医影在线

标题: CT15555:头痛 10余日 来诊大家帮忙看看 [打印本页]

作者: pyb    时间: 2008-9-5 02:31
标题: CT15555:头痛 10余日 来诊大家帮忙看看














[本贴已被 jiajie 于 2008-9-4 18:40:34 修改过]

作者: 子十    时间: 2008-9-5 03:25
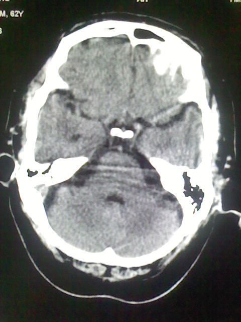
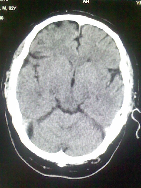
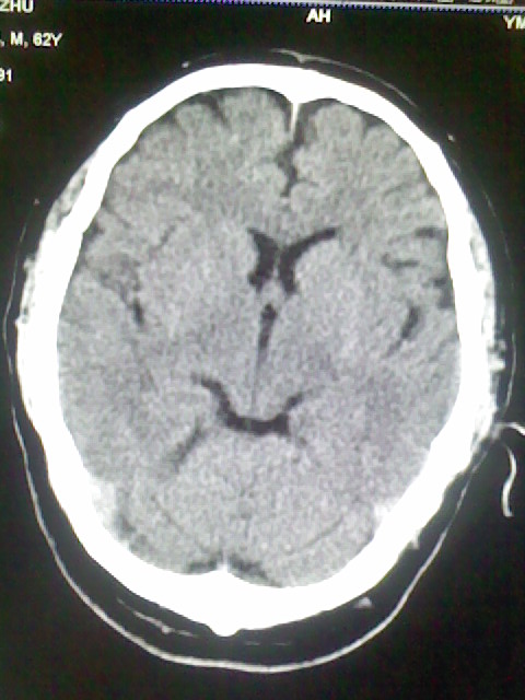
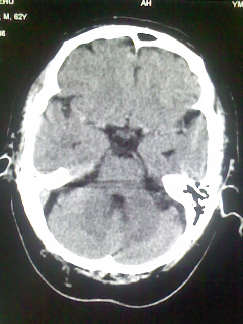
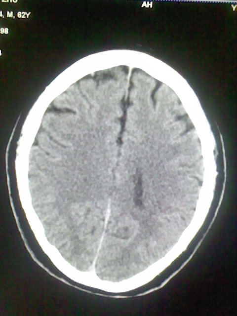
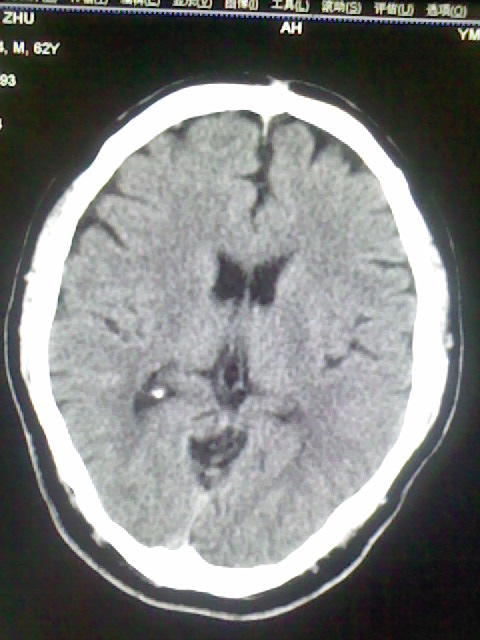
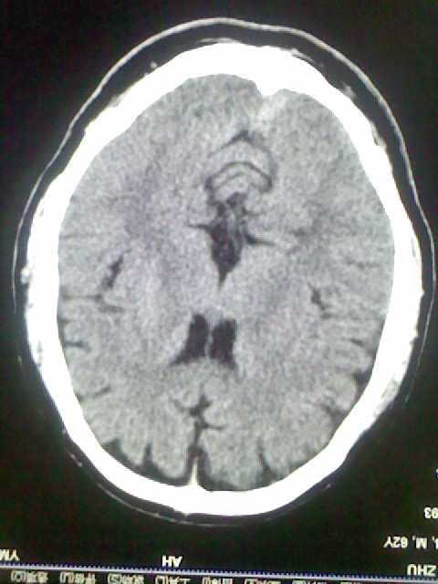
脑萎缩
作者: 前行    时间: 2008-9-5 03:36
脑沟、裂增宽,提法脑萎缩,建议mt检查。
作者: 358450m    时间: 2008-9-5 03:54
标题: 回复:ct15555:头痛 10余日 来诊大家帮忙看看
以下是引用前行在2008-9-4 19:36:00的发言:[br]脑沟、裂增宽,提法脑萎缩,建议mt检查。

作者: 随光逐影    时间: 2008-9-5 04:08
脑萎缩,以小脑为著。
作者: 黑白光影    时间: 2008-9-5 04:19
标题: 回复:ct15555:头痛 10余日 来诊大家帮忙看看
以下是引用前行在2008-9-4 19:36:00的发言:[br]脑沟、裂增宽,提法脑萎缩,建议mt检查。

作者: zjb    时间: 2008-9-5 04:33
脑沟、裂增宽,提示脑萎缩
作者: 光影★小胖    时间: 2008-9-5 04:34
脑萎缩
作者: 不细心    时间: 2008-9-5 04:59
各位老师好!  我是不细心.
这个是脑萎缩吧
作者: 同    时间: 2008-9-5 05:16
脑萎缩.
作者: xulianj    时间: 2008-9-5 05:52
脑萎缩;建议mt检查。
作者: wzr    时间: 2008-9-5 06:17
脑萎缩
作者: zsl6918    时间: 2008-9-5 14:33
老年脑
作者: dyqct    时间: 2008-9-6 04:01
支持轻度脑萎缩。
作者: jinguoji    时间: 2008-9-11 17:01
支持脑萎缩。




欢迎光临 医影在线 (http://bbs.radida.com/bbs/) Powered by Discuz! X3.2