

























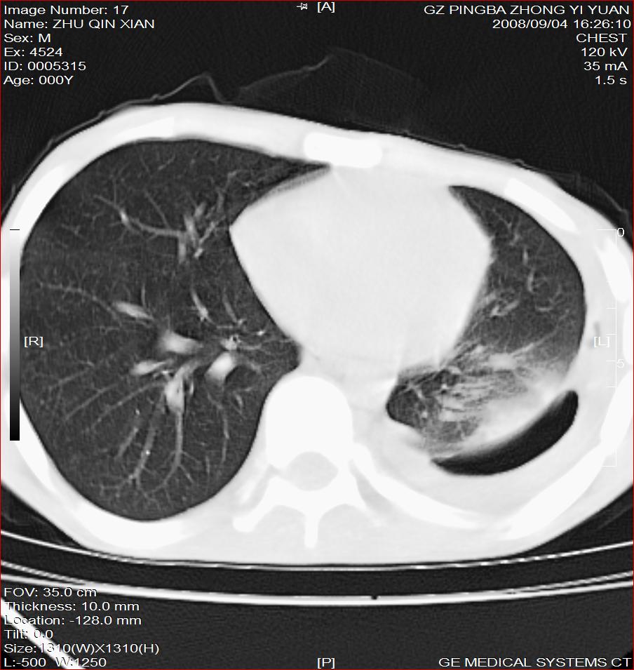
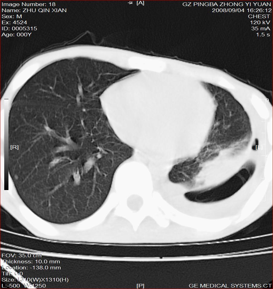
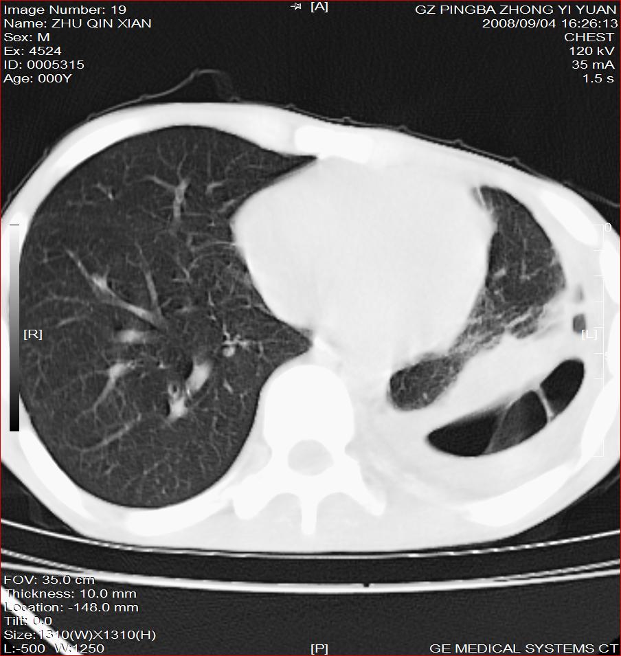
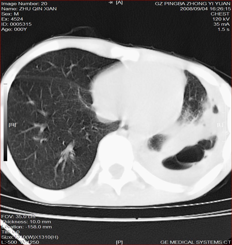
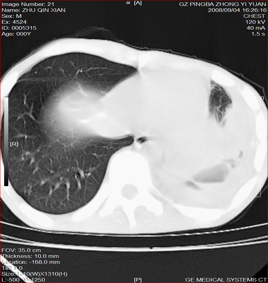
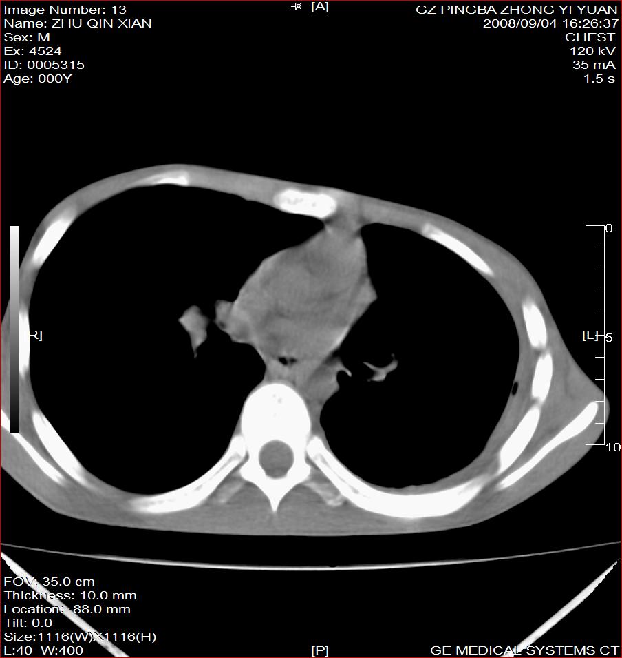
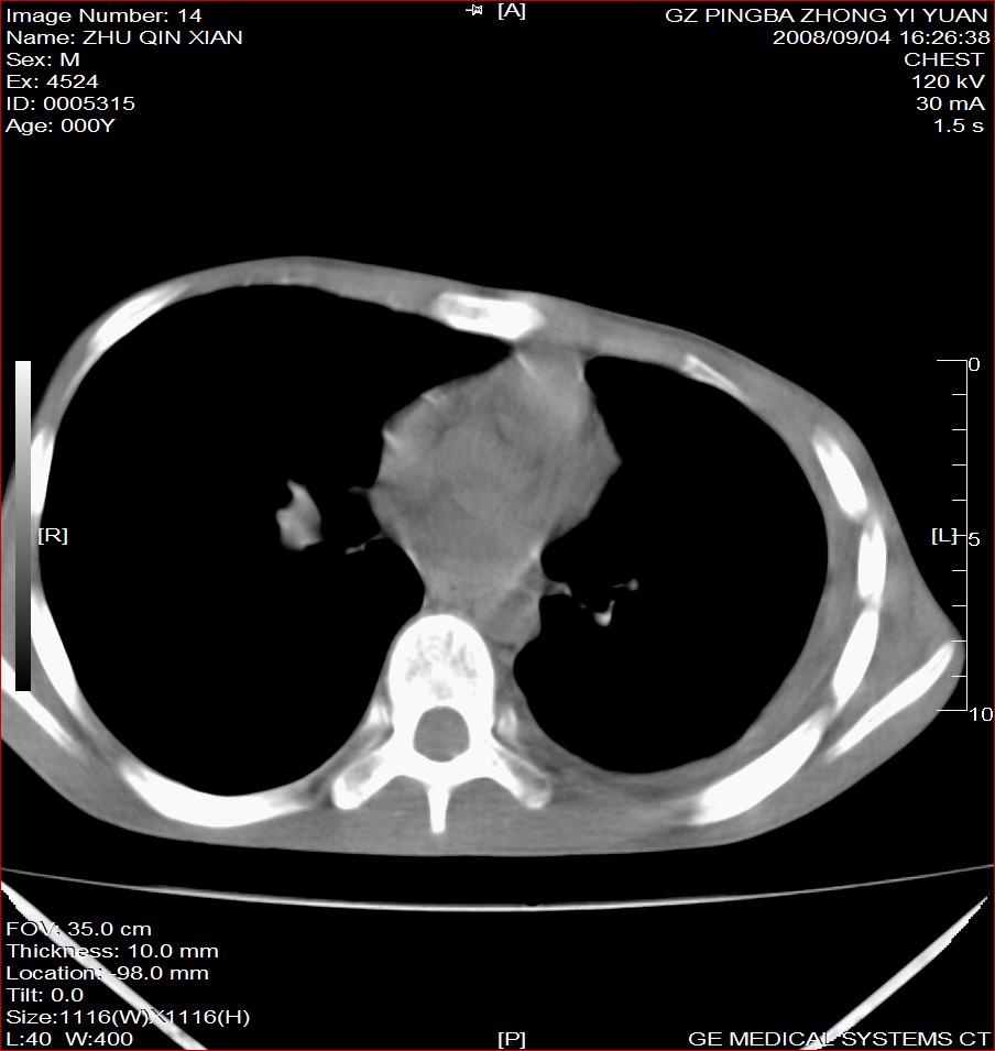
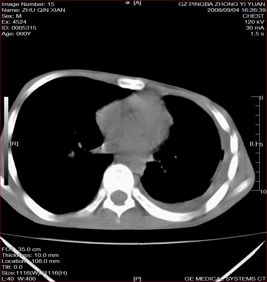
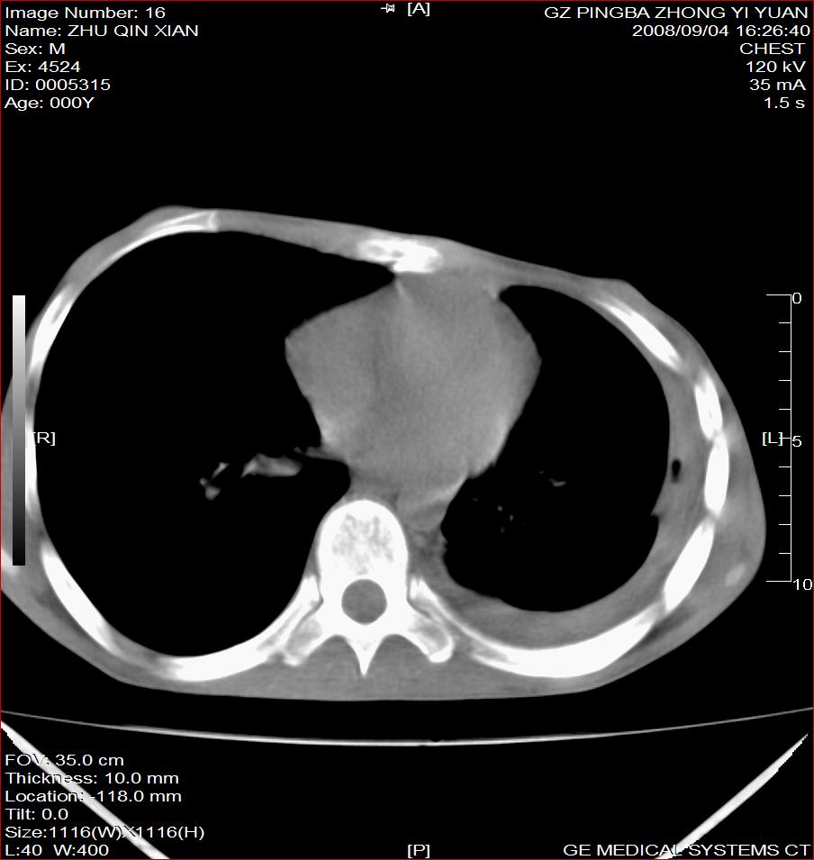
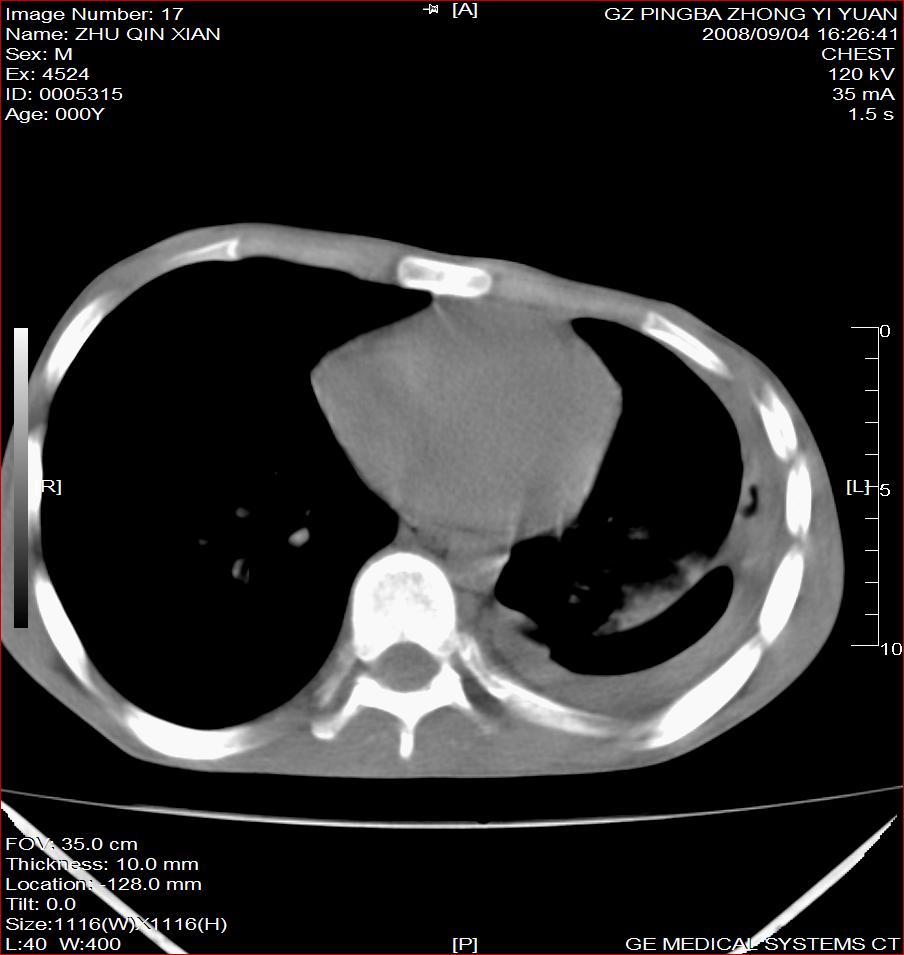
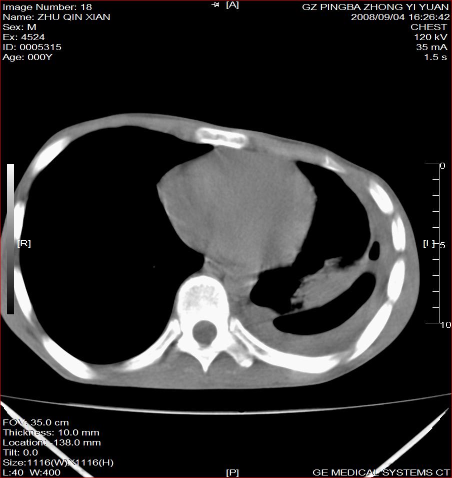
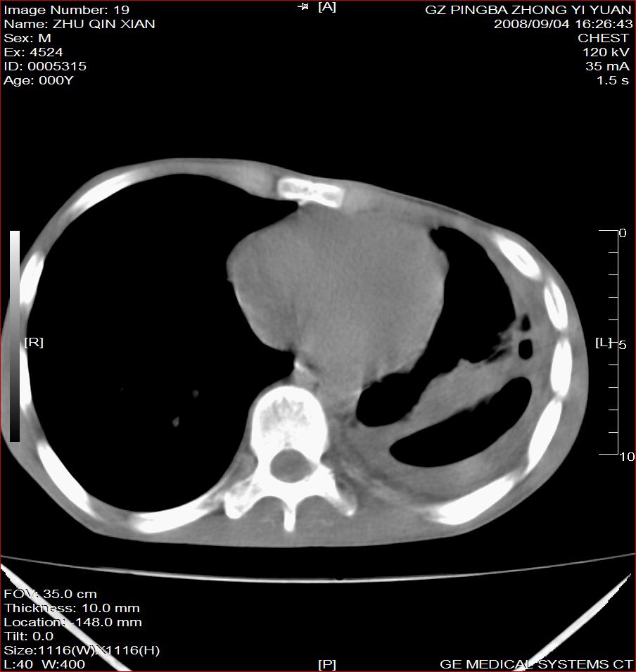
以下是引用小初学者在2008-9-4 19:13:00的发言:[br]考虑两肺结核合并左侧结核性胸膜炎
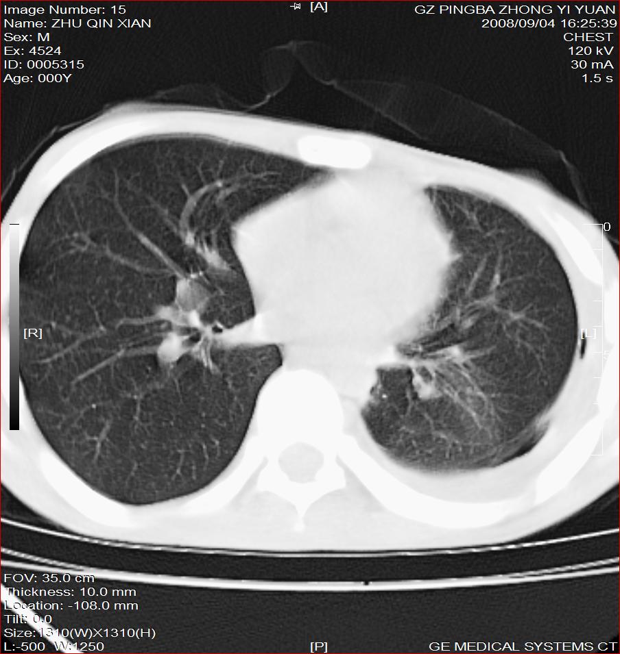
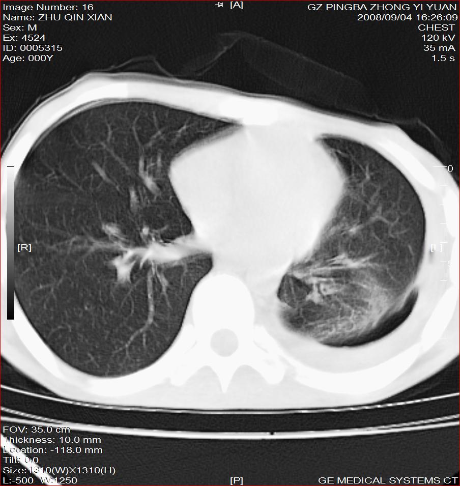
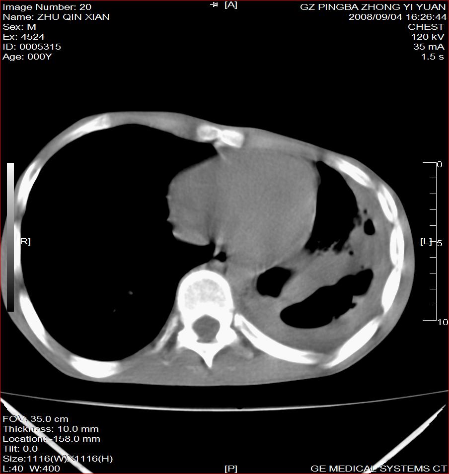
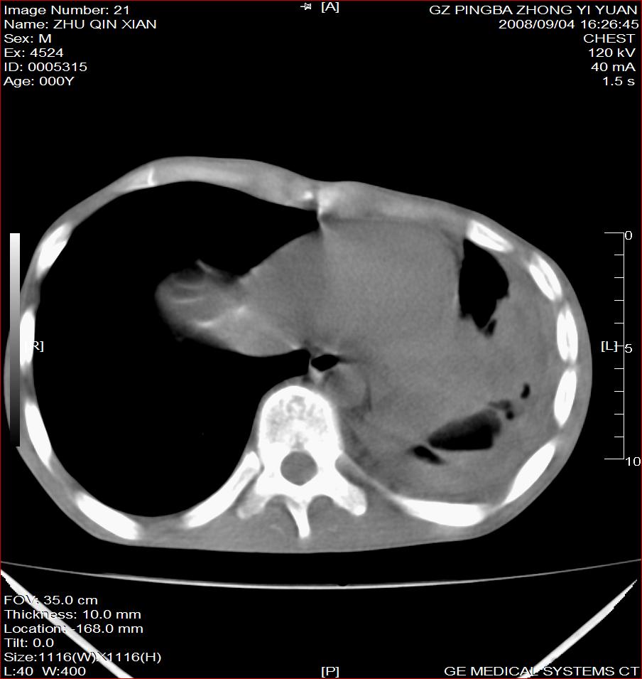
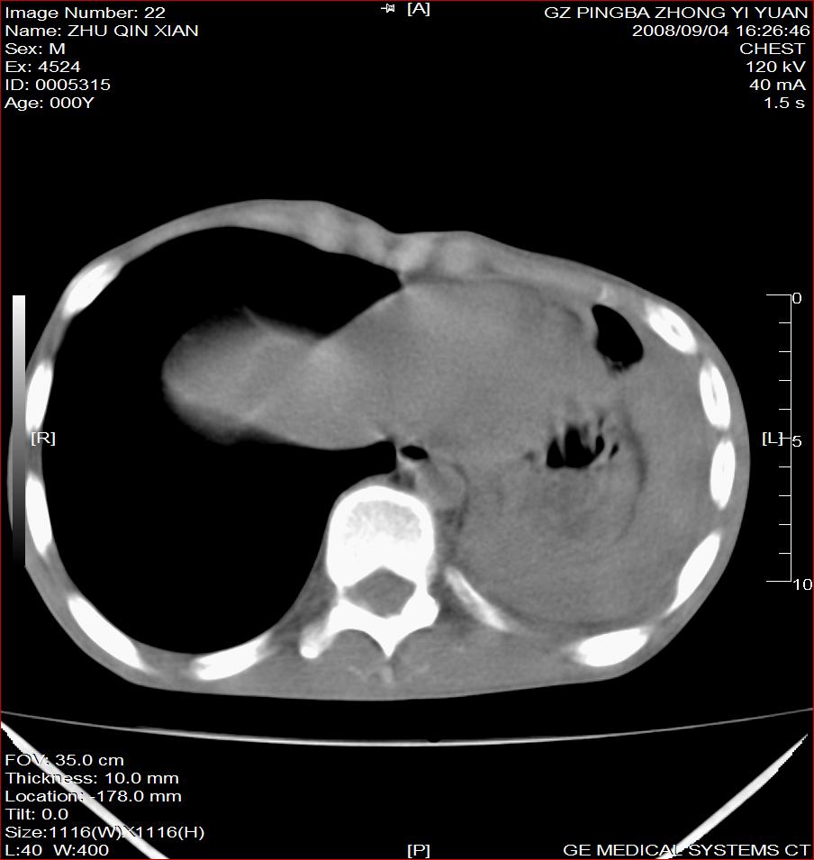
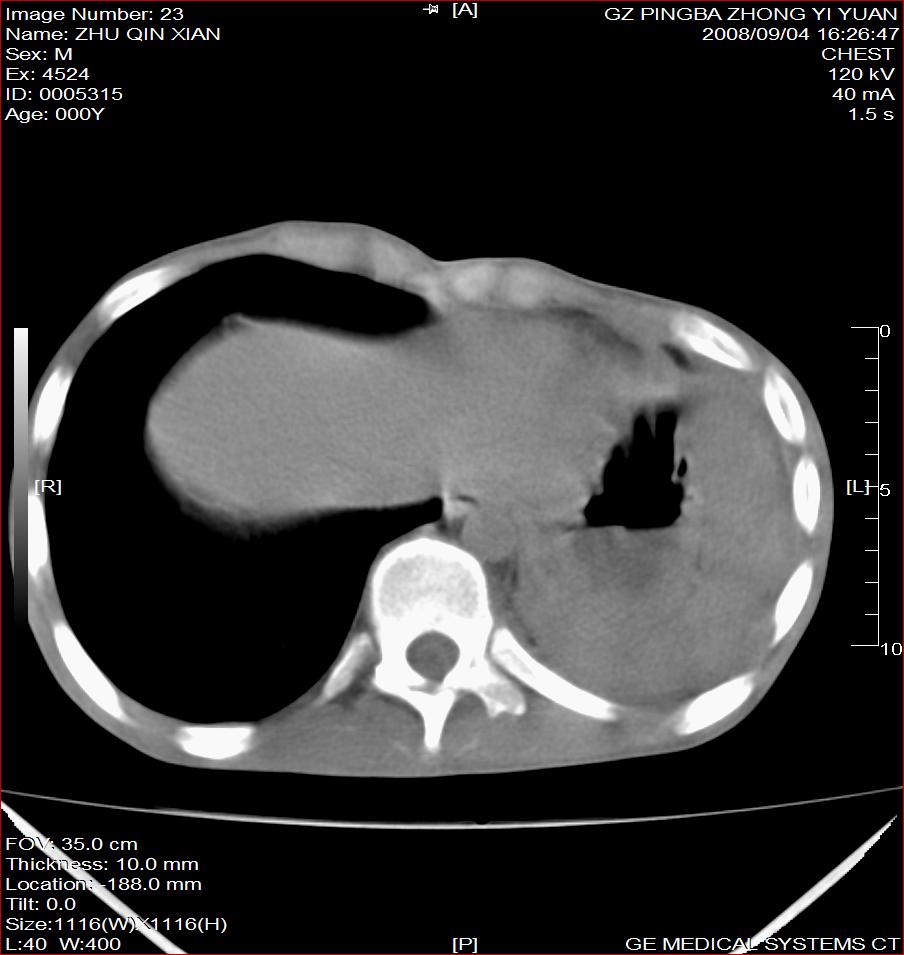
以下是引用随光逐影在2008-9-4 20:05:00的发言:[br]1)考虑两肺结核。2)左侧胸膜炎(胸膜肥厚、粘连,胸腔积液)。3)左侧局限性气胸。
以下是引用随光逐影在2008-9-4 20:05:00的发言:[br]1)考虑两肺结核。2)左侧胸膜炎(胸膜肥厚、粘连,胸腔积液)。3)左侧局限性气胸。
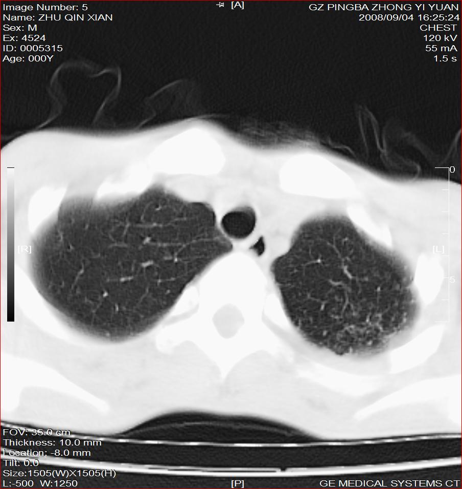
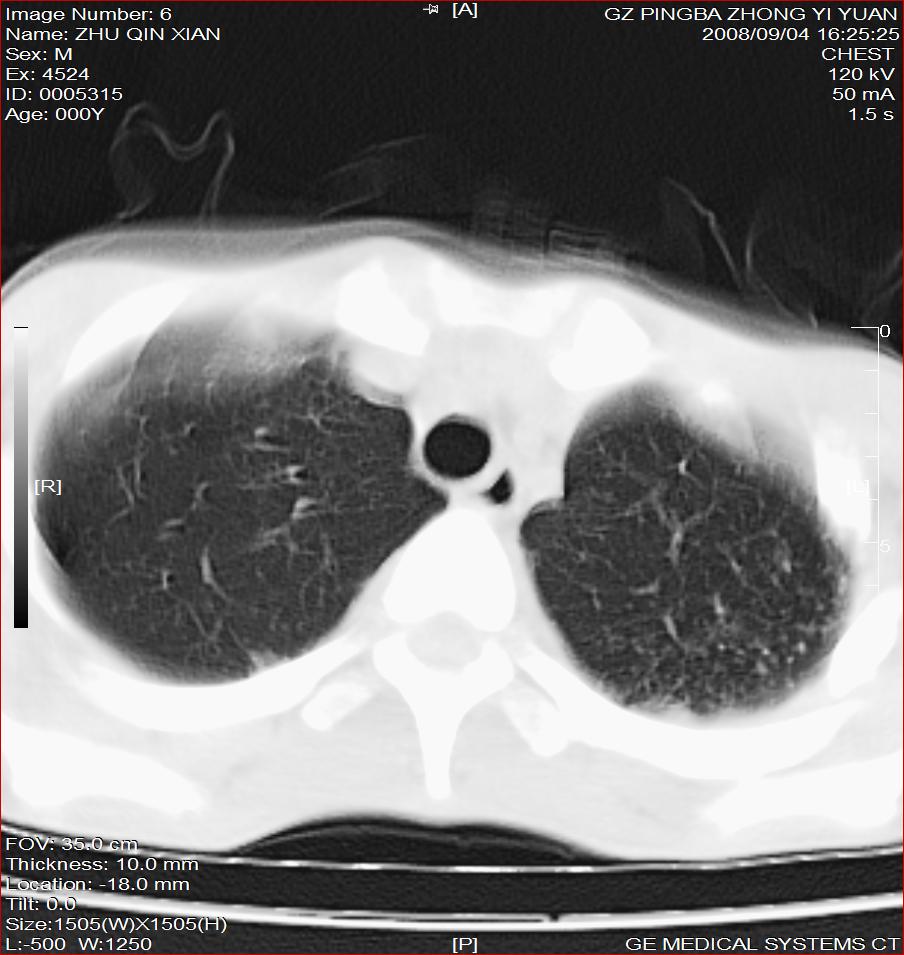
以下是引用子十在2008-9-4 19:34:00的发言:[br]左上肺结核并空洞及双肺播散。节段性肺不张、胸腔积液、胸膜肥厚粘连。[br]
以下是引用wzr在2008-9-4 22:10:00的发言:[br]1)考虑两肺结核。2)左侧胸膜炎(胸膜肥厚、粘连,胸腔积液)。3)左侧局限性气胸。 [br][br]
以下是引用随光逐影在2008-9-4 20:05:00的发言:[br]1)考虑两肺结核。2)左侧胸膜炎(胸膜肥厚、粘连,胸腔积液)。3)左侧局限性气胸。
以下是引用随光逐影在2008-9-4 20:05:00的发言:[br]1)考虑两肺结核。2)左侧胸膜炎(胸膜肥厚、粘连,胸腔积液)。3)左侧局限性气胸。
| 欢迎光临 医影在线 (http://bbs.radida.com/bbs/) | Powered by Discuz! X3.2 |