医影在线

标题: X4801:男,42岁,发烧、咳嗽、身体消瘦月余 [打印本页]

作者: 九月120    时间: 2008-9-4 01:38
标题: X4801:男,42岁,发烧、咳嗽、身体消瘦月余
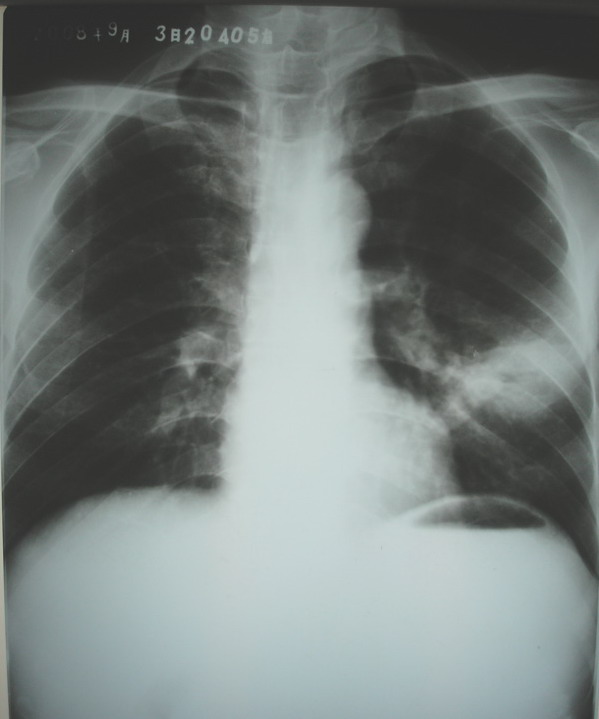
男,42岁,发烧、咳嗽、身体消瘦月余.




[本贴已被 cefcmj 于 2008-9-3 19:18:35 修改过]

作者: zhengjian_12    时间: 2008-9-4 01:45
左肺上叶占位,结核可能性大,建议做结核菌素试验
作者: 358450m    时间: 2008-9-4 02:06
标题: 回复:男,42岁,发烧、咳嗽、身体消瘦月余
以下是引用zhengjian_12在2008-9-3 17:45:00的发言:[br]左肺上叶占位,结核可能性大,建议做结核菌素试验,查痰

作者: yuebin    时间: 2008-9-4 02:15
肿块不明确,考虑化脓性炎症或肺脓肿。抗炎复查。
作者: 饭粒    时间: 2008-9-4 03:21
考虑化脓性炎症或肺脓肿。抗炎复查。
作者: HKDY1029    时间: 2008-9-4 03:24
结核可能性大,查痰
作者: shiqingfa    时间: 2008-9-4 03:54
结核可能性大
作者: 杀毒软件    时间: 2008-9-4 04:06
先抗炎后复查
作者: xiaoyuanxp    时间: 2008-9-4 04:46
左肺上叶舌段脓肿,抗炎治疗后复查。
作者: 王仕学    时间: 2008-9-4 04:46
结核可能性大
作者: xiazhuzhu    时间: 2008-9-4 04:48
标题: 回复:x4801:男,42岁,发烧、咳嗽、身体消瘦月余
以下是引用xiaoyuanxp在2008-9-3 20:46:00的发言:[br]左肺上叶舌段脓肿,抗炎治疗后复查。

作者: wangdch2008    时间: 2008-9-4 05:09
左肺上叶舌段脓肿,抗炎治疗后复查。
作者: 一捅阴影    时间: 2008-9-4 05:48
左肺门影浓深,不排除左上肺段型肺ca伴舌段不张,炎变可能.建议ct
作者: 5708    时间: 2008-9-4 06:00
结核可能性大
作者: 吴承学    时间: 2008-9-4 06:14
标题: 回复:x4801:男,42岁,发烧、咳嗽、身体消瘦月余
以下是引用yuebin在2008-9-3 18:15:00的发言:[br]肿块不明确,考虑化脓性炎症或肺脓肿。抗炎复查。

作者: dr.yang    时间: 2008-9-4 06:31
如果临床更确切就好诊断了,单从图像上讲结核可能性大
作者: 谨言慎行    时间: 2008-9-4 07:05
考虑左上叶上舌段肺脓肿
作者: zhangzhiwei    时间: 2008-9-4 07:10
应该是结核吧?
作者: Yuejun2001    时间: 2008-9-4 18:42
干酪性肺炎,查ppd或查痰.
作者: fgp198    时间: 2008-9-4 19:46
抗炎治疗后复查。
作者: 随光逐影    时间: 2008-9-4 20:17
左肺上叶感染性病变(肺脓肿?肺结核?);建议抗炎治疗后复查。
作者: 黑白光影    时间: 2008-9-4 20:36
左肺上叶感染性病变,肺脓疡可能性大。建议抗炎治疗后复查,除外肺结核。
作者: mcxj    时间: 2008-9-4 22:53
考虑结核,建议ct检查
作者: wy232326    时间: 2008-9-5 04:17
先抗炎后复查
作者: zhangkening    时间: 2008-9-5 05:00
我认为是肺脓疡吧.
作者: dyqct    时间: 2008-9-5 16:45
标题: 回复:x4801:男,42岁,发烧、咳嗽、身体消瘦月余
以下是引用随光逐影在2008-9-4 12:17:00的发言:[br]左肺上叶感染性病变(肺脓肿?肺结核?);建议抗炎治疗后复查。

支持!
作者: ljj88    时间: 2008-9-5 17:43
结核可能性大
作者: 987654zwf    时间: 2008-10-25 04:16
侧位可见后壁偏心空洞,有液气平面,tb?肺ca?
作者: shibing    时间: 2014-3-27 08:36
先抗炎后复查




欢迎光临 医影在线 (http://bbs.radida.com/bbs/) Powered by Discuz! X3.2