医影在线

标题: CT15579:男 86岁 咳嗽 咳少量白痰 发热2天 吸烟史60年 [打印本页]

作者: wanggang1972    时间: 2008-9-6 05:08
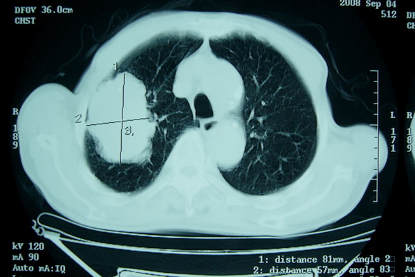
标题: CT15579:男 86岁 咳嗽 咳少量白痰 发热2天 吸烟史60年





































[本贴已被 jiajie 于 2008-9-5 21:25:16 修改过]

作者: zsl6918    时间: 2008-9-6 05:12
支持周围性肺癌
作者: hou-wg    时间: 2008-9-6 05:15
考虑肺癌
作者: lijuanln    时间: 2008-9-6 05:17
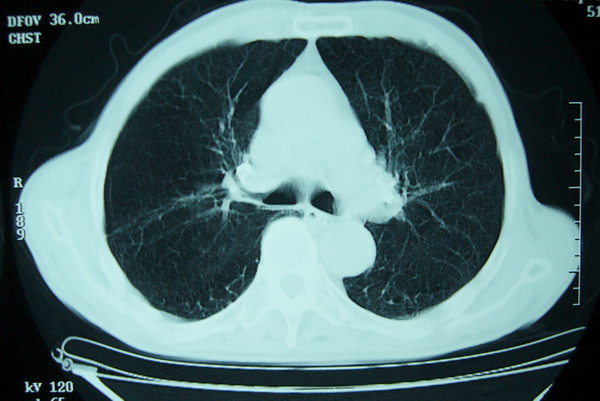
右上周围型肺癌,慢支,肺气肿。
作者: zxd95    时间: 2008-9-6 05:23
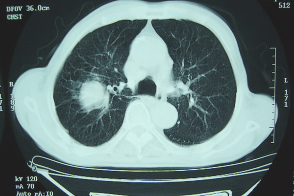
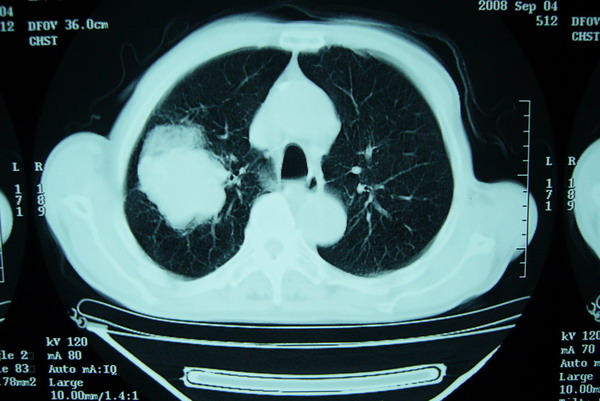
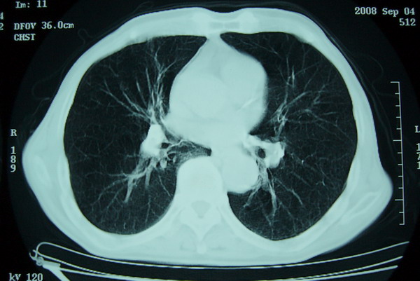
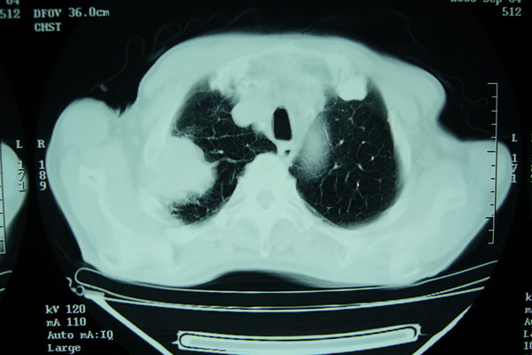
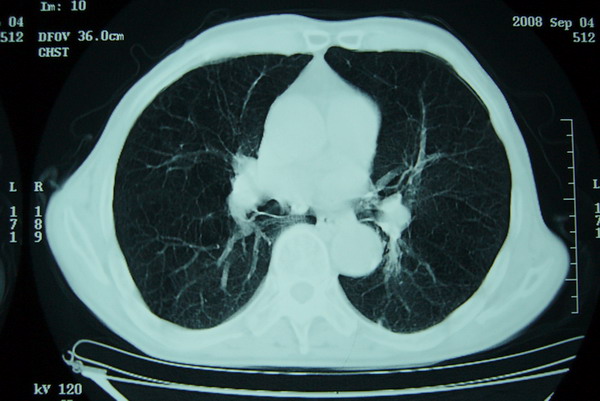
分叶及少量边缘性钙化,老年人,周围性肺癌首先考虑。
作者: arven    时间: 2008-9-6 05:27
考虑错构瘤或周围性肺ca
作者: qian    时间: 2008-9-6 05:28
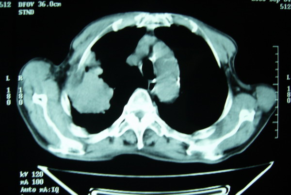
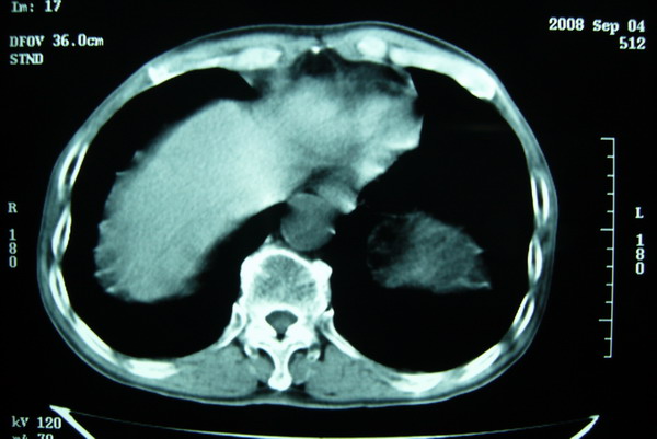
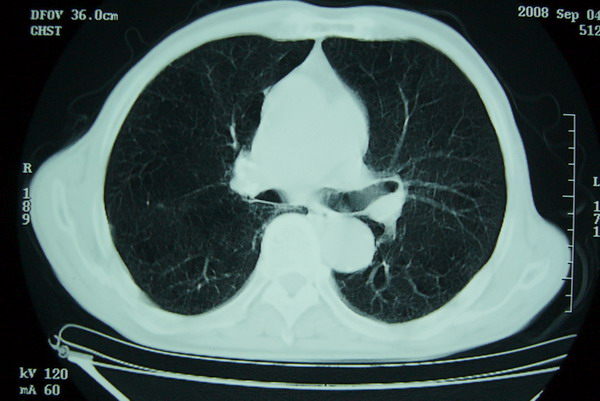
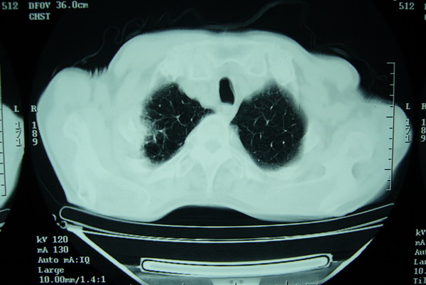
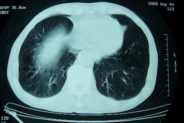
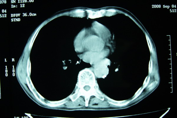
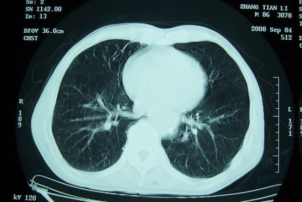
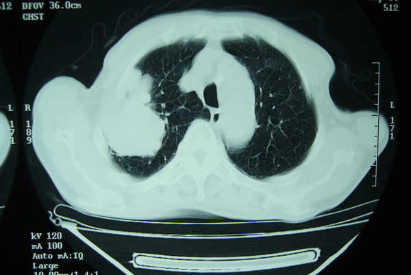
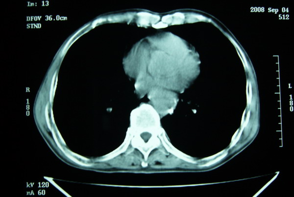
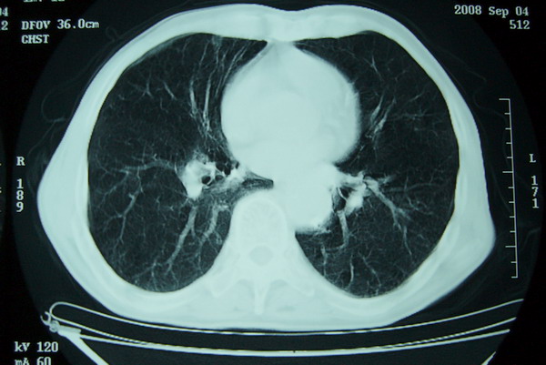
右肺上叶巨大软组织肿块,轮廓不规则,纵隔内有肿大淋巴结,首先考虑肺癌。
作者: 狙击手    时间: 2008-9-6 05:37
应该是周围性肺癌。
作者: 朱亮    时间: 2008-9-6 05:45
周围性肺ca
作者: 流浪星    时间: 2008-9-6 05:47
周围型肺癌。
作者: huenhao    时间: 2008-9-6 05:47
周围性肺癌
作者: huangyinshan    时间: 2008-9-6 05:50
支持周围性肺癌
作者: 358450m    时间: 2008-9-6 06:04
标题: 回复:ct15579:男 86岁 咳嗽 咳少量白痰 发热2天 吸烟史60年
以下是引用lijuanln在2008-9-5 21:17:00的发言:[br]右上周围型肺癌,慢支,肺气肿。

作者: 光线    时间: 2008-9-6 06:12
周围型肺癌。
作者: liuyue    时间: 2008-9-6 06:24
支持周围性肺癌.
作者: wangzhengyuan    时间: 2008-9-6 06:45
周围性肺癌.
作者: 石光    时间: 2008-9-6 06:48
周围性肺癌
作者: zhengfaming    时间: 2008-9-6 07:01
支持周围型肺癌
作者: panyishengct    时间: 2008-9-6 07:10
分叶及少量边缘性钙化,老年人,周围性肺癌首先考虑。
作者: wwp    时间: 2008-9-6 08:21
首先考虑周围形肺ca.
作者: 代课学生    时间: 2008-9-6 17:04
右上肺一不规则团块,边缘有分叶和毛刺,纵隔有淋巴结肿大。右肺周围性肺癌首先考虑。
作者: WYD2008    时间: 2008-9-6 17:30
周围型肺癌.
作者: jsgdoctor    时间: 2008-9-6 17:58
支持周围性肺癌
作者: 黑白光影    时间: 2008-9-6 18:05
右肺周围性肺癌首先考虑。
作者: 边生丽    时间: 2008-9-6 19:05
周围型肺癌。
作者: sdzyy    时间: 2008-9-6 19:17
支持周围型肺癌。
作者: 杀毒软件    时间: 2008-9-6 22:43
支持周围性肺癌
作者: jinguoji    时间: 2008-9-7 04:19
支持右上周围型肺癌。




欢迎光临 医影在线 (http://bbs.radida.com/bbs/) Powered by Discuz! X3.2