

以下是引用wzr在2008-9-4 21:16:00的发言:[br]肺癌可能,建议支气管镜检查
以下是引用zjb在2008-9-4 21:21:00的发言:[br]阻塞性肺炎肺不张,建议建议支气管镜检查
以下是引用wzr在2008-9-4 21:16:00的发言:[br]肺癌可能,建议支气管镜检查
以下是引用wzr在2008-9-4 21:16:00的发言:[br]肺癌可能,建议支气管镜检查
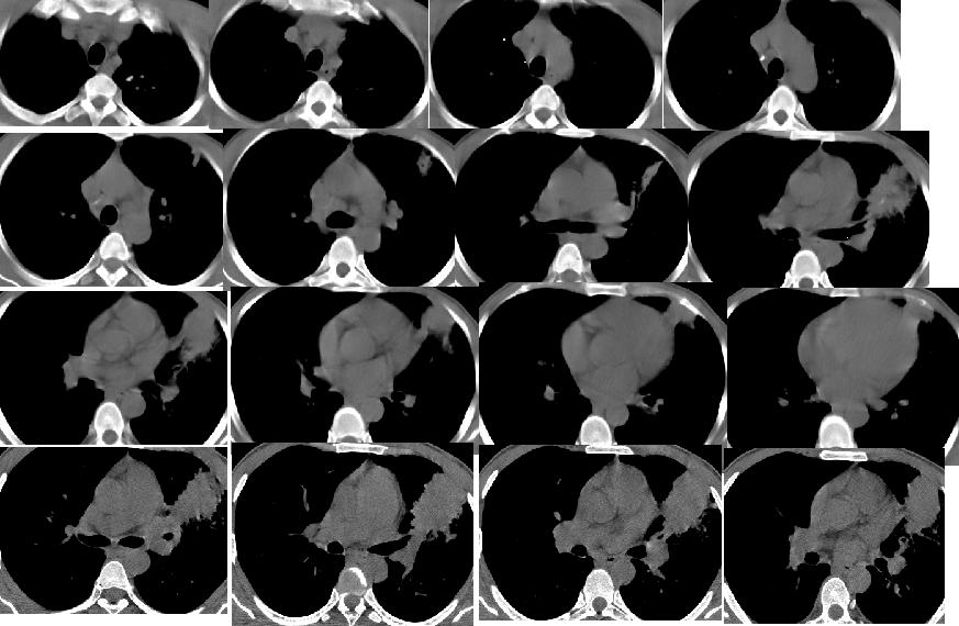
以下是引用随光逐影在2008-9-4 22:33:00的发言:[br]考虑左肺上叶舌段周围型肺癌并阻塞性肺炎,左肺门及纵隔淋巴结转移。
以下是引用huangxun4321在2008-9-4 22:06:00的发言:[br]肿块不规则,内可见坏死液化,边缘可见毛刺征,周围可见晕征,胸膜牵拉征,临床有痰中带血,考虑周围型肺癌可能性大
| 欢迎光临 医影在线 (http://bbs.radida.com/bbs/) | Powered by Discuz! X3.2 |