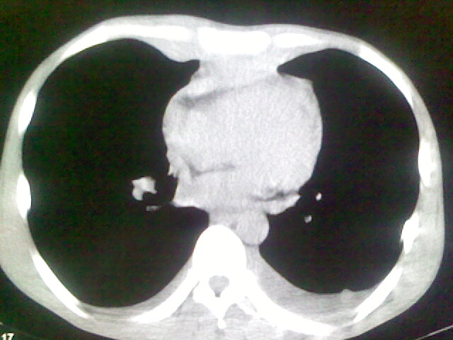
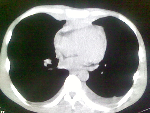
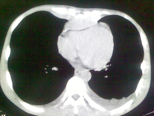
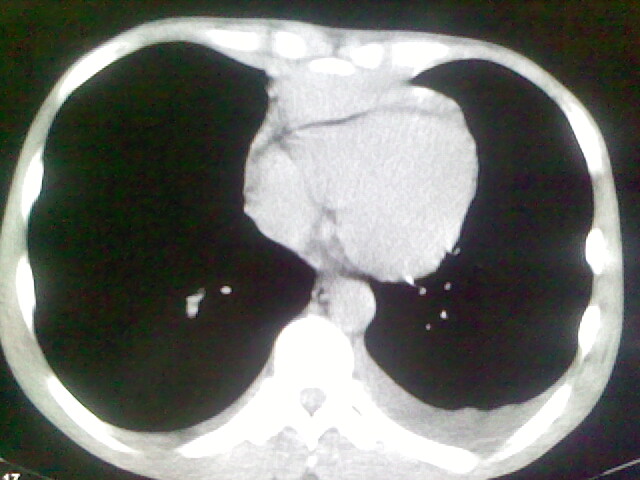
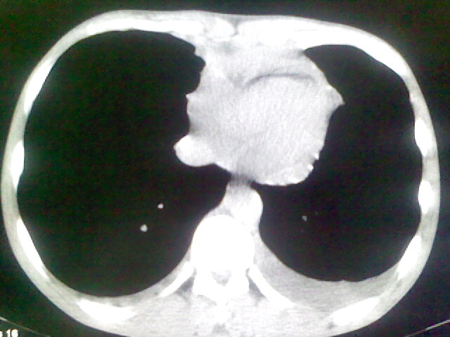
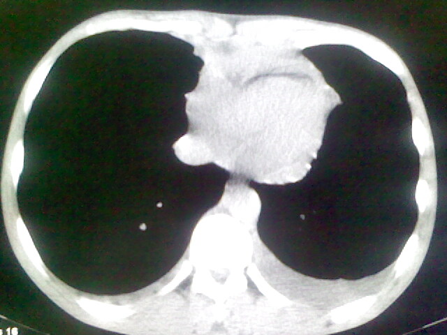
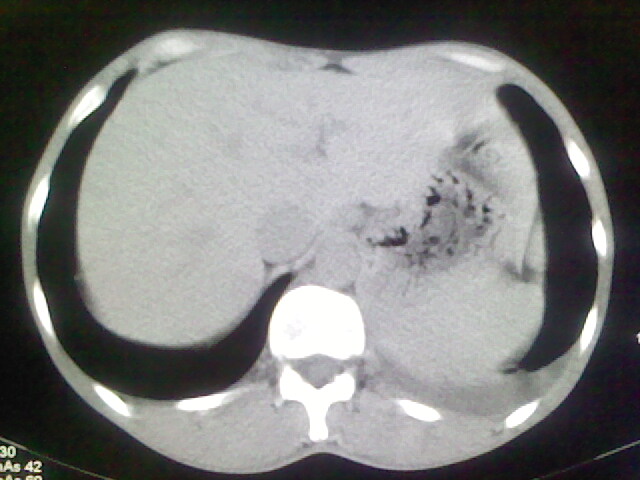
以下是引用杀毒软件在2008-9-3 6:11:00的发言:[br]侵袭性胸腺瘤------一般不侵到气管旁[br][br]考虑----纵隔淋巴瘤,心包及胸膜受累
以下是引用wzr在2008-9-3 5:30:00的发言:[br]侵袭性胸腺瘤
以下是引用杀毒软件在2008-9-3 6:11:00的发言:[br]侵袭性胸腺瘤------一般不侵到气管旁[br][br]考虑----纵隔淋巴瘤,心包及胸膜受累
以下是引用随光逐影在2008-9-3 7:07:00的发言:[br]1)考虑淋巴瘤可能。2)双侧胸腔积液(以左侧为甚)。3)心包积液。
| 欢迎光临 医影在线 (http://bbs.radida.com/bbs/) | Powered by Discuz! X3.2 |