医影在线

标题: CT15528:女性,79岁,近几日晚上高热,39度,仍咳少量血 [打印本页]

作者: 网事随风    时间: 2008-9-3 19:24
标题: CT15528:女性,79岁,近几日晚上高热,39度,仍咳少量血
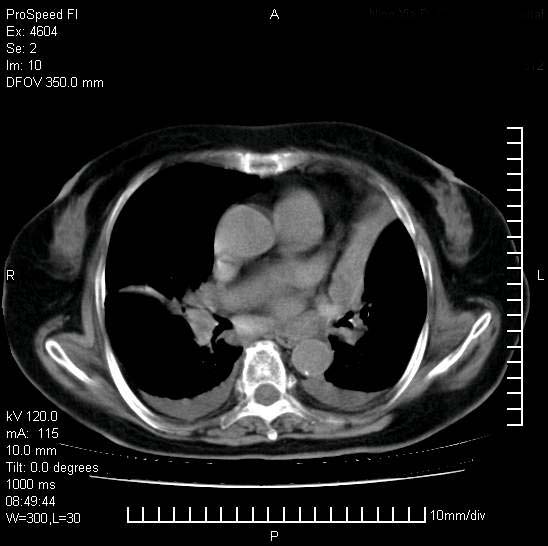
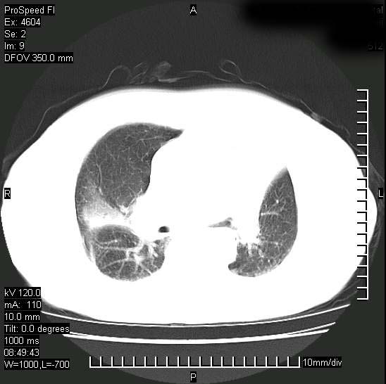
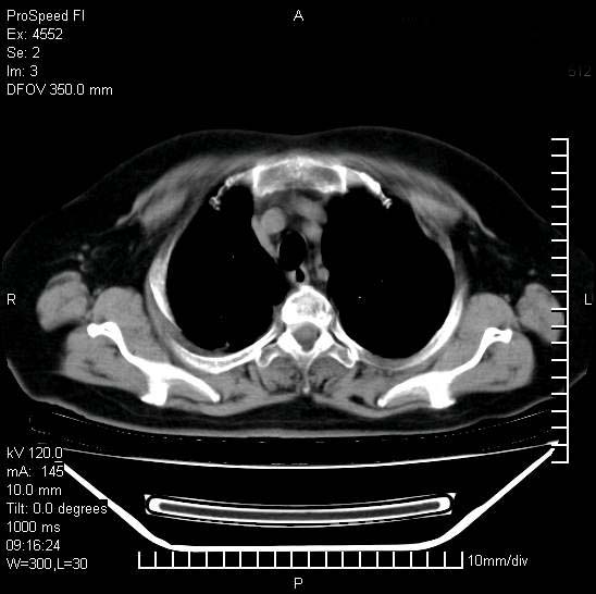
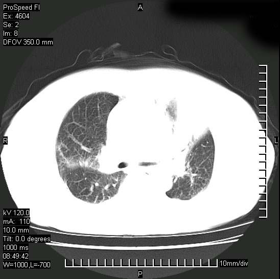
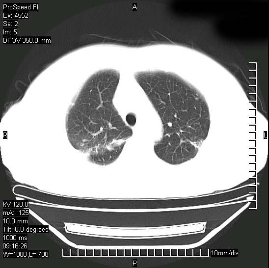
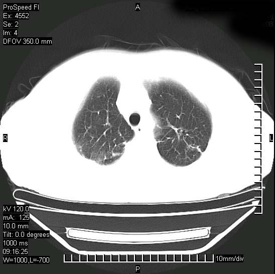
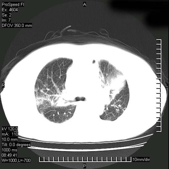
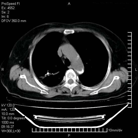
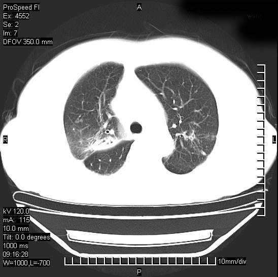
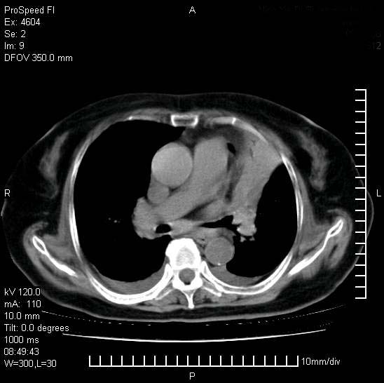
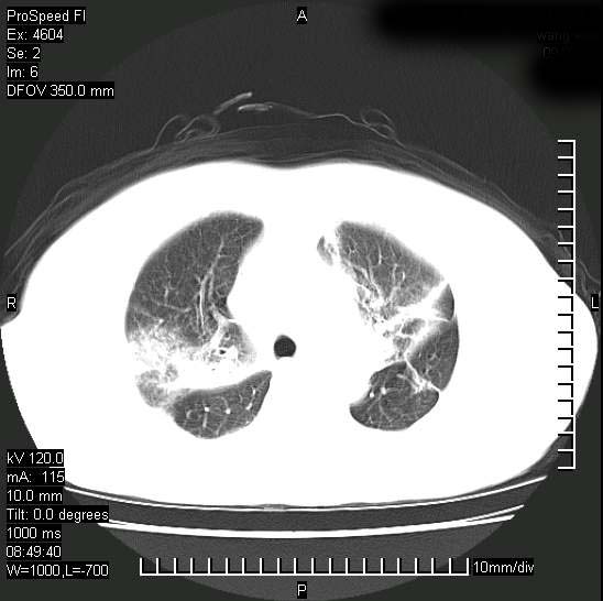
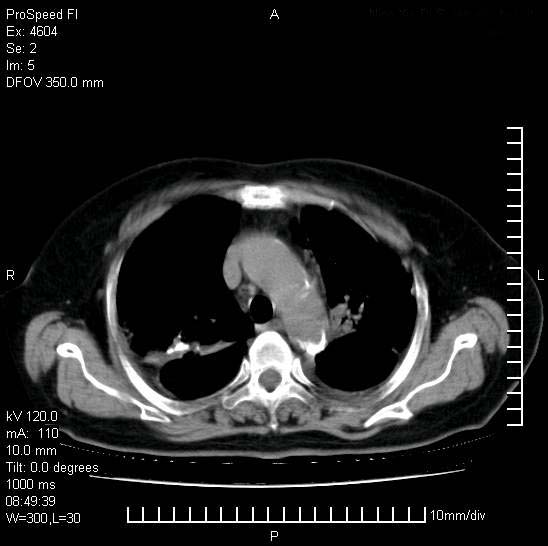
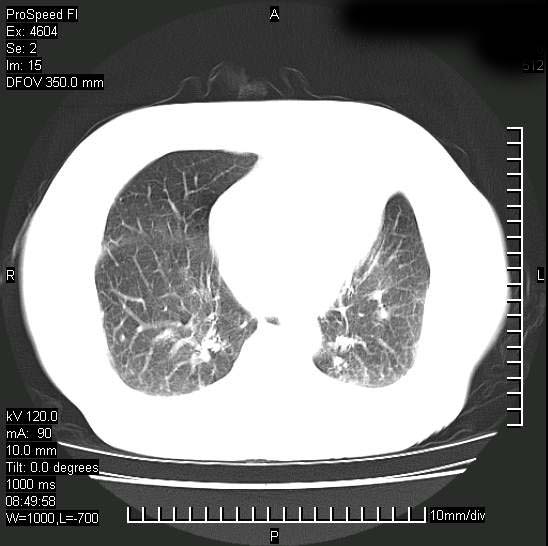
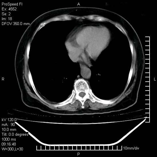
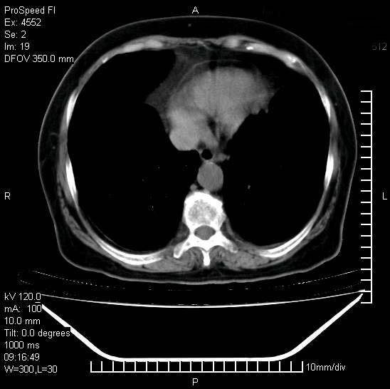
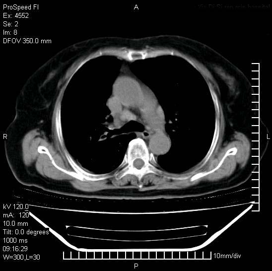
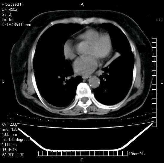
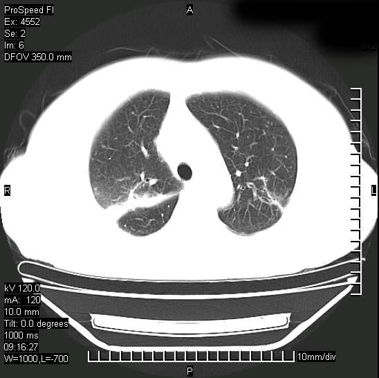
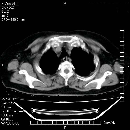
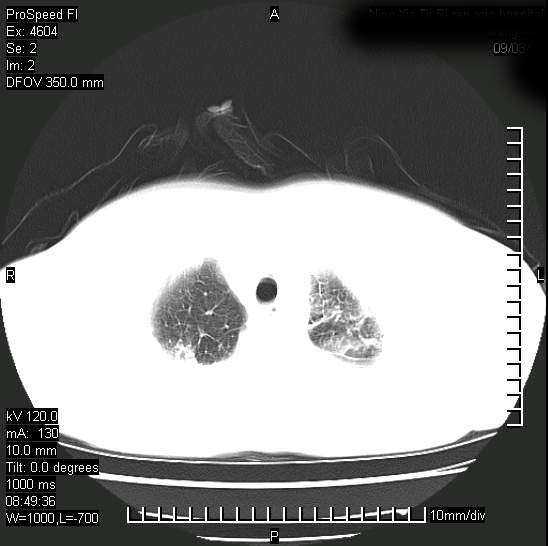
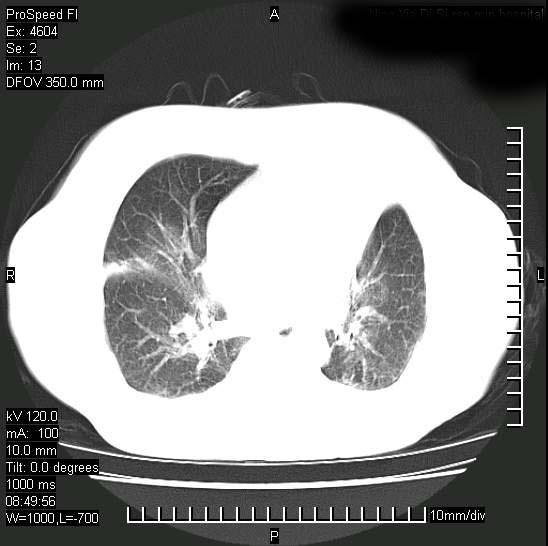
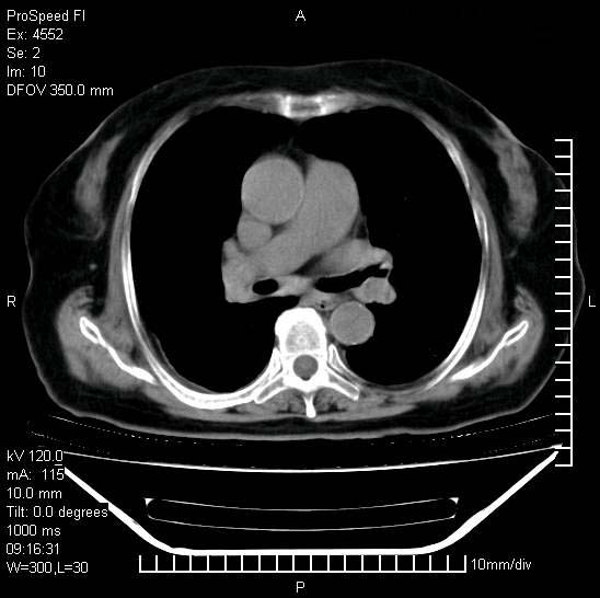
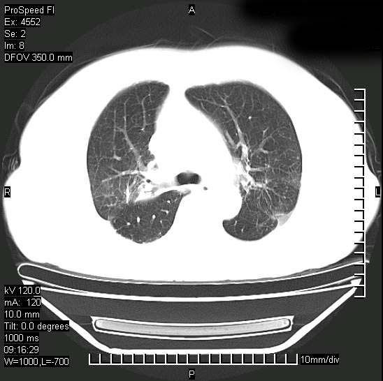
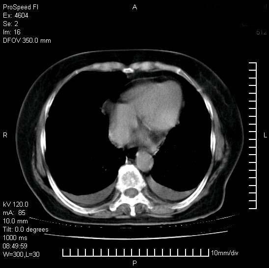
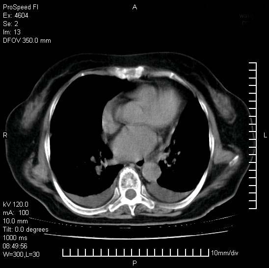
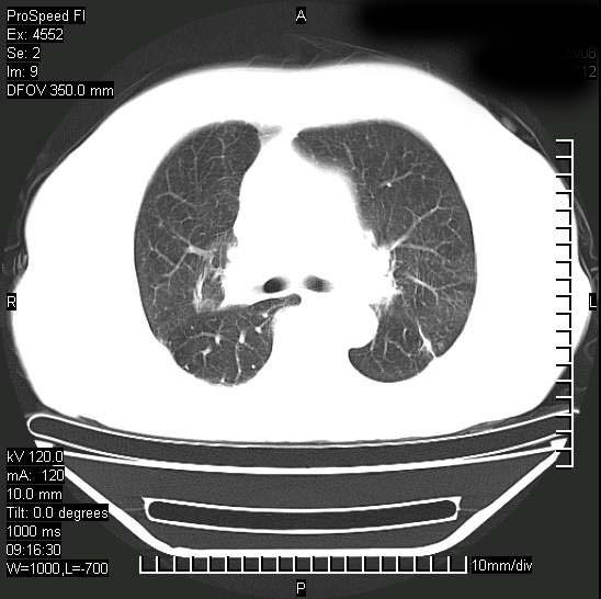
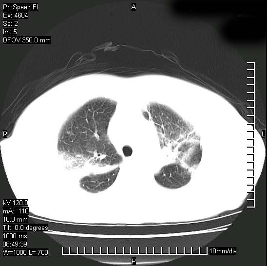
十几年前曾患肺结核,一周前突咳血约100ml,中性粒细胞稍高,诊断两上肺陈旧结核,下肺炎症,给予抗炎治疗,近几日晚上高热,39度,仍咳少量血,4天前ct及今天ct上传。
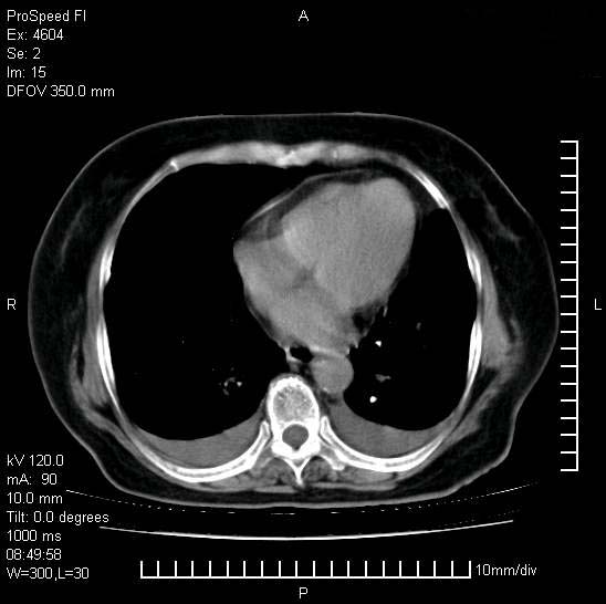
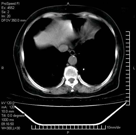
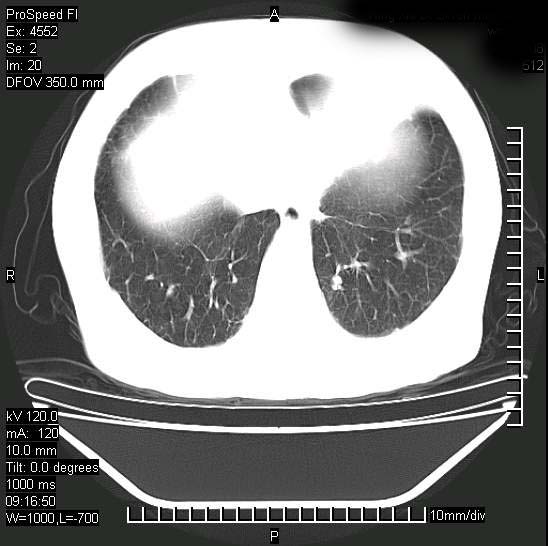
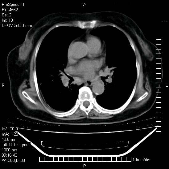
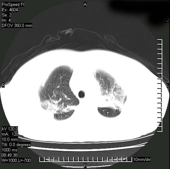
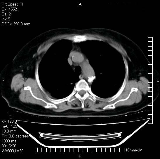
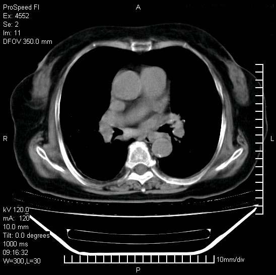
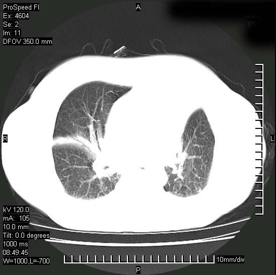
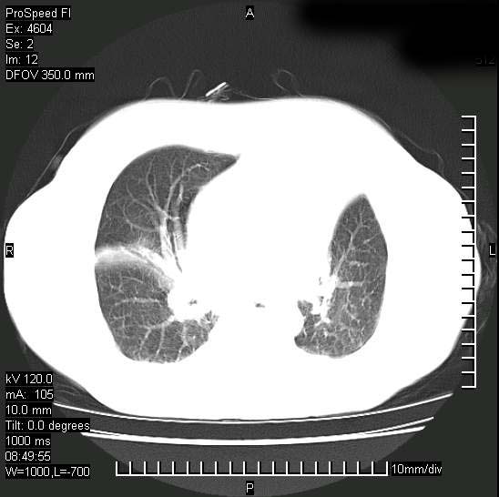
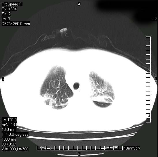
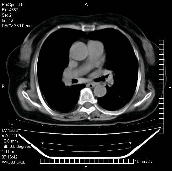
[face=黑体]8月30日[/face]










































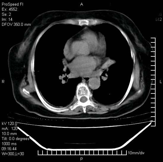
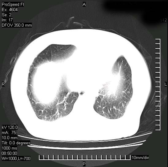
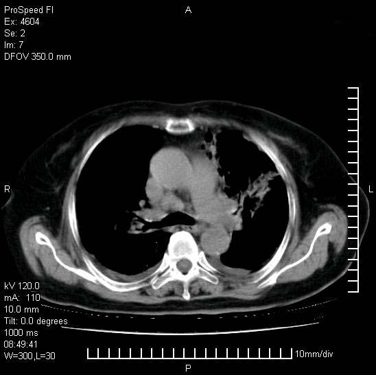
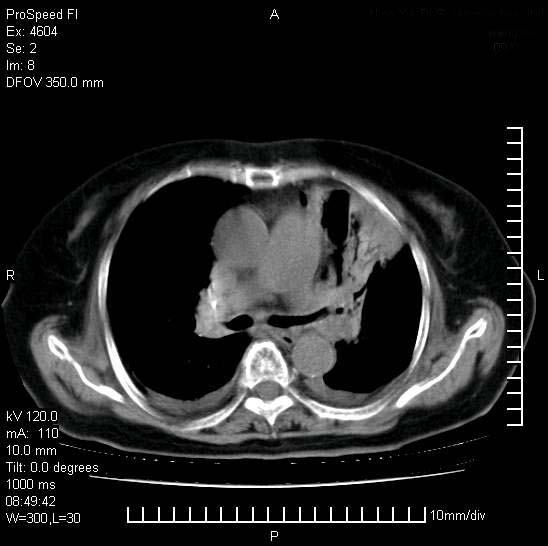
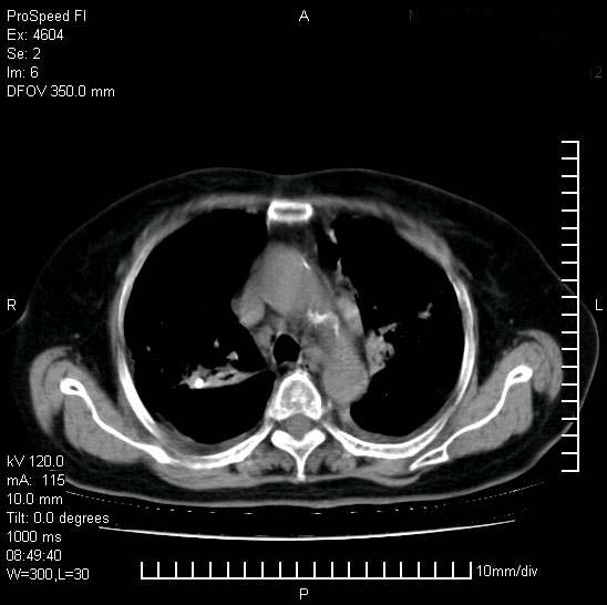
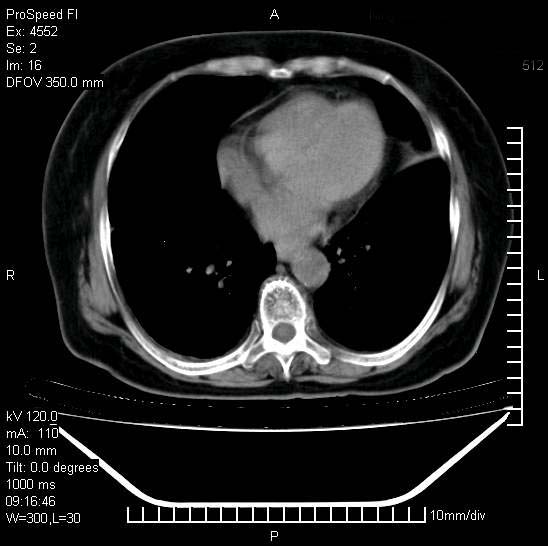
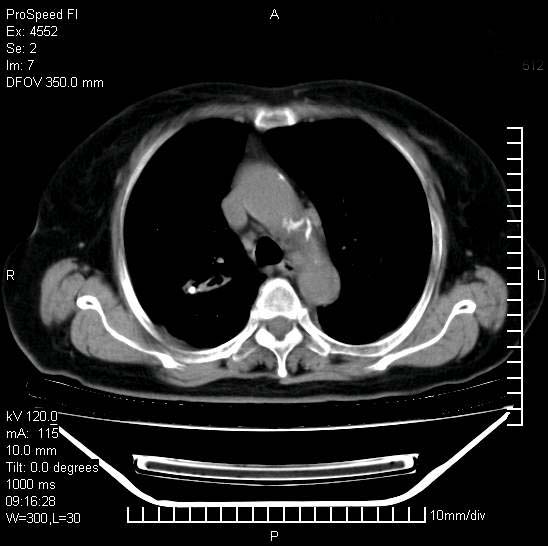
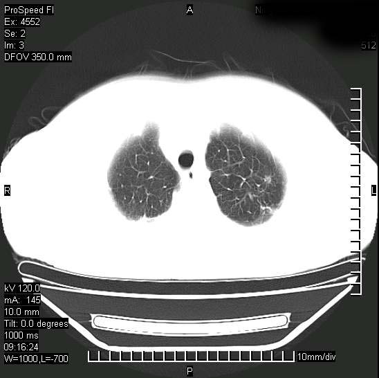
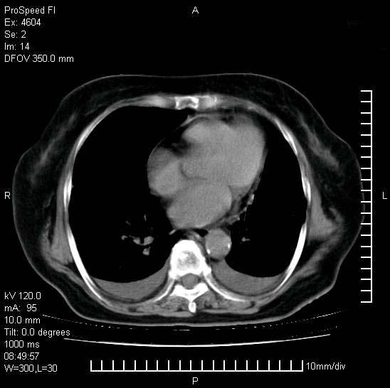
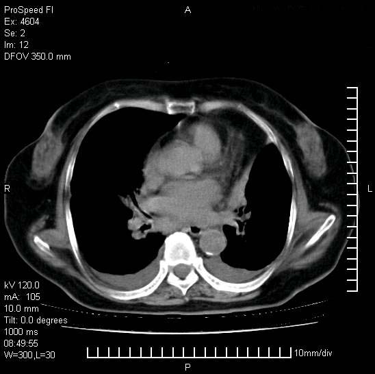
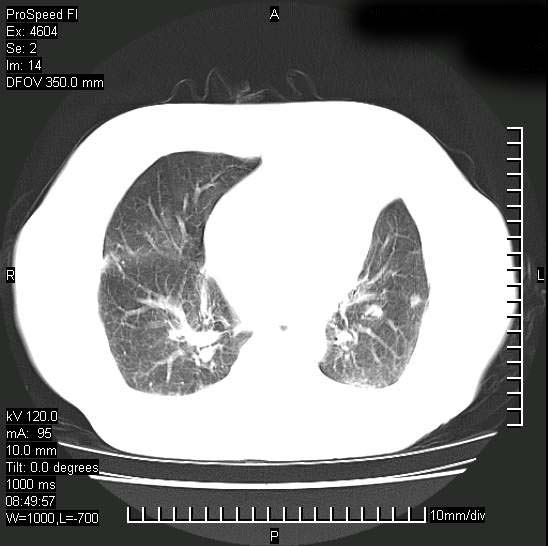
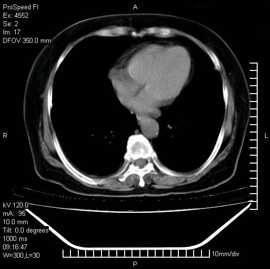
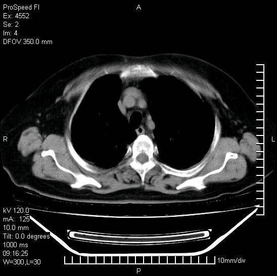
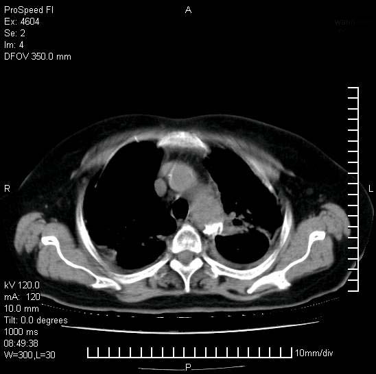
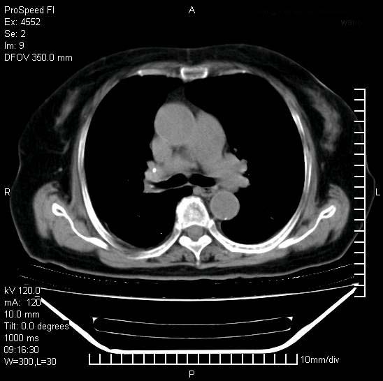
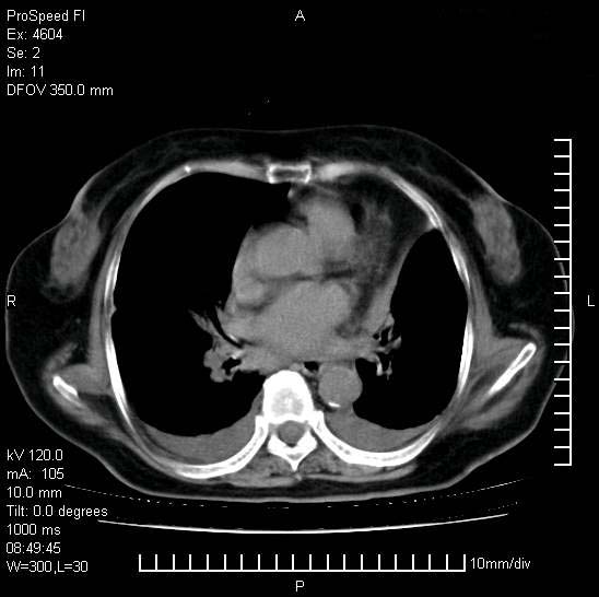
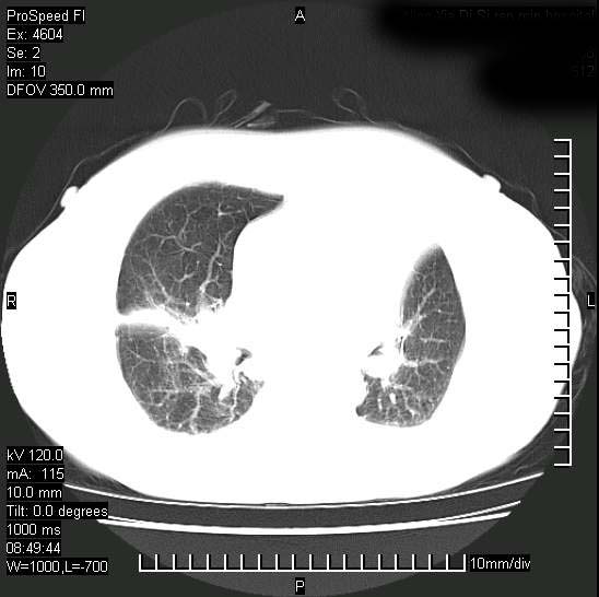
今天ct



































[本贴已被 jiajie 于 2008-9-3 11:31:22 修改过][/alig
作者: 黑白光影    时间: 2008-9-3 19:42
支持陈旧性肺结核并两下肺感染,两侧胸腔积液。
作者: 深泽交通    时间: 2008-9-3 19:48
考虑1双肺tb灶;右下肺支气管壁增后,建议除外占位 3双侧胸腔积液,
作者: lyb999    时间: 2008-9-3 19:51
短短几天内,病变范围明显增多扩大,以左侧明显,而且双侧出现胸水,还是考虑感染.
作者: 358450m    时间: 2008-9-3 20:22
标题: 回复:ct15528:女性,79岁,近几日晚上高热,39度,仍咳少量
以下是引用黑白光影在2008-9-3 11:42:00的发言:[br]支持陈旧性肺结核并两下肺感染,两侧胸腔积液。

作者: qiushi    时间: 2008-9-3 21:14
标题: 回复:ct15528:女性,79岁,近几日晚上高热,39度,仍咳少量
以下是引用lyb999在2008-9-3 11:51:00的发言:[br]短短几天内,病变范围明显增多扩大,以左侧明显,而且双侧出现胸水,还是考虑感染.

支持!
作者: jiangjing    时间: 2008-9-3 22:22
支持  结核ban感染,节段性肺不张,支气管内膜结核可能
作者: 王仕学    时间: 2008-9-3 22:49
支持陈旧性肺结核并两下肺感染,两侧胸腔积液。
作者: ydx_74    时间: 2008-9-4 01:27
短短几天内,病变范围明显增多扩大,以左侧明显,而且双侧出现胸水,我更多考虑左侧中心性肺癌并并阻塞性不张及肺炎,炎症变化也太快了!
作者: xulianj    时间: 2008-9-4 04:50
支持陈旧性肺结核并两肺感染,两侧胸腔积液。
作者: zsl6918    时间: 2008-9-4 05:20
继发性结核感染加重。左侧合并有支气管内膜结核。
作者: 求知若渴    时间: 2008-9-4 05:34
无论是肿瘤还是炎症4天的时间都发展够快的,并且还在治疗中,如果说是左肺癌那么右肺的病变不好解释,本人更加倾向于炎症,左肺舌叶支气管被痰栓或血凝块堵塞,造成阻塞性肺炎。
作者: 随光逐影    时间: 2008-9-4 16:17
1)两肺结核并感染。2)不排除左肺上叶中央型肺癌并阻塞性肺炎、肺不张可能;建议行纤支镜检查。3)右肺门及纵隔淋巴结肿大。4)双侧胸腔积液。
作者: duanhui007    时间: 2008-9-4 18:20
陈旧性肺结核及左下肺不张,咯血后肺部感染,双胸腔积液,高热可能与痰液引流不畅有关。
作者: jinguoji    时间: 2008-9-11 18:51
支持陈旧性肺结核并两下肺感染,两侧胸腔积液。




欢迎光临 医影在线 (http://bbs.radida.com/bbs/) Powered by Discuz! X3.2